扫码关注公众号           扫码咨询技术支持           扫码咨询技术服务
  
客服热线:400-901-9800  客服QQ:4009019800  技术答疑  技术支持  质量反馈  人才招聘  关于我们  联系我们
产品中心-北京博奥森生物技术有限公司
首页 > 产品中心 > 一抗 > 产品信息
SIGLEC1 Recombinant Rabbit mAb (bsm-60328R)  
订购热线:400-901-9800
订购邮箱:sales@bioss.com.cn
订购QQ:  400-901-9800
技术支持:techsupport@bioss.com.cn
25ul/800.00元
50ul/1400.00元
100ul/2500.00元
大包装/询价

产品编号 bsm-60328R
英文名称 SIGLEC1 Recombinant Rabbit mAb
中文名称 CD169重组兔单抗
别    名 CD169; SIGLEC-1; SN; SN_HUMAN; SIGLEC1; Sialic acid-binding Ig-like lectin 1 (Siglec-1); SN_MOUSE; Sheep erythrocyte receptor (SER); Sa;   
研究领域 免疫学  微生物学  b-淋巴细胞  
抗体来源 Rabbit
克隆类型 Recombinant
克 隆 号 B4H12
交叉反应 Human
产品应用 IHC-P=1:200-1000,IHC-F=1:200-1000,IF=1:200-1000,Flow-Cyt=1:50-100
not yet tested in other applications.
optimal dilutions/concentrations should be determined by the end user.
理论分子量 186 kDa
细胞定位 细胞膜 分泌型蛋白 
性    状 Liquid
浓    度 1mg/ml
免 疫 原 KLH conjugated synthetic peptide derived from human SIGLEC1 
亚    型 IgG
纯化方法 affinity purified by Protein A
缓 冲 液 0.01M TBS (pH7.4) with 1% BSA, 0.02% Proclin300 and 50% Glycerol.
保存条件 Shipped at 4℃. Store at -20℃ for one year. Avoid repeated freeze/thaw cycles.
注意事项 This product as supplied is intended for research use only, not for use in human, therapeutic or diagnostic applications.
PubMed PubMed
产品介绍 This gene encodes a member of the immunoglobulin superfamily. The encoded protein is a lectin-like adhesion molecule that binds glycoconjugate ligands on cell surfaces in a sialic acid-dependent manner. It is a type I transmembrane protein expressed only by a subpopulation of macrophages and is involved in mediating cell-cell interactions. Alternative splicing produces a transcript variant encoding an isoform that is soluble rather than membrane-bound; however, the full-length nature of this variant has not been determined. [provided by RefSeq, Jul 2008].

Function:
Acts as an endocytic receptor mediating clathrin dependent endocytosis. Macrophage-restricted adhesion molecule that mediates sialic-acid dependent binding to lymphocytes, including granulocytes, monocytes, natural killer cells, B-cells and CD8 T-cells. Preferentially binds to alpha-2,3-linked sialic acid. Binds to SPN/CD43 on T-cells. May play a role in hemopoiesis.

Subunit:
Isoform 1: Cell membrane; Single-pass type I membrane protein. Isoform 2: Secreted.

Subcellular Location:
Expressed by macrophages in various tissues. High levels are found in spleen, lymph node, perivascular macrophages in brain and lower levels in bone marrow, liver Kupffer cells and lamina propria of colon and lung. Also expressed by inflammatory macrophages in rheumatoid arthritis.

Similarity:
Belongs to the immunoglobulin superfamily. SIGLEC (sialic acid binding Ig-like lectin) family.
Contains 16 Ig-like C2-type (immunoglobulin-like) domains.
Contains 1 Ig-like V-type (immunoglobulin-like) domain.

