扫码关注公众号           扫码咨询技术支持           扫码咨询技术服务
  
客服热线:400-901-9800  客服QQ:4009019800  技术答疑  技术支持  质量反馈  人才招聘  关于我们  联系我们
产品中心-北京博奥森生物技术有限公司
首页 > 产品中心 > 一抗 > 产品信息
ERCC1 Recombinant Rabbit mAb (bsm-60230R)  
订购热线:400-901-9800
订购邮箱:sales@bioss.com.cn
订购QQ:  400-901-9800
技术支持:techsupport@bioss.com.cn
25ul/800.00元
50ul/1400.00元
100ul/2500.00元
大包装/询价

产品编号 bsm-60230R
英文名称 ERCC1 Recombinant Rabbit mAb
中文名称 DNA切除修复蛋白1重组兔单抗
别    名 COFS4; RAD10; UV20; Ercc-1; ERCC1_HUMAN; ERCC1; ERCC1_MOUSE;  
抗体来源 Rabbit
克隆类型 Recombinant
克 隆 号 A12C8
交叉反应 Human,Mouse,Rat
产品应用 IHC-P=1:200-800,IHC-F=1:200-800,IF=1:200-800
not yet tested in other applications.
optimal dilutions/concentrations should be determined by the end user.
细胞定位 细胞核 
性    状 Liquid
浓    度 1mg/ml
亚    型 IgG
纯化方法 affinity purified by Protein A
缓 冲 液 0.01M TBS (pH7.4) with 1% BSA, 0.02% Proclin300 and 50% Glycerol.
保存条件 Shipped at 4℃. Store at -20℃ for one year. Avoid repeated freeze/thaw cycles.
注意事项 This product as supplied is intended for research use only, not for use in human, therapeutic or diagnostic applications.
PubMed PubMed
产品介绍 The product of this gene functions in the nucleotide excision repair pathway, and is required for the repair of DNA lesions such as those induced by UV light or formed by electrophilic compounds including cisplatin. The encoded protein forms a heterodimer with the XPF endonuclease (also known as ERCC4), and the heterodimeric endonuclease catalyzes the 5' incision in the process of excising the DNA lesion. The heterodimeric endonuclease is also involved in recombinational DNA repair and in the repair of inter-strand crosslinks. Mutations in this gene result in cerebrooculofacioskeletal syndrome, and polymorphisms that alter expression of this gene may play a role in carcinogenesis. Multiple transcript variants encoding different isoforms have been found for this gene. The last exon of this gene overlaps with the CD3e molecule, epsilon associated protein gene on the opposite strand. [provided by RefSeq, Oct 2009]

Subunit:
Heterodimer composed of ERCC1 and XPF/ERRC4.

Subcellular Location:
Nucleus.

Similarity:
Belongs to the ERCC1/RAD10/SWI10 family.

Database links:

