扫码关注公众号           扫码咨询技术支持           扫码咨询技术服务
  
客服热线:400-901-9800  客服QQ:4009019800  技术答疑  技术支持  质量反馈  人才招聘  关于我们  联系我们
产品中心-北京博奥森生物技术有限公司
首页 > 产品中心 > 一抗 > 产品信息
ABCE1 Recombinant Rabbit mAb (bsm-60444R)  
订购热线:400-901-9800
订购邮箱:sales@bioss.com.cn
订购QQ:  400-901-9800
技术支持:techsupport@bioss.com.cn
25ul/800.00元
50ul/1400.00元
100ul/2500.00元
大包装/询价

产品编号 bsm-60444R
英文名称 ABCE1 Recombinant Rabbit mAb
中文名称 核糖核酸酶L抑制蛋白重组兔单抗
别    名 ABC38; OABP; RLI; RLI1; RNASEL1; RNASELI; RNS4I; RNS41; ABCE1_HUMAN; ABCE1; 2'-5'-oligoadenylate-binding protein; HuHP68; RNase L inhibitor; Ribonuclease 4 inhibitor (RNS4I); 3.6.5.-; ABCE1_MOUSE;   
抗体来源 Rabbit
克隆类型 Recombinant
克 隆 号 A12F4
交叉反应 Human,Mouse,Rat
产品应用 WB=1:500-2000,IHC-P=1:50-200,IHC-F=1:50-200,IF=1:50-200,Flow-Cyt=1:50-100,ICC/IF=1:50-200,IP=1:20-50
not yet tested in other applications.
optimal dilutions/concentrations should be determined by the end user.
检测分子量 67
细胞定位 细胞膜 
性    状 Liquid
浓    度 1mg/ml
免 疫 原 A synthesized peptide derived from human ABCE1: 574-599 
亚    型 IgG/Kappa
纯化方法 affinity purified by Protein A
缓 冲 液 0.01M TBS (pH7.4) with 1% BSA, 0.02% Proclin300 and 50% Glycerol.
保存条件 Shipped at 4℃. Store at -20℃ for one year. Avoid repeated freeze/thaw cycles.
注意事项 This product as supplied is intended for research use only, not for use in human, therapeutic or diagnostic applications.
PubMed PubMed
产品介绍 共翻译质量控制因子参与了不通过衰变(NGD)途径。与PELO和HBS1L一起,是80S核糖体形成48S复合物和空位80S核糖体解离所必需的。与PELO和HBS1L一起识别停滞的核糖体并促进组装在不间断mRNAs上的延伸复合物的解离,这触发了mRNA的核内裂解,这是一种释放非功能性核糖体和降解受损mRNAs的机制,是No-Go衰变(NGD)途径的一部分。在mRNA周转的调控中起作用,在线粒体外膜定位mRNA翻译的质量控制中起作用。作为PINK1调控信号的一部分,在线粒体损伤时被CNOT4泛素化;这种修饰产生多泛素信号,将自噬受体招募到线粒体外膜并启动有丝分裂吞噬。RNASEL特异性蛋白抑制剂,拮抗2-5A(5'-磷酸化2',5'-连接的寡腺苷酸)与RNASEL的结合。干扰素调节的2-5A/RNASEL途径抗病毒作用的负调节因子。
产品图片
25 ug total protein per lane of various lysates (see on figure) probed with ABCE1 monoclonal antibody, unconjugated (bsm-60444R) at 1:1000 dilution and 4°C overnight incubation. Followed by conjugated secondary antibody incubation at r.t. for 60 min.
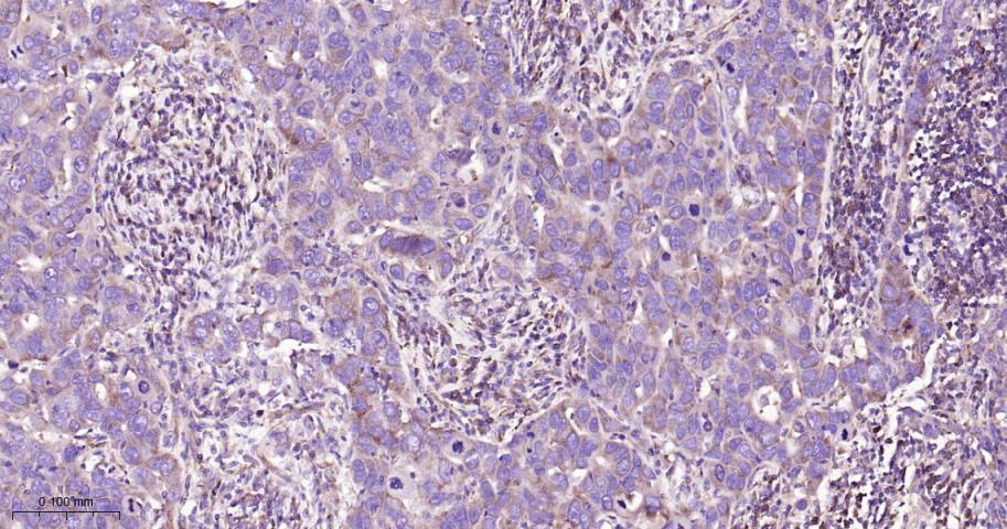
Paraformaldehyde-fixed, paraffin embedded Human Breast Cancer; Antigen retrieval by boiling in sodium citrate buffer (pH6.0) for 15 min; The section was incubated with ABCE1 Monoclonal Antibody, Unconjugated (bsm-60444R) at 1:200 overnight at 4°C, followed by conjugation to the bs-0295G-HRP and DAB (C-0010) staining.
