扫码关注公众号           扫码咨询技术支持           扫码咨询技术服务
  
客服热线:400-901-9800  客服QQ:4009019800  技术答疑  技术支持  质量反馈  人才招聘  关于我们  联系我们
产品中心-北京博奥森生物技术有限公司
首页 > 产品中心 > 一抗 > 产品信息
Insulin Recombinant Rabbit mAb (bsm-60010R)  
订购热线:400-901-9800
订购邮箱:sales@bioss.com.cn
订购QQ:  400-901-9800
技术支持:techsupport@bioss.com.cn
25ul/800.00元
50ul/1400.00元
100ul/2500.00元
大包装/询价

产品编号 bsm-60010R
英文名称 Insulin Recombinant Rabbit mAb
中文名称 胰岛素重组兔单抗
别    名 IDDM; IDDM1; IDDM2; ILPR; IRDN; MODY10; PNDM4; Ins-1; Ins2-rs1; Ins-2; InsII; Mody; Mody4; INS_HUMAN; INS; INS1_MOUSE; Ins1; INS1_RAT; INS_PIG; insulin; insulin-dependent diabetes mellitus 2  
研究领域 肿瘤  心血管  细胞生物  神经生物学  信号转导  细胞凋亡  生长因子和激素  糖尿病  内分泌病  新陈代谢  
抗体来源 Rabbit
克隆类型 Recombinant
克 隆 号 2F3
交叉反应 Human,Mouse,Rat
产品应用 IHC-P=1:1000-5000,IHC-F=1:1000-5000,IF=1:1000-5000
not yet tested in other applications.
optimal dilutions/concentrations should be determined by the end user.
理论分子量 12kDa
细胞定位 分泌型蛋白 
性    状 Liquid
浓    度 1mg/ml
免 疫 原 A synthesized peptide derived from human Insulin: 25-110 
亚    型 IgG
纯化方法 affinity purified by Protein A
缓 冲 液 0.01M TBS (pH7.4) with 1% BSA, 0.02% Proclin300 and 50% Glycerol.
保存条件 Shipped at 4℃. Store at -20℃ for one year. Avoid repeated freeze/thaw cycles.
注意事项 This product as supplied is intended for research use only, not for use in human, therapeutic or diagnostic applications.
PubMed PubMed
产品介绍 Insulin is one of the major regulatory hormones of intermediate metabolism throughout the body. The biological actions of this hormone involve integration of carbohydrate, protein, and lipid metabolism. Insulin enhances membrane transport of glucose, amino acids, and certain ions. It also promotes glycogen storage, formation of triglycerides and synthesis of proteins and nucleic acids. Immunocytochemical investigations have localized insulin in the B cells of pancreatic islets of Langerhans. Deficiency of insulin results in diabetes mellitus, one of the leading causes of morbidity and mortality in the general population. Insulin is also present in tumors of B cell origin such as insulinoma.

Function:
Insulin decreases blood glucose concentration. It increases cell permeability to monosaccharides, amino acids and fatty acids. It accelerates glycolysis, the pentose phosphate cycle, and glycogen synthesis in liver.

Subunit:
Heterodimer of a B chain and an A chain linked by two disulfide bonds.

Subcellular Location:
Secreted.

DISEASE:
Hyperproinsulinemia, familial (FHPRI) [MIM:176730]: An autosomal dominant condition characterized by elevated levels of serum proinsulin-like material. Note=The disease is caused by mutations affecting the gene represented in this entry.
Diabetes mellitus, insulin-dependent, 2 (IDDM2) [MIM:125852]: A multifactorial disorder of glucose homeostasis that is characterized by susceptibility to ketoacidosis in the absence of insulin therapy. Clinical fetaures are polydipsia, polyphagia and polyuria which result from hyperglycemia-induced osmotic diuresis and secondary thirst. These derangements result in long-term complications that affect the eyes, kidneys, nerves, and blood vessels. Note=The disease is caused by mutations affecting the gene represented in this entry.
Diabetes mellitus, permanent neonatal (PNDM) [MIM:606176]: A rare form of diabetes distinct from childhood-onset autoimmune diabetes mellitus type 1. It is characterized by insulin-requiring hyperglycemia that is diagnosed within the first months of life. Permanent neonatal diabetes requires lifelong therapy. Note=The disease is caused by mutations affecting the gene represented in this entry.
Maturity-onset diabetes of the young 10 (MODY10) [MIM:613370]: A form of diabetes that is characterized by an autosomal dominant mode of inheritance, onset in childhood or early adulthood (usually before 25 years of age), a primary defect in insulin secretion and frequent insulin-independence at the beginning of the disease. Note=The disease is caused by mutations affecting the gene represented in this entry.

Similarity:
Belongs to the insulin family.