Entrez Gene: 2067 Human

Entrez Gene: 13870 Mouse

Entrez Gene: 292673 Rat

Omim: 126380 Human

SwissProt: P07992 Human

SwissProt: P07903 Mouse

Unigene: 435981 Human

Unigene: 280913 Mouse

Unigene: 7320 Rat



ERCC1蛋白是动物内重要的DNA修复基因家族成员之一。在人体内它的低表达往往伴随着基因不稳定性增加,从而产生肿瘤恶性变的发生。ERCC1是损伤DNA核苷酸切除修复中高度保守的切除性核酶。在哺乳动物的核苷酸切除修复中,XPG负责切割DNA损伤区域的3’端,而ERCC1-XPF复合物在5’端打开切口。目前初步的研究表明,癌瘤中的ERCC1蛋白表达程度越低,顺氯氨铂化疗的效果就越好。ERCC1蛋白阳性的患者,非化疗治疗的预后要好于接受化疗。
产品图片
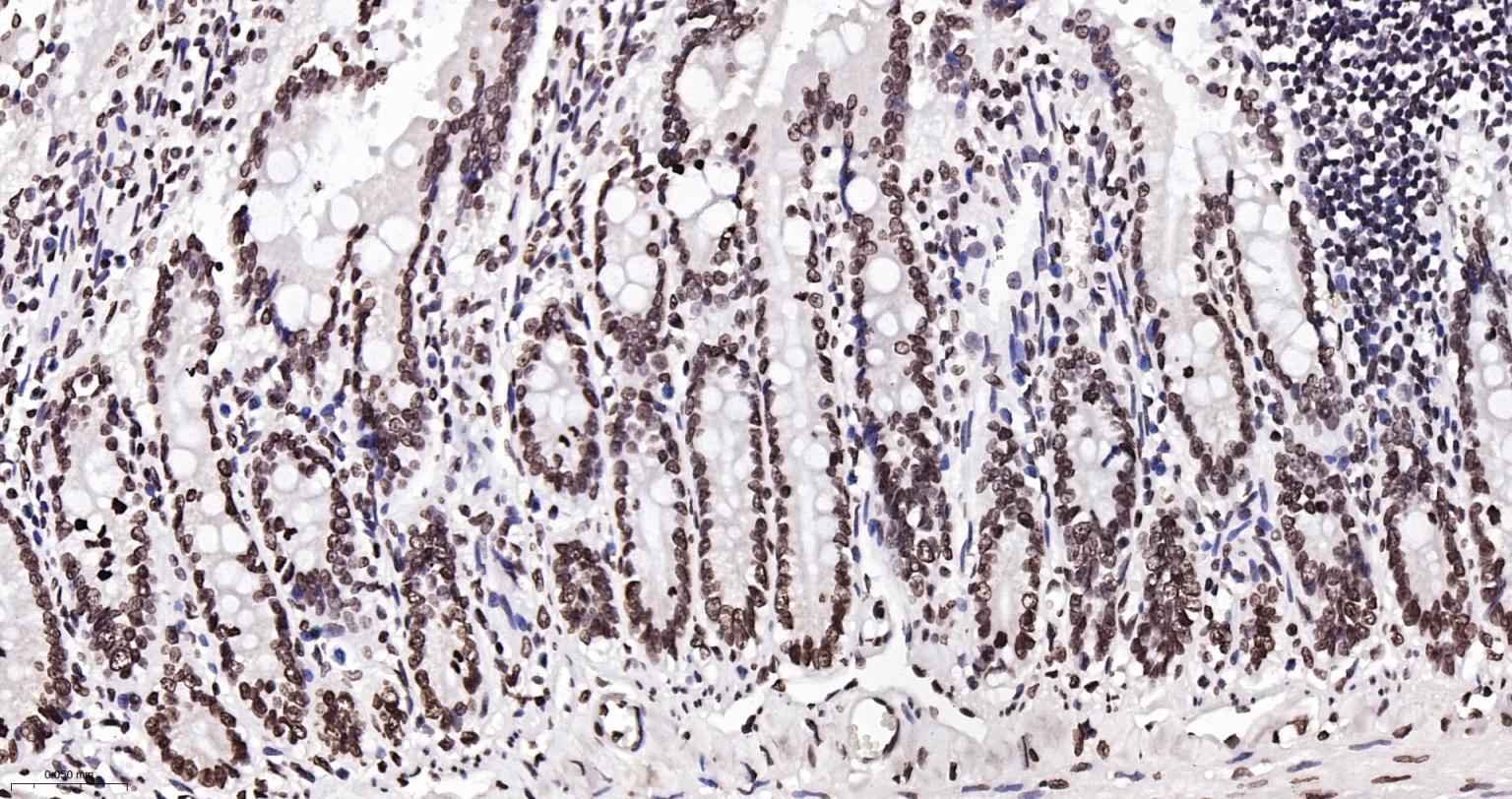
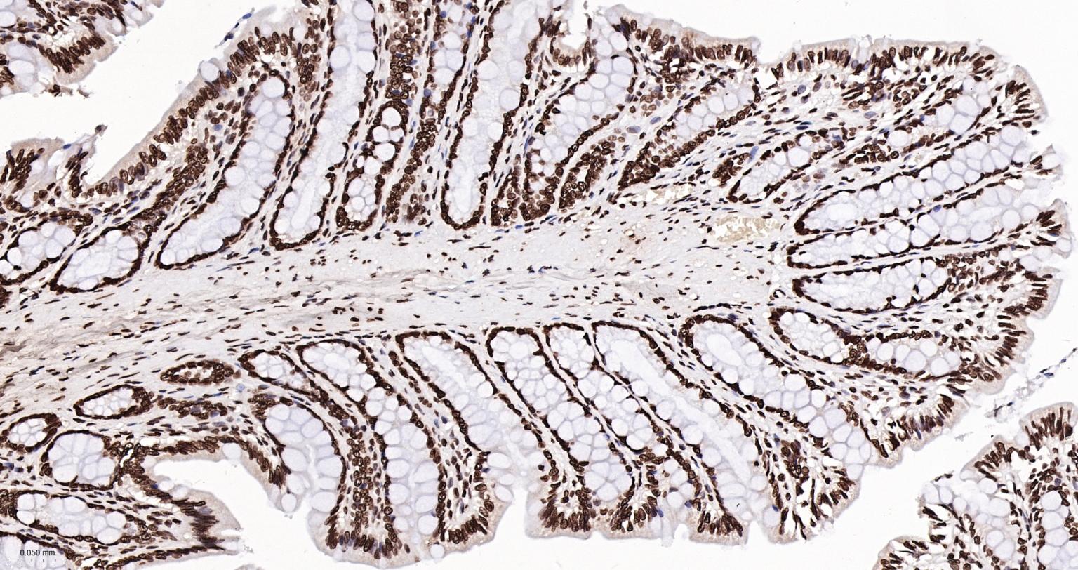
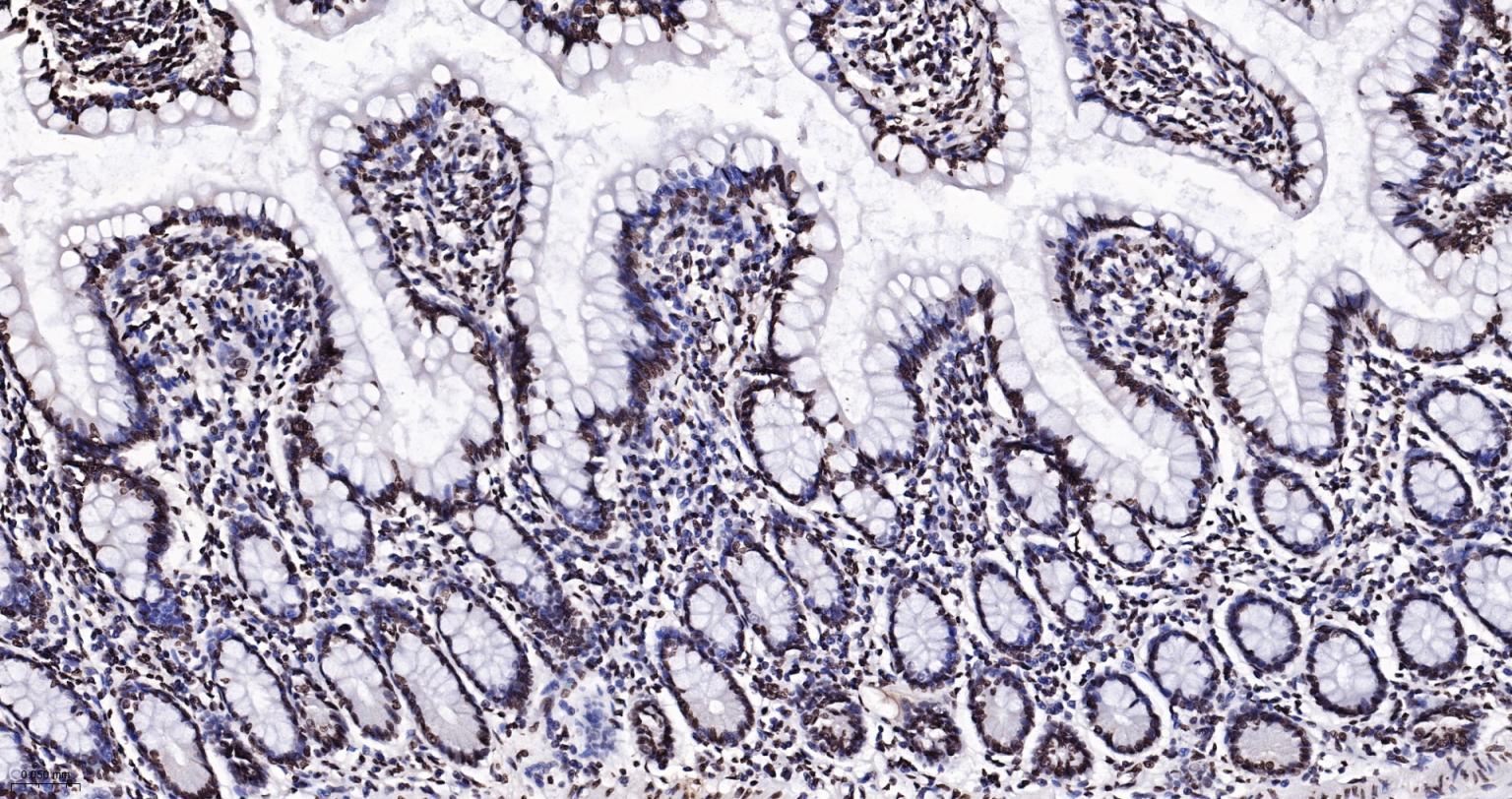
Paraformaldehyde-fixed, paraffin embedded Human Small Intestine; Antigen retrieval by boiling in sodium citrate buffer (pH6.0) for 15 min; The section was incubated with ERCC1 Monoclonal Antibody, Unconjugated (bsm-60230R) at 1:200 overnight at 4°C, followed by conjugation to the bs-0295G-HRP and DAB (C-0010) staining.
Paraformaldehyde-fixed, paraffin embedded Rat Colon; Antigen retrieval by boiling in sodium citrate buffer (pH6.0) for 15 min; The section was incubated with ERCC1 Monoclonal Antibody, Unconjugated (bsm-60230R) at 1:200 overnight at 4°C, followed by conjugation to the bs-0295G-HRP and DAB (C-0010) staining.
