扫码关注公众号           扫码咨询技术支持           扫码咨询技术服务
  
客服热线:400-901-9800  客服QQ:4009019800  技术答疑  技术支持  质量反馈  人才招聘  关于我们  联系我们
产品中心-北京博奥森生物技术有限公司
首页 > 产品中心 > 一抗 > 产品信息
PRMT5 Recombinant Rabbit mAb (bsm-60525R)  
订购热线:400-901-9800
订购邮箱:sales@bioss.com.cn
订购QQ:  400-901-9800
技术支持:techsupport@bioss.com.cn
25ul/800.00元
50ul/1400.00元
100ul/2500.00元
大包装/询价

产品编号 bsm-60525R
英文名称 PRMT5 Recombinant Rabbit mAb
中文名称 组蛋白精氨酸甲基转移酶5重组兔单抗
别    名 HRMT1L5; HSL7; IBP72; JBP1; SKB1; SKB1Hs; ANM5_HUMAN; PRMT5; 72 kDa ICln-binding protein; Histone-arginine N-methyltransferase PRMT5; Jak-binding protein 1; Shk1 kinase-binding protein 1 homolog (SKB1 homolog | SKB1Hs); 2.1.1.320; ANM5_MOUSE; Shk1 kinase-  
抗体来源 Rabbit
克隆类型 Recombinant
克 隆 号 D1B12
交叉反应 Human,Mouse,Rat
产品应用 WB=1:500-1000,IHC-P=1:50-200,IHC-F=1:50-200,IF=1:50-200,Flow-Cyt=1:50-100
not yet tested in other applications.
optimal dilutions/concentrations should be determined by the end user.
理论分子量 70 kDa
细胞定位 细胞膜 
性    状 Liquid
浓    度 1mg/ml
亚    型 IgG/Kappa
纯化方法 affinity purified by Protein A
缓 冲 液 0.01M TBS (pH7.4) with 1% BSA, 0.02% Proclin300 and 50% Glycerol.
保存条件 Shipped at 4℃. Store at -20℃ for one year. Avoid repeated freeze/thaw cycles.
注意事项 This product as supplied is intended for research use only, not for use in human, therapeutic or diagnostic applications.
PubMed PubMed
产品介绍 This gene encodes an enzyme that belongs to the methyltransferase family. The encoded protein catalyzes the transfer of methyl groups to the amino acid arginine, in target proteins that include histones, transcriptional elongation factors and the tumor suppressor p53. This gene plays a role in several cellular processes, including transcriptional regulation, and the assembly of small nuclear ribonucleoproteins. A pseudogene of this gene has been defined on chromosome 4. Alternative splicing results in multiple transcript variants encoding different isoforms. [provided by RefSeq, Sep 2015]

