扫码关注公众号           扫码咨询技术支持           扫码咨询技术服务
  
客服热线:400-901-9800  客服QQ:4009019800  技术答疑  技术支持  质量反馈  人才招聘  关于我们  联系我们
产品中心-北京博奥森生物技术有限公司
首页 > 产品中心 > 一抗 > 产品信息
CD68 Recombinant Rabbit mAb (bsm-60634R)  
订购热线:400-901-9800
订购邮箱:sales@bioss.com.cn
订购QQ:  400-901-9800
技术支持:techsupport@bioss.com.cn
25ul/800.00元
50ul/1400.00元
100ul/2500.00元
大包装/询价

产品编号 bsm-60634R
英文名称 CD68 Recombinant Rabbit mAb
中文名称 CD68重组兔单抗
别    名 GP110; LAMP4; SCARD1; CD68_HUMAN; CD68; CD68_MOUSE;   
研究领域 免疫学  细胞表面分子  
抗体来源 Rabbit
克隆类型 Recombinant
克 隆 号 3G6
交叉反应 Human
产品应用 IHC-P=1:500-1000,IHC-F=1:500-1000,IF=1:500-1000,Flow-Cyt=1ug/Test
not yet tested in other applications.
optimal dilutions/concentrations should be determined by the end user.
理论分子量 37 kDa
细胞定位 细胞浆 细胞膜 
性    状 Liquid
浓    度 1mg/ml
免 疫 原 KLH conjugated synthetic peptide derived from human CD68 
亚    型 IgG
纯化方法 affinity purified by Protein A
缓 冲 液 0.01M TBS (pH7.4) with 1% BSA, 0.02% Proclin300 and 50% Glycerol.
保存条件 Shipped at 4℃. Store at -20℃ for one year. Avoid repeated freeze/thaw cycles.
注意事项 This product as supplied is intended for research use only, not for use in human, therapeutic or diagnostic applications.
PubMed PubMed
产品介绍 This gene encodes a 110-kD transmembrane glycoprotein that is highly expressed by human monocytes and tissue macrophages. It is a member of the lysosomal/endosomal-associated membrane glycoprotein (LAMP) family. The protein primarily localizes to lysosomes and endosomes with a smaller fraction circulating to the cell surface. It is a type I integral membrane protein with a heavily glycosylated extracellular domain and binds to tissue- and organ-specific lectins or selectins. The protein is also a member of the scavenger receptor family. Scavenger receptors typically function to clear cellular debris, promote phagocytosis, and mediate the recruitment and activation of macrophages. Alternative splicing results in multiple transcripts encoding different isoforms. [provided by RefSeq, Jul 2008]

