扫码关注公众号           扫码咨询技术支持           扫码咨询技术服务
  
客服热线:400-901-9800  客服QQ:4009019800  技术答疑  技术支持  质量反馈  人才招聘  关于我们  联系我们
产品中心-北京博奥森生物技术有限公司
首页 > 产品中心 > 一抗 > 产品信息
S100-A8/A9 Mouse mAb (bsm-41227M)  
订购热线:400-901-9800
订购邮箱:sales@bioss.com.cn
订购QQ:  400-901-9800
技术支持:techsupport@bioss.com.cn
50ul/1180.00元
100ul/1980.00元
200ul/2800.00元
大包装/询价

产品编号 bsm-41227M
英文名称 S100-A8/A9 Mouse mAb
中文名称 S100钙结合蛋白A8/A9单克隆抗体
别    名 60B8AG; CAGA; CFAG; CGLA; CP-10; L1Ag; MA387; MIF; MRP8; NIF; P8; S100-A8; B8Ag; S10A8_HUMAN; S100A8; Calgranulin-A; Calprotectin L1L subunit; Cystic fibrosis antigen (CFAG); Leukocyte L1 complex light chain; Migration inhibitory factor-related protein 8   
研究领域 肿瘤  神经生物学  
抗体来源 Mouse
克隆类型 Monoclonal
克 隆 号
交叉反应 Human
产品应用 IHC-P=1:200-800,IHC-F=1:200-800,IF=1:200-800
not yet tested in other applications.
optimal dilutions/concentrations should be determined by the end user.
理论分子量 10 kDa
细胞定位 细胞浆 细胞膜 分泌型蛋白 
性    状 Liquid
浓    度 1mg/ml
免 疫 原 Recombinant human S100-A8/A9: 1-93&2-114 
亚    型 IgG
纯化方法 affinity purified by Protein A
缓 冲 液 0.01M TBS (pH7.4) with 1% BSA, 0.02% Proclin300 and 50% Glycerol.
保存条件 Shipped at 4℃. Store at -20℃ for one year. Avoid repeated freeze/thaw cycles.
注意事项 This product as supplied is intended for research use only, not for use in human, therapeutic or diagnostic applications.
PubMed PubMed
产品介绍 The protein encoded by this gene is a member of the S100 family of proteins containing 2 EF-hand calcium-binding motifs. S100 proteins are localized in the cytoplasm and/or nucleus of a wide range of cells, and involved in the regulation of a number of cellular processes such as cell cycle progression and differentiation. S100 genes include at least 13 members which are located as a cluster on chromosome 1q21. This protein may function in the inhibition of casein kinase and as a cytokine. Altered expression of this protein is associated with the disease cystic fibrosis. [provided by RefSeq].

Function:
S100A8 is a calcium- and zinc-binding protein which plays a prominent role in the regulation of inflammatory processes and immune response. It can induce neutrophil chemotaxis and adhesion. Predominantly found as calprotectin (S100A8/A9) which has a wide plethora of intra- and extracellular functions. The intracellular functions include: facilitating leukocyte arachidonic acid trafficking and metabolism, modulation of the tubulin-dependent cytoskeleton during migration of phagocytes and activation of the neutrophilic NADPH-oxidase. Activates NADPH-oxidase by facilitating the enzyme complex assembly at the cell membrane, transfering arachidonic acid, an essential cofactor, to the enzyme complex and S100A8 contributes to the enzyme assembly by directly binding to NCF2/P67PHOX. The extracellular functions involve proinfammatory, antimicrobial, oxidant-scavenging and apoptosis-inducing activities. Its proinflammatory activity includes recruitment of leukocytes, promotion of cytokine and chemokine production, and regulation of leukocyte adhesion and migration. Acts as an alarmin or a danger associated molecular pattern (DAMP) molecule and stimulates innate immune cells via binding to pattern recognition receptors such as Toll-like receptor 4 (TLR4) and receptor for advanced glycation endproducts (AGER). Binding to TLR4 and AGER activates the MAP-kinase and NF-kappa-B signaling pathways resulting in the amplification of the proinflammatory cascade. Has antimicrobial activity towards bacteria and fungi and exerts its antimicrobial activity probably via chelation of Zn(2+) which is essential for microbial growth. Can induce cell death via autophagy and apoptosis and this occurs through the cross-talk of mitochondria and lysosomes via reactive oxygen species (ROS) and the process involves BNIP3. Can regulate neutrophil number and apoptosis by an anti-apoptotic effect; regulates cell survival via ITGAM/ITGB and TLR4 and a signaling mechanism involving MEK-ERK. Its role as an oxidant scavenger has a protective role in preventing exaggerated tissue damage by scavenging oxidants.

