扫码关注公众号           扫码咨询技术支持           扫码咨询技术服务
  
客服热线:400-901-9800  客服QQ:4009019800  技术答疑  技术支持  质量反馈  人才招聘  关于我们  联系我们
产品中心-北京博奥森生物技术有限公司
首页 > 产品中心 > 一抗 > 产品信息
LY75 Recombinant Rabbit mAb (bsm-60593R)  
订购热线:400-901-9800
订购邮箱:sales@bioss.com.cn
订购QQ:  400-901-9800
技术支持:techsupport@bioss.com.cn
25ul/800.00元
50ul/1400.00元
100ul/2500.00元
大包装/询价

产品编号 bsm-60593R
英文名称 LY75 Recombinant Rabbit mAb
中文名称 淋巴细胞抗原75(CD205)重组兔单抗
别    名 CD205; CLEC13B; DEC-205; GP200-MR6; LY-75; LY75_HUMAN; LY75; C-type lectin domain family 13 member B;   
抗体来源 Rabbit
克隆类型 Recombinant
克 隆 号 D11H12
交叉反应 Human,Mouse,Rat
产品应用 WB=1:500-2000,IHC-P=1:100-500,IHC-F=1:100-500,IF=1:100-500
not yet tested in other applications.
optimal dilutions/concentrations should be determined by the end user.
理论分子量 195 kDa
检测分子量 245
细胞定位 细胞浆 
性    状 Liquid
浓    度 1mg/ml
免 疫 原 A synthesized peptide derived from human DEC 205: 1650-1722/1722 
亚    型 IgG
纯化方法 affinity purified by Protein A
缓 冲 液 0.01M TBS (pH7.4) with 1% BSA, 0.02% Proclin300 and 50% Glycerol.
保存条件 Shipped at 4℃. Store at -20℃ for one year. Avoid repeated freeze/thaw cycles.
注意事项 This product as supplied is intended for research use only, not for use in human, therapeutic or diagnostic applications.
PubMed PubMed
产品介绍 Predicted to enable signaling receptor activity. Predicted to be involved in immune response and inflammatory response. Located in extracellular exosome. [provided by Alliance of Genome Resources, Apr 2022]

Subcellular Location:
Membrane; Single-pass type I membrane protein.

Tissue Specificity:
Expressed in spleen, thymus, colon and peripheral blood lymphocytes. Detected in myeloid and B-lymphoid cell lines. Isoform 2 and isoform 3 are expressed in malignant Hodgkin lymphoma cells called Hodgkin and Reed-Sternberg (HRS) cells.

Database links:

Entrez Gene: 4065 Human

SwissProt: O60449 Human



LY75/DEC-205是一种介导胞吞作用的多凝集素受体,主要表达于树突状细胞和胸腺上皮细胞表面,属于巨噬细胞甘露糖受体家族成员。
产品图片
25 ug total protein per lane of various lysates (see on figure) probed with LY75 monoclonal antibody, unconjugated (bsm-60593R) at 1:1000 dilution and 4°C overnight incubation. Followed by conjugated secondary antibody incubation at r.t. for 60 min.
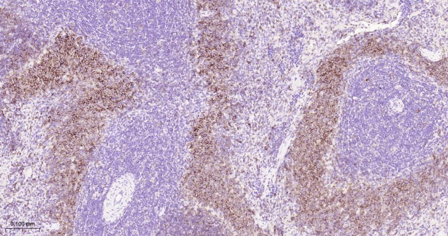
Paraformaldehyde-fixed, paraffin embedded Human Tonsil; Antigen retrieval by boiling in sodium citrate buffer (pH6.0) for 15 min; Antibody incubation with LY75 Monoclonal Antibody, Unconjugated(bsm-60593R) at 1:200 overnight at 4°C, followed by conjugation to the bs-0295G-HRP and DAB (C-0010) staining.
Paraformaldehyde-fixed, paraffin embedded Human Thymus; Antigen retrieval by boiling in sodium citrate buffer (pH6.0) for 15 min; Antibody incubation with LY75 Monoclonal Antibody, Unconjugated(bsm-60593R) at 1:200 overnight at 4°C, followed by conjugation to the bs-0295G-HRP and DAB (C-0010) staining.
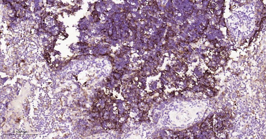
Paraformaldehyde-fixed, paraffin embedded Rat Thymus; Antigen retrieval by boiling in sodium citrate buffer (pH6.0) for 15 min; Antibody incubation with LY75 Monoclonal Antibody, Unconjugated(bsm-60593R) at 1:200 overnight at 4°C, followed by conjugation to the bs-0295G-HRP and DAB (C-0010) staining.
Paraformaldehyde-fixed, paraffin embedded Rat Spleen; Antigen retrieval by boiling in sodium citrate buffer (pH6.0) for 15 min; Antibody incubation with LY75 Monoclonal Antibody, Unconjugated(bsm-60593R) at 1:200 overnight at 4°C, followed by conjugation to the bs-0295G-HRP and DAB (C-0010) staining.
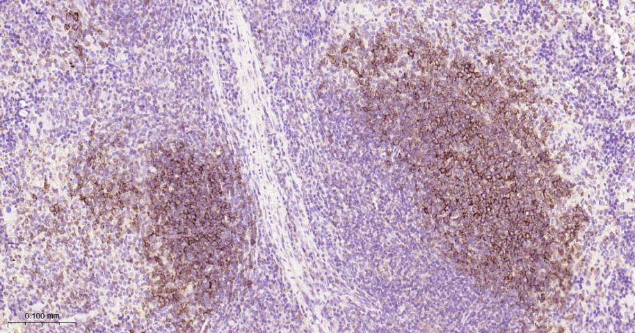
Paraformaldehyde-fixed, paraffin embedded Mouse Spleen; Antigen retrieval by boiling in sodium citrate buffer (pH6.0) for 15 min; Antibody incubation with LY75 Monoclonal Antibody, Unconjugated(bsm-60593R) at 1:200 overnight at 4°C, followed by conjugation to the bs-0295G-HRP and DAB (C-0010) staining.
版权所有 2004-2026 www.bioss.com.cn 北京博奥森生物技术有限公司
通过国际质量管理体系ISO 9001:2015 GB/T 19001-2016    证书编号: 00124Q34771R2M/1100
通过国际医疗器械-质量管理体系ISO 13485:2016 GB/T 42061-2022     证书编号: CQC24QY20047R0M/1100
京ICP备05066980号-1         京公网安备110107000727号