扫码关注公众号           扫码咨询技术支持           扫码咨询技术服务
  
客服热线:400-901-9800  客服QQ:4009019800  技术答疑  技术支持  质量反馈  人才招聘  关于我们  联系我们
产品中心-北京博奥森生物技术有限公司
首页 > 产品中心 > 一抗 > 产品信息
TG Recombinant Rabbit mAb (bsm-60597R)  
订购热线:400-901-9800
订购邮箱:sales@bioss.com.cn
订购QQ:  400-901-9800
技术支持:techsupport@bioss.com.cn
25ul/800.00元
50ul/1400.00元
100ul/2500.00元
大包装/询价

产品编号 bsm-60597R
英文名称 TG Recombinant Rabbit mAb
中文名称 甲状腺球蛋白重组兔单抗
别    名 AITD3; TGN; cog; THYG_HUMAN; TG; THYG_MOUSE; THYG_RAT;  
抗体来源 Rabbit
克隆类型 Recombinant
克 隆 号 A7B9
交叉反应 Human,Mouse,Rat
产品应用 WB=1:1000-5000,IHC-P=1:200-800,IHC-F=1:200-800,IF=1:200-800
not yet tested in other applications.
optimal dilutions/concentrations should be determined by the end user.
理论分子量 660 kDa
检测分子量 300-350
细胞定位 细胞外基质 分泌型蛋白 
性    状 Liquid
浓    度 1mg/ml
免 疫 原 A synthesized peptide derived from human Thyroglobulin: 1001-1023/2768 
亚    型 IgG
纯化方法 affinity purified by Protein A
缓 冲 液 0.01M TBS (pH7.4) with 1% BSA, 0.02% Proclin300 and 50% Glycerol.
保存条件 Shipped at 4℃. Store at -20℃ for one year. Avoid repeated freeze/thaw cycles.
注意事项 This product as supplied is intended for research use only, not for use in human, therapeutic or diagnostic applications.
PubMed PubMed
产品介绍 Thyroglobulin (Tg) is a glycoprotein homodimer produced predominantly by the thryroid gland. It acts as a substrate for the synthesis of thyroxine and triiodothyronine as well as the storage of the inactive forms of thyroid hormone and iodine. Thyroglobulin is secreted from the endoplasmic reticulum to its site of iodination, and subsequent thyroxine biosynthesis, in the follicular lumen. Mutations in this gene cause thyroid dyshormonogenesis, manifested as goiter, and are associated with moderate to severe congenital hypothyroidism. Polymorphisms in this gene are associated with susceptibility to autoimmune thyroid diseases (AITD) such as Graves disease and Hashimoto thryoiditis. [provided by RefSeq, Nov 2009]

SWISS:
P01266

Gene ID:
7038

Database links:

Entrez Gene: 7038 Human

SwissProt: P01266 Human



用作生产碘化甲状腺激素甲状腺素(T4)和三碘甲状腺素(T3)的底物。 T3和T4的合成涉及对TG /甲状腺球蛋白的选定酪氨酸残基加碘,然后在甲状腺滤泡内腔中进行氧化偶联。 在TG重新内在化和溶酶体介导的蛋白水解之后,T3和T4从多肽主链释放,导致它们分泌到血液中。 一个二聚体产生7个甲状腺激素分子。
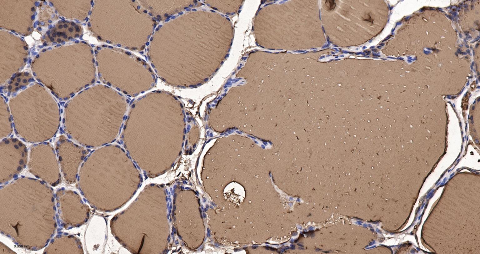
产品图片
25 ug total protein per lane of various lysates (see on figure) probed with TG monoclonal antibody, unconjugated (bsm-60597R) at 1:1000 dilution and 4°C overnight incubation. Followed by conjugated secondary antibody incubation at r.t. for 60 min.
Paraformaldehyde-fixed, paraffin embedded Rat Thyroid Gland; Antigen retrieval by boiling in sodium citrate buffer (pH6.0) for 15 min; Antibody incubation with TG Monoclonal Antibody, Unconjugated(bsm-60597R) at 1:200 overnight at 4°C, followed by conjugation to the bs-0295G-HRP and DAB (C-0010) staining.
Paraformaldehyde-fixed, paraffin embedded Mouse Thyroid Gland; Antigen retrieval by boiling in sodium citrate buffer (pH6.0) for 15 min; Antibody incubation with TG Monoclonal Antibody, Unconjugated(bsm-60597R) at 1:200 overnight at 4°C, followed by conjugation to the bs-0295G-HRP and DAB (C-0010) staining.
Paraformaldehyde-fixed, paraffin embedded Human Thyroid Cancer; Antigen retrieval by boiling in sodium citrate buffer (pH6.0) for 15 min; Antibody incubation with TG Monoclonal Antibody, Unconjugated(bsm-60597R) at 1:200 overnight at 4°C, followed by conjugation to the bs-0295G-HRP and DAB (C-0010) staining.
版权所有 2004-2026 www.bioss.com.cn 北京博奥森生物技术有限公司
通过国际质量管理体系ISO 9001:2015 GB/T 19001-2016    证书编号: 00124Q34771R2M/1100
通过国际医疗器械-质量管理体系ISO 13485:2016 GB/T 42061-2022     证书编号: CQC24QY20047R0M/1100
京ICP备05066980号-1         京公网安备110107000727号