扫码关注公众号           扫码咨询技术支持           扫码咨询技术服务
  
客服热线:400-901-9800  客服QQ:4009019800  技术答疑  技术支持  质量反馈  关于我们  联系我们
产品中心-北京博奥森生物技术有限公司
首页 > 产品中心 > 一抗 > 产品信息
EZH2 Recombinant Rabbit mAb (bsm-60001R)  
订购热线:400-901-9800
订购邮箱:sales@bioss.com.cn
订购QQ:  400-901-9800
技术支持:techsupport@bioss.com.cn
25ul/800.00元
50ul/1400.00元
100ul/2500.00元
大包装/询价

产品编号 bsm-60001R
英文名称 EZH2 Recombinant Rabbit mAb
中文名称 抑癌蛋白EZH2重组兔单抗
别    名 Enhancer of zeste homolog 2; Enx1h; MGC9169; Enhancer of zeste 2; ENX-1; ENX 1; ENX1; EZH 2; EZH2_HUMAN; Histone-lysine N-methyltransferase EZH2; KMT6A; Lysine N-methyltransferase 6; Enhancer of zeste homolog 2(Drosophila); Enhancer of zeste, Drosophila, homolog 2; KMT 6; KMT6A; KMT6; WVS2.  
研究领域 肿瘤  细胞生物  免疫学  神经生物学  生长因子和激素  激酶和磷酸酶  
抗体来源 Rabbit
克隆类型 Recombinant
克 隆 号 10A2
交叉反应 Human,Mouse,Rat
产品应用 WB=1:500-2000,IHC-P=1:50-200,IHC-F=1:50-200,IF=1:50-200
not yet tested in other applications.
optimal dilutions/concentrations should be determined by the end user.
理论分子量 82 kDa
检测分子量
细胞定位 细胞核 
性    状 Liquid
浓    度 1mg/ml
免 疫 原 KLH conjugated synthetic peptide derived from human EZH2 
亚    型 IgG
纯化方法 affinity purified by Protein A
缓 冲 液 0.01M TBS (pH7.4) with 1% BSA, 0.02% Proclin300 and 50% Glycerol.
保存条件 Shipped at 4℃. Store at -20℃ for one year. Avoid repeated freeze/thaw cycles.
注意事项 This product as supplied is intended for research use only, not for use in human, therapeutic or diagnostic applications.
PubMed PubMed
产品介绍 This gene encodes a member of the Polycomb-group (PcG) family. PcG family members form multimeric protein complexes, which are involved in maintaining the transcriptional repressive state of genes over successive cell generations. This protein associates with the embryonic ectoderm development protein, the VAV1 oncoprotein, and the X-linked nuclear protein. This protein may play a role in the hematopoietic and central nervous systems. Multiple alternatively splcied transcript variants encoding distinct isoforms have been identified for this gene. [provided by RefSeq, Feb 2011].

Function:
olycomb group (PcG) protein. Catalytic subunit of the PRC2/EED-EZH2 complex, which methylates 'Lys-9' (H3K9me) and 'Lys-27' (H3K27me) of histone H3, leading to transcriptional repression of the affected target gene. Able to mono-, di- and trimethylate 'Lys-27' of histone H3 to form H3K27me1, H3K27me2 and H3K27me3, respectively. Compared to EZH2-containing complexes, it is more abundant in embryonic stem cells and plays a major role in forming H3K27me3, which is required for embryonic stem cell identity and proper differentiation. The PRC2/EED-EZH2 complex may also serve as a recruiting platform for DNA methyltransferases, thereby linking two epigenetic repression systems. Genes repressed by the PRC2/EED-EZH2 complex include HOXC8, HOXA9, MYT1, CDKN2A and retinoic acid target genes. EZH2 can also methylate non-histone proteins such as the transcription factor GATA4.

Subunit:
Binds ATRX via the SET domain (Probable). Component of the PRC2/EED-EZH2 complex, which includes EED, EZH2, SUZ12, RBBP4 and RBBP7 and possibly AEBP2. The minimum components required for methyltransferase activity of the PRC2/EED-EZH2 complex are EED, EZH2 and SUZ12. The PRC2 complex may also interact with DNMT1, DNMT3A, DNMT3B and PHF1 via the EZH2 subunit and with SIRT1 via the SUZ12 subunit. Interacts with HDAC1 and HDAC2. Interacts with PRAME.

Subcellular Location:
Nucleus.

Tissue Specificity:
xpressed in many tissues. Overexpressed in numerous tumor types including carcinomas of the breast, colon, larynx, lymphoma and testis.

Post-translational modifications:
Phosphorylated by AKT1. Phosphorylation by AKT1 reduces methyltransferase activity. Phosphorylation at Thr-345 by CDK1 and CDK2 promotes maintenance of H3K27me3 levels at EZH2-target loci, thus leading to epigenetic gene silencing.

