扫码关注公众号           扫码咨询技术支持           扫码咨询技术服务
  
客服热线:400-901-9800  客服QQ:4009019800  技术答疑  技术支持  质量反馈  关于我们  联系我们
产品中心-北京博奥森生物技术有限公司
首页 > 产品中心 > 一抗 > 产品信息
Cyclooxygenase 2 Recombinant Rabbit mAb (bsm-52502R)  
订购热线:400-901-9800
订购邮箱:sales@bioss.com.cn
订购QQ:  400-901-9800
技术支持:techsupport@bioss.com.cn
50ul/1400.00元
100ul/2500.00元
大包装/询价

产品编号 bsm-52502R
英文名称 Cyclooxygenase 2 Recombinant Rabbit mAb
中文名称 环氧合酶2重组兔单抗
别    名 PTGS2; COX 2; COX2; COX-2; Cyclooxygenase; Cyclooxygenase2; Cyclooxygenase-2; hCox 2; PGG/HS; PGH synthase 2; PGHS 2; PGHS2; PHS 2; PHS II; PHS2; Prostaglandin endoperoxide synthase 2; Prostaglandin G/H synthase 2 precursor; Prostaglandin G/H synthase and cyclooxygenase; Prostaglandin G/H synthase 2; Prostaglandin H2 synthase 2; TIS10II; PGH2_HUMAN.  前列腺素内过氧化物合成酶2
Specific References  (2)     |     bsm-52502R has been referenced in 2 publications.
[IF=4.636] Chen Jiahao. et al. Roles of glutathione peroxidase 4 on the mercury-triggered ferroptosis in renal cells: Implications for the antagonism between selenium and mercury. METALLOMICS. 2023 Mar;:  WB ;  Human.  
[IF=4.225] Ye Xietao. et al. How Aconiti Radix Cocta can Treat Gouty Arthritis Based on Systematic Pharmacology and UPLC-QTOF-MS/MS. Front Pharmacol. 2021 Apr;12:971  WB ;  Human.  
研究领域 肿瘤  心血管  免疫学  信号转导  合成与降解  新陈代谢  
抗体来源 Rabbit
克隆类型 Recombinant
克 隆 号 14D5
交叉反应 Human,Mouse
产品应用 WB=1:500-2000,IHC-P=1:100-500,IHC-F=1:100-500,IF=1:100-500,ICC/IF=1:50-200
not yet tested in other applications.
optimal dilutions/concentrations should be determined by the end user.
理论分子量 65 kDa
检测分子量
细胞定位 细胞浆 
性    状 Liquid
浓    度 1mg/ml
免 疫 原 A synthesized peptide derived from human COX2: 550-604/604 
亚    型 IgG
纯化方法 affinity purified by Protein A
缓 冲 液 0.01M TBS (pH7.4) with 1% BSA, 0.02% Proclin300 and 50% Glycerol.
保存条件 Shipped at 4℃. Store at -20℃ for one year. Avoid repeated freeze/thaw cycles.
注意事项 This product as supplied is intended for research use only, not for use in human, therapeutic or diagnostic applications.
PubMed PubMed
产品介绍 Prostaglandin-endoperoxide synthase (PTGS), also known as cyclooxygenase, is the key enzyme in prostaglandin biosynthesis, and acts both as a dioxygenase and as a peroxidase. There are two isozymes of PTGS: a constitutive PTGS1 and an inducible PTGS2, which differ in their regulation of expression and tissue distribution. This gene encodes the inducible isozyme. It is regulated by specific stimulatory events, suggesting that it is responsible for the prostanoid biosynthesis involved in inflammation and mitogenesis. [provided by RefSeq, Feb 2009]

Function:
Mediates the formation of prostaglandins from arachidonate. May have a role as a major mediator of inflammation and/or a role for prostanoid signaling in activity-dependent plasticity.

Subunit:
Homodimer.

Subcellular Location:
Microsome membrane; Peripheral membrane protein. Endoplasmic reticulum membrane; Peripheral membrane protein.

Post-translational modifications:
S-nitrosylation by NOS2 (iNOS) activates enzme activity. S-nitrosylation may take place on different Cys residues in addition to Cys-561.

Similarity:
Belongs to the prostaglandin G/H synthase family. Contains 1 EGF-like domain.

