扫码关注公众号           扫码咨询技术支持           扫码咨询技术服务
  
客服热线:400-901-9800  客服QQ:4009019800  技术答疑  技术支持  质量反馈  人才招聘  关于我们  联系我们
产品中心-北京博奥森生物技术有限公司
首页 > 产品中心 > 一抗 > 产品信息
SATB1 Recombinant Rabbit mAb (bsm-60618R)  
订购热线:400-901-9800
订购邮箱:sales@bioss.com.cn
订购QQ:  400-901-9800
技术支持:techsupport@bioss.com.cn
25ul/800.00元
50ul/1400.00元
100ul/2500.00元
大包装/询价

产品编号 bsm-60618R
英文名称 SATB1 Recombinant Rabbit mAb
中文名称 核基质结合区结合蛋白1重组兔单抗
别    名 DEFDA; DHDBV; KTZSL; 2610306G12Rik; SATB1_HUMAN; SATB1; Special AT-rich sequence-binding protein 1; SATB1_MOUSE;   
抗体来源 Rabbit
克隆类型 Recombinant
克 隆 号 H6D4
交叉反应 Human,Mouse,Rat
产品应用 WB=1:500-2000,IHC-P=1:50-200,IHC-F=1:50-200,IF=1:50-200,Flow-Cyt=1:50-100,ICC/IF=1:100-500
not yet tested in other applications.
optimal dilutions/concentrations should be determined by the end user.
检测分子量 100
细胞定位 细胞核 
性    状 Liquid
浓    度 1mg/ml
亚    型 IgG
纯化方法 affinity purified by Protein A
缓 冲 液 0.01M TBS (pH7.4) with 1% BSA, 0.02% Proclin300 and 50% Glycerol.
保存条件 Shipped at 4℃. Store at -20℃ for one year. Avoid repeated freeze/thaw cycles.
注意事项 This product as supplied is intended for research use only, not for use in human, therapeutic or diagnostic applications.
PubMed PubMed
产品介绍 促成 Xist RNA 介导的 X 失活启动的关键沉默因子,发生在胚胎发生和淋巴瘤中。在富含 AT 的特殊序列(共有 SATB1 结合序列 (CSBS),在核基质或支架相关区域)与 DNA 结合。认为识别双链 DNA 的糖磷酸结构。通过与 DNA 的基质附着区 (MAR) 结合并诱导局部染色质环重塑,以磷酸化和乙酰化状态依赖性方式控制核和病毒基因表达的转录抑制因子。作为几种染色质重塑酶(例如 MHC-I 位点的 PML)的停靠位点,还可以直接向启动子和增强子募集辅抑制因子 (HDAC) 或辅激活因子 (HAT)。调节对来自胸腺细胞的免疫 T 细胞 CD8SP 的成熟至关重要的基因。需要转换胎儿珠蛋白种类,以及在红细胞分化过程中调节 β 和 γ 珠蛋白基因。
产品图片
25 ug total protein per lane of various lysates (see on figure) probed with SATB1 monoclonal antibody, unconjugated (bsm-60618R) at 1:1000 dilution and 4°C overnight incubation. Followed by conjugated secondary antibody incubation at r.t. for 60 min.
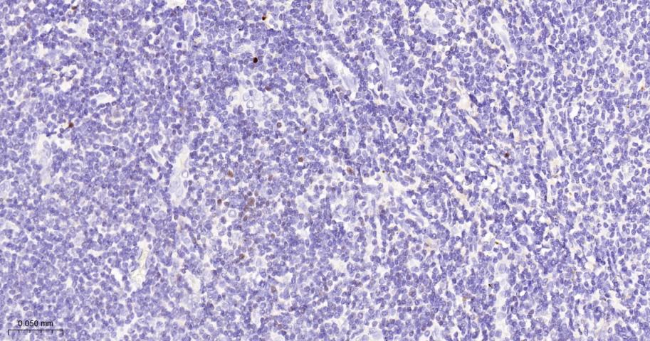
Paraformaldehyde-fixed, paraffin embedded Human Thymus; Antigen retrieval by boiling in sodium citrate buffer (pH6.0) for 15 min; The section was incubated with SATB1 Monoclonal Antibody, Unconjugated (bsm-60618R) at 1:200 overnight at 4°C, followed by conjugation to the bs-0295G-HRP and DAB (C-0010) staining.
