扫码关注公众号           扫码咨询技术支持           扫码咨询技术服务
  
客服热线:400-901-9800  客服QQ:4009019800  技术答疑  技术支持  质量反馈  人才招聘  关于我们  联系我们
产品中心-北京博奥森生物技术有限公司
首页 > 产品中心 > 一抗 > 产品信息
LAMP2 Mouse mAb (bsm-51474M)  
订购热线:400-901-9800
订购邮箱:sales@bioss.com.cn
订购QQ:  400-901-9800
技术支持:techsupport@bioss.com.cn
50ul/1180.00元
100ul/1980.00元
大包装/询价

产品编号 bsm-51474M
英文名称 LAMP2 Mouse mAb
中文名称 溶酶体相关膜蛋白2(CD107B)单克隆抗体
别    名 CD107b; DND; LAMP-2; LAMPB; LGP-96; LGP110; LGP-B; Lamp II; Lamp-2a; Lamp-2b; Lamp-2c; Mac3; LAMP2_HUMAN; LAMP2; Lysosome-associated membrane protein 2; CD107 antigen-like family member B; LAMP2_MOUSE; Lysosomal membrane glycoprotein type B (LGP-B); lysosome associated membrane protein 2; lysosomal associated membrane protein 2; lysosomal-associated membrane protein 2  
Specific References  (1)     |     bsm-51474M has been referenced in 1 publications.
[IF=7.666] Kenji Ono. et al. Calmodulin as a Key Regulator of Exosomal Signal Peptides. CELLS-BASEL. 2023 Jan;12(1):158  ICC ;  Human.  
研究领域 肿瘤  心血管  细胞生物  神经生物学  信号转导  新陈代谢  线粒体  
抗体来源 Mouse
克隆类型 Monoclonal
克 隆 号 L3G4
交叉反应 Human
产品应用 WB=1:500-2000,IHC-P=1:100-500,IHC-F=1:100-500,IF=1:100-500
not yet tested in other applications.
optimal dilutions/concentrations should be determined by the end user.
理论分子量 45kDa
检测分子量 110
细胞定位 细胞浆 细胞膜 线粒体
性    状 Liquid
浓    度 1mg/ml
免 疫 原 Recombinant human LAMP2 
亚    型 IgG1, k
纯化方法 affinity purified by Protein G
缓 冲 液 0.01M TBS (pH7.4) with 1% BSA, 0.02% Proclin300 and 50% Glycerol.
保存条件 Shipped at 4℃. Store at -20℃ for one year. Avoid repeated freeze/thaw cycles.
注意事项 This product as supplied is intended for research use only, not for use in human, therapeutic or diagnostic applications.
PubMed PubMed
产品介绍 The protein encoded by the LAMP2 gene is a member of a family of membrane glycoproteins. This glycoprotein provides selectins with carbohydrate ligands and is thought to play a role in tumor cell metastasis. It may also function in the protection, maintenance, and adhesion of the lysosome. Alternative splicing of the gene produces two known products, LAMP2a and LAMP2b. Isoform LAMP2a is highly expressed in placenta, lung and liver and has low expression in brain and skeletal muscle. The isoform detected by this antibody, LAMP2b, is highly expressed in skeletal muscle less so in brain, placental, lung, kidney and pancreas and has very low expression in liver.

Function:
Implicated in tumor cell metastasis. May function in protection of the lysosomal membrane from autodigestion, maintenance of the acidic environment of the lysosome, adhesion when expressed on the cell surface (plasma membrane), and inter-and intracellular signal transduction. Protects cells from the toxic effects of methylating mutagens.

Subcellular Location:
Cell membrane; Single-pass type I membrane protein. Endosome membrane; Single-pass type I membrane protein. Lysosome membrane; Single-pass type I membrane protein. Note=This protein shuttles between lysosomes, endosomes, and the plasma membrane.

Post-translational modifications:
O- and N-glycosylated; some of the N-glycans attached to Lamp-2 are polylactosaminoglycans.