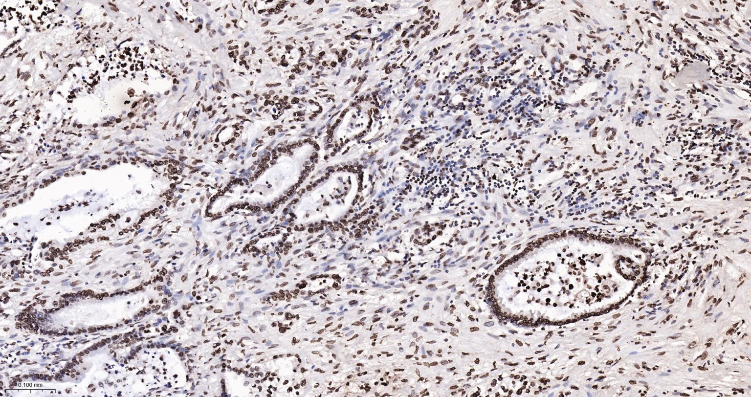
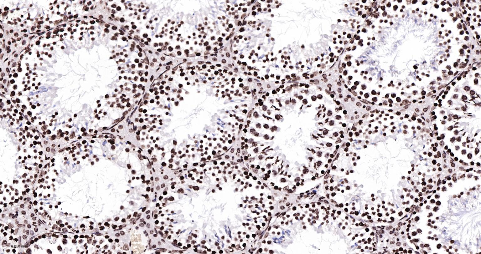
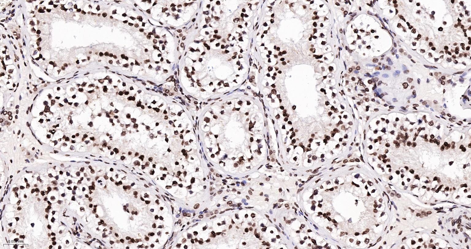
Paraformaldehyde-fixed, paraffin embedded Human Testicles; Antigen retrieval by boiling in sodium citrate buffer (pH6.0) for 15 min; The section was incubated with ERCC1 Monoclonal Antibody, Unconjugated (bsm-60230R) at 1:200 overnight at 4°C, followed by conjugation to the bs-0295G-HRP and DAB (C-0010) staining.
Paraformaldehyde-fixed, paraffin embedded Rat Testicles; Antigen retrieval by boiling in sodium citrate buffer (pH6.0) for 15 min; The section was incubated with ERCC1 Monoclonal Antibody, Unconjugated (bsm-60230R) at 1:200 overnight at 4°C, followed by conjugation to the bs-0295G-HRP and DAB (C-0010) staining.
Paraformaldehyde-fixed, paraffin embedded Mouse Testicles; Antigen retrieval by boiling in sodium citrate buffer (pH6.0) for 15 min; The section was incubated with ERCC1 Monoclonal Antibody, Unconjugated (bsm-60230R) at 1:200 overnight at 4°C, followed by conjugation to the bs-0295G-HRP and DAB (C-0010) staining.
