扫码关注公众号           扫码咨询技术支持           扫码咨询技术服务
  
客服热线:400-901-9800  客服QQ:4009019800  技术答疑  技术支持  质量反馈  人才招聘  关于我们  联系我们
产品中心-北京博奥森生物技术有限公司
首页 > 产品中心 > 一抗 > 产品信息
CRALBP Recombinant Rabbit mAb (bsm-60602R)  
订购热线:400-901-9800
订购邮箱:sales@bioss.com.cn
订购QQ:  400-901-9800
技术支持:techsupport@bioss.com.cn
25ul/800.00元
50ul/1400.00元
100ul/2500.00元
大包装/询价

产品编号 bsm-60602R
英文名称 CRALBP Recombinant Rabbit mAb
中文名称 细胞视黄醛结合蛋白1重组兔单抗
别    名 CRALBP; 3110056M11Rik; RLBP1_HUMAN; RLBP1; Cellular retinaldehyde-binding protein; RLBP1_MOUSE;   
抗体来源 Rabbit
克隆类型 Recombinant
克 隆 号 F6F8
交叉反应 Mouse (predicted: Rat)
产品应用 WB=1:500-1000,IHC-P=1:100-500,IHC-F=1:100-500,IF=1:100-500
not yet tested in other applications.
optimal dilutions/concentrations should be determined by the end user.
检测分子量 36
细胞定位 细胞膜 
性    状 Liquid
浓    度 1mg/ml
亚    型 IgG
纯化方法 affinity purified by Protein A
缓 冲 液 0.01M TBS (pH7.4) with 1% BSA, 0.02% Proclin300 and 50% Glycerol.
保存条件 Shipped at 4℃. Store at -20℃ for one year. Avoid repeated freeze/thaw cycles.
注意事项 This product as supplied is intended for research use only, not for use in human, therapeutic or diagnostic applications.
PubMed PubMed
产品介绍 可溶性维甲酸载体对视杆细胞和视锥细胞的正常功能至关重要。参与从视紫红质光环的非活性11-反式产物中再生活性11-顺式视黄醇和11-顺式视黄醛,以及从11-反式代谢前体从头合成这些视黄醇。视黄酸在感光细胞和邻近色素上皮细胞之间的循环被称为“视觉循环”。
产品图片
Blocking buffer: 5% NFDM/TBST Primary ab dilution: 1:1000 Primary ab incubation condition: 2 hours at room temperature Secondary ab: Goat Anti-Rabbit IgG H&L (HRP) Lysate: 1: Mouse eye, 2: Rat eye Protein loading quantity: 20 μg Exposure time: 60 s Predicted MW: 36 kDa Observed MW: 36 kDa
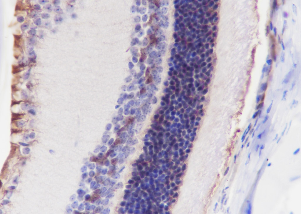
Tissue: Mouse retina Section type: Formalin fixed & Paraffin -embedded section Retrieval method: High temperature and high pressure Retrieval buffer: Tris/EDTA buffer, pH 9.0 Primary ab dilution: 1:1000 Primary ab incubation condition: 1 hour at room temperature Secondary ab: SP Kit(Rabbit) (sp-0023) Counter stain: Hematoxylin (Blue) Comment: Color brown is the positive signal for bsm-60602R
版权所有 2004-2026 www.bioss.com.cn 北京博奥森生物技术有限公司
通过国际质量管理体系ISO 9001:2015 GB/T 19001-2016    证书编号: 00124Q34771R2M/1100
通过国际医疗器械-质量管理体系ISO 13485:2016 GB/T 42061-2022     证书编号: CQC24QY20047R0M/1100
京ICP备05066980号-1         京公网安备110107000727号