扫码关注公众号           扫码咨询技术支持           扫码咨询技术服务
  
客服热线:400-901-9800  客服QQ:4009019800  技术答疑  技术支持  质量反馈  关于我们  联系我们
产品中心-北京博奥森生物技术有限公司
首页 > 产品中心 > 一抗 > 产品信息
phospho-HSP27 (Ser78) Recombinant Rabbit mAb (bsm-52167R)  
订购热线:400-901-9800
订购邮箱:sales@bioss.com.cn
订购QQ:  400-901-9800
技术支持:techsupport@bioss.com.cn
25ul/800.00元
50ul/1400.00元
100ul/2500.00元
大包装/询价

产品编号 bsm-52167R
英文名称 phospho-HSP27 (Ser78) Recombinant Rabbit mAb
中文名称 磷酸化热休克蛋白27重组兔单抗
别    名 Hsp27(S78); Hsp27(phospho S78); p-Hsp27(phospho S78); Heat shock 27kDa protein; 28 kDa heat shock protein; CMT2F; DKFZp586P1322; Estrogen regulated 24 kDa protein; Estrogen-regulated 24 kDa protein; Heat shock 25kDa protein 1; Heat shock 25kDa protein 1; Heat shock 27 kDa protein; Heat shock 27kD protein 1; Heat shock 27kDa protein 1; Heat shock 27kDa protein 1; Heat shock 28kDa protein 1; Heat shock 28kDa protein 1; Heat Shock Protein 27; Heat Shock Protein 27; Heat shock protein beta 1; Heat shock protein beta-1; Heat Shock Protein27; Heat Shock Protein27; HMN2B; HS.76067; Hsp 25; Hsp 25; Hsp 27; Hsp 27; Hsp 28; Hsp 28; Hsp B1; Hsp B1; Hsp25; Hsp25; HSP27; Hsp28; Hsp28; HspB1; HspB1; HSPB1_HUMAN; SRP27; Stress responsive protein 27; Stress-responsive protein 27.  
产品类型 磷酸化抗体 重组兔单抗 
研究领域 肿瘤  心血管  信号转导  转录调节因子  肿瘤细胞生物标志物  
抗体来源 Rabbit
克隆类型 Recombinant
克 隆 号 5E1
交叉反应 Human
产品应用 WB=1:500-2000,IHC-P=1:100-500,IHC-F=1:100-500,IF=1:100-500,Flow-Cyt=1:50-100,ICC/IF=1:50-200,ELISA=1:5000-10000
not yet tested in other applications.
optimal dilutions/concentrations should be determined by the end user.
理论分子量 23 kDa
检测分子量
细胞定位 细胞核 细胞浆 
性    状 Liquid
浓    度 1mg/ml
免 疫 原 KLH conjugated Synthesised phosphopeptide derived from human HSP27 around the phosphorylation site of Ser78: AL(p-S)RQ 
亚    型 IgG
纯化方法 affinity purified by Protein A
缓 冲 液 0.01M TBS (pH7.4) with 1% BSA, 0.02% Proclin300 and 50% Glycerol.
保存条件 Shipped at 4℃. Store at -20℃ for one year. Avoid repeated freeze/thaw cycles.
注意事项 This product as supplied is intended for research use only, not for use in human, therapeutic or diagnostic applications.
PubMed PubMed
产品介绍 The protein encoded by this gene is induced by environmental stress and developmental changes. The encoded protein is involved in stress resistance and actin organization and translocates from the cytoplasm to the nucleus upon stress induction. Defects in this gene are a cause of Charcot-Marie-Tooth disease type 2F (CMT2F) and distal hereditary motor neuropathy (dHMN). [provided by RefSeq, Oct 2008]

Function:
Involved in stress resistance and actin organization.

Subunit:
Interacts with TGFB1I1. Associates with alpha- and beta-tubulin, microtubules and CRYAB. Interacts with HSPB8 and HSPBAP1.

Subcellular Location:
Cytoplasm. Nucleus. Cytoplasm, cytoskeleton, spindle. Note=Cytoplasmic in interphase cells. Colocalizes with mitotic spindles in mitotic cells. Translocates to the nucleus during heat shock and resides in sub-nuclear structures known as SC35 speckles or nuclear splicing speckles.

Tissue Specificity:
Detected in all tissues tested: skeletal muscle, heart, aorta, large intestine, small intestine, stomach, esophagus, bladder, adrenal gland, thyroid, pancreas, testis, adipose tissue, kidney, liver, spleen, cerebral cortex, blood serum and cerebrospinal fluid. Highest levels are found in the heart and in tissues composed of striated and smooth muscle.

Post-translational modifications:
Phosphorylated in MCF-7 cells on exposure to protein kinase C activators and heat shock.
Phosphorylation by MAPKAPK2 and MAPKAPK3 in response to stress leads to dissociate HSP27/HSPB1 from large small heat-shock protein (sHsps) oligomers and impair its chaperone activity and ability to protect against oxidative stress effectively. Phosphorylation by MAPKAPK5 in response to PKA stimulation induces F-actin rearrangement.

DISEASE:
Defects in HSPB1 are the cause of Charcot-Marie-Tooth disease type 2F (CMT2F) [MIM:606595]. CMT2F is a form of Charcot-Marie-Tooth disease, the most common inherited disorder of the peripheral nervous system. Charcot-Marie-Tooth disease is classified in two main groups on the basis of electrophysiologic properties and histopathology: primary peripheral demyelinating neuropathy or CMT1, and primary peripheral axonal neuropathy or CMT2. Neuropathies of the CMT2 group are characterized by signs of axonal regeneration in the absence of obvious myