扫码关注公众号           扫码咨询技术支持           扫码咨询技术服务
  
客服热线:400-901-9800  客服QQ:4009019800  技术答疑  技术支持  质量反馈  关于我们  联系我们
产品中心-北京博奥森生物技术有限公司
首页 > 产品中心 > 一抗 > 产品信息
Desmin Recombinant Rabbit mAb (bsm-60266R)  
订购热线:400-901-9800
订购邮箱:sales@bioss.com.cn
订购QQ:  400-901-9800
技术支持:techsupport@bioss.com.cn
25ul/800.00元
50ul/1400.00元
100ul/2500.00元
大包装/询价

产品编号 bsm-60266R
英文名称 Desmin Recombinant Rabbit mAb
中文名称 结蛋白重组兔单抗
别    名 CMD1I; CSM1; CSM2; DES; FLJ12025; FLJ39719; FLJ41013; FLJ41793; Intermediate filament protein; OTTHUMP00000064865; DESM_HUMAN; FLJ12025; FLJ39719; FLJ41013; FLJ41793.  
研究领域 肿瘤  心血管  免疫学  信号转导  
抗体来源 Rabbit
克隆类型 Recombinant
克 隆 号 3B9
交叉反应 Human,Mouse,Rat
产品应用 WB=1:1000-5000,IHC-P=1:200-800,IHC-F=1:200-800,IF=1:200-800,ICC/IF=1:100-500
not yet tested in other applications.
optimal dilutions/concentrations should be determined by the end user.
理论分子量 52 kDa
检测分子量
细胞定位 细胞浆 
性    状 Liquid
浓    度 1mg/ml
免 疫 原 A synthesized peptide derived from human Desmin: 410-470 
亚    型 IgG
纯化方法 affinity purified by Protein A
缓 冲 液 0.01M TBS (pH7.4) with 1% BSA, 0.02% Proclin300 and 50% Glycerol.
保存条件 Shipped at 4℃. Store at -20℃ for one year. Avoid repeated freeze/thaw cycles.
注意事项 This product as supplied is intended for research use only, not for use in human, therapeutic or diagnostic applications.
PubMed PubMed
产品介绍 This gene encodes a muscle-specific class III intermediate filament. Homopolymers of this protein form a stable intracytoplasmic filamentous network connecting myofibrils to each other and to the plasma membrane. Mutations in this gene are associated with desmin-related myopathy, a familial cardiac and skeletal myopathy (CSM), and with distal myopathies. [provided by RefSeq, Jul 2008]

Function:
Desmin are class-III intermediate filaments found in muscle cells. In adult striated muscle they form a fibrous network connecting myofibrils to each other and to the plasma membrane from the periphery of the Z-line structures.

Subunit:
Homopolymer. Interacts with DST. Interacts with MTM1.

Subcellular Location:
Cytoplasm.

Post-translational modifications:
ADP-ribosylation prevents ability to form intermediate filaments.

DISEASE:
Defects in DES are the cause of myopathy myofibrillar type 1 (MFM1) [MIM:601419]. A neuromuscular disorder characterized by skeletal muscle weakness associated with cardiac conduction blocks, arrhythmias, restrictive heart failure, and by myofibrillar destruction with intracytoplasmic accumulation of desmin-reactive deposits in cardiac and skeletal muscle cells. Note=Mutations in the DES gene are associated with a variable clinical phenotype which encompasses isolated myopathies, pure cardiac phenotypes (including dilated cardiomyopathy, restrictive cardiomyopathy and arrhythmogenic right ventricular cardiomyopathy), cardiac conduction disease, and combinations of these disorders. If both cardiologic and neurologic features occur, they can manifest in any order, as cardiologic features can precede, occur simultaneously with, or follow manifestation of generalized neuromuscular disease (PubMed:19879535).
Defects in DES are the cause of cardiomyopathy dilated type 1I (CMD1I) [MIM:604765]. Dilated cardiomyopathy is a disorder characterized by ventricular dilation and impaired systolic function, resulting in congestive heart failure and arrhythmia. Patients are at risk of premature death.
Defects in DES are the cause of neurogenic scapuloperoneal syndrome Kaeser type (Kaeser syndrome) [MIM:181400]. Kaeser syndrome is an autosomal dominant disorder with a peculiar scapuloperoneal distribution of weakness and atrophy. A large clinical variability is observed ranging from scapuloperoneal, limb grindle and distal phenotypes with variable cardiac or respiratory involvement. Facial weakness, dysphagia and gynaecomastia are frequent additional symptoms. Affected men seemingly bear a higher risk of sudden, cardiac death as compared to affected women. Histological and immunohistochemical examination of muscle biopsy specimens reveal a wide spectrum of findings ranging from near normal or unspecific pathology to typical, myofibrillar changes with accumulation of desmin.

Similarity:
Belongs to the intermediate filament family.

SWISS:
P17661

Gene ID:
1674

Database links:

Entrez Gene: 1674 Human

Entrez Gene: 13346 Mouse

Entrez Gene: 64362 Rat

SwissProt: P17661 Human

SwissProt: P31001 Mouse

SwissProt: P48675 Rat



产品图片
25 ug total protein per lane of various lysates (see on figure) probed with Desmin monoclonal antibody, unconjugated (bsm-60266R) at 1:5000 dilution and 4°C overnight incubation. Followed by conjugated secondary antibody incubation at r.t. for 60 min.
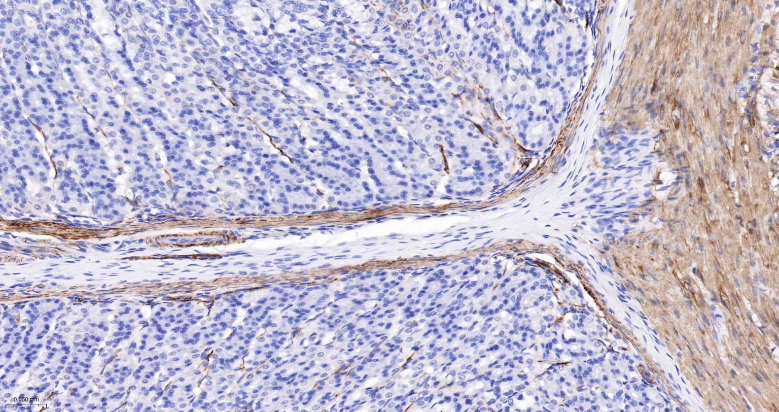
Paraformaldehyde-fixed, paraffin embedded Human Prostate Tumor; Antigen retrieval by boiling in sodium citrate buffer (pH6.0) for 15 min; Antibody incubation with Desmin Monoclonal Antibody, Unconjugated(bsm-60266R) at 1:200 overnight at 4°C, followed by conjugation to the bs-0295G-HRP and DAB (C-0010) staining.
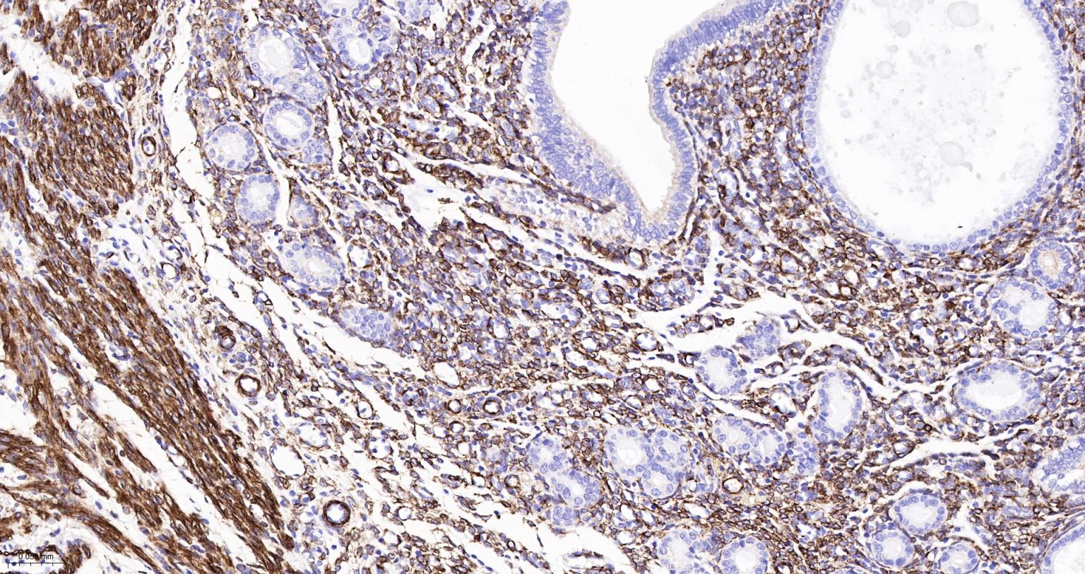
Paraformaldehyde-fixed, paraffin embedded Human Uterus; Antigen retrieval by boiling in sodium citrate buffer (pH6.0) for 15 min; Antibody incubation with Desmin Monoclonal Antibody, Unconjugated(bsm-60266R) at 1:200 overnight at 4°C, followed by conjugation to the bs-0295G-HRP and DAB (C-0010) staining.
Paraformaldehyde-fixed, paraffin embedded Rat Uterus; Antigen retrieval by boiling in sodium citrate buffer (pH6.0) for 15 min; Antibody incubation with Desmin Monoclonal Antibody, Unconjugated(bsm-60266R) at 1:200 overnight at 4°C, followed by conjugation to the bs-0295G-HRP and DAB (C-0010) staining.
Paraformaldehyde-fixed, paraffin embedded Mouse Uterus; Antigen retrieval by boiling in sodium citrate buffer (pH6.0) for 15 min; Antibody incubation with Desmin Monoclonal Antibody, Unconjugated(bsm-60266R) at 1:200 overnight at 4°C, followed by conjugation to the bs-0295G-HRP and DAB (C-0010) staining.
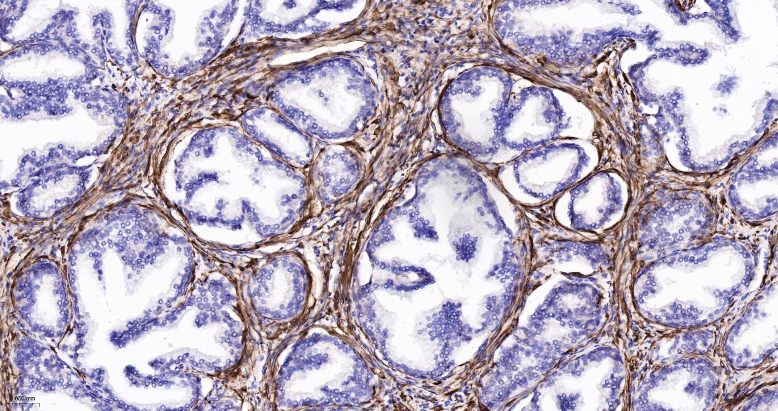
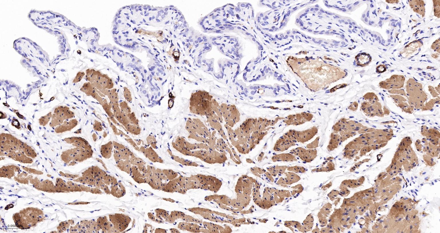
Paraformaldehyde-fixed, paraffin embedded Human Stomach; Antigen retrieval by boiling in sodium citrate buffer (pH6.0) for 15 min; Antibody incubation with Desmin Monoclonal Antibody, Unconjugated(bsm-60266R) at 1:200 overnight at 4°C, followed by conjugation to the bs-0295G-HRP and DAB (C-0010) staining.
Paraformaldehyde-fixed, paraffin embedded Rat Stomach; Antigen retrieval by boiling in sodium citrate buffer (pH6.0) for 15 min; Antibody incubation with Desmin Monoclonal Antibody, Unconjugated(bsm-60266R) at 1:200 overnight at 4°C, followed by conjugation to the bs-0295G-HRP and DAB (C-0010) staining.