SWISS:
P34810

Gene ID:
968

产品图片
Paraformaldehyde-fixed, paraffin embedded (human endometrial carcinoma); Antigen retrieval by boiling in sodium citrate buffer (pH6.0) for 15min; Block endogenous peroxidase by 3% hydrogen peroxide for 20 minutes; Blocking buffer (normal goat serum) at 37°C for 30min; Antibody incubation with (CD68) Monoclonal Antibody, Unconjugated (bsm-60634R) at 1:500 overnight at 4°C, followed by operating according to SP Kit(Rabbit) (sp-0023) instructionsand DAB staining.
Paraformaldehyde-fixed, paraffin embedded (human cervical carcinoma); Antigen retrieval by boiling in sodium citrate buffer (pH6.0) for 15min; Block endogenous peroxidase by 3% hydrogen peroxide for 20 minutes; Blocking buffer (normal goat serum) at 37°C for 30min; Antibody incubation with (CD68) Monoclonal Antibody, Unconjugated (bsm-60634R) at 1:500 overnight at 4°C, followed by operating according to SP Kit(Rabbit) (sp-0023) instructionsand DAB staining.
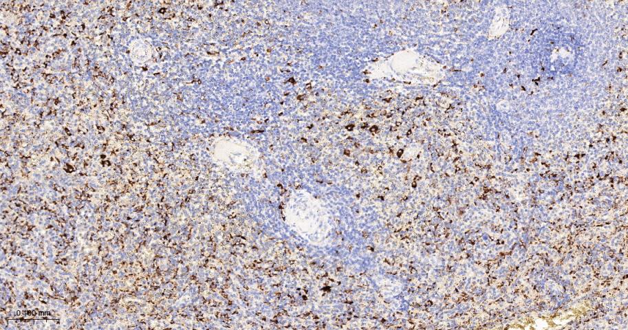
Paraformaldehyde-fixed, paraffin embedded (human tonsil); Antigen retrieval by boiling in sodium citrate buffer (pH6.0) for 15min; Block endogenous peroxidase by 3% hydrogen peroxide for 20 minutes; Blocking buffer (normal goat serum) at 37°C for 30min; Antibody incubation with (CD68) Monoclonal Antibody, Unconjugated (bsm-60634R) at 1:500 overnight at 4°C, followed by operating according to SP Kit(Rabbit) (sp-0023) instructionsand DAB staining.
Paraformaldehyde-fixed, paraffin embedded Human Spleen; Antigen retrieval by boiling in sodium citrate buffer (pH6.0) for 15 min; The section was incubated with CD68 Monoclonal Antibody, Unconjugated (bsm-60634R) at 1:500 overnight at 4°C, followed by conjugation to the bs-0295G-HRP and DAB (C-0010) staining.
Paraformaldehyde-fixed, paraffin embedded (human lung carcinoma); Antigen retrieval by boiling in sodium citrate buffer (pH6.0) for 15min; Block endogenous peroxidase by 3% hydrogen peroxide for 20 minutes; Blocking buffer (normal goat serum) at 37°C for 30min; Antibody incubation with (CD68) Monoclonal Antibody, Unconjugated (bsm-60634R) at 1:500 overnight at 4°C, followed by operating according to SP Kit(Rabbit) (sp-0023) instructionsand DAB staining.
Paraformaldehyde-fixed, paraffin embedded (human liver); Antigen retrieval by boiling in sodium citrate buffer (pH6.0) for 15min; Block endogenous peroxidase by 3% hydrogen peroxide for 20 minutes; Blocking buffer (normal goat serum) at 37°C for 30min; Antibody incubation with (CD68) Monoclonal Antibody, Unconjugated (bsm-60634R) at 1:500 overnight at 4°C, followed by operating according to SP Kit(Rabbit) (sp-0023) instructionsand DAB staining.
Paraformaldehyde-fixed, paraffin embedded Human Tonsil. Merged staining of anti-CD8A (bsm-34251M; 1:200; pink) anti-CD4 (bsm-52469R; 1:200; light blue) anti-CD3E (bsm-60002R; 1:200; green) anti-CD68 (bsm-60634R; 1:200; white) anti-CD11c (bsm-61135R; 1:200; orange) and anti-CD20 (bsm-63327R; 1:200; yellow) DAPI (dark blue) was used as a nuclear counter stain.
Paraformaldehyde-fixed, paraffin embedded Human Tonsil. Merged staining of anti-CD68 (bsm-60634R; 1:200; red) anti- CD20 (bsm-63327R; 1:200; white) anti-CD3E (bsm-60002R; 1:200; light blue) anti-CD4 (bsm-52469R; 1:200; rose red) anti-Ki67 (bsm-52455R; 1:200; bean green) anti-Vimentin (bsm-33170M; 1:200; yellow) and anti-Pan Cytokeratin (bsm-34137M; 1:150; green) DAPI (dark blue) was used as a nuclear counter stain.
Paraformaldehyde-fixed, paraffin embedded Human Colon Cancer; Antigen retrieval by boiling in sodium citrate buffer (pH6.0) for 15 min; The section was incubated with CD68 Monoclonal Antibody, Unconjugated (bsm-60634R) at 1:500 overnight at 4°C. Followed by conjugated Goat Anti-Rabbit IgG antibody (green, bs-0295G-BF488), DAPI (blue, C02-04002) was used to stain the cell nuclei.
Paraformaldehyde-fixed, paraffin embedded Human Tonsil; Antigen retrieval by boiling in sodium citrate buffer (pH6.0) for 15 min; The section was incubated with CD68 Monoclonal Antibody, Unconjugated (bsm-60634R) at 1:500 overnight at 4°C. Followed by conjugated Goat Anti-Rabbit IgG antibody (green, bs-0295G-BF488), DAPI (blue, C02-04002) was used to stain the cell nuclei.
Blank control:THP-1. Primary Antibody (green line): Rabbit Anti-CD68 antibody (bsm-60634R) Dilution: 1ug/Test; Secondary Antibody (white blue line) : Goat anti-rabbit IgG-AF488 Dilution: 0.5ug/Test. Isotype control(orange line):Normal Rabbit IgG Protocol The cells were incubated in 5%BSA to block non-specific protein-protein interactions for 30 min at room temperature .Cells stained with Primary Antibody for 30 min at room temperature. The secondary antibody used for 40 min at room temperature. Acquisition of 20,000 events was performed.
版权所有 2004-2026 www.bioss.com.cn 北京博奥森生物技术有限公司
通过国际质量管理体系ISO 9001:2015 GB/T 19001-2016    证书编号: 00124Q34771R2M/1100
通过国际医疗器械-质量管理体系ISO 13485:2016 GB/T 42061-2022     证书编号: CQC24QY20047R0M/1100
京ICP备05066980号-1         京公网安备110107000727号