SWISS:
P01308

Gene ID:
3630

Database links:

Entrez Gene: 3630 Human

Entrez Gene: 280829 Cow

Entrez Gene: 16333 Mouse

Entrez Gene: 16334 Mouse

Entrez Gene: 24505 Rat

Entrez Gene: 397415 Pig

Omim: 176730 Human

SwissProt: P01308 Human

SwissProt: P01325 Mouse

SwissProt: P01322 Rat

SwissProt: P01315 Pig

Unigene: 272259 Human




胰岛素(Insulin)是胰岛beta细胞分泌的一种激素,可以减低血糖浓度。此抗体特异性地识别猪胰岛素,并与人的胰岛素有交叉反应,主要用于胰岛细胞瘤的功能性研究。
产品图片
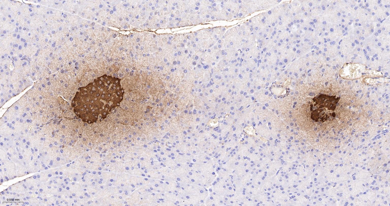
Paraformaldehyde-fixed, paraffin embedded Human Pancreas; Antigen retrieval by boiling in sodium citrate buffer (pH6.0) for 15 min; Antibody incubation with Insulin Monoclonal Antibody, Unconjugated(bsm-60010R) at 1:1000 overnight at 4°C, followed by conjugation to the SP Kit (Rabbit, SP-0023) and DAB (C-0010) staining.
Paraformaldehyde-fixed, paraffin embedded Rat Pancreas; Antigen retrieval by boiling in sodium citrate buffer (pH6.0) for 15 min; Antibody incubation with Insulin Monoclonal Antibody, Unconjugated(bsm-60010R) at 1:1500 overnight at 4°C, followed by conjugation to the SP Kit (Rabbit, SP-0023) and DAB (C-0010) staining.
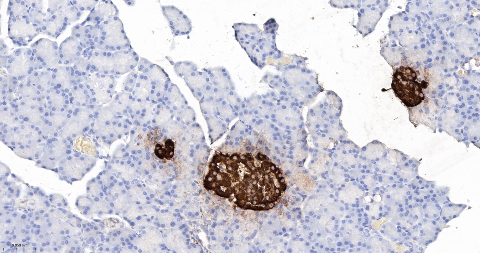
Paraformaldehyde-fixed, paraffin embedded Mouse Pancreas; Antigen retrieval by boiling in sodium citrate buffer (pH6.0) for 15 min; Antibody incubation with Insulin Monoclonal Antibody, Unconjugated(bsm-60010R) at 1:1500 overnight at 4°C, followed by conjugation to the SP Kit (Rabbit, SP-0023) and DAB (C-0010) staining.
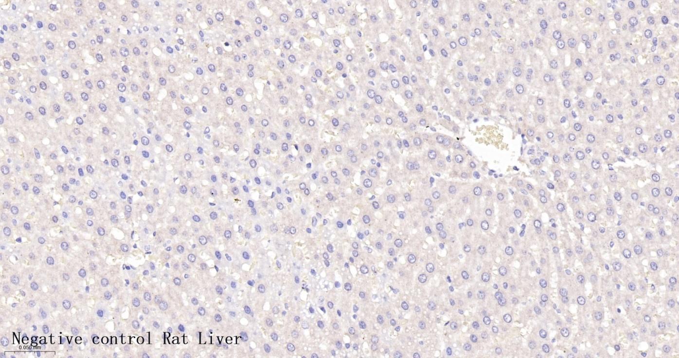
(Negative control) Paraformaldehyde-fixed, paraffin embedded Rat Liver; Antigen retrieval by boiling in sodium citrate buffer (pH6.0) for 15 min; The section was incubated with Insulin Monoclonal Antibody, Unconjugated (bsm-60010R) at 1:200 overnight at 4°C, followed by conjugation to the bs-0295G-HRP and DAB (C-0010) staining.
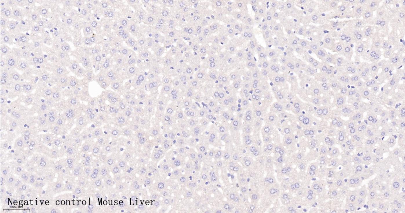
(Negative control) Paraformaldehyde-fixed, paraffin embedded Mouse Liver; Antigen retrieval by boiling in sodium citrate buffer (pH6.0) for 15 min; The section was incubated with Insulin Monoclonal Antibody, Unconjugated (bsm-60010R) at 1:200 overnight at 4°C, followed by conjugation to the bs-0295G-HRP and DAB (C-0010) staining.
(Negative control) Paraformaldehyde-fixed, paraffin embedded Human Liver; Antigen retrieval by boiling in sodium citrate buffer (pH6.0) for 15 min; Antibody incubation with Insulin Monoclonal Antibody, Unconjugated(bsm-60010R) at 1:500 overnight at 4°C, followed by conjugation to the SP Kit (Rabbit, SP-0023) and DAB (C-0010) staining.
版权所有 2004-2026 www.bioss.com.cn 北京博奥森生物技术有限公司
通过国际质量管理体系ISO 9001:2015 GB/T 19001-2016    证书编号: 00124Q34771R2M/1100
通过国际医疗器械-质量管理体系ISO 13485:2016 GB/T 42061-2022     证书编号: CQC24QY20047R0M/1100
京ICP备05066980号-1         京公网安备110107000727号