Paraformaldehyde-fixed, paraffin embedded Mouse Stomach; Antigen retrieval by boiling in sodium citrate buffer (pH6.0) for 15 min; Antibody incubation with Desmin Monoclonal Antibody, Unconjugated(bsm-60266R) at 1:200 overnight at 4°C, followed by conjugation to the bs-0295G-HRP and DAB (C-0010) staining.
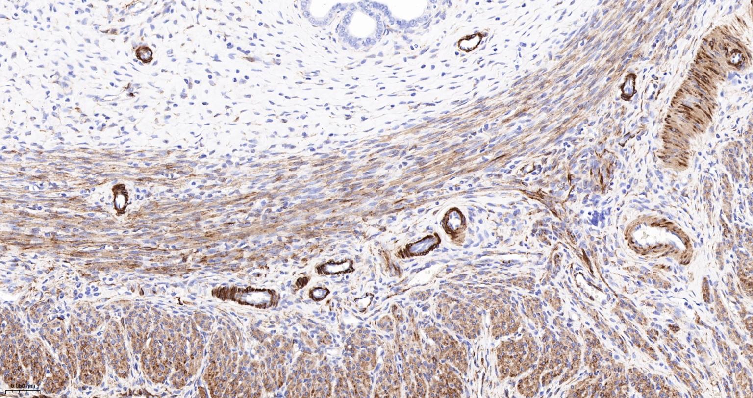
Paraformaldehyde-fixed, paraffin embedded Human Bladder; Antigen retrieval by boiling in sodium citrate buffer (pH6.0) for 15 min; Antibody incubation with Desmin Monoclonal Antibody, Unconjugated(bsm-60266R) at 1:200 overnight at 4°C, followed by conjugation to the bs-0295G-HRP and DAB (C-0010) staining.
Paraformaldehyde-fixed, paraffin embedded Rat Bladder; Antigen retrieval by boiling in sodium citrate buffer (pH6.0) for 15 min; Antibody incubation with Desmin Monoclonal Antibody, Unconjugated(bsm-60266R) at 1:200 overnight at 4°C, followed by conjugation to the bs-0295G-HRP and DAB (C-0010) staining.
Paraformaldehyde-fixed, paraffin embedded Mouse Bladder; Antigen retrieval by boiling in sodium citrate buffer (pH6.0) for 15 min; Antibody incubation with Desmin Monoclonal Antibody, Unconjugated(bsm-60266R) at 1:200 overnight at 4°C, followed by conjugation to the bs-0295G-HRP and DAB (C-0010) staining.
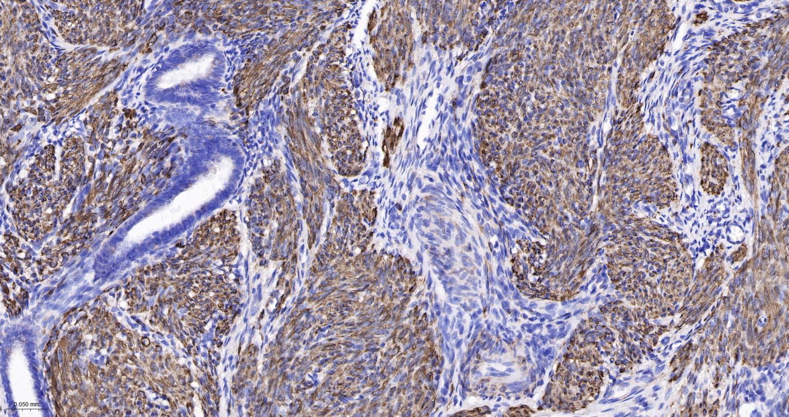
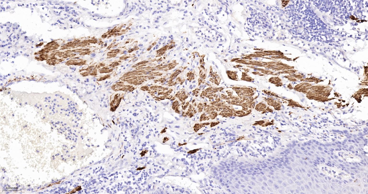
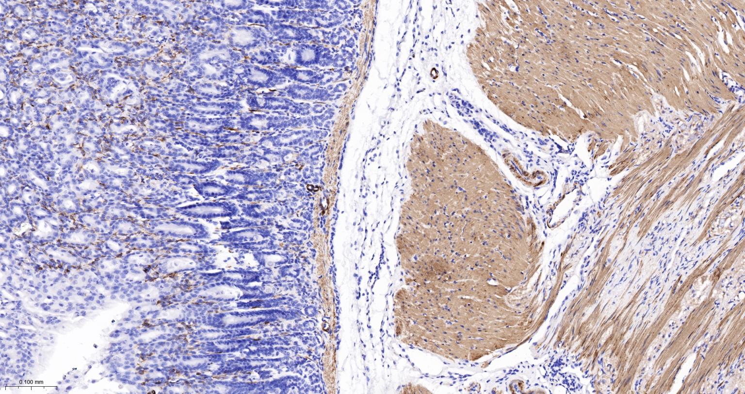
