扫码关注公众号           扫码咨询技术支持           扫码咨询技术服务
  
客服热线:400-901-9800  客服QQ:4009019800  技术答疑  技术支持  质量反馈  人才招聘  关于我们  联系我们
产品中心-北京博奥森生物技术有限公司
首页 > 产品中心 > 一抗 > 产品信息
CD11b Recombinant Rabbit mAb (bsm-54156R)  
订购热线:400-901-9800
订购邮箱:sales@bioss.com.cn
订购QQ:  400-901-9800
技术支持:techsupport@bioss.com.cn
25ul/800.00元
50ul/1400.00元
100ul/2500.00元
大包装/询价

产品编号 bsm-54156R
英文名称 CD11b Recombinant Rabbit mAb
中文名称 整合素αM单克隆抗体
别    名 CD11B; CR3A; MAC-1; MAC1A; MO1A; SLEB6; ITAM_HUMAN; ITGAM; CD11 antigen-like family member B; CR-3 alpha chain; Cell surface glycoprotein MAC-1 subunit alpha; Leukocyte adhesion receptor MO1; Neutrophil adherence receptor; ITAM_MOUSE;  
研究领域 神经生物学  细胞粘附分子  
抗体来源 Rabbit
克隆类型 Recombinant
克 隆 号 9B3
交叉反应 Human
产品应用 WB=1:1000-2000,IHC-P=1:200-800,IHC-F=1:200-800,IF=1:200-800
not yet tested in other applications.
optimal dilutions/concentrations should be determined by the end user.
理论分子量 170 kDa
检测分子量 175
细胞定位 细胞浆 细胞膜 
性    状 Liquid
浓    度 1mg/ml
免 疫 原 Recombinant Human ITGAM 
亚    型 IgG
纯化方法 affinity purified by Protein A
缓 冲 液 0.01M TBS (pH7.4) with 1% BSA, 0.02% Proclin300 and 50% Glycerol.
保存条件 Shipped at 4℃. Store at -20℃ for one year. Avoid repeated freeze/thaw cycles.
注意事项 This product as supplied is intended for research use only, not for use in human, therapeutic or diagnostic applications.
PubMed PubMed
产品介绍 This gene encodes the integrin alpha M chain. Integrins are heterodimeric integral membrane proteins composed of an alpha chain and a beta chain. This I-domain containing alpha integrin combines with the beta 2 chain (ITGB2) to form a leukocyte-specific integrin referred to as macrophage receptor 1 ('Mac-1'), or inactivated-C3b (iC3b) receptor 3 ('CR3'). The alpha M beta 2 integrin is important in the adherence of neutrophils and monocytes to stimulated endothelium, and also in the phagocytosis of complement coated particles. Multiple transcript variants encoding different isoforms have been found for this gene. [provided by RefSeq, Mar 2009]

Function:
Integrin alpha-M/beta-2 is implicated in various adhesive interactions of monocytes, macrophages and granulocytes as well as in mediating the uptake of complement-coated particles. It is identical with CR-3, the receptor for the iC3b fragment of the third complement component. It probably recognizes the R-G-D peptide in C3b. Integrin alpha-M/beta-2 is also a receptor for fibrinogen, factor X and ICAM1. It recognizes P1 and P2 peptides of fibrinogen gamma chain.

Subunit:
Heterodimer of an alpha and a beta subunit. Alpha-M associates with beta-2. Interacts with JAM3.

Subcellular Location:
Plasma membrane

Tissue Specificity:
Predominantly expressed in monocytes and granulocytes.

DISEASE:
Genetic variations in ITGAM has been associated with susceptibility to systemic lupus erythematosus type 6 (SLEB6) [MIM:609939]. Systemic lupus erythematosus (SLE) is a chronic, inflammatory and often febrile multisystemic disorder of connective tissue. It affects principally the skin, joints, kidneys and serosal membranes. It is thought to represent a failure of the regulatory mechanisms of the autoimmune system.

Similarity:
Belongs to the integrin alpha chain family.
Contains 7 FG-GAP repeats.
Contains 1 VWFA domain.

