扫码关注公众号           扫码咨询技术支持           扫码咨询技术服务
  
客服热线:400-901-9800  客服QQ:4009019800  技术答疑  技术支持  质量反馈  人才招聘  关于我们  联系我们
产品中心-北京博奥森生物技术有限公司
首页 > 产品中心 > 一抗 > 产品信息
myosin light chain 3 Recombinant Rabbit mAb (bsm-60346R)  
订购热线:400-901-9800
订购邮箱:sales@bioss.com.cn
订购QQ:  400-901-9800
技术支持:techsupport@bioss.com.cn
25ul/800.00元
50ul/1400.00元
100ul/2500.00元
大包装/询价

产品编号 bsm-60346R
英文名称 myosin light chain 3 Recombinant Rabbit mAb
中文名称 肌球蛋白轻链3重组兔单抗
别    名 CMH8; MLC-lV/sb; MLC1SB; MLC1V; VLC1; VLCl; MLC1s; Mylc; MLClV; Mylc1v; rVMLC1; MYL3_HUMAN; MYL3; Cardiac myosin light chain 1 (CMLC1); Myosin light chain 1, slow-twitch muscle B/ventricular isoform (MLC1SB); Ventricular myosin alkali light chain; Ventric  
抗体来源 Rabbit
克隆类型 Recombinant
克 隆 号 F12A11
交叉反应 Human,Mouse,Rat
产品应用 WB=1:500-2000,IHC-P=1:100-500,IHC-F=1:100-500,IF=1:100-500,Flow-Cyt=1:50-100
not yet tested in other applications.
optimal dilutions/concentrations should be determined by the end user.
检测分子量 22
细胞定位 细胞浆 
性    状 Liquid
浓    度 1mg/ml
亚    型 IgG
纯化方法 affinity purified by Protein A
缓 冲 液 0.01M TBS (pH7.4) with 1% BSA, 0.02% Proclin300 and 50% Glycerol.
保存条件 Shipped at 4℃. Store at -20℃ for one year. Avoid repeated freeze/thaw cycles.
注意事项 This product as supplied is intended for research use only, not for use in human, therapeutic or diagnostic applications.
PubMed PubMed
产品介绍 参与pH调节。可能参与细胞的增殖和转化过程。 可能是宫颈肿瘤的新型特异性生物标志物。
产品图片
Blocking buffer: 5% NFDM/TBST Primary ab dilution: 1:2000 Primary ab incubation condition: 2 hours at room temperature Secondary ab: Goat Anti-Rabbit IgG H&L (HRP) Lysate: Mouse heart, Rat heart Protein loading quantity: 20 μg Exposure time: 10 s Predicted MW: 22 kDa Observed MW: 22 kDa
Tissue: Rat skeletal muscle Section type: Formalin fixed & Paraffin -embedded section Retrieval method: High temperature and high pressure Retrieval buffer: Tris/EDTA buffer, pH 9.0 Primary ab dilution: 1:1000 Primary ab incubation condition: 1 hour at room temperature Secondary ab: SP Kit(Rabbit) (sp-0023) Counter stain: Hematoxylin (Blue) Comment: Color brown is the positive signal for bsm-60346R