Paraformaldehyde-fixed, paraffin embedded Human Esophageal Cancer; Antigen retrieval by boiling in sodium citrate buffer (pH6.0) for 15 min; Antibody incubation with Desmin Monoclonal Antibody, Unconjugated(bsm-60266R) at 1:200 overnight at 4°C, followed by conjugation to the bs-0295G-HRP and DAB (C-0010) staining.
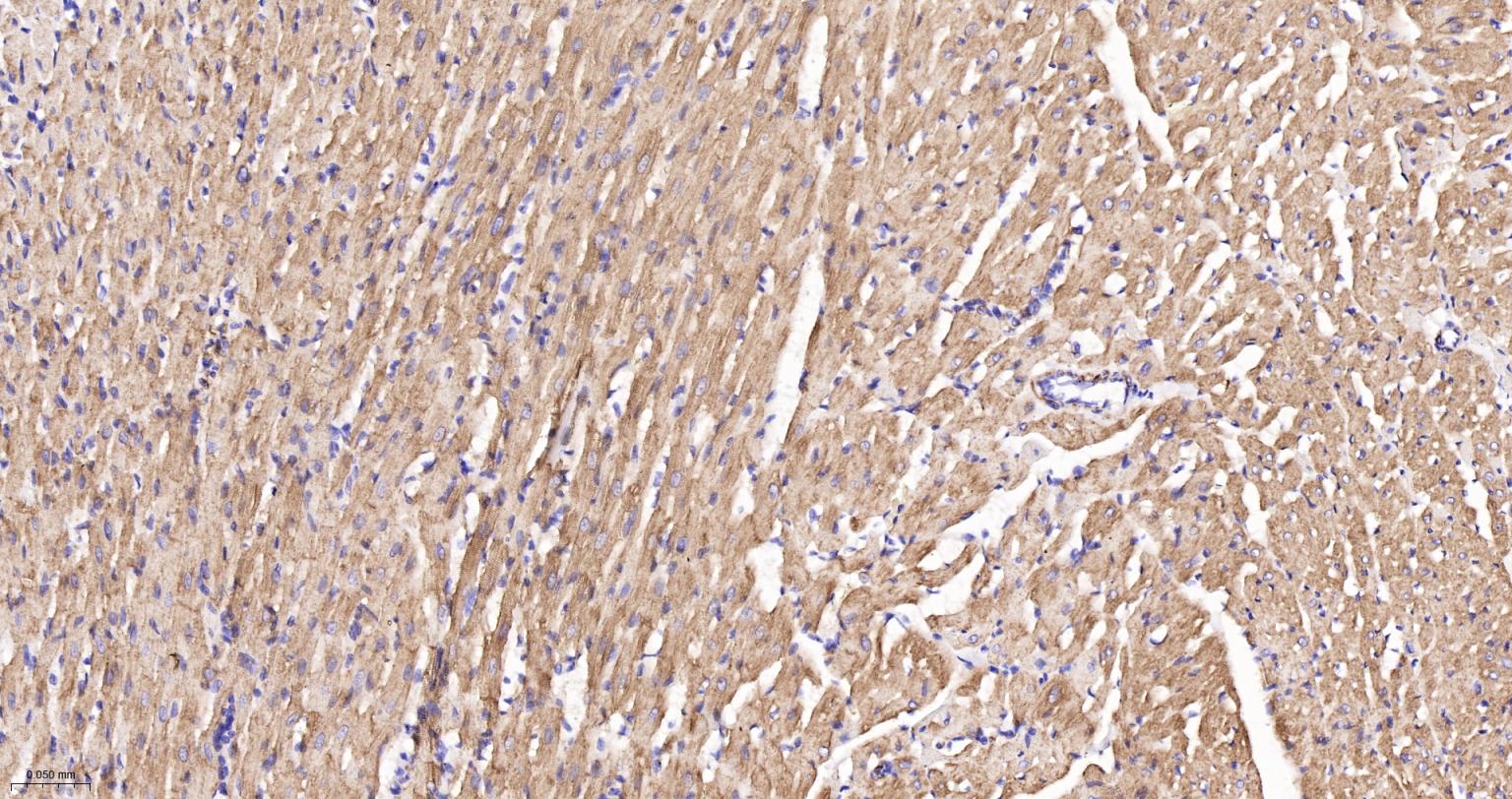
Paraformaldehyde-fixed, paraffin embedded Human Heart; Antigen retrieval by boiling in sodium citrate buffer (pH6.0) for 15 min; Antibody incubation with Desmin Monoclonal Antibody, Unconjugated(bsm-60266R) at 1:200 overnight at 4°C, followed by conjugation to the bs-0295G-HRP and DAB (C-0010) staining.
Paraformaldehyde-fixed, paraffin embedded Rat Heart; Antigen retrieval by boiling in sodium citrate buffer (pH6.0) for 15 min; Antibody incubation with Desmin Monoclonal Antibody, Unconjugated(bsm-60266R) at 1:200 overnight at 4°C, followed by conjugation to the bs-0295G-HRP and DAB (C-0010) staining.
Paraformaldehyde-fixed, paraffin embedded Mouse Heart; Antigen retrieval by boiling in sodium citrate buffer (pH6.0) for 15 min; Antibody incubation with Desmin Monoclonal Antibody, Unconjugated(bsm-60266R) at 1:200 overnight at 4°C, followed by conjugation to the bs-0295G-HRP and DAB (C-0010) staining.
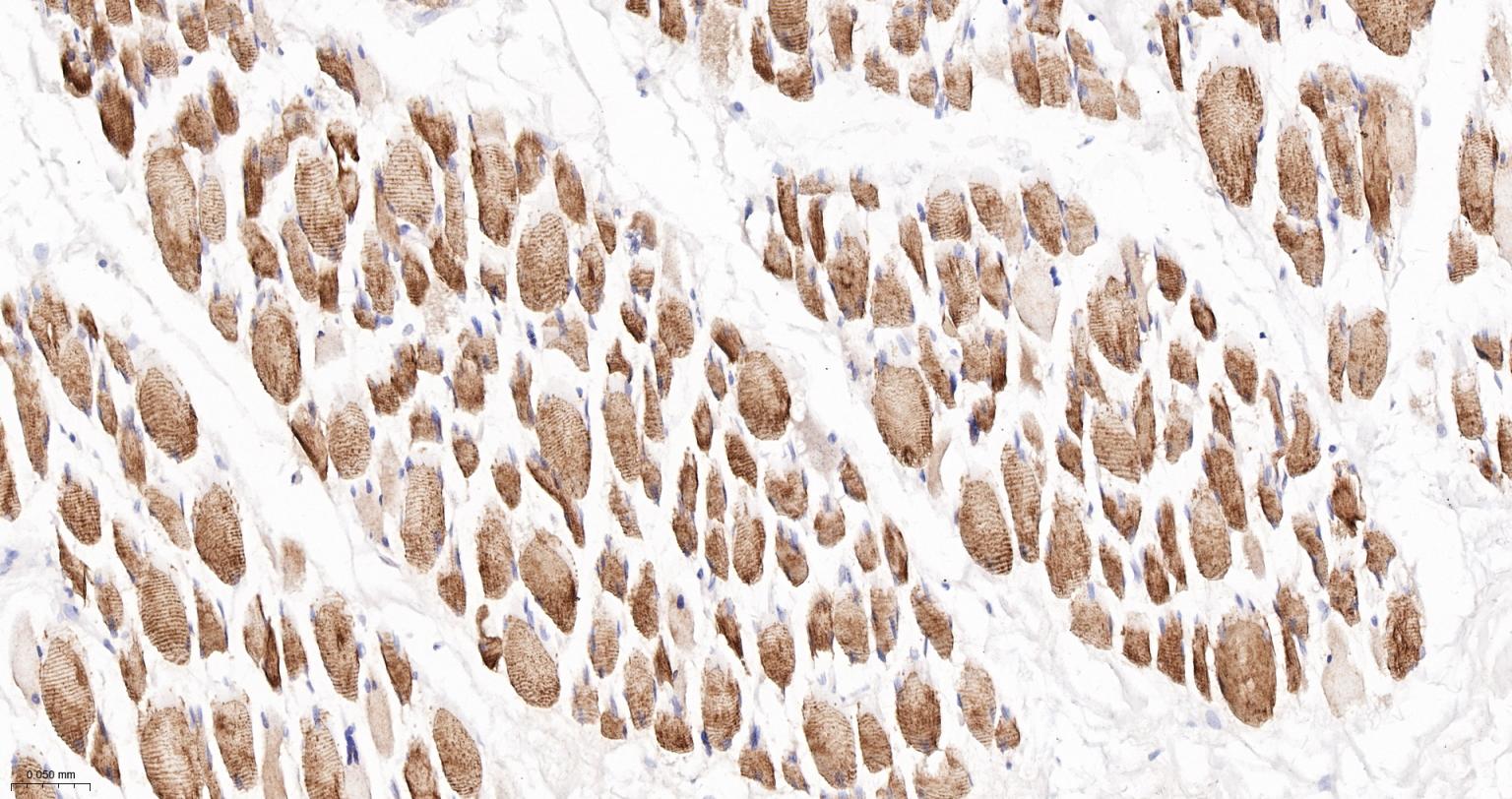