Subunit:
Homodimer. Heterotetramer with S100A9.
Homodimer.Heterotetramer with S100A8.

Subcellular Location:
Secreted. Cytoplasm. Cytoplasm, cytoskeleton. Cell membrane; Peripheral membrane protein.

Tissue Specificity:
Expressed by macrophages in chronic inflammations. Also expressed in epithelial cells constitutively or induced during dermatoses.

Similarity:
Belongs to the S-100 family.
Contains 2 EF-hand domains.

SWISS:
P05109

Gene ID:
6279

Database links:

Entrez Gene: 6279 Human

Entrez Gene: 20201 Mouse

Omim: 123885 Human

SwissProt: P05109 Human

SwissProt: P27005 Mouse

Unigene: 416073 Human

Unigene: 21567 Mouse



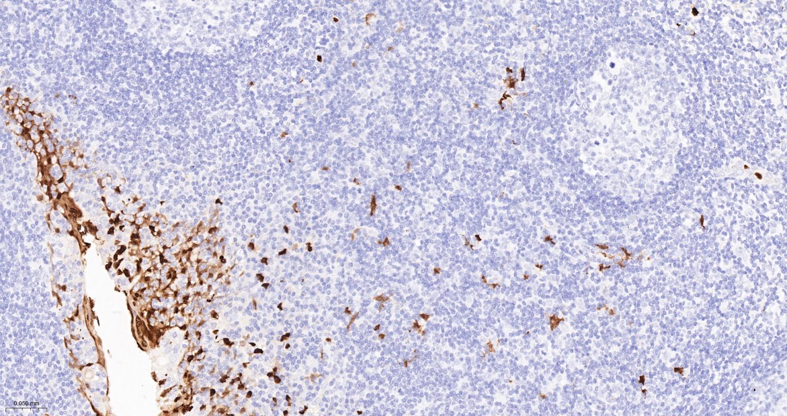
产品图片
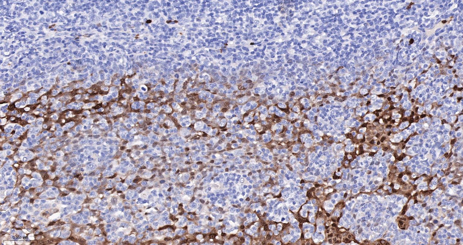
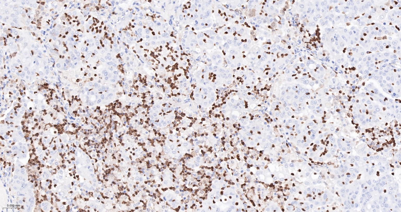
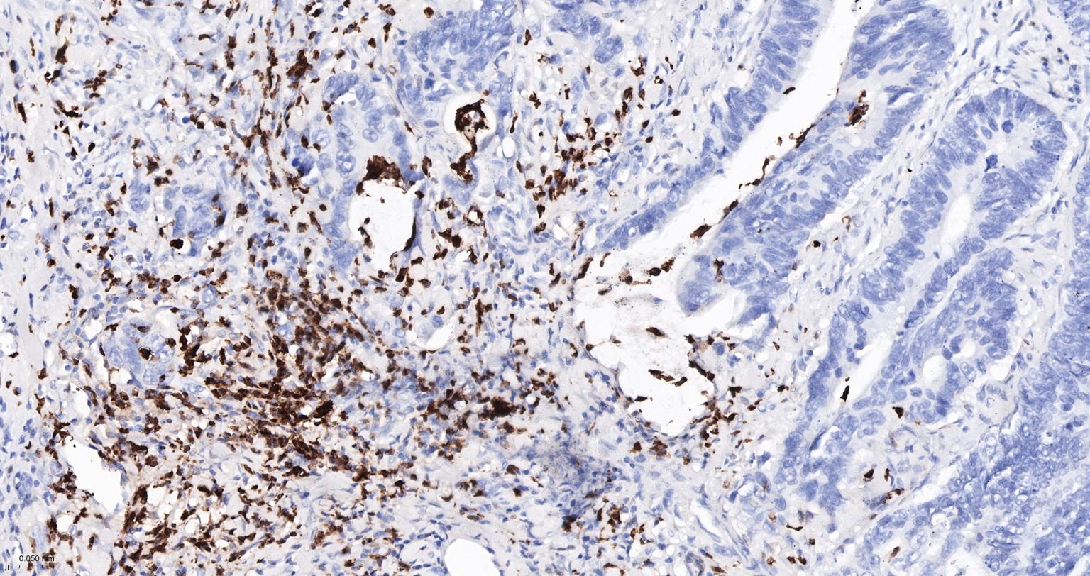
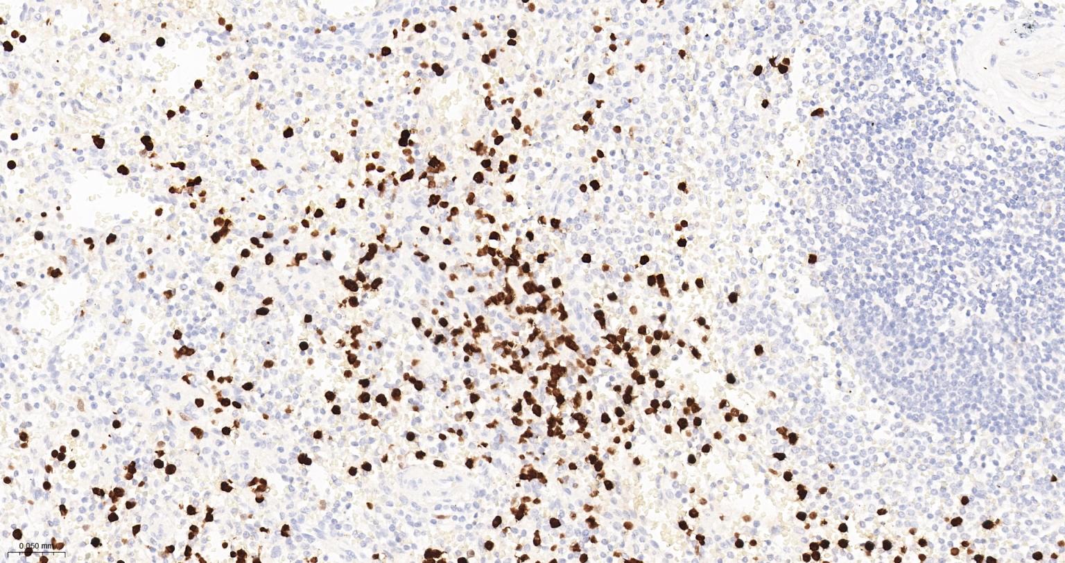
Paraformaldehyde-fixed, paraffin embedded Human Chronic tonsillitis; Antigen retrieval by boiling in sodium citrate buffer (pH6.0) for 15 min; The section was incubated