扫码关注公众号           扫码咨询技术支持           扫码咨询技术服务
  
客服热线:400-901-9800  客服QQ:4009019800  技术答疑  技术支持  质量反馈  关于我们  联系我们
产品中心-北京博奥森生物技术有限公司
首页 > 产品中心 > 一抗 > 产品信息
CD3G Recombinant Rabbit mAb (bsm-60390R)  
订购热线:400-901-9800
订购邮箱:sales@bioss.com.cn
订购QQ:  400-901-9800
技术支持:techsupport@bioss.com.cn
25ul/800.00元
50ul/1400.00元
100ul/2500.00元
大包装/询价

产品编号 bsm-60390R
英文名称 CD3G Recombinant Rabbit mAb
中文名称 CD3G重组兔单抗
别    名 CD3-GAMMA; CD3g; CD3g antigen gamma polypeptide; CD3g molecule gamma(CD3 TCRcomplex); CD3gmoleculegamma; CD3G_HUMAN; FLJ17620; FLJ17664; FLJ79544; FLJ94613; MGC138597; T cell antigen receptor complex gamma subunit of T3; T-cell receptor T3 gamma chain; T-cell surface glycoprotein CD3 gamma chain; T3G.  
研究领域 免疫学  t-淋巴细胞  
抗体来源 Rabbit
克隆类型 Recombinant
克 隆 号 B6H3
交叉反应 Human
产品应用 WB=1:500-1000,IHC-P=1:500-2000,IHC-F=1:500-2000,IF=1:500-2000,ICC/IF=1:50-200
not yet tested in other applications.
optimal dilutions/concentrations should be determined by the end user.
理论分子量 20 kDa
检测分子量
细胞定位 细胞膜 
性    状 Liquid
浓    度 1mg/ml
免 疫 原 KLH conjugated synthetic peptide derived from human CD3G 
亚    型 IgG
纯化方法 affinity purified by Protein A
缓 冲 液 0.01M TBS (pH7.4) with 1% BSA, 0.02% Proclin300 and 50% Glycerol.
保存条件 Shipped at 4℃. Store at -20℃ for one year. Avoid repeated freeze/thaw cycles.
注意事项 This product as supplied is intended for research use only, not for use in human, therapeutic or diagnostic applications.
PubMed PubMed
产品介绍 The protein encoded by this gene is the CD3-gamma polypeptide, which together with CD3-epsilon, -delta and -zeta, and the T-cell receptor alpha/beta and gamma/delta heterodimers, forms the T-cell receptor-CD3 complex. This complex plays an important role in coupling antigen recognition to several intracellular signal-transduction pathways. The genes encoding the epsilon, gamma and delta polypeptides are located in the same cluster on chromosome 11. Defects in this gene are associated with T cell immunodeficiency. [provided by RefSeq, Jul 2008]

Function:
Part of the TCR-CD3 complex present on T-lymphocyte cell surface that plays an essential role in adaptive immune response. When antigen presenting cells (APCs) activate T-cell receptor (TCR), TCR-mediated signals are transmitted across the cell membrane by the CD3 chains CD3D, CD3E, CD3G and CD3Z. All CD3 chains contain immunoreceptor tyrosine-based activation motifs (ITAMs) in their cytoplasmic domain. Upon TCR engagement, these motifs become phosphorylated by Src family protein tyrosine kinases LCK and FYN, resulting in the activation of downstream signaling pathways (PubMed:2470098). In addition to this role of signal transduction in T-cell activation, CD3G plays an essential role in the dynamic regulation of TCR expression at the cell surface (PubMed:8187769). Indeed, constitutive TCR cycling is dependent on the di-leucine-based (diL) receptor-sorting motif present in CD3G.

Subcellular Location:
membrane

Post-translational modifications:
Phosphorylated on Tyr residues after T-cell receptor triggering by LCK in association with CD4/CD8 (PubMed:2470098). Phosphorylated also by PKC; leading to the TCR complex down-regulation (PubMed:8187769).

Similarity:
Contains 1 Ig-like (immunoglobulin-like) domain.
Contains 1 ITAM domain.

