扫码关注公众号           扫码咨询技术支持           扫码咨询技术服务
  
客服热线:400-901-9800  客服QQ:4009019800  技术答疑  技术支持  质量反馈  人才招聘  关于我们  联系我们
产品中心-北京博奥森生物技术有限公司
首页 > 产品中心 > 一抗 > 产品信息
Propionyl-Histone H3 (Lys56) Recombinant Rabbit mAb (bsm-60202R)  
订购热线:400-901-9800
订购邮箱:sales@bioss.com.cn
订购QQ:  400-901-9800
技术支持:techsupport@bioss.com.cn
25ul/800.00元
50ul/1400.00元
100ul/2500.00元
大包装/询价

产品编号 bsm-60202R
英文名称 Propionyl-Histone H3 (Lys56) Recombinant Rabbit mAb
中文名称 丙酰化组蛋白H3K56重组兔单抗
别    名 H3C1 | Histone H3 (propionyl-K56); H3K56Pr; pr-Histone H3; propionyl-Histone H3; pr-H3; H3C1 | Histone H3 (propionyl-Lys56); H3/A; H3C10; H3C11; H3C12; H3C2; H3C3; H3C4; H3C6; H3C7; H3C8; H3FA; HIST1H3A; H3/b; H3C1; H3FB; HIST1H3D; H3.1; H3/c; H3FC; HIST1  
抗体来源 Rabbit
克隆类型 Recombinant
克 隆 号 D2E2
交叉反应 Human,Mouse,Rat
产品应用 WB=1:500-1000,IHC-P=1:100-500,IHC-F=1:100-500,IF=1:100-500,IP=1:50-100,ChIP=6 μg / 5×106 cells
not yet tested in other applications.
optimal dilutions/concentrations should be determined by the end user.
细胞定位 细胞核 
性    状 Liquid
浓    度 1mg/ml
亚    型 IgG
纯化方法 Antigen affinity purification
缓 冲 液 0.01M TBS (pH7.4) with 1% BSA, 0.02% Proclin300 and 50% Glycerol.
保存条件 Shipped at 4℃. Store at -20℃ for one year. Avoid repeated freeze/thaw cycles.
注意事项 This product as supplied is intended for research use only, not for use in human, therapeutic or diagnostic applications.
PubMed PubMed
产品介绍 组蛋白受多种酶催化修饰,包括乙酰化、甲基化、磷酸化、泛素化等。赖氨酸丙酰化(Kprop)在结构上与赖氨酸乙酰化相似,是一种新发现的控制蛋白质活性的可逆修饰。赖氨酸丙酰化在原核生物和真核生物中都大量存在,并且已经在包括组蛋白和非组蛋白底物(如p53)的广泛蛋白质中被发现。与组氨酸H4在Lys5位点的乙酰化作用类似,组蛋白H4在Lys5位点的丙酰化作用可能在表观遗传调控中发挥重要作用,包括染色质重塑和转录调控。
产品图片
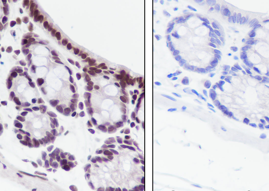
Tissue: Rat colon Section type: Formalin fixed & Paraffin -embedded section Retrieval method: High temperature and high pressure Retrieval buffer: Tris/EDTA buffer, pH 9.0 Primary ab dilution: 1:500 Primary ab incubation condition: 1 hour at room temperature Secondary ab: SP Kit(Rabbit) (sp-0023) Counter stain: Hematoxylin (Blue) Comment: Color brown is the positive signal for bsm-60202R
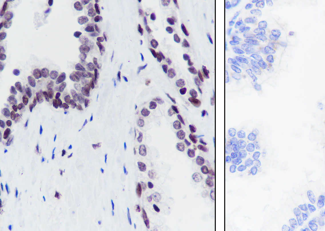
Tissue: Human prostate Section type: Formalin fixed & Paraffin -embedded section Retrieval method: High temperature and high pressure Retrieval buffer: Tris/EDTA buffer, pH 9.0 Primary ab dilution: 1:500 Primary ab incubation condition: 1 hour at room temperature Secondary ab: SP Kit(Rabbit) (sp-0023) Counter stain: Hematoxylin (Blue) Comment: Color brown is the positive signal for bsm-60202R
Tissue: Mouse colon Section type: Formalin fixed & Paraffin -embedded section Retrieval method: High temperature and high pressure Retrieval buffer: Tris/EDTA buffer, pH 9.0 Primary ab dilution: 1:500 Primary ab incubation condition: 1 hour at room temperature Secondary ab: SP Kit(Rabbit) (sp-0023) Counter stain: Hematoxylin (Blue) Comment: Color brown is the positive signal for bsm-60202R
版权所有 2004-2026 www.bioss.com.cn 北京博奥森生物技术有限公司
通过国际质量管理体系ISO 9001:2015 GB/T 19001-2016    证书编号: 00124Q34771R2M/1100
通过国际医疗器械-质量管理体系ISO 13485:2016 GB/T 42061-2022     证书编号: CQC24QY20047R0M/1100
京ICP备05066980号-1         京公网安备110107000727号