with S100-A8/A9 Monoclonal Antibody, Unconjugated (bsm-41227M) at 1:200 overnight at 4°C, followed by conjugation to the bs-40296G-HRP and DAB (C-0010) staining.
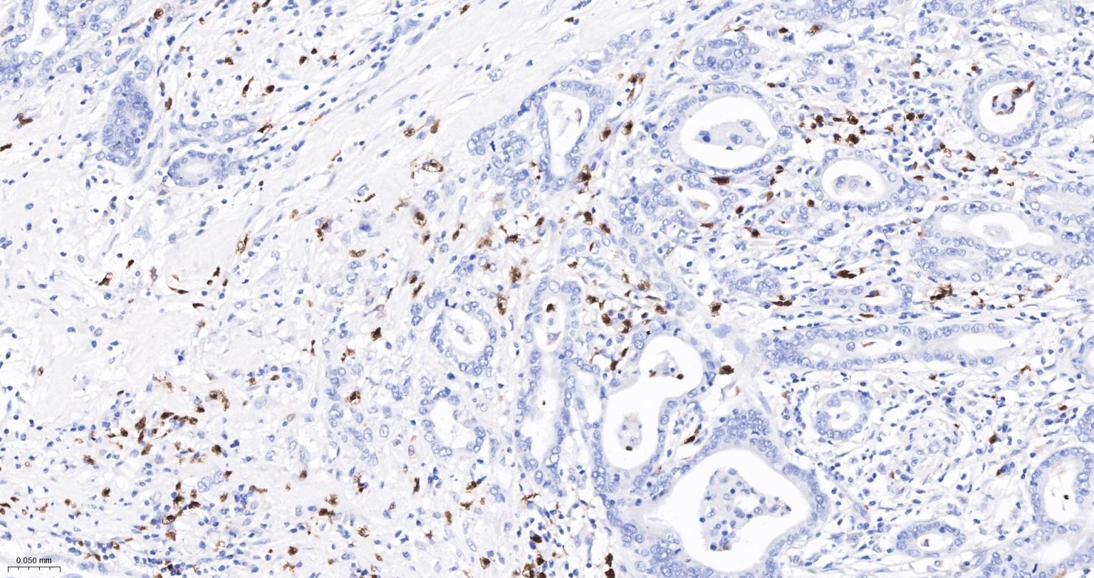
Paraformaldehyde-fixed, paraffin embedded Human Lung Cancer; Antigen retrieval by boiling in sodium citrate buffer (pH6.0) for 15 min; The section was incubated with S100-A8/A9 Monoclonal Antibody, Unconjugated (bsm-41227M) at 1:200 overnight at 4°C, followed by conjugation to the bs-40296G-HRP and DAB (C-0010) staining.
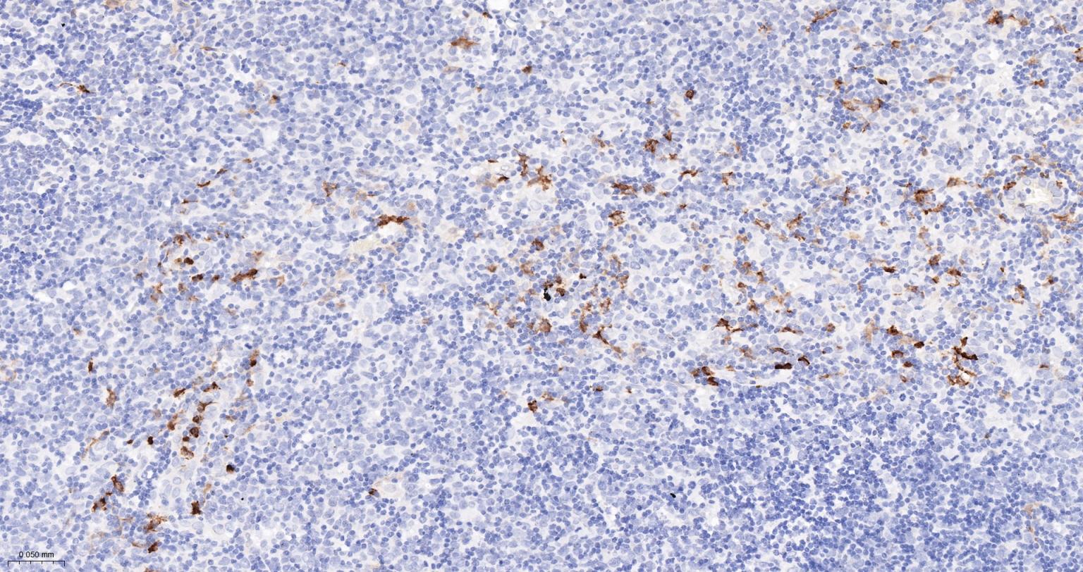
Paraformaldehyde-fixed, paraffin embedded Human Spleen; Antigen retrieval by boiling in sodium citrate buffer (pH6.0) for 15 min; The section was incubated with S100-A8/A9 Monoclonal Antibody, Unconjugated (bsm-41227M) at 1:200 overnight at 4°C, followed by conjugation to the bs-40296G-HRP and DAB (C-0010) staining.