SWISS:
Q9BZZ2

Gene ID:
6614

Database links:

Entrez Gene: 6614 Human

Entrez Gene: 20612 Mouse

Omim: 600751 Human

SwissProt: Q9BZZ2 Human

SwissProt: Q62230 Mouse

Unigene: 31869 Human

Unigene: 1374 Mouse



CD169,又称sialoadhesin(Sn)或Siglee-1,这是一种200kDa的I型跨膜糖蛋白,由炎性巨噬细胞特异性表达,在细胞-细胞或细胞-基质的相互作用中发挥主要作用。可识别乳癌细胞的MUC1(CD227)和T细胞的CD43。CD169在脾、淋巴结、骨髓的基质巨噬细胞上表达最强,在肝、肠、肺的长驻巨噬细胞上中等表达,慢性炎组织的巨噬细胞,例如类风湿性滑膜、动脉粥样硬化性斑块,也强烈表达CD169。
产品图片
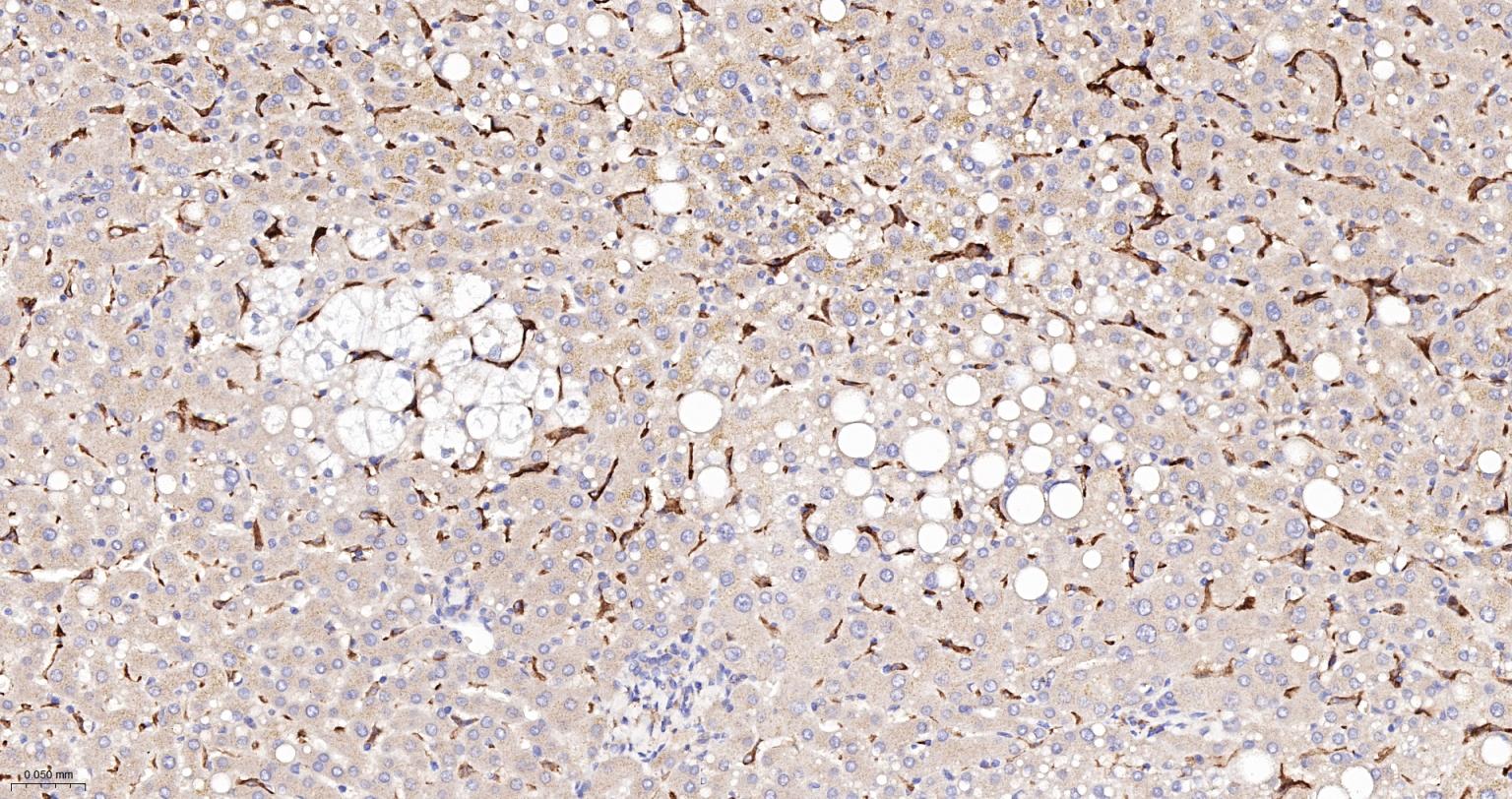
Paraformaldehyde-fixed, paraffin embedded Human Liver; Antigen retrieval by boiling in sodium citrate buffer (pH6.0) for 15 min; The section was incubated with SIGLEC1 Monoclonal Antibody, Unconjugated (bsm-60328R) at 1:300 overnight at 4°C, followed by conjugation to the bs-0295G-HRP and DAB (C-0010) staining.