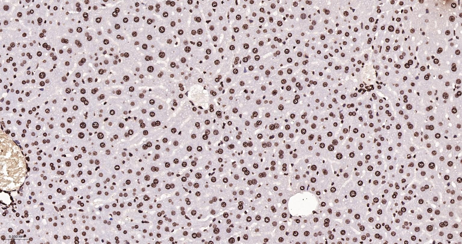
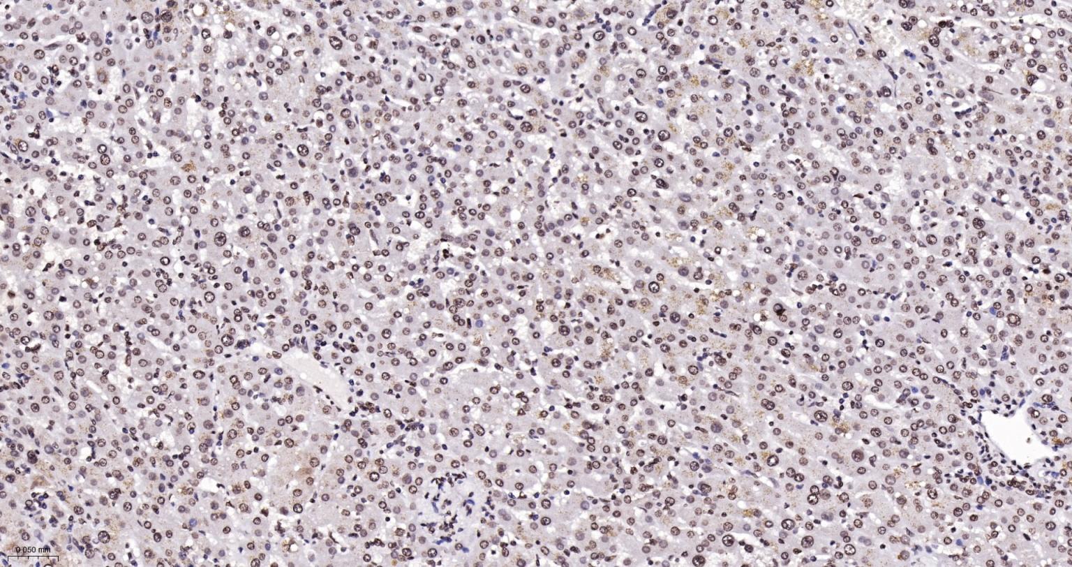
Paraformaldehyde-fixed, paraffin embedded Rat Liver; Antigen retrieval by boiling in sodium citrate buffer (pH6.0) for 15 min; The section was incubated with ERCC1 Monoclonal Antibody, Unconjugated (bsm-60230R) at 1:200 overnight at 4°C, followed by conjugation to the bs-0295G-HRP and DAB (C-0010) staining.
Paraformaldehyde-fixed, paraffin embedded Mouse Liver; Antigen retrieval by boiling in sodium citrate buffer (pH6.0) for 15 min; The section was incubated with ERCC1 Monoclonal Antibody, Unconjugated (bsm-60230R) at 1:200 overnight at 4°C, followed by conjugation to the bs-0295G-HRP and DAB (C-0010) staining.
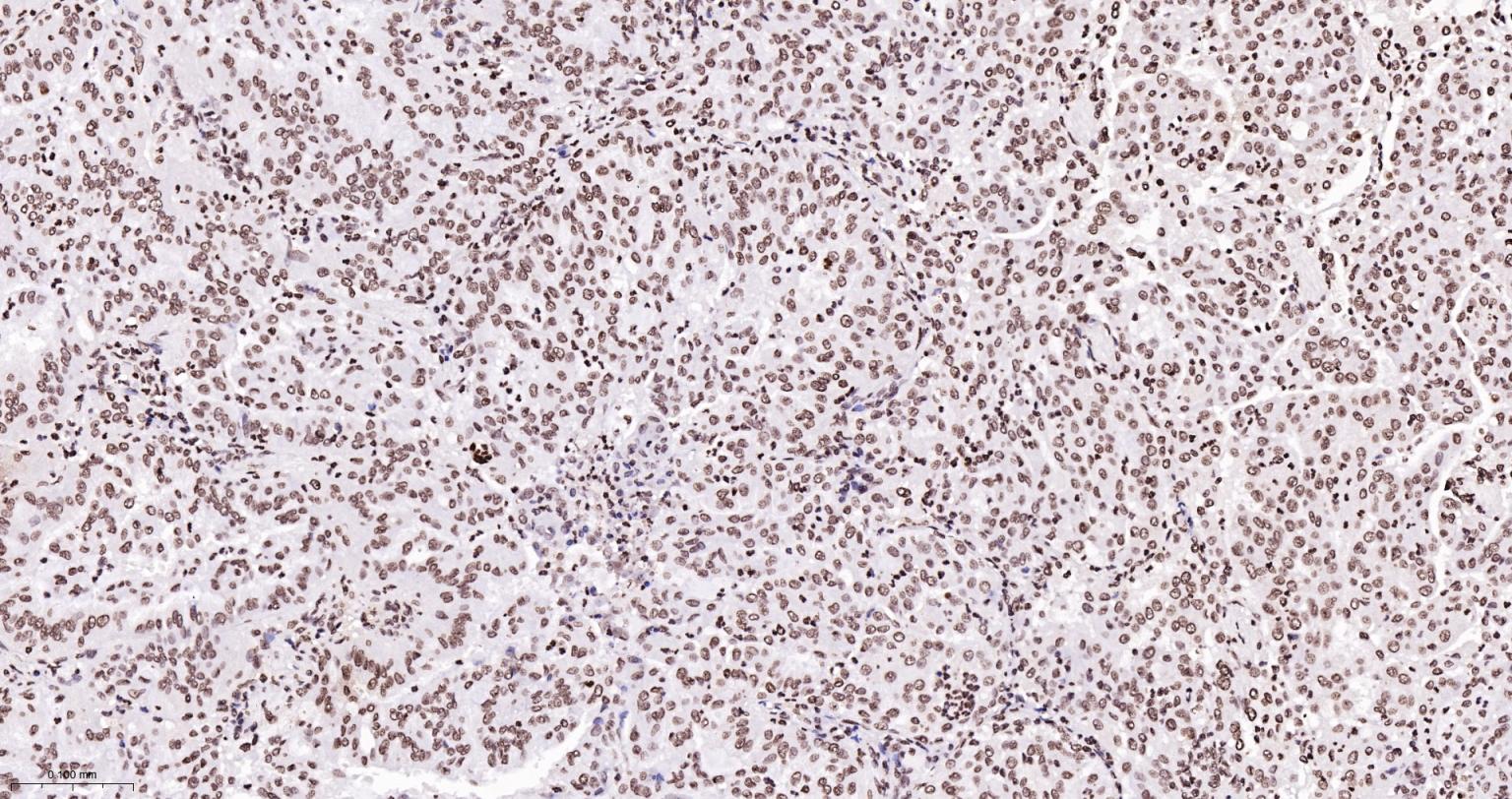
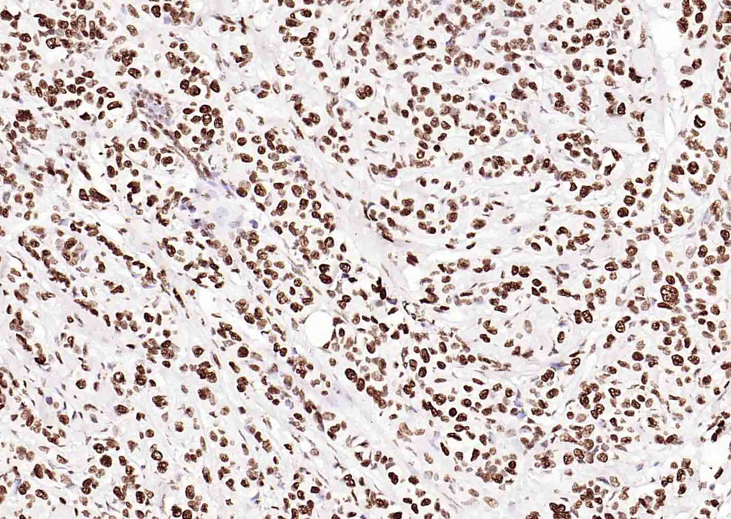
Paraformaldehyde-fixed, paraffin embedded (human pancreatic cancer); Antigen retrieval by boiling in sodium citrate buffer (pH6.0) for 15min; Block endogenous peroxidase by 3% hydrogen peroxide for 20 minutes; Blocking buffer (normal goat serum) at 37°C