扫码关注公众号           扫码咨询技术支持           扫码咨询技术服务
  
客服热线:400-901-9800  客服QQ:4009019800  技术答疑  技术支持  质量反馈  人才招聘  关于我们  联系我们
产品中心-北京博奥森生物技术有限公司
首页 > 产品中心 > 一抗 > 产品信息
PTGER2 Recombinant Rabbit mAb (bsm-60442R)  
订购热线:400-901-9800
订购邮箱:sales@bioss.com.cn
订购QQ:  400-901-9800
技术支持:techsupport@bioss.com.cn
25ul/800.00元
50ul/1400.00元
100ul/2500.00元
大包装/询价

产品编号 bsm-60442R
英文名称 PTGER2 Recombinant Rabbit mAb
中文名称 前列腺素E2受体2重组兔单抗
别    名 COX-2; EP2; Ptgerep2; Ptger-ep2; PE2R2_HUMAN; PTGER2; PGE receptor EP2 subtype; PGE2 receptor EP2 subtype; Prostanoid EP2 receptor; PE2R2_MOUSE; PE2R2_RAT;   
抗体来源 Rabbit
克隆类型 Recombinant
克 隆 号 F3C1
交叉反应 Human,Mouse,Rat
产品应用 WB=1:500-2000,IHC-P=1:100-500,IHC-F=1:100-500,IF=1:100-500,ICC/IF=1:50-200
not yet tested in other applications.
optimal dilutions/concentrations should be determined by the end user.
检测分子量 56
细胞定位 细胞浆 
性    状 Liquid
浓    度 1mg/ml
亚    型 IgG/Kappa
纯化方法 affinity purified by Protein A
缓 冲 液 0.01M TBS (pH7.4) with 1% BSA, 0.02% Proclin300 and 50% Glycerol.
保存条件 Shipped at 4℃. Store at -20℃ for one year. Avoid repeated freeze/thaw cycles.
注意事项 This product as supplied is intended for research use only, not for use in human, therapeutic or diagnostic applications.
PubMed PubMed
产品介绍 前列腺素E2(PGE2)受体,该受体的活性由刺激腺苷酸环化酶的G(s)蛋白介导。随后细胞内cAMP的升高是该受体对平滑肌产生舒张作用的原因。
产品图片
Blocking buffer: 5% NFDM/TBST Primary ab dilution: 1:1000 Primary ab incubation condition: 4°C overnight Secondary ab: Goat Anti-Rabbit IgG H&L (HRP) Lysate: HeLa, JAR, F9, Rat liver Protein loading quantity: 20 μg Exposure time: 10 s Predicted MW: 52 kDa Observed MW: 56 kDa
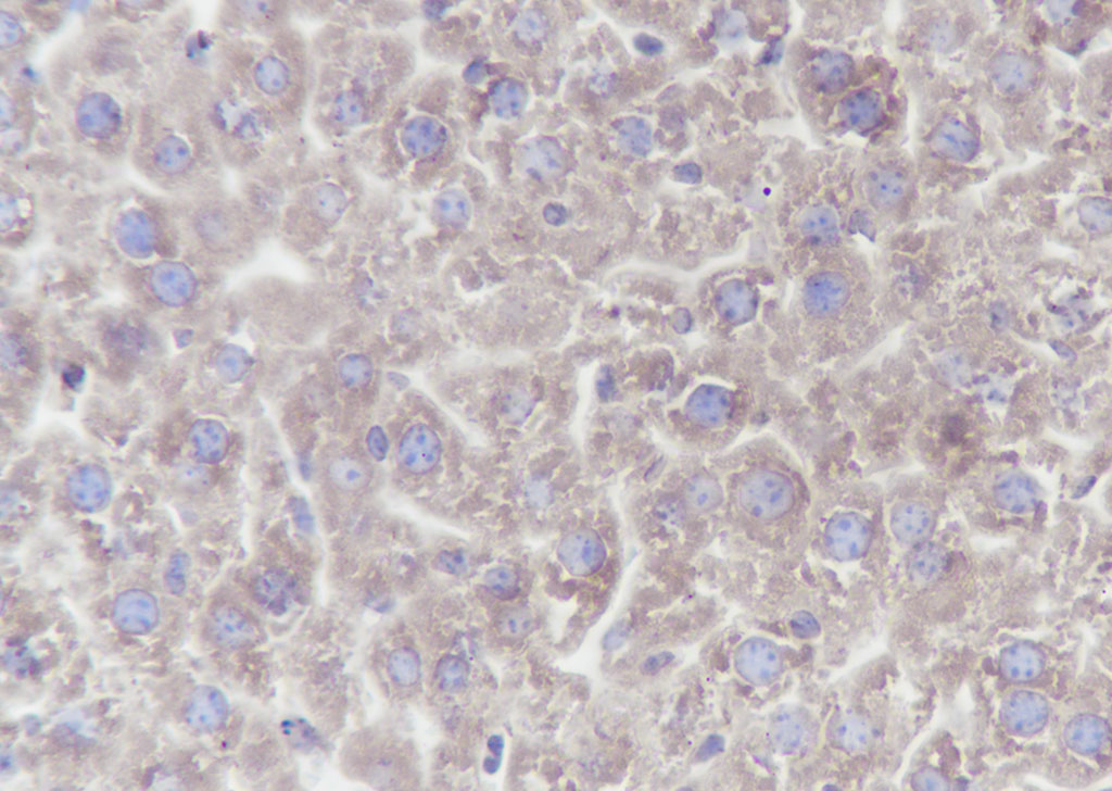