SWISS:
P35354

Gene ID:
5743

Database links:

Entrez Gene: 5743 Human

Entrez Gene: 19225 Mouse

Entrez Gene: 29527 Rat

Omim: 600262 Human

SwissProt: P35354 Human

SwissProt: Q05769 Mouse

SwissProt: P35355 Rat

Unigene: 196384 Human

Unigene: 292547 Mouse

Unigene: 44369 Rat



产品图片
RAW264.7 (M) cells were treated with or without LPS+BFA (100 ng/mL) for 6 h, 25 μg total protein per lane of cell lysates (see on figure) probed with Cyclooxygenase 2 monoclonal antibody, unconjugated (bsm-52502R) at 1:1000 dilution and 4°C overnight incubation. Followed by conjugated secondary antibody incubation at r.t. for 60 min.
25 ug total protein per lane of various lysates (see on figure) probed with Cyclooxygenase 2 monoclonal antibody, unconjugated (bsm-52502R) at 1:1000 dilution and 4°C overnight incubation. Followed by conjugated secondary antibody incubation at r.t. for 60 min.
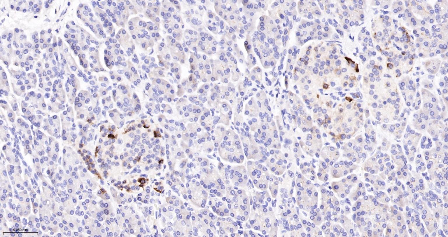
Paraformaldehyde-fixed, paraffin embedded Human Pancreas; Antigen retrieval by boiling in sodium citrate buffer (pH6.0) for 15 min; Antibody incubation with Cyclooxygenase 2 Monoclonal Antibody, Unconjugated(bsm-52502R) at 1:200 overnight at 4°C, followed by conjugation to the bs-0295G-HRP and DAB (C-0010) staining.
Paraformaldehyde-fixed, paraffin embedded Human Heart; Antigen retrieval by boiling in sodium citrate buffer (pH6.0) for 15 min; Antibody incubation with Cyclooxygenase 2 Monoclonal Antibody, Unconjugated(bsm-52502R) at 1:200 overnight at 4°C, followed by conjugation to the bs-0295G-HRP and DAB (C-0010) staining.