Paraformaldehyde-fixed, paraffin embedded Rat Thymus; Antigen retrieval by boiling in sodium citrate buffer (pH6.0) for 15 min; The section was incubated with SATB1 Monoclonal Antibody, Unconjugated (bsm-60618R) at 1:200 overnight at 4°C, followed by conjugation to the bs-0295G-HRP and DAB (C-0010) staining.
Paraformaldehyde-fixed, paraffin embedded Mouse Thymus; Antigen retrieval by boiling in sodium citrate buffer (pH6.0) for 15 min; The section was incubated with SATB1 Monoclonal Antibody, Unconjugated (bsm-60618R) at 1:200 overnight at 4°C, followed by conjugation to the bs-0295G-HRP and DAB (C-0010) staining.
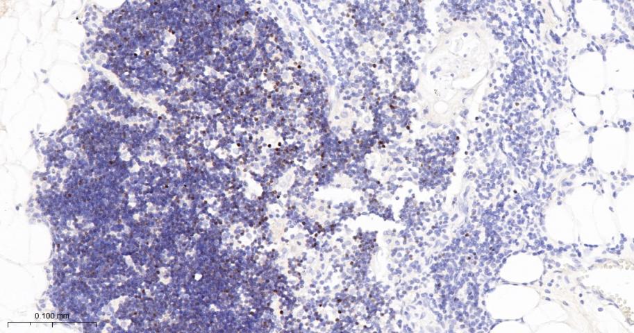
Paraformaldehyde-fixed, paraffin embedded Rat Spleen; Antigen retrieval by boiling in sodium citrate buffer (pH6.0) for 15 min; The section was incubated with SATB1 Monoclonal Antibody, Unconjugated (bsm-60618R) at 1:200 overnight at 4°C, followed by conjugation to the bs-0295G-HRP and DAB (C-0010) staining.
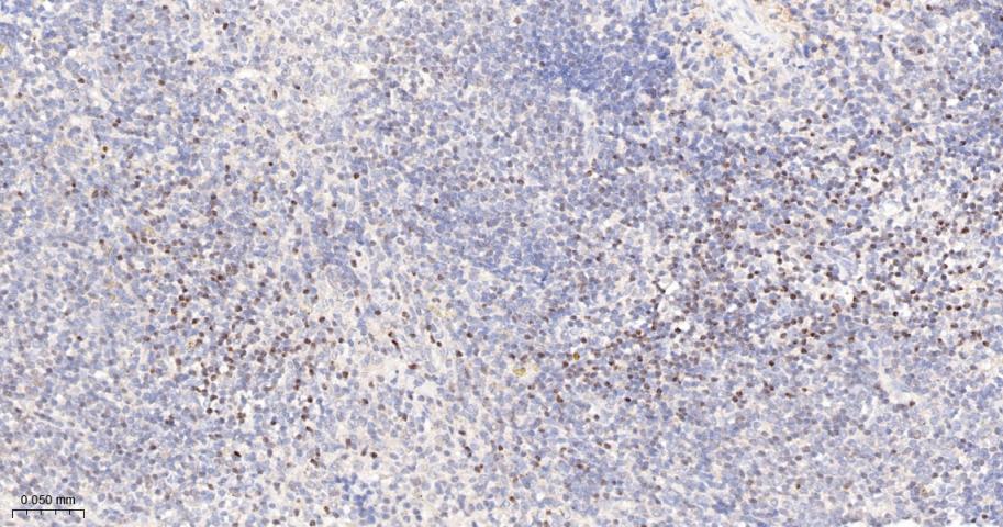
Paraformaldehyde-fixed, paraffin embedded Mouse Spleen; Antigen retrieval by boiling in sodium citrate buffer (pH6.0) for 15 min; The section was incubated with SATB1 Monoclonal Antibody, Unconjugated (bsm-60618R) at 1:200 overnight at 4°C, followed by conjugation to the bs-0295G-HRP and DAB (C-0010) staining.