Paraformaldehyde-fixed, paraffin embedded Human Skeletal muscle; Antigen retrieval by boiling in sodium citrate buffer (pH6.0) for 15 min; Antibody incubation with Desmin Monoclonal Antibody, Unconjugated(bsm-60266R) at 1:200 overnight at 4°C, followed by conjugation to the bs-0295G-HRP and DAB (C-0010) staining.
Paraformaldehyde-fixed, paraffin embedded Rat Skeletal muscle; Antigen retrieval by boiling in sodium citrate buffer (pH6.0) for 15 min; Antibody incubation with Desmin Monoclonal Antibody, Unconjugated(bsm-60266R) at 1:200 overnight at 4°C, followed by conjugation to the bs-0295G-HRP and DAB (C-0010) staining.
Paraformaldehyde-fixed, paraffin embedded Mouse Skeletal muscle; Antigen retrieval by boiling in sodium citrate buffer (pH6.0) for 15 min; Antibody incubation with Desmin Monoclonal Antibody, Unconjugated(bsm-60266R) at 1:200 overnight at 4°C, followed by conjugation to the bs-0295G-HRP and DAB (C-0010) staining.
4% Paraformaldehyde-fixed C2C12 (M) cell; Triton X-100 at r.t. for 20 min; Antibody incubation with (Desmin) monoclonal Antibody, unconjugated (bsm-60266R) 1:100, 90 min at 37°C; followed by conjugated Goat Anti-Rabbit IgG antibody (green, bs-40295G-FITC) at 37°C for 90 min, DAPI (blue, C02-04002) was used to stain the cell nuclei. PBS instead of the primary antibody was used as the blank control.