Paraformaldehyde-fixed, paraffin embedded Human Kidney; Antigen retrieval by boiling in sodium citrate buffer (pH6.0) for 15 min; Antibody incubation with Cyclooxygenase 2 Monoclonal Antibody, Unconjugated(bsm-52502R) at 1:200 overnight at 4°C, followed by conjugation to the bs-0295G-HRP and DAB (C-0010) staining.
Paraformaldehyde-fixed, paraffin embedded Human Esophagus Cancer; Antigen retrieval by boiling in sodium citrate buffer (pH6.0) for 15 min; Antibody incubation with Cyclooxygenase 2 Monoclonal Antibody, Unconjugated(bsm-52502R) at 1:200 overnight at 4°C, followed by conjugation to the bs-0295G-HRP and DAB (C-0010) staining.
Paraformaldehyde-fixed, paraffin embedded Human Breast Cancer; Antigen retrieval by boiling in sodium citrate buffer (pH6.0) for 15 min; Antibody incubation with Cyclooxygenase 2 Monoclonal Antibody, Unconjugated(bsm-52502R) at 1:200 overnight at 4°C, followed by conjugation to the bs-0295G-HRP and DAB (C-0010) staining.
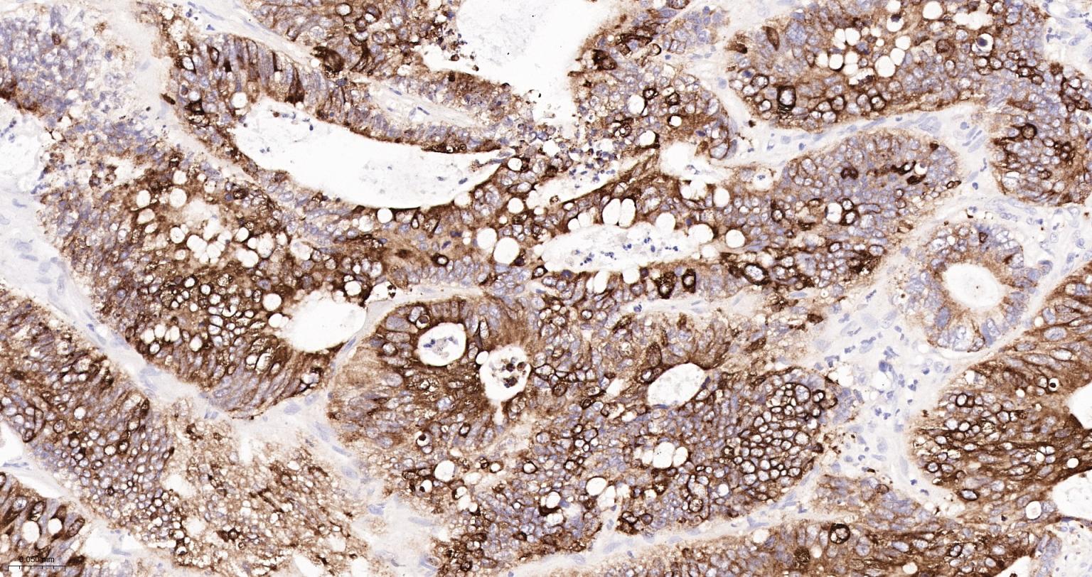
Paraformaldehyde-fixed, paraffin embedded Human Colon Cancer; Antigen retrieval by boiling in sodium citrate buffer (pH6.0) for 15 min; Antibody incubation with Cyclooxygenase 2 Monoclonal Antibody, Unconjugated(bsm-52502R) at 1:200 overnight at 4°C, followed by conjugation to the bs-0295G-HRP and DAB (C-0010) staining.
Paraformaldehyde-fixed, paraffin embedded Human Lung Cancer; Antigen retrieval by boiling in sodium citrate buffer (pH6.0) for 15 min; Antibody incubation with Cyclooxygenase 2 Monoclonal Antibody, Unconjugated(bsm-52502R) at 1:200 overnight at 4°C, followed by conjugation to the bs-0295G-HRP and DAB (C-0010) staining.
Paraformaldehyde-fixed, paraffin embedded Human Colon; Antigen retrieval by boiling in sodium citrate buffer (pH6.0) for 15 min; Antibody incubation with Cyclooxygenase 2 Monoclonal Antibody, Unconjugated(bsm-52502R) at 1:200 overnight at 4°C, followed by conjugation to the bs-0295G-HRP and DAB (C-0010) staining.
