扫码关注公众号           扫码咨询技术支持           扫码咨询技术服务
  
客服热线:400-901-9800  客服QQ:4009019800  技术答疑  技术支持  质量反馈  人才招聘  关于我们  联系我们
产品中心-北京博奥森生物技术有限公司
首页 > 产品中心 > 一抗 > 产品信息
SPINK1 Recombinant Rabbit mAb (bsm-60323R)  
订购热线:400-901-9800
订购邮箱:sales@bioss.com.cn
订购QQ:  400-901-9800
技术支持:techsupport@bioss.com.cn
25ul/800.00元
50ul/1400.00元
100ul/2500.00元
大包装/询价

产品编号 bsm-60323R
英文名称 SPINK1 Recombinant Rabbit mAb
中文名称 肿瘤相关胰蛋白酶抑制剂1重组兔单抗
别    名 PCTT; PSTI; Spink3; TATI; TCP; ISK1_HUMAN; SPINK1; Pancreatic secretory trypsin inhibitor; Tumor-associated trypsin inhibitor (TATI);   
抗体来源 Rabbit
克隆类型 Recombinant
克 隆 号 E5F9
交叉反应 Human
产品应用 IHC-P=1:50-200,IHC-F=1:50-200,IF=1:50-200
not yet tested in other applications.
optimal dilutions/concentrations should be determined by the end user.
理论分子量 6.2 kDa
细胞定位 分泌型蛋白 
性    状 Liquid
浓    度 1mg/ml
免 疫 原 A synthesized peptide derived from human SPINK1: 1-79/79 
亚    型 IgG
纯化方法 affinity purified by Protein A
缓 冲 液 0.01M TBS (pH7.4) with 1% BSA, 0.02% Proclin300 and 50% Glycerol.
保存条件 Shipped at 4℃. Store at -20℃ for one year. Avoid repeated freeze/thaw cycles.
注意事项 This product as supplied is intended for research use only, not for use in human, therapeutic or diagnostic applications.
PubMed PubMed
产品介绍 The protein encoded by this gene is a trypsin inhibitor, which is secreted from pancreatic acinar cells into pancreatic juice. It is thought to function in the prevention of trypsin-catalyzed premature activation of zymogens within the pancreas and the pancreatic duct. Mutations in this gene are associated with hereditary pancreatitis and tropical calcific pancreatitis. [provided by RefSeq, Oct 2008]

Subcellular Location:
Secreted.

Database links:

Entrez Gene: 6690 Human

SwissProt: P00995 Human



丝氨酸蛋白酶抑制剂因子Kazal 1型(SPINK1)是蛋白酶抑制剂家族的成员之一。因其在卵巢癌,胰腺癌,肝细胞癌,结直肠癌,前列腺癌等恶性肿瘤的发生、发展及预后中发挥重要作用,因此,SPINK1作为一种肿瘤标志物的临床应用受到广泛关注。
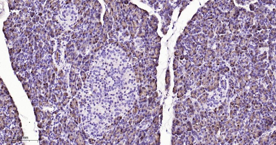
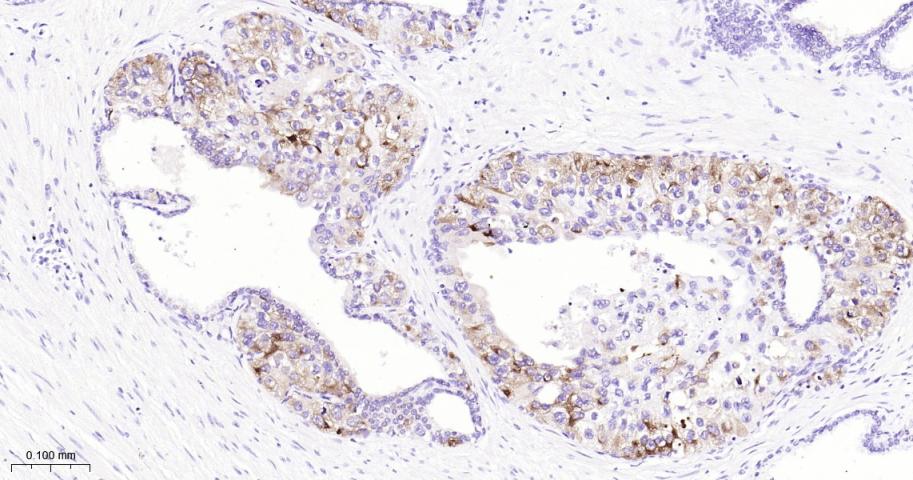
产品图片
Paraformaldehyde-fixed, paraffin embedded Human Pancreas; Antigen retrieval by boiling in sodium citrate buffer (pH6.0) for 15 min; The section was incubated with SPINK1 Monoclonal Antibody, Unconjugated (bsm-60323R) at 1:200 overnight at 4°C, followed by conjugation to the bs-0295G-HRP and DAB (C-0010) staining.
Paraformaldehyde-fixed, paraffin embedded Human Prostate Cancer; Antigen retrieval by boiling in sodium citrate buffer (pH6.0) for 15 min; The section was incubated with SPINK1 Monoclonal Antibody, Unconjugated (bsm-60323R) at 1:200 overnight at 4°C, followed by conjugation to the bs-0295G-HRP and DAB (C-0010) staining.
版权所有 2004-2026 www.bioss.com.cn 北京博奥森生物技术有限公司
通过国际质量管理体系ISO 9001:2015 GB/T 19001-2016    证书编号: 00124Q34771R2M/1100
通过国际医疗器械-质量管理体系ISO 13485:2016 GB/T 42061-2022     证书编号: CQC24QY20047R0M/1100
京ICP备05066980号-1         京公网安备110107000727号