Tissue: Human skeletal muscle Section type: Formalin fixed & Paraffin -embedded section Retrieval method: High temperature and high pressure Retrieval buffer: Tris/EDTA buffer, pH 9.0 Primary ab dilution: 1:1000 Primary ab incubation condition: 1 hour at room temperature Secondary ab: SP Kit(Rabbit) (sp-0023) Counter stain: Hematoxylin (Blue) Comment: Color brown is the positive signal for bsm-60346R
Tissue: Mouse skeletal muscle Section type: Formalin fixed & Paraffin -embedded section Retrieval method: High temperature and high pressure Retrieval buffer: Tris/EDTA buffer, pH 9.0 Primary ab dilution: 1:1000 Primary ab incubation condition: 1 hour at room temperature Secondary ab: SP Kit(Rabbit) (sp-0023) Counter stain: Hematoxylin (Blue) Comment: Color brown is the positive signal for bsm-60346R
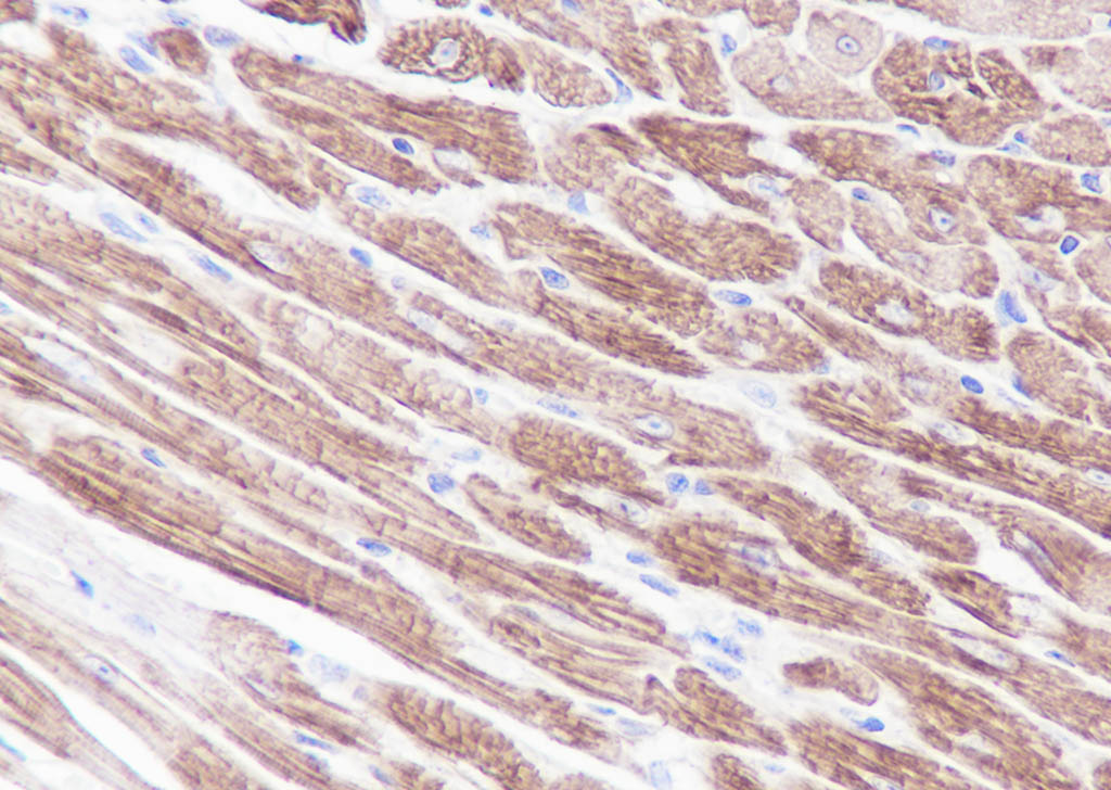
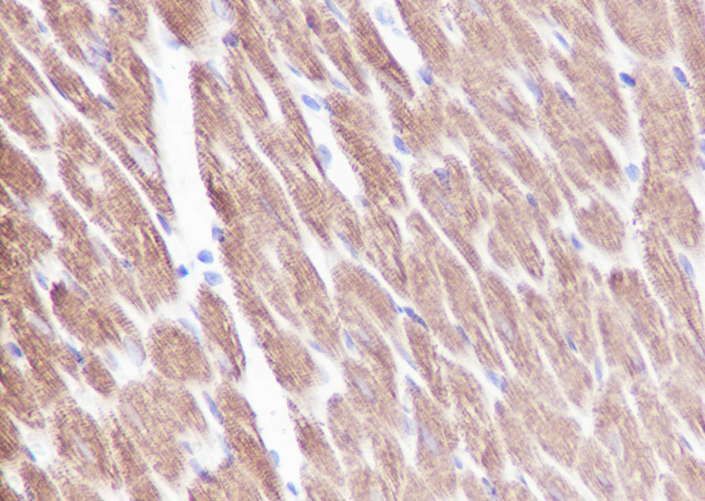
Tissue: Mouse cardiac muscle Section type: Formalin fixed & Paraffin -embedded section Retrieval method: High temperature and high pressure Retrieval buffer: Tris/EDTA buffer, pH 9.0 Primary ab dilution: 1:1000 Primary ab incubation condition: 1 hour at room temperature Secondary ab: SP Kit(Rabbit) (sp-0023) Counter stain: Hematoxylin (Blue) Comment: Color brown is the positive signal for bsm-60346R
Tissue: Rat cardiac muscle Section type: Formalin fixed & Paraffin -embedded section Retrieval method: High temperature and high pressure Retrieval buffer: Tris/EDTA buffer, pH 9.0 Primary ab dilution: 1:1000 Primary ab incubation condition: 1 hour at room temperature Secondary ab: SP Kit(Rabbit) (sp-0023) Counter stain: Hematoxylin (Blue) Comment: Color brown is the positive signal for bsm-60346R
Cell line: U-2 OS Fixative: 4% Paraformaldehyde Permeabilization: 90% methanol Primary ab dilution: 1:100 Secondary ab: Goat anti Rabbit IgG Unlabelled control: The cell without incubation with primary antibody and secondary antibody (Black line). Isotype control: Rabbit monoclonal IgG (Blue line). Comment: Line red is the positive signal for bsm-60346R
版权所有 2004-2026 www.bioss.com.cn 北京博奥森生物技术有限公司
通过国际质量管理体系ISO 9001:2015 GB/T 19001-2016    证书编号: 00124Q34771R2M/1100
通过国际医疗器械-质量管理体系ISO 13485:2016 GB/T 42061-2022     证书编号: CQC24QY20047R0M/1100
京ICP备05066980号-1         京公网安备110107000727号