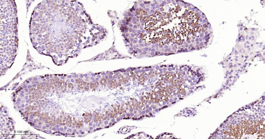
Paraformaldehyde-fixed, paraffin embedded Rat Testicles; Antigen retrieval by boiling in sodium citrate buffer (pH6.0) for 15 min; The section was incubated with ABCE1 Monoclonal Antibody, Unconjugated (bsm-60444R) at 1:200 overnight at 4°C, followed by conjugation to the bs-0295G-HRP and DAB (C-0010) staining.
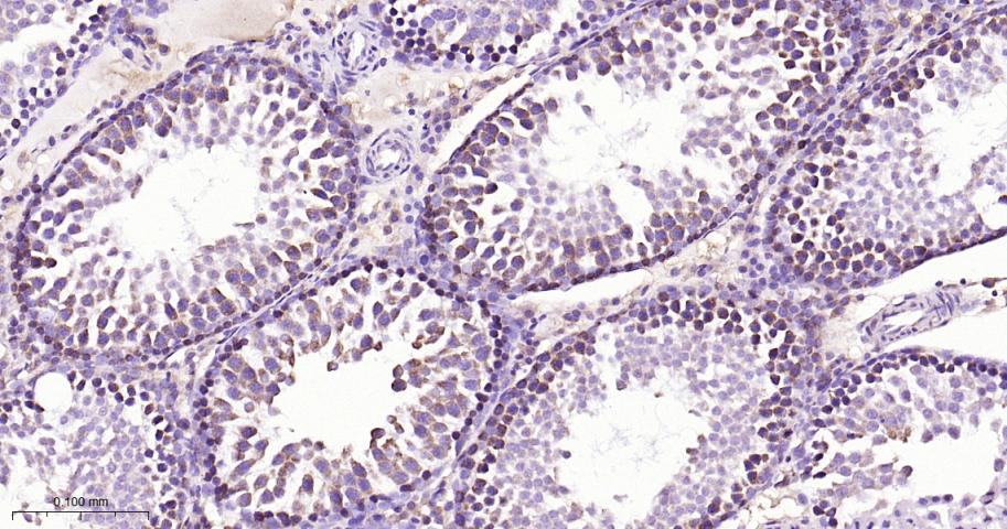
Paraformaldehyde-fixed, paraffin embedded Mouse Testicles; Antigen retrieval by boiling in sodium citrate buffer (pH6.0) for 15 min; The section was incubated with ABCE1 Monoclonal Antibody, Unconjugated (bsm-60444R) at 1:200 overnight at 4°C, followed by conjugation to the bs-0295G-HRP and DAB (C-0010) staining.
The Hela (H) cells were fixed with 4% PFA (10 min at r.t.) and then permeabilized with 90% ice-cold methanol for 20 min at -20℃,the cells then were incubated in 5%BSA to block non-specific protein-protein interactions (30 min at r.t.), followed by secondary antibody incubation for 40 min at room temperature. Primary Antibody (green):Rabbit Anti-ABCE1 antibody (bsm-60444R,1:100); Isotype Control (orange): Rabbit IgG (bs-0295P). Blank control (black): PBS. Acquisition of 20,000 events was performed.
版权所有 2004-2026 www.bioss.com.cn 北京博奥森生物技术有限公司
通过国际质量管理体系ISO 9001:2015 GB/T 19001-2016    证书编号: 00124Q34771R2M/1100
通过国际医疗器械-质量管理体系ISO 13485:2016 GB/T 42061-2022     证书编号: CQC24QY20047R0M/1100
京ICP备05066980号-1         京公网安备110107000727号