SWISS:
P11215

Gene ID:
3684

Database links:

Entrez Gene: 3684 Human

Entrez Gene: 16409 Mouse

Omim: 120980 Human

SwissProt: P11215 Human

SwissProt: P05555 Mouse

Unigene: 172631 Human

Unigene: 262106 Mouse



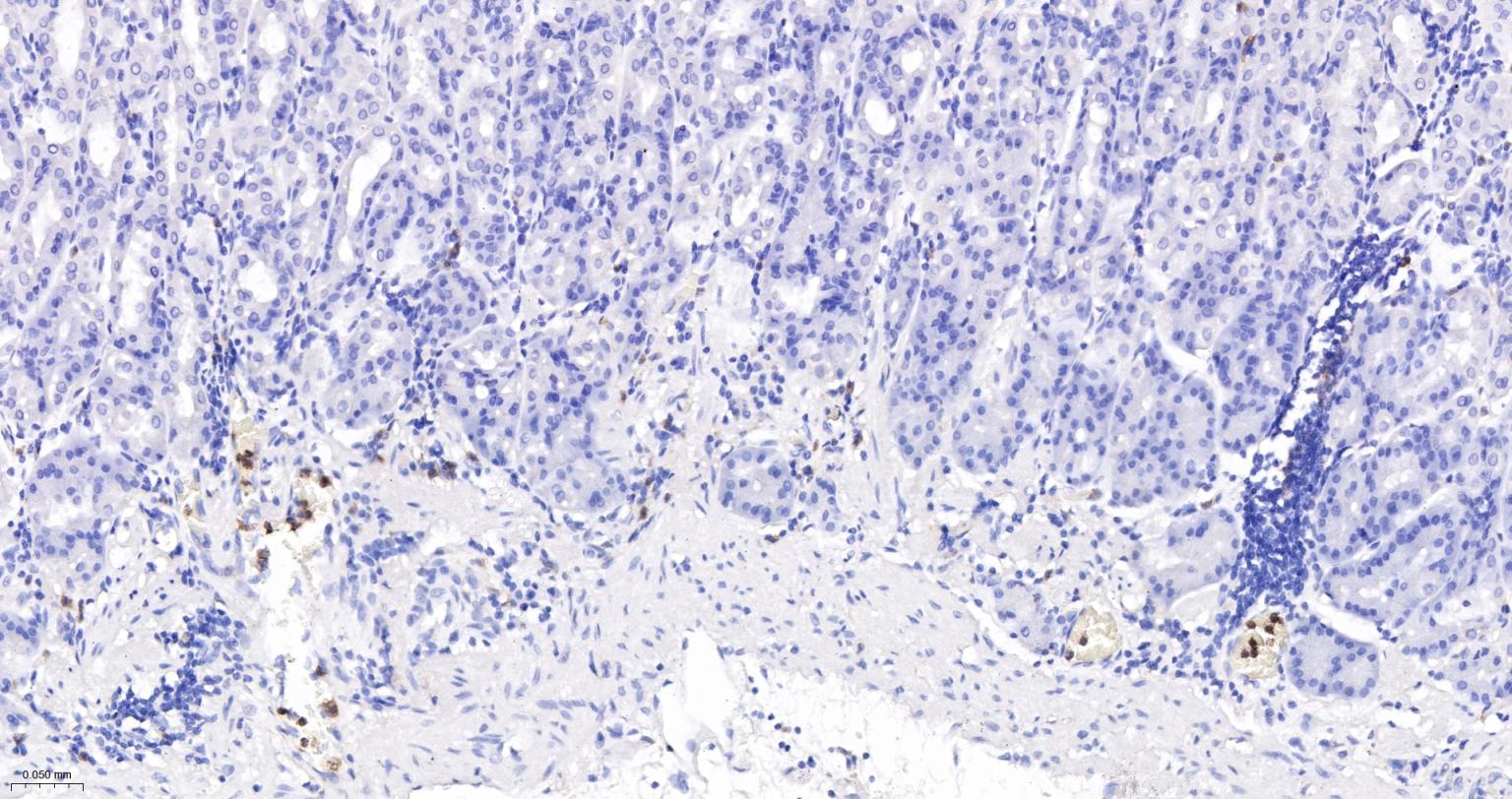
产品图片
THP-1 (H) cells were treated with or without PMA (50 ng/mL) for 30 min, 25 μg total protein per lane of cell lysates (see on figure) probed with CD11b monoclonal antibody, unconjugated (bsm-54156R) at 1:1000 dilution and 4°C overnight incubation. Followed by conjugated secondary antibody incubation at r.t. for 60 min.
Paraformaldehyde-fixed, paraffin embedded Human Cervical Cancer; Antigen retrieval by boiling in sodium citrate buffer (pH6.0) for 15 min; The section was incubated with CD11b Monoclonal Antibody, Unconjugated (bsm-54156R) at 1:200 overnight at 4°C, followed by conjugation to the bs-0295G-HRP and DAB (C-0010) staining.
Paraformaldehyde-fixed, paraffin embedded Human Fundus; Antigen retrieval by boiling in sodium citrate buffer (pH6.0) for 15 min; Antibody incubation with CD11b Monoclonal Antibody, Unconjugated(bsm-54156R) at 1:200 overnight at 4°C, followed by conjugation to the SP Kit (Rabbit, SP-0023) and DAB (C-0010) staining.
Paraformaldehyde-fixed, paraffin embedded Human Spleen; Antigen retrieval by boiling in sodium citrate buffer (pH6.0) for 15 min; Antibody incubation with CD11b Monoclonal Antibody, Unconjugated(bsm-54156R) at 1:200 overnight at 4°C, followed by conjugation to the SP Kit (Rabbit, SP-0023) and DAB (C-0010) staining.