Similarity:
Belongs to the LAMP family.

SWISS:
P13473

Gene ID:
3920

Database links:

Entrez Gene: 3920 Human

SwissProt: P13473 Human



产品图片
25 ug total protein per lane of various lysates (see on figure) probed with LAMP2 monoclonal antibody, unconjugated (bsm-51474M) at 1:500 dilution and 4°C overnight incubation. Followed by conjugated secondary antibody incubation at r.t. for 60 min.
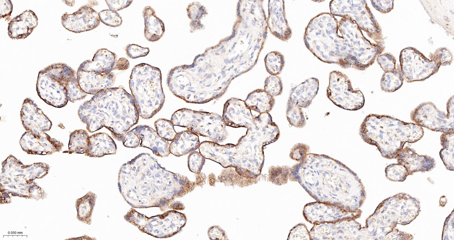
Paraformaldehyde-fixed, paraffin embedded Human Placenta; Antigen retrieval by boiling in sodium citrate buffer (pH6.0) for 15 min; The section was incubated with LAMP2 Monoclonal Antibody, Unconjugated (bsm-51474M) at 1:200 overnight at 4°C, followed by conjugation to the bs-40296G-HRP and DAB (C-0010) staining.
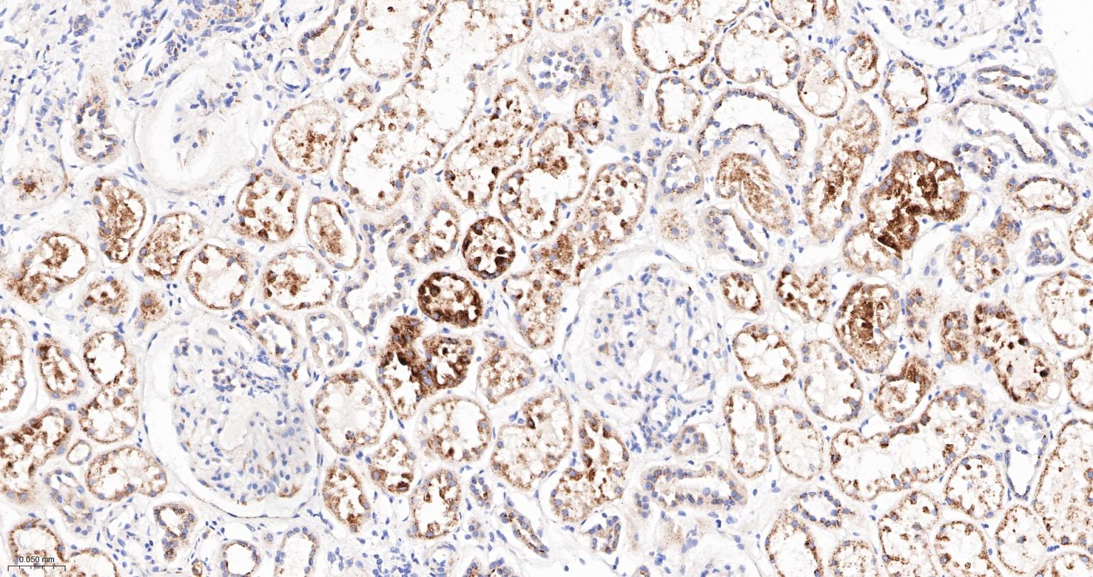