SWISS:
P09693

Gene ID:
917

Database links:

Entrez Gene: 281055 Cow

Entrez Gene: 489383 Dog

Entrez Gene: 917 Human

Entrez Gene: 12502 Mouse

Entrez Gene: 494013 Pig

Entrez Gene: 300678 Rat

Entrez Gene: 443398 Sheep

Omim: 186740 Human

SwissProt: Q28074 Cow

SwissProt: P09693 Human

SwissProt: P11942 Mouse

SwissProt: Q5PXD3 Pig

SwissProt: Q64159 Rat

SwissProt: P18439 Sheep

Unigene: 2259 Human

Unigene: 335106 Mouse

Unigene: 234374 Rat



产品图片
Blocking buffer: 5% NFDM/TBST Primary ab dilution: 1:1000 Primary ab incubation condition: 2 hours at room temperature Secondary ab: Goat Anti-Rabbit IgG H&L (HRP) Lysate: Jurkat Protein loading quantity: 20 μg Exposure time: 60 s Predicted MW: 20 kDa Observed MW: 18-28 kDa
Sample: Lane 1: Human Jurkat cell Lysates Lane 2: Human MOLT4 cell Lysates Primary: Anti-CD3G (bsm-60390R) at 1/1000 dilution Secondary: IRDye800CW Goat Anti-Rabbit IgG at 1/20000 dilution Predicted band size: 20kDa Observed band size: 25kDa
Tissue: Human colon Section type: Formalin fixed & Paraffin -embedded section Retrieval method: High temperature and high pressure Retrieval buffer: Tris/EDTA buffer, pH 9.0 Primary ab dilution: 1:2000 Primary ab incubation condition: 1 hour at room temperature Secondary ab: SP Kit(Rabbit) (sp-0023) Counter stain: Hematoxylin (Blue) Comment: Color brown is the positive signal for bsm-60390R
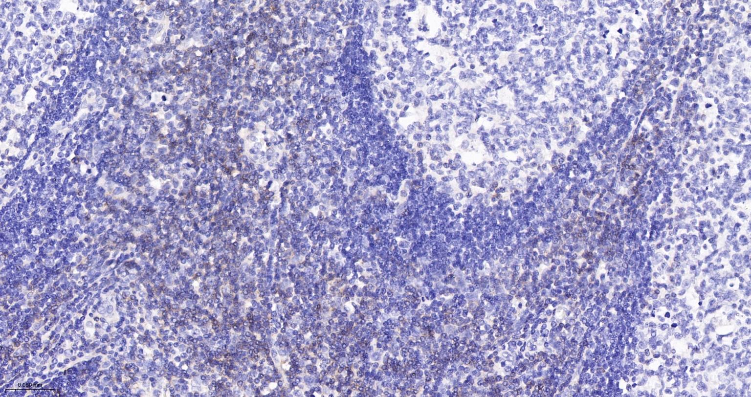
Tissue: Human tonsil Section type: Formalin fixed & Paraffin -embedded section Retrieval method: High temperature and high pressure Retrieval buffer: Tris/EDTA buffer, pH 9.0 Primary ab dilution: 1:1000 Primary ab incubation condition: 1 hour at room temperature Secondary ab: SP Kit(Rabbit) (sp-0023) Counter stain: Hematoxylin (Blue) Comment: Color brown is the positive signal for bsm-60390R
Cell line: Jurkat Fixative: 4% Paraformaldehyde Permeabilization: 0.1% TritonX-100 Primary ab dilution: 1:50 Primary incubation condition: 4°C overnight Secondary ab: Goat Anti-Rabbit IgG Nuclear counter stain: DAPI (Blue) Comment: Color green is the positive signal for bsm-60390R
版权所有 2004-2026 www.bioss.com.cn 北京博奥森生物技术有限公司
通过国际质量管理体系ISO 9001:2015 GB/T 19001-2016    证书编号: 00124Q34771R2M/1100
通过国际医疗器械-质量管理体系ISO 13485:2016 GB/T 42061-2022     证书编号: CQC24QY20047R0M/1100
京ICP备05066980号-1         京公网安备110107000727号