Paraformaldehyde-fixed, paraffin embedded Human Tonsil; Antigen retrieval by boiling in sodium citrate buffer (pH6.0) for 15 min; Antibody incubation with CD11b Monoclonal Antibody, Unconjugated(bsm-54156R) at 1:200 overnight at 4°C, followed by conjugation to the SP Kit (Rabbit, SP-0023) and DAB (C-0010) staining.
Paraformaldehyde-fixed, paraffin embedded Human Colon Cancer; Antigen retrieval by boiling in sodium citrate buffer (pH6.0) for 15 min; Antibody incubation with CD11b Monoclonal Antibody, Unconjugated(bsm-54156R) at 1:200 overnight at 4°C, followed by conjugation to the SP Kit (Rabbit, SP-0023) and DAB (C-0010) staining.
Paraformaldehyde-fixed, paraffin embedded Human Small Intestine; Antigen retrieval by boiling in sodium citrate buffer (pH6.0) for 15 min; The section was incubated with CD11b Monoclonal Antibody, Unconjugated (bsm-54156R) at 1:200 overnight at 4°C, followed by conjugation to the bs-0295G-HRP and DAB (C-0010) staining.
Paraformaldehyde-fixed, paraffin embedded Human Cerebellum; Antigen retrieval by boiling in sodium citrate buffer (pH6.0) for 15 min; Antibody incubation with CD11b Monoclonal Antibody, Unconjugated(bsm-54156R) at 1:300 overnight at 4°C, followed by conjugation to the SP Kit (Rabbit, SP-0023) and DAB (C-0010) staining.
Paraformaldehyde-fixed, paraffin embedded Human Colon; Antigen retrieval by boiling in sodium citrate buffer (pH6.0) for 15 min; Antibody incubation with CD11b Monoclonal Antibody, Unconjugated(bsm-54156R) at 1:200 overnight at 4°C, followed by conjugation to the SP Kit (Rabbit, SP-0023) and DAB (C-0010) staining.
版权所有 2004-2026 www.bioss.com.cn 北京博奥森生物技术有限公司
通过国际质量管理体系ISO 9001:2015 GB/T 19001-2016    证书编号: 00124Q34771R2M/1100
通过国际医疗器械-质量管理体系ISO 13485:2016 GB/T 42061-2022     证书编号: CQC24QY20047R0M/1100
京ICP备05066980号-1         京公网安备110107000727号