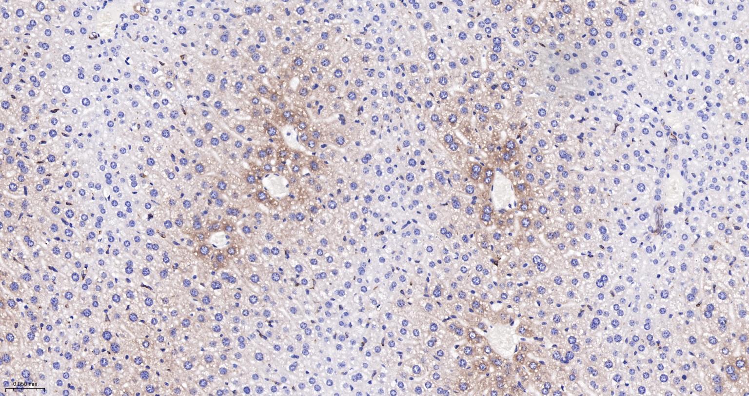
Paraformaldehyde-fixed, paraffin embedded Human Liver; Antigen retrieval by boiling in sodium citrate buffer (pH6.0) for 15 min; Antibody incubation with Cyclooxygenase 2 Monoclonal Antibody, Unconjugated(bsm-52502R) at 1:200 overnight at 4°C, followed by conjugation to the bs-0295G-HRP and DAB (C-0010) staining.
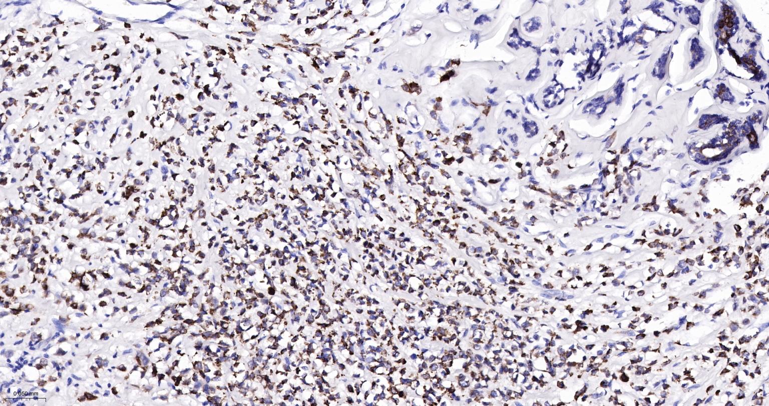
Paraformaldehyde-fixed, paraffin embedded Human Liver Cancer; Antigen retrieval by boiling in sodium citrate buffer (pH6.0) for 15 min; Antibody incubation with Cyclooxygenase 2 Monoclonal Antibody, Unconjugated(bsm-52502R) at 1:200 overnight at 4°C, followed by conjugation to the bs-0295G-HRP and DAB (C-0010) staining.
Paraformaldehyde-fixed, paraffin embedded Mouse Colon; Antigen retrieval by boiling in sodium citrate buffer (pH6.0) for 15 min; Antibody incubation with Cyclooxygenase 2 Monoclonal Antibody, Unconjugated(bsm-52502R) at 1:200 overnight at 4°C, followed by conjugation to the bs-0295G-HRP and DAB (C-0010) staining.
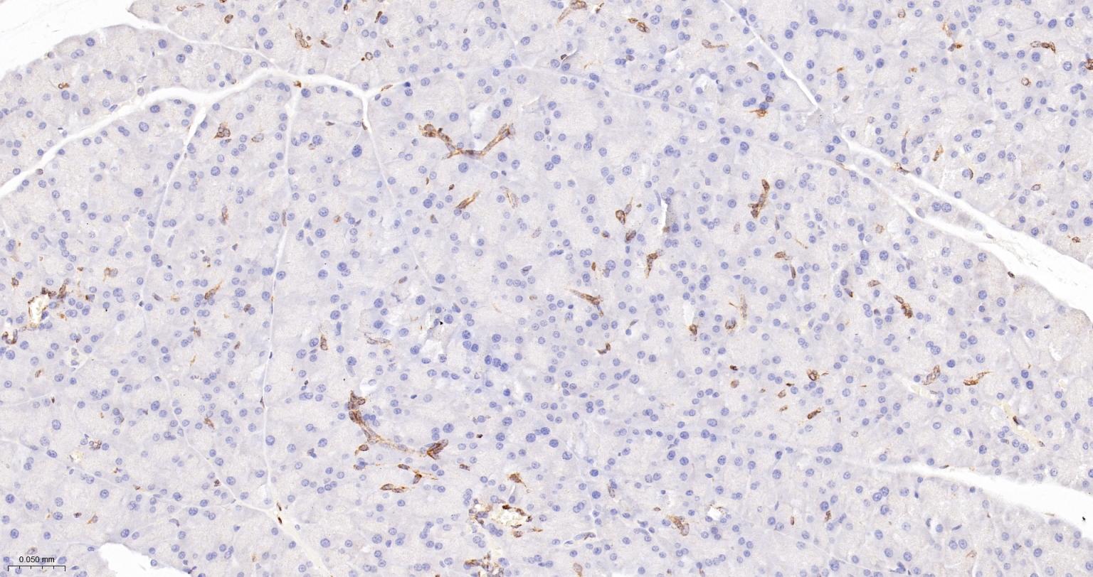
Paraformaldehyde-fixed, paraffin embedded Mouse Liver; Antigen retrieval by boiling in sodium citrate buffer (pH6.0) for 15 min; Antibody incubation with Cyclooxygenase 2 Monoclonal Antibody, Unconjugated(bsm-52502R) at 1:200 overnight at 4°C, followed by conjugation to the bs-0295G-HRP and DAB (C-0010) staining.
版权所有 2004-2026 www.bioss.com.cn 北京博奥森生物技术有限公司
通过国际质量管理体系ISO 9001:2015 GB/T 19001-2016    证书编号: 00124Q34771R2M/1100
通过国际医疗器械-质量管理体系ISO 13485:2016 GB/T 42061-2022     证书编号: CQC24QY20047R0M/1100
京ICP备05066980号-1         京公网安备110107000727号