精氨酸甲基转移酶,既能催化omega-N单甲基精氨酸(MMA)和对称二甲基精氨酸(sDMA)的形成,又能优先催化MMA的形成。特异性介导小核核糖核蛋白smd1(SNRPD1)和smd3(SNRPD3)中精氨酸残基的对称二甲基化;这种甲基化是snRNP核心粒子组装和生物生成所必需的。甲基化SUPT5H并可能调节其转录延伸特性。髓鞘碱性蛋白(MBP)精氨酸残基的单酸和二甲基化。可能在细胞因子激活的转导途径中发挥作用。负调控细胞周期素E1启动子活性和细胞增殖。在生殖细胞发育过程中甲基化组蛋白H2A和H4'Arg-3'。甲基化组蛋白H3'Arg-8',可能抑制转录。甲基化Piwi蛋白(PIWIL1,PIWIL2和PIWIL4),Piwi蛋白甲基化是与包含Tudor结构域的蛋白质相互作用和随后定位到减数分裂的细微差别所必需的。
产品图片
Paraformaldehyde-fixed, paraffin embedded Human Breast Cancer; Antigen retrieval by boiling in sodium citrate buffer (pH6.0) for 15 min; The section was incubated with PRMT5 Monoclonal Antibody, Unconjugated (bsm-60525R) at 1:200 overnight at 4°C, followed by conjugation to the bs-0295G-HRP and DAB (C-0010) staining.
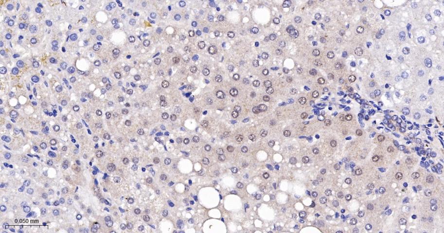
Paraformaldehyde-fixed, paraffin embedded Human Liver; Antigen retrieval by boiling in sodium citrate buffer (pH6.0) for 15 min; The section was incubated with PRMT5 Monoclonal Antibody, Unconjugated (bsm-60525R) at 1:200 overnight at 4°C, followed by conjugation to the bs-0295G-HRP and DAB (C-0010) staining.
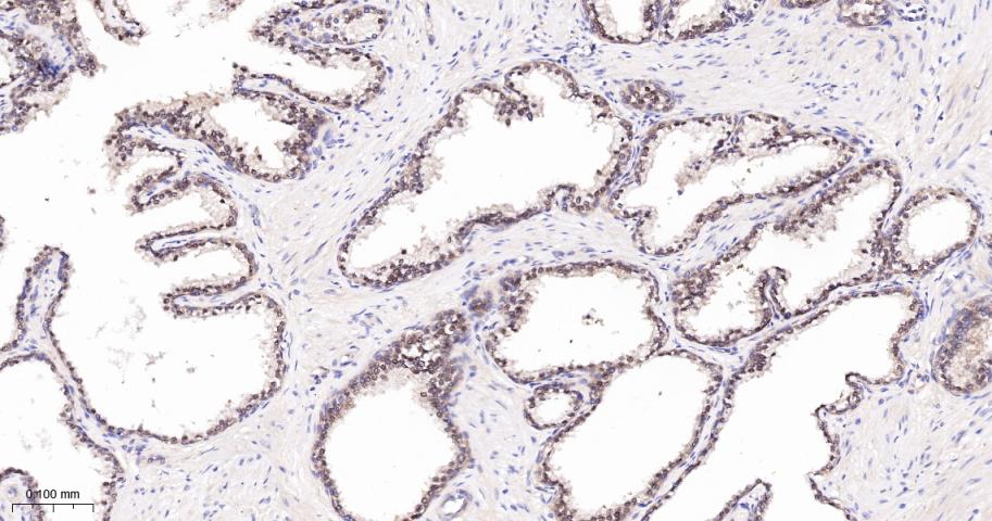
Paraformaldehyde-fixed, paraffin embedded Human Prostate Cancer; Antigen retrieval by boiling in sodium citrate buffer (pH6.0) for 15 min; The section was incubated with PRMT5 Monoclonal Antibody, Unconjugated (bsm-60525R) at 1:200 overnight at 4°C, followed by conjugation to the bs-0295G-HRP and DAB (C-0010) staining.
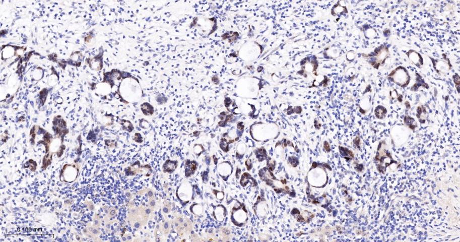
Paraformaldehyde-fixed, paraffin embedded Human Liver Cancer; Antigen retrieval by boiling in sodium citrate buffer (pH6.0) for 15 min; The section was incubated with PRMT5 Monoclonal Antibody, Unconjugated (bsm-60525R) at 1:200 overnight at 4°C, followed by conjugation to the bs-0295G-HRP and DAB (C-0010) staining.
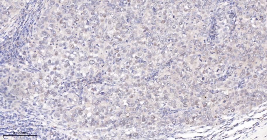
Paraformaldehyde-fixed, paraffin embedded Human Lung Cancer; Antigen retrieval by boiling in sodium citrate buffer (pH6.0) for 15 min; The section was incubated with PRMT5 Monoclonal Antibody, Unconjugated (bsm-60525R) at 1:200 overnight at 4°C, followed by conjugation to the bs-0295G-HRP and DAB (C-0010) staining.
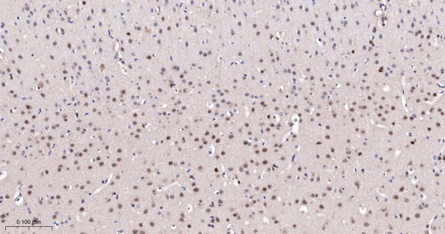
Paraformaldehyde-fixed, paraffin embedded Rat Cerebrum; Antigen retrieval by boiling in sodium citrate buffer (pH6.0) for 15 min; The section was incubated with PRMT5 Monoclonal Antibody, Unconjugated (bsm-60525R) at 1:200 overnight at 4°C, followed by conjugation to the bs-0295G-HRP and DAB (C-0010) staining.
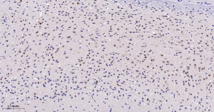
Paraformaldehyde-fixed, paraffin embedded Mouse Cerebrum; Antigen retrieval by boiling in sodium citrate buffer (pH6.0) for 15 min; The section was incubated with PRMT5 Monoclonal Antibody, Unconjugated (bsm-60525R) at 1:200 overnight at 4°C, followed by conjugation to the bs-0295G-HRP and DAB (C-0010) staining.
The Hela (H) cells were fixed with 4% PFA (10 min at r.t.) and then permeabilized with 90% ice-cold methanol for 20 min at -20℃,the cells then were incubated in 5%BSA to block non-specific protein-protein interactions (30 min at r.t.),followed by secondary antibody incubation for 40 min at room temperature. Primary Antibody (green):Rabbit Anti-PRMT5 antibody (bsm-60525R,1:100); Isotype Control (orange): Rabbit IgG (bs-0295P). Blank control (black): PBS. Acquisition of 20,000 events was performed.
版权所有 2004-2026 www.bioss.com.cn 北京博奥森生物技术有限公司
通过国际质量管理体系ISO 9001:2015 GB/T 19001-2016    证书编号: 00124Q34771R2M/1100
通过国际医疗器械-质量管理体系ISO 13485:2016 GB/T 42061-2022     证书编号: CQC24QY20047R0M/1100
京ICP备05066980号-1         京公网安备110107000727号