for 30min; Incubation with (ERCC1 ) Monoclonal Antibody, Unconjugated (bsm-60230R) at 1:200 overnight at 4°C, followed by operating according to SP Kit(Rabbit) (sp-0023)instructionsand DAB staining.
Paraformaldehyde-fixed, paraffin embedded (human breast carcinoma); Antigen retrieval by boiling in sodium citrate buffer (pH6.0) for 15min; Block endogenous peroxidase by 3% hydrogen peroxide for 20 minutes; Blocking buffer (normal goat serum) at 37°C for 30min; Incubation with (ERCC1 ) Monoclonal Antibody, Unconjugated (bsm-60230R) at 1:500 overnight at 4°C, followed by operating according to SP Kit(Rabbit) (sp-0023)instructionsand DAB staining.
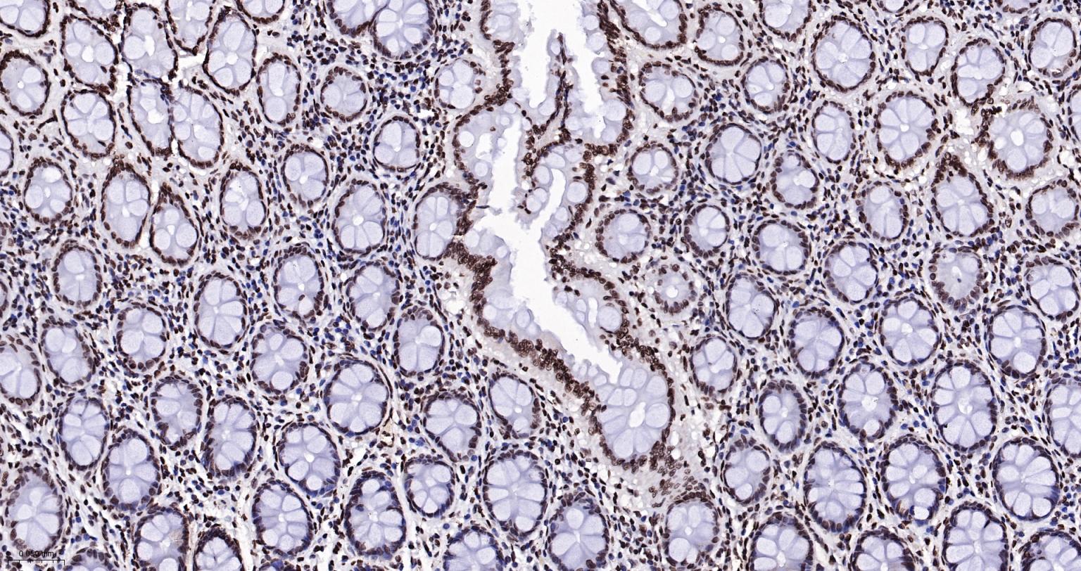
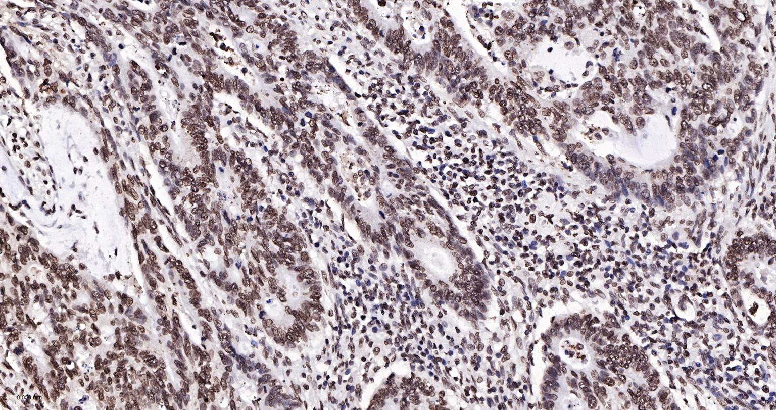
Paraformaldehyde-fixed, paraffin embedded (human colon ); Antigen retrieval by boiling in sodium citrate buffer (pH6.0) for 15min; Block endogenous peroxidase by 3% hydrogen peroxide for 20 minutes; Blocking buffer (normal goat serum) at 37°C for 30min; Incubation with (ERCC1 ) Monoclonal Antibody, Unconjugated (bsm-60230R) at 1:200 overnight at 4°C, followed by operating according to SP Kit(Rabbit) (sp-0023)instructionsand DAB staining.
