扫码关注公众号           扫码咨询技术支持           扫码咨询技术服务
  
客服热线:400-901-9800  客服QQ:4009019800  技术答疑  技术支持  质量反馈  人才招聘  关于我们  联系我们
产品中心-北京博奥森生物技术有限公司
首页 > 产品中心 > 一抗 > 产品信息
Ly6A Recombinant Rabbit mAb (bsm-60617R)  
订购热线:400-901-9800
订购邮箱:sales@bioss.com.cn
订购QQ:  400-901-9800
技术支持:techsupport@bioss.com.cn
25ul/800.00元
50ul/1400.00元
100ul/2500.00元
大包装/询价

产品编号 bsm-60617R
英文名称 Ly6A Recombinant Rabbit mAb
中文名称 T淋巴细胞激活蛋白重组兔单抗
别    名 Ly-6A.2; Ly-6A/E; Ly-6E.1; Sca-1; Sca1; TAP; LY6A_MOUSE; Ly6a; Ly-6A.2/Ly-6E.1; Stem cell antigen 1 (SCA-1); T-cell-activating protein (TAP); Ly6;   
抗体来源 Rabbit
克隆类型 Recombinant
克 隆 号 E12A2
交叉反应 Mouse
产品应用 WB=1:500-2000,IHC-P=1:100-500,IHC-F=1:100-500,IF=1:100-500
not yet tested in other applications.
optimal dilutions/concentrations should be determined by the end user.
检测分子量 13
细胞定位 细胞浆 
性    状 Liquid
浓    度 1mg/ml
亚    型 IgG
纯化方法 affinity purified by Protein A
缓 冲 液 0.01M TBS (pH7.4) with 1% BSA, 0.02% Proclin300 and 50% Glycerol.
保存条件 Shipped at 4℃. Store at -20℃ for one year. Avoid repeated freeze/thaw cycles.
注意事项 This product as supplied is intended for research use only, not for use in human, therapeutic or diagnostic applications.
PubMed PubMed
产品介绍 干细胞抗原 1 (Ly6A) 是淋巴细胞抗原 6 (Ly-6) 家族的成员,是小鼠造血祖细胞/干细胞亚群的主要表型标志物。Ly-6家族参与B细胞和T细胞活化的调节。Ly6A在多能造血干细胞 (HSC) 上表达,并用作小鼠 HSC 的标志物。Ly6A在胎儿肝脏、成人骨髓、成人外周血和脾脏中普遍存在。
产品图片
Blocking buffer: 5% NFDM/TBST Primary ab dilution: 1:2000 Primary ab incubation condition: 2 hours at room temperature Secondary ab: Goat Anti-Rabbit IgG H&L (HRP) Lysate: 1: C2C12 cell lysate, the Ly6A Rabbit mAb pre-adsorbed with 3μM of the synthetic peptides; 2: C2C12 cell lysate, the Ly6A Rabbit mAb with no peptide blocking. Protein loading quantity: 20 μg Exposure time: 10 s Predicted MW: 14 kDa Observed MW: 13 kDa
Blocking buffer: 5% NFDM/TBST Primary ab dilution: 1:2000 Primary ab incubation condition: 2 hours at room temperature Secondary ab: Goat Anti-Rabbit IgG H&L (HRP) Lysate: 1: Mouse thymus, 2: C2C12 Protein loading quantity: 20 μg Exposure time: 60 s Predicted MW: 14 kDa Observed MW: 13 kDa
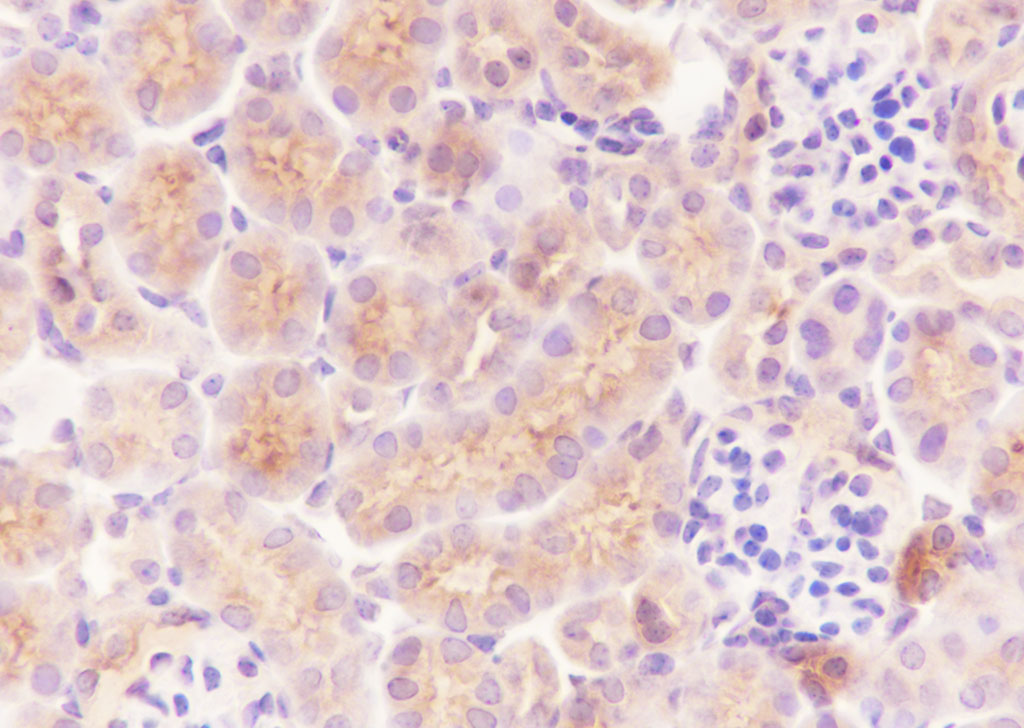
Tissue: Mouse testis Section type: Formalin fixed & Paraffin -embedded section Retrieval method: High temperature and high pressure Retrieval buffer: Tris/EDTA buffer, pH 9.0 Primary ab dilution: 1:100 Primary ab incubation condition: 1 hour at room temperature Secondary ab: SP Kit(Rabbit) (sp-0023) Counter stain: Hematoxylin (Blue) Comment: Color brown is the positive signal for bsm-60617R
版权所有 2004-2026 www.bioss.com.cn 北京博奥森生物技术有限公司
通过国际质量管理体系ISO 9001:2015 GB/T 19001-2016    证书编号: 00124Q34771R2M/1100
通过国际医疗器械-质量管理体系ISO 13485:2016 GB/T 42061-2022     证书编号: CQC24QY20047R0M/1100
京ICP备05066980号-1         京公网安备110107000727号