Paraformaldehyde-fixed, paraffin embedded Human Uterus; Antigen retrieval by boiling in sodium citrate buffer (pH6.0) for 15 min; The section was incubated with Desmin Monoclonal Antibody, Unconjugated (bsm-60266R) at 1:200 overnight at 4°C. Followed by conjugated Goat Anti-Rabbit IgG antibody (Green, bs-0295G-BF488), DAPI (blue, C02-04002) was used to stain the cell nuclei.
Paraformaldehyde-fixed, paraffin embedded Mouse Uterus; Antigen retrieval by boiling in sodium citrate buffer (pH6.0) for 15 min; The section was incubated with Desmin Monoclonal Antibody, Unconjugated (bsm-60266R) at 1:200 overnight at 4°C. Followed by conjugated Goat Anti-Rabbit IgG antibody (Green, bs-0295G-BF488), DAPI (blue, C02-04002) was used to stain the cell nuclei.
Paraformaldehyde-fixed, paraffin embedded Rat Uterus; Antigen retrieval by boiling in sodium citrate buffer (pH6.0) for 15 min; The section was incubated with Desmin Monoclonal Antibody, Unconjugated (bsm-60266R) at 1:200 overnight at 4°C. Followed by conjugated Goat Anti-Rabbit IgG antibody (Green, bs-0295G-BF488), DAPI (blue, C02-04002) was used to stain the cell nuclei.
版权所有 2004-2026 www.bioss.com.cn 北京博奥森生物技术有限公司
通过国际质量管理体系ISO 9001:2015 GB/T 19001-2016    证书编号: 00124Q34771R2M/1100
通过国际医疗器械-质量管理体系ISO 13485:2016 GB/T 42061-2022     证书编号: CQC24QY20047R0M/1100
京ICP备05066980号-1         京公网安备110107000727号