扫码关注公众号           扫码咨询技术支持           扫码咨询技术服务
  
客服热线:400-901-9800  客服QQ:4009019800  技术答疑  技术支持  质量反馈  人才招聘  关于我们  联系我们
产品中心-北京博奥森生物技术有限公司
首页 > 产品中心 > 一抗 > 产品信息
Human IgM Mouse mAb (bsm-0345M)  
订购热线:400-901-9800
订购邮箱:sales@bioss.com.cn
订购QQ:  400-901-9800
技术支持:techsupport@bioss.com.cn
50ul/1180.00元
100ul/1980.00元
200ug(PBS only)/5600.00元
大包装/询价

产品编号 bsm-0345M
英文名称 Human IgM Mouse mAb
中文名称 人IgM单克隆抗体
别    名 AGM1; MU; VH; IGHM_HUMAN; IGHM; Ig mu chain C region; Ig mu chain C region BOT; Ig mu chain C region GAL; Ig mu chain C region OU;  
Specific References  (1)     |     bsm-0345M has been referenced in 1 publications.
[IF=8.025] Shasha Jiang. et al. CRM197-conjugated multi antigen dominant epitope for effective human cytomegalovirus vaccine development. INT J BIOL MACROMOL. 2022 Oct;:  ELISA ;  Mouse.  
研究领域 免疫学  
抗体来源 Mouse
克隆类型 Monoclonal
克 隆 号 2B8
交叉反应 Human
产品应用 WB=1:500-2000,IHC-P=1:200-1000,IHC-F=1:200-1000,IF=1:200-1000
not yet tested in other applications.
optimal dilutions/concentrations should be determined by the end user.
检测分子量 77
性    状 Liquid
浓    度 1mg/ml
免 疫 原 Native Human IgM: full length 
亚    型 IgG
纯化方法 affinity purified by Protein A
缓 冲 液 0.01M TBS (pH7.4) with 1% BSA, 0.02% Proclin300 and 50% Glycerol.
保存条件 Shipped at 4℃. Store at -20℃ for one year. Avoid repeated freeze/thaw cycles.
注意事项 This product as supplied is intended for research use only, not for use in human, therapeutic or diagnostic applications.
PubMed PubMed
产品介绍 IgM normally constitutes about 10% of serum immunoglobulins. IgM antibody is prominent in early immune responses to most antigens and is largely confined to plasma due to it's large size. Monomeric IgM is expressed as a membrane bound antibody on the surface of B cells and as a pentamer when secreted by plasma cells. Due to it's high valency IgM is more efficient than other isotypes is binding antigens with repeating epitopes (virus particles and red blood cells) and is more efficient than IgG in activiating the complement pathway. The gene for the mu constant region contains four domains separated by short intervening sequences.

Subcellular Location:
Isoform 1: Secreted Isoform 2: Cell membrane

SWISS:
P01871

Gene ID:
3507

产品图片
Sample: Lane 1: Human Raji cell lysates Lane 2: Human RAMOS cell lysates Lane 3: Human Serum cell lysates Primary: Anti-Human IgM (bsm-0345M) at 1/1000 dilution Secondary: IRDye800CW Goat Anti-Mouse IgG at 1/20000 dilution Predicted band size: kDa Observed band size: 77 kDa
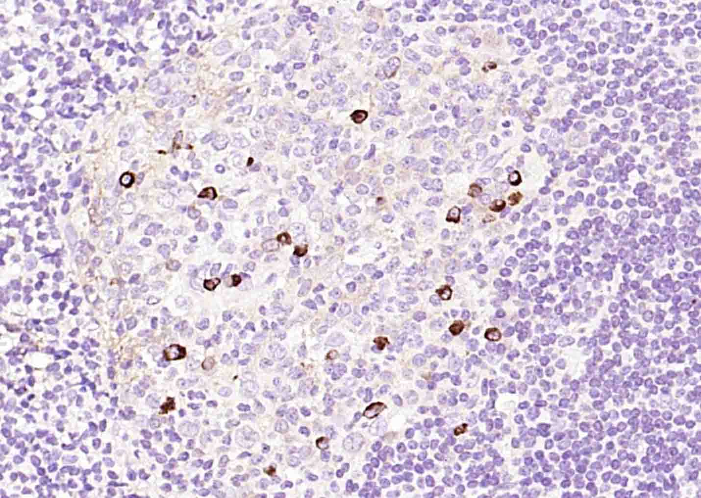
Paraformaldehyde-fixed, paraffin embedded (human spleen); Antigen retrieval by boiling in sodium citrate buffer (pH6.0) for 15min; Block endogenous peroxidase by 3% hydrogen peroxide for 20 minutes; Blocking buffer (normal goat serum) at 37°C for 30min; Incubation with (Human IgM) Monoclonal Antibody, Unconjugated (bsm-0345M) at 1:200 overnight at 4°C, followed by conjugation to the bs-40296G-HRP and DAB (C-0010) staining.
Paraformaldehyde-fixed, paraffin embedded (human lymph); Antigen retrieval by boiling in sodium citrate buffer (pH6.0) for 15min; Block endogenous peroxidase by 3% hydrogen peroxide for 20 minutes; Blocking buffer (normal goat serum) at 37°C for 30min; Incubation with (Human IgM) Monoclonal Antibody, Unconjugated (bsm-0345M) at 1:200 overnight at 4°C, followed by conjugation to the bs-40296G-HRP and DAB (C-0010) staining.
Paraformaldehyde-fixed, paraffin embedded (human tonsil); Antigen retrieval by boiling in sodium citrate buffer (pH6.0) for 15min; Block endogenous peroxidase by 3% hydrogen peroxide for 20 minutes; Blocking buffer (normal goat serum) at 37°C for 30min; Incubation with (Human IgM) Monoclonal Antibody, Unconjugated (bsm-0345M) at 1:200 overnight at 4°C, followed by conjugation to the bs-40296G-HRP and DAB (C-0010) staining.
版权所有 2004-2026 www.bioss.com.cn 北京博奥森生物技术有限公司
通过国际质量管理体系ISO 9001:2015 GB/T 19001-2016    证书编号: 00124Q34771R2M/1100
通过国际医疗器械-质量管理体系ISO 13485:2016 GB/T 42061-2022     证书编号: CQC24QY20047R0M/1100
京ICP备05066980号-1         京公网安备110107000727号