Similarity:
Belongs to the histone-lysine methyltransferase family. EZ subfamily.
Contains 1 CXC domain.
Contains 1 SET domain.

SWISS:
Q15910

Gene ID:
2146

Database links:

Entrez Gene: 2146 Human

Entrez Gene: 14056 Mouse

Entrez Gene: 312299 Rat

Omim: 601573 Human

SwissProt: Q15910 Human

SwissProt: Q61188 Mouse

Unigene: 444082 Human

Unigene: 246688 Mouse

Unigene: 9027 Rat



    EZH2(enhancer of zeste homolog 2)是新识别的一种人类基因,是果蝇zeste基因增强子的人类同源基因,Polycomb group基因家族的重要成员之一。
EZH2在多种肿瘤中高表达,具有促进细胞增殖,肿瘤细胞的扩散的恶性表型,EZH2在肿瘤中的作用成为研究热门。EZHZ在前列腺癌、乳腺癌、膀胧癌、肝细胞癌、大肠癌、胃癌中高表达;局限性前列腺癌、乳腺癌、膀胧癌高表达EZH2,则临床预后较差。因此EZH2可作为肿瘤标志物监测肿瘤的演变。随着PcG蛋白和TrxG蛋白复合物研究的深入,对细胞记忆机制的认识不断提高,而扰乱细胞的转录记忆系统可导致个体发育缺陷,使正常细胞丢失自身特性而癌变。
EZH2通过基因沉默机制改变细胞的记忆系统并调控转录,促进前肿瘤恶性形成。EZH2在肿瘤发生发展中的作用仍远未阐明,特别是EZH2的下游基因仍不清楚,EZH2在肿瘤发生与发展的机制有待进一步研究。
产品图片
25 ug total protein per lane of various lysates (see on figure) probed with EZH2 monoclonal antibody, unconjugated (bsm-60001R) at 1:1000 dilution and 4°C overnight incubation. Followed by conjugated secondary antibody incubation at r.t. for 60 min.
Paraformaldehyde-fixed, paraffin embedded Human Testicles; Antigen retrieval by boiling in sodium citrate buffer (pH6.0) for 15 min; Antibody incubation with EZH2 Monoclonal Antibody, Unconjugated(bsm-60001R) at 1:200 overnight at 4°C, followed by conjugation to the bs-0295G-HRP and DAB (C-0010) staining.
Paraformaldehyde-fixed, paraffin embedded Rat Spleen; Antigen retrieval by boiling in sodium citrate buffer (pH6.0) for 15 min; Antibody incubation with EZH2 Monoclonal Antibody, Unconjugated(bsm-60001R) at 1:200 overnight at 4°C, followed by conjugation to the bs-0295G-HRP and DAB (C-0010) staining.
Paraformaldehyde-fixed, paraffin embedded Mouse Spleen; Antigen retrieval by boiling in sodium citrate buffer (pH6.0) for 15 min; Antibody incubation with EZH2 Monoclonal Antibody, Unconjugated(bsm-60001R) at 1:200 overnight at 4°C, followed by conjugation to the bs-0295G-HRP and DAB (C-0010) staining.