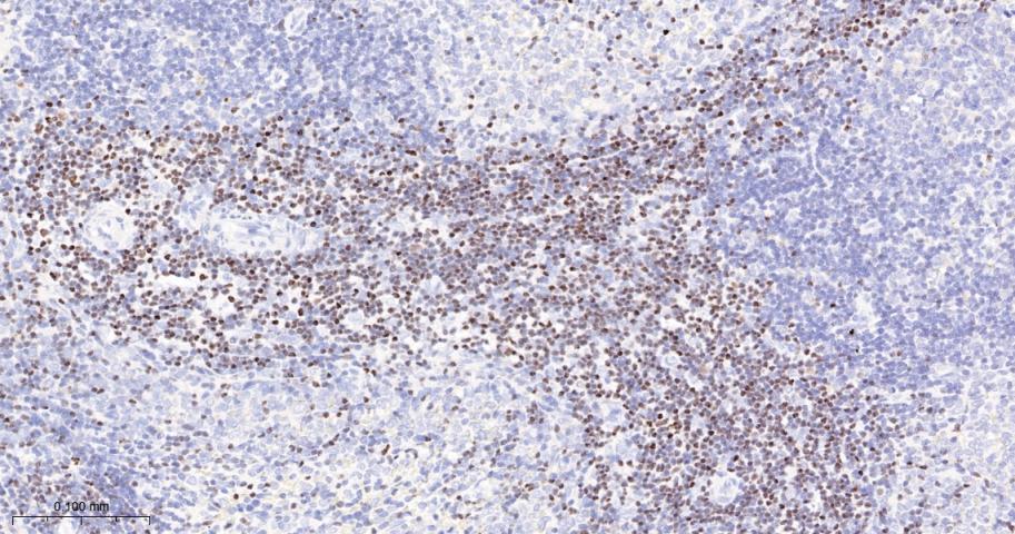
Paraformaldehyde-fixed, paraffin embedded Human Tonsil; Antigen retrieval by boiling in sodium citrate buffer (pH6.0) for 15 min; The section was incubated with SATB1 Monoclonal Antibody, Unconjugated (bsm-60618R) at 1:200 overnight at 4°C, followed by conjugation to the bs-0295G-HRP and DAB (C-0010) staining.
4% Paraformaldehyde-fixed THP-1 (H) cell; Triton X-100 at r.t. for 20 min; Antibody incubation with (SATB1) monoclonal Antibody, unconjugated (bsm-60618R) 1:100, 90 min at 37°C; followed by conjugated Goat Anti-Rabbit IgG antibody (green, bs-60295G-BF488) at 37°C for 90 min, DAPI (blue, C02-04002) was used to stain the cell nuclei. PBS instead of the primary antibody was used as the blank control.
The THP-1 (H) cells were fixed with 4% PFA (10 min at r.t.) and then permeabilized with 90% ice-cold methanol for 20 min at -20℃,the cells then were incubated in 5%BSA to block non-specific protein-protein interactions (30 min at r.t.), followed by secondary antibody incubation for 40 min at room temperature. Primary Antibody (green):Rabbit Anti-SATB1 antibody (bsm-60618R,1:100); Isotype Control (orange): Rabbit IgG (bs-0295P). Blank control (black): PBS. Acquisition of 20,000 events was performed.
版权所有 2004-2026 www.bioss.com.cn 北京博奥森生物技术有限公司
通过国际质量管理体系ISO 9001:2015 GB/T 19001-2016    证书编号: 00124Q34771R2M/1100
通过国际医疗器械-质量管理体系ISO 13485:2016 GB/T 42061-2022     证书编号: CQC24QY20047R0M/1100
京ICP备05066980号-1         京公网安备110107000727号