Paraformaldehyde-fixed, paraffin embedded Human Kidney; Antigen retrieval by boiling in sodium citrate buffer (pH6.0) for 15 min; The section was incubated with LAMP2 Monoclonal Antibody, Unconjugated (bsm-51474M) at 1:200 overnight at 4°C, followed by conjugation to the bs-40296G-HRP and DAB (C-0010) staining.
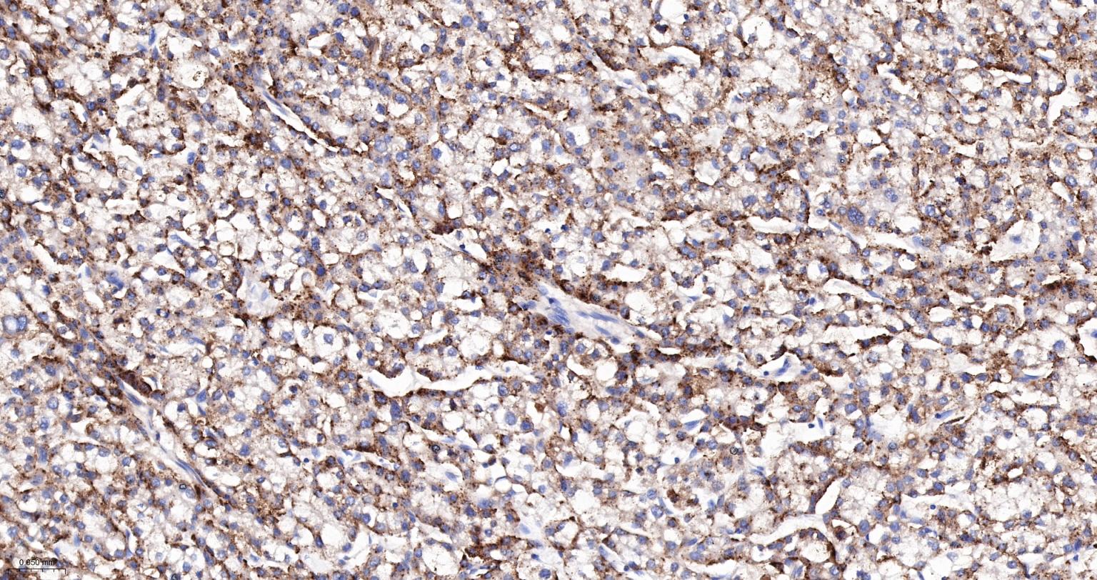
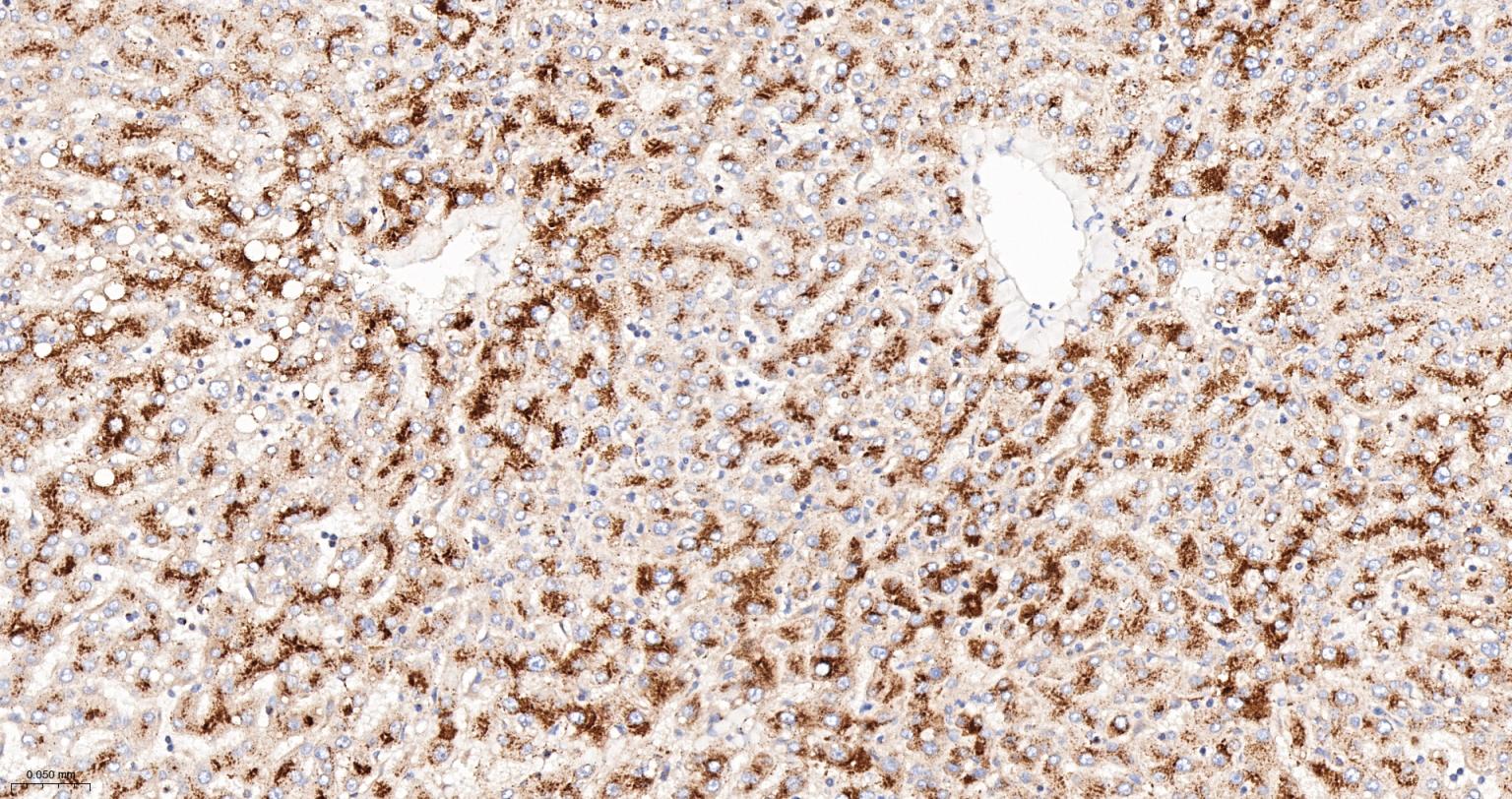
Paraformaldehyde-fixed, paraffin embedded Human Liver; Antigen retrieval by boiling in sodium citrate buffer (pH6.0) for 15 min; The section was incubated with LAMP2 Monoclonal Antibody, Unconjugated (bsm-51474M) at 1:200 overnight at 4°C, followed by conjugation to the bs-40296G-HRP and DAB (C-0010) staining.
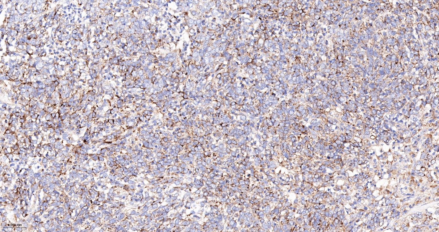
Paraformaldehyde-fixed, paraffin embedded Human Thyroid Cancer; Antigen retrieval by boiling in sodium citrate buffer (pH6.0) for 15 min; The section was incubated with LAMP2 Monoclonal Antibody, Unconjugated (bsm-51474M) at 1:200 overnight at 4°C, followed by conjugation to the bs-40296G-HRP and DAB (C-0010) staining.
Paraformaldehyde-fixed, paraffin embedded Human Liver Cancer; Antigen retrieval by boiling in sodium citrate buffer (pH6.0) for 15 min; The section was incubated with LAMP2 Monoclonal Antibody, Unconjugated (bsm-51474M) at 1:200 overnight at 4°C, followed by conjugation to the bs-40296G-HRP and DAB (C-0010) staining.
版权所有 2004-2026 www.bioss.com.cn 北京博奥森生物技术有限公司
通过国际质量管理体系ISO 9001:2015 GB/T 19001-2016    证书编号: 00124Q34771R2M/1100
通过国际医疗器械-质量管理体系ISO 13485:2016 GB/T 42061-2022     证书编号: CQC24QY20047R0M/1100
京ICP备05066980号-1         京公网安备110107000727号