Paraformaldehyde-fixed, paraffin embedded (human colon carcinoma); Antigen retrieval by boiling in sodium citrate buffer (pH6.0) for 15min; Block endogenous peroxidase by 3% hydrogen peroxide for 20 minutes; Blocking buffer (normal goat serum) at 37°C for 30min; Incubation with (ERCC1 ) Monoclonal Antibody, Unconjugated (bsm-60230R) at 1:200 overnight at 4°C, followed by operating according to SP Kit(Rabbit) (sp-0023)instructionsand DAB staining.
Paraformaldehyde-fixed, paraffin embedded (Mouse colon); Antigen retrieval by boiling in sodium citrate buffer (pH6.0) for 15min; Block endogenous peroxidase by 3% hydrogen peroxide for 20 minutes; Blocking buffer (normal goat serum) at 37°C for 30min; Incubation with (ERCC1 ) Monoclonal Antibody, Unconjugated (bsm-60230R) at 1:200 overnight at 4°C, followed by operating according to SP Kit(Rabbit) (sp-0023)instructionsand DAB staining.
Paraformaldehyde-fixed, paraffin embedded Rat Small Intestine; Antigen retrieval by boiling in sodium citrate buffer (pH6.0) for 15 min; The section was incubated with ERCC1 Monoclonal Antibody, Unconjugated (bsm-60230R) at 1:200 overnight at 4°C, followed by conjugation to the bs-0295G-HRP and DAB (C-0010) staining.
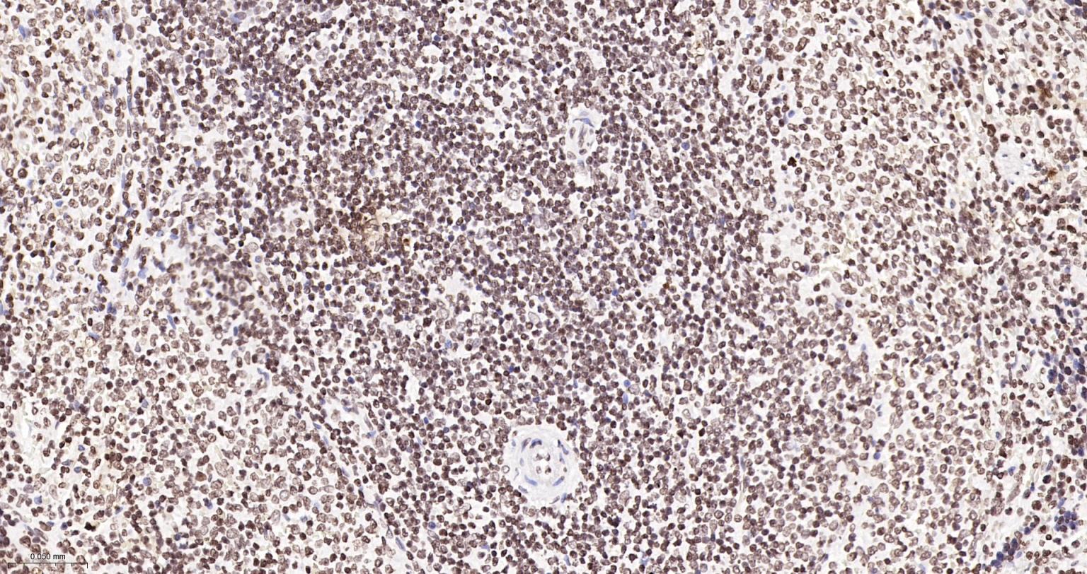
Paraformaldehyde-fixed, paraffin embedded Human Spleen; Antigen retrieval by boiling in sodium citrate buffer (pH6.0) for 15 min; The section was incubated with ERCC1 Monoclonal Antibody, Unconjugated (bsm-60230R) at 1:200 overnight at 4°C, followed by conjugation to the bs-0295G-HRP and DAB (C-0010) staining.
Paraformaldehyde-fixed, paraffin embedded Rat Spleen; Antigen retrieval by boiling in sodium citrate buffer (pH6.0) for 15 min; The section was incubated with ERCC1 Monoclonal Antibody, Unconjugated (bsm-60230R) at 1:200 overnight at 4°C, followed by conjugation to the bs-0295G-HRP and DAB (C-0010) staining.
Paraformaldehyde-fixed, paraffin embedded Mouse Spleen; Antigen retrieval by boiling in sodium citrate buffer (pH6.0) for 15 min; The section was incubated with ERCC1 Monoclonal Antibody, Unconjugated (bsm-60230R) at 1:200 overnight at 4°C, followed by conjugation to the bs-0295G-HRP and DAB (C-0010) staining.