Paraformaldehyde-fixed, paraffin embedded Human purulent appendicitis; Antigen retrieval by boiling in sodium citrate buffer (pH6.0) for 15 min; The section was incubated with S100-A8/A9 Monoclonal Antibody, Unconjugated (bsm-41227M) at 1:200 overnight at 4°C, followed by conjugation to the bs-40296G-HRP and DAB (C-0010) staining.
Paraformaldehyde-fixed, paraffin embedded Human Lymph; Antigen retrieval by boiling in sodium citrate buffer (pH6.0) for 15 min; The section was incubated with S100-A8/A9 Monoclonal Antibody, Unconjugated (bsm-41227M) at 1:200 overnight at 4°C, followed by conjugation to the bs-40296G-HRP and DAB (C-0010) staining.
Paraformaldehyde-fixed, paraffin embedded Human Lung; Antigen retrieval by boiling in sodium citrate buffer (pH6.0) for 15 min; The section was incubated with S100-A8/A9 Monoclonal Antibody, Unconjugated (bsm-41227M) at 1:200 overnight at 4°C, followed by conjugation to the bs-40296G-HRP and DAB (C-0010) staining.
Paraformaldehyde-fixed, paraffin embedded Human Tonsil; Antigen retrieval by boiling in sodium citrate buffer (pH6.0) for 15 min; The section was incubated with S100-A8/A9 Monoclonal Antibody, Unconjugated (bsm-41227M) at 1:200 overnight at 4°C, followed by conjugation to the bs-40296G-HRP and DAB (C-0010) staining.
Paraformaldehyde-fixed, paraffin embedded Human Colon Cancer; Antigen retrieval by boiling in sodium citrate buffer (pH6.0) for 15 min; The section was incubated with S100-A8/A9 Monoclonal Antibody, Unconjugated (bsm-41227M) at 1:200 overnight at 4°C, followed by conjugation to the bs-40296G-HRP and DAB (C-0010) staining.
Paraformaldehyde-fixed, paraffin embedded Human Pancreatic Cancer; Antigen retrieval by boiling in sodium citrate buffer (pH6.0) for 15 min; The section was incubated with S100-A8/A9 Monoclonal Antibody, Unconjugated (bsm-41227M) at 1:200 overnight at 4°C, followed by conjugation to the bs-40296G-HRP and DAB (C-0010) staining.
版权所有 2004-2026 www.bioss.com.cn 北京博奥森生物技术有限公司
通过国际质量管理体系ISO 9001:2015 GB/T 19001-2016    证书编号: 00124Q34771R2M/1100
通过国际医疗器械-质量管理体系ISO 13485:2016 GB/T 42061-2022     证书编号: CQC24QY20047R0M/1100
京ICP备05066980号-1         京公网安备110107000727号