Tissue: Mouse liver Section type: Formalin fixed & Paraffin -embedded section Retrieval method: High temperature and high pressure Retrieval buffer: Tris/EDTA buffer, pH 9.0 Primary ab dilution: 1:100 Primary ab incubation condition: 1 hour at room temperature Secondary ab: SP Kit(Rabbit) (sp-0023) Counter stain: Hematoxylin (Blue) Comment: Color brown is the positive signal for bsm-60442R
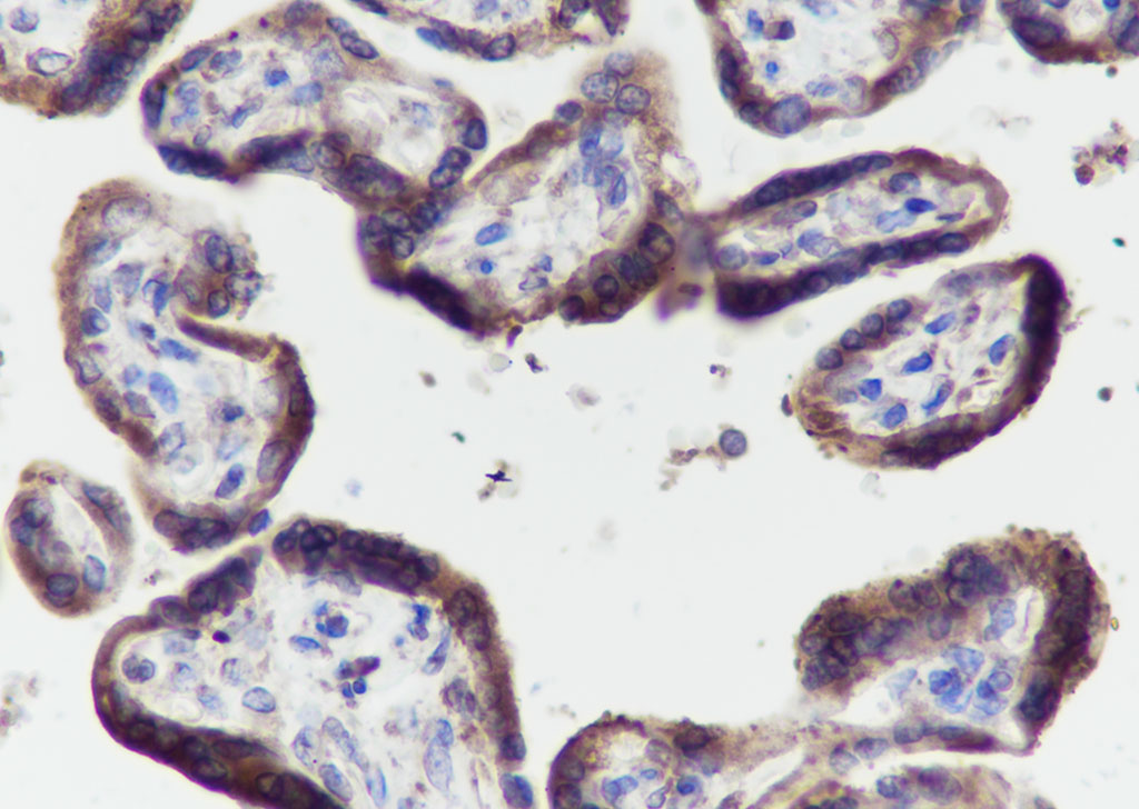
Tissue: Human placenta Section type: Formalin fixed & Paraffin -embedded section Retrieval method: High temperature and high pressure Retrieval buffer: Tris/EDTA buffer, pH 9.0 Primary ab dilution: 1:100 Primary ab incubation condition: 1 hour at room temperature Secondary ab: SP Kit(Rabbit) (sp-0023) Counter stain: Hematoxylin (Blue) Comment: Color brown is the positive signal for bsm-60442R
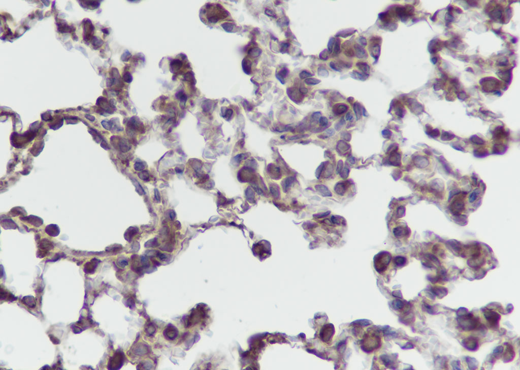
Tissue: Rat lung Section type: Formalin fixed & Paraffin -embedded section Retrieval method: High temperature and high pressure Retrieval buffer: Tris/EDTA buffer, pH 9.0 Primary ab dilution: 1:100 Primary ab incubation condition: 1 hour at room temperature Secondary ab: SP Kit(Rabbit) (sp-0023) Counter stain: Hematoxylin (Blue) Comment: Color brown is the positive signal for bsm-60442R
Cell line: HeLa Fixative:100% Ice-cold methanol Permeabilization: 0.1% TritonX-100 Primary ab dilution: 1:50 Primary incubation condition: 4°C overnight Secondary ab: Goat Anti-Rabbit IgG Nuclear counter stain: DAPI (Blue) Comment: Color green is the positive signal for bsm-60442R
版权所有 2004-2026 www.bioss.com.cn 北京博奥森生物技术有限公司
通过国际质量管理体系ISO 9001:2015 GB/T 19001-2016    证书编号: 00124Q34771R2M/1100
通过国际医疗器械-质量管理体系ISO 13485:2016 GB/T 42061-2022     证书编号: CQC24QY20047R0M/1100
京ICP备05066980号-1         京公网安备110107000727号