Paraformaldehyde-fixed, paraffin embedded Mouse Colon; Antigen retrieval by boiling in sodium citrate buffer (pH6.0) for 15 min; Antibody incubation with EZH2 Monoclonal Antibody, Unconjugated(bsm-60001R) at 1:200 overnight at 4°C, followed by conjugation to the bs-0295G-HRP and DAB (C-0010) staining.
Paraformaldehyde-fixed, paraffin embedded Mouse Spleen; Antigen retrieval by boiling in sodium citrate buffer (pH6.0) for 15 min; The section was incubated with EZH2 Monoclonal Antibody, Unconjugated (bsm-60001R) at 1:200 overnight at 4°C. Followed by conjugated Goat Anti-Rabbit IgG antibody (Red, bs-0295G-BF594), DAPI (blue, C02-04002) was used to stain the cell nuclei.
Paraformaldehyde-fixed, paraffin embedded Rat Spleen; Antigen retrieval by boiling in sodium citrate buffer (pH6.0) for 15 min; The section was incubated with EZH2 Monoclonal Antibody, Unconjugated (bsm-60001R) at 1:200 overnight at 4°C. Followed by conjugated Goat Anti-Rabbit IgG antibody (Red, bs-0295G-BF594), DAPI (blue, C02-04002) was used to stain the cell nuclei.
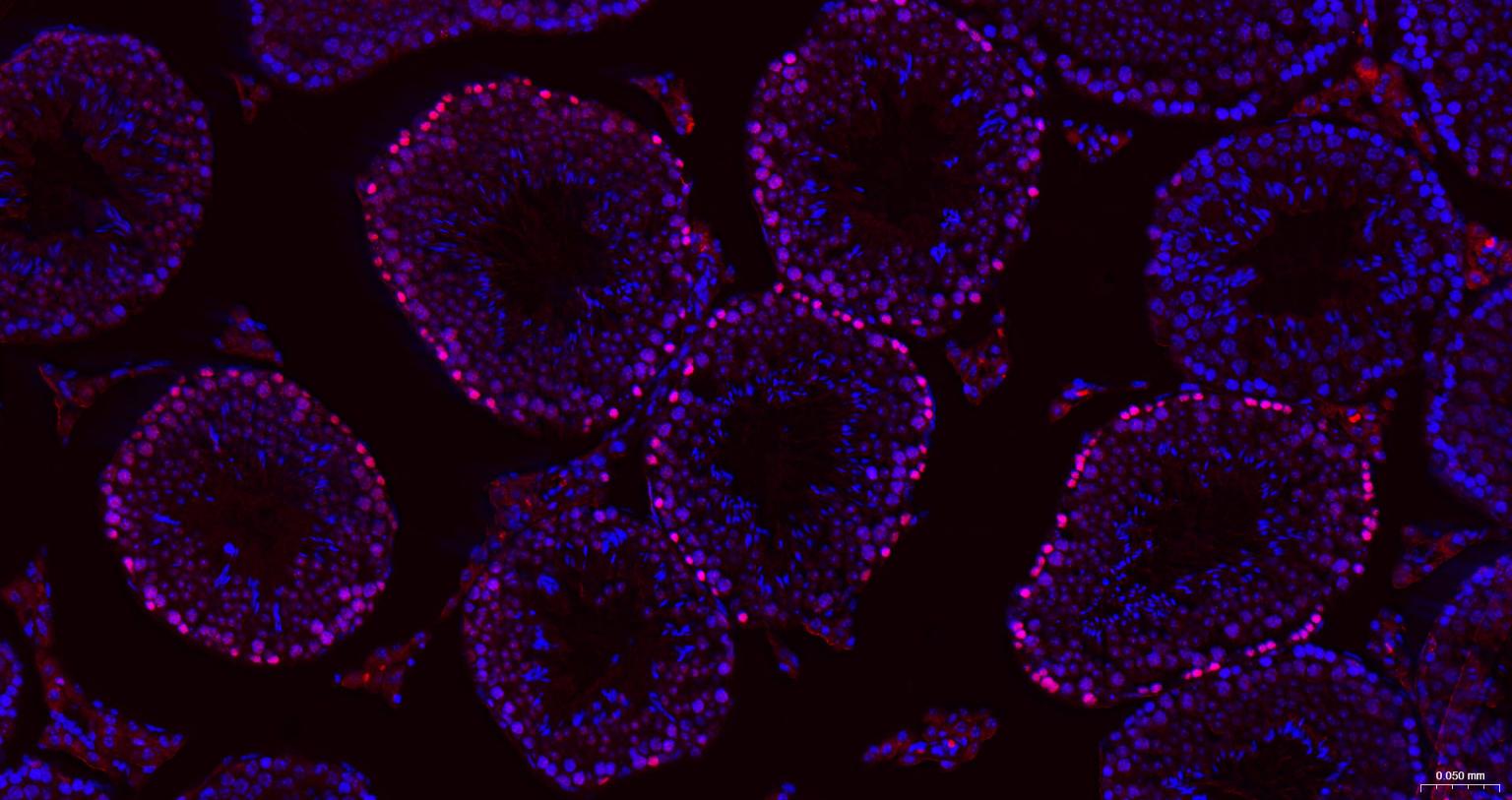
Paraformaldehyde-fixed, paraffin embedded Mouse Testicles; Antigen retrieval by boiling in sodium citrate buffer (pH6.0) for 15 min; The section was incubated with EZH2 Monoclonal Antibody, Unconjugated (bsm-60001R) at 1:200 overnight at 4°C. Followed by conjugated Goat Anti-Rabbit IgG antibody (Red, bs-0295G-BF594), DAPI (blue, C02-04002) was used to stain the cell nuclei.
Paraformaldehyde-fixed, paraffin embedded Rat Testicles; Antigen retrieval by boiling in sodium citrate buffer (pH6.0) for 15 min; The section was incubated with EZH2 Monoclonal Antibody, Unconjugated (bsm-60001R) at 1:200 overnight at 4°C. Followed by conjugated Goat Anti-Rabbit IgG antibody (Red, bs-0295G-BF594), DAPI (blue, C02-04002) was used to stain the cell nuclei.
版权所有 2004-2026 www.bioss.com.cn 北京博奥森生物技术有限公司
通过国际质量管理体系ISO 9001:2015 GB/T 19001-2016    证书编号: 00124Q34771R2M/1100
通过国际医疗器械-质量管理体系ISO 13485:2016 GB/T 42061-2022     证书编号: CQC24QY20047R0M/1100
京ICP备05066980号-1         京公网安备110107000727号