扫码关注公众号           扫码咨询技术支持           扫码咨询技术服务
  
客服热线:400-901-9800  客服QQ:4009019800  技术答疑  技术支持  质量反馈  人才招聘  关于我们  联系我们
产品中心-北京博奥森生物技术有限公司
首页 > 产品中心 > 一抗 > 产品信息
p130 Cas Recombinant Rabbit mAb (bsm-60425R)  
订购热线:400-901-9800
订购邮箱:sales@bioss.com.cn
订购QQ:  400-901-9800
技术支持:techsupport@bioss.com.cn
25ul/800.00元
50ul/1400.00元
100ul/2500.00元
大包装/询价

产品编号 bsm-60425R
英文名称 p130 Cas Recombinant Rabbit mAb
中文名称 乳腺癌抗雌激素耐药蛋白1重组兔单抗
别    名 CAS; CAS1; CASS1; CRKAS; P130Cas; BCAR1_HUMAN; BCAR1; CRK-associated substrate; Cas scaffolding protein family member 1; BCAR1_MOUSE; BCAR1_RAT;  
抗体来源 Rabbit
克隆类型 Recombinant
克 隆 号 G9G1
交叉反应 Human,Mouse,Rat
产品应用 WB=1:500-2000
not yet tested in other applications.
optimal dilutions/concentrations should be determined by the end user.
检测分子量 115
细胞定位 细胞膜 
性    状 Liquid
浓    度 1mg/ml
亚    型 IgG
纯化方法 affinity purified by Protein A
缓 冲 液 0.01M TBS (pH7.4) with 1% BSA, 0.02% Proclin300 and 50% Glycerol.
保存条件 Shipped at 4℃. Store at -20℃ for one year. Avoid repeated freeze/thaw cycles.
注意事项 This product as supplied is intended for research use only, not for use in human, therapeutic or diagnostic applications.
PubMed PubMed
产品介绍 与细胞粘附相关的酪氨酸激酶信号通路中起中心协调作用的对接蛋白。p130 Cas 的酪氨酸磷酸化是整合素调控正常细胞行为(包括运动、增殖和存活)中的一个关键信号转导步骤。异常 Cas 酪氨酸磷酸化可能会通过某些肿瘤蛋白诱导细胞转化。
产品图片
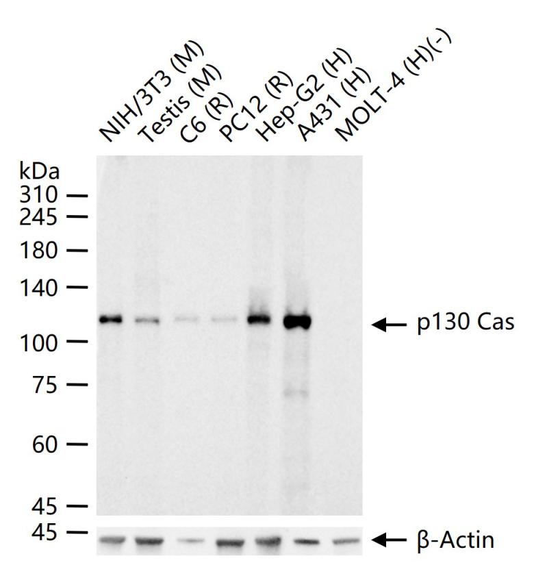
25 ug total protein per lane of various lysates (see on figure) probed with p130 Cas monoclonal antibody, unconjugated (bsm-60425R) at 1:1000 dilution and 4°C overnight incubation. Followed by conjugated secondary antibody incubation at r.t. for 60 min.
版权所有 2004-2026 www.bioss.com.cn 北京博奥森生物技术有限公司
通过国际质量管理体系ISO 9001:2015 GB/T 19001-2016    证书编号: 00124Q34771R2M/1100
通过国际医疗器械-质量管理体系ISO 13485:2016 GB/T 42061-2022     证书编号: CQC24QY20047R0M/1100
京ICP备05066980号-1         京公网安备110107000727号