Paraformaldehyde-fixed, paraffin embedded Human Cervical Cancer; Antigen retrieval by boiling in sodium citrate buffer (pH6.0) for 15 min; The section was incubated with SIGLEC1 Monoclonal Antibody, Unconjugated (bsm-60328R) at 1:300 overnight at 4°C, followed by conjugation to the bs-0295G-HRP and DAB (C-0010) staining.
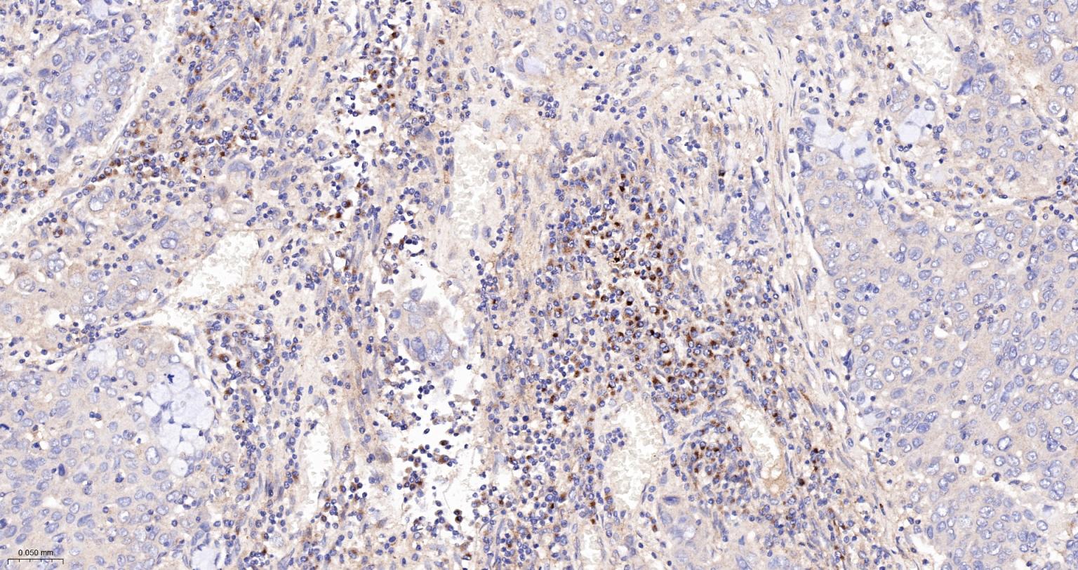
Paraformaldehyde-fixed, paraffin embedded Human Lung Cancer; Antigen retrieval by boiling in sodium citrate buffer (pH6.0) for 15 min; The section was incubated with SIGLEC1 Monoclonal Antibody, Unconjugated (bsm-60328R) at 1:300 overnight at 4°C, followed by conjugation to the bs-0295G-HRP and DAB (C-0010) staining.
版权所有 2004-2026 www.bioss.com.cn 北京博奥森生物技术有限公司
通过国际质量管理体系ISO 9001:2015 GB/T 19001-2016    证书编号: 00124Q34771R2M/1100
通过国际医疗器械-质量管理体系ISO 13485:2016 GB/T 42061-2022     证书编号: CQC24QY20047R0M/1100
京ICP备05066980号-1         京公网安备110107000727号