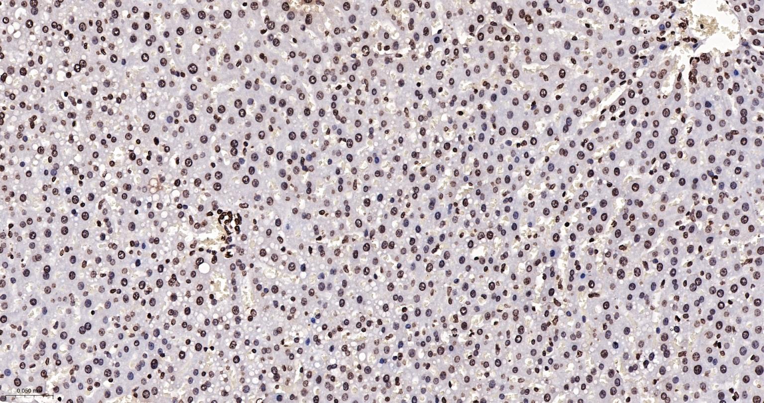
Paraformaldehyde-fixed, paraffin embedded Human Liver; Antigen retrieval by boiling in sodium citrate buffer (pH6.0) for 15 min; The section was incubated with ERCC1 Monoclonal Antibody, Unconjugated (bsm-60230R) at 1:200 overnight at 4°C, followed by conjugation to the bs-0295G-HRP and DAB (C-0010) staining.
Paraformaldehyde-fixed, paraffin embedded (human lung carcinoma); Antigen retrieval by boiling in sodium citrate buffer (pH6.0) for 15min; Block endogenous peroxidase by 3% hydrogen peroxide for 20 minutes; Blocking buffer (normal goat serum) at 37°C for 30min; Incubation with (ERCC1 ) Monoclonal Antibody, Unconjugated (bsm-60230R) at 1:200 overnight at 4°C, followed by operating according to SP Kit(Rabbit) (sp-0023)instructionsand DAB staining.
版权所有 2004-2026 www.bioss.com.cn 北京博奥森生物技术有限公司
通过国际质量管理体系ISO 9001:2015 GB/T 19001-2016    证书编号: 00124Q34771R2M/1100
通过国际医疗器械-质量管理体系ISO 13485:2016 GB/T 42061-2022     证书编号: CQC24QY20047R0M/1100
京ICP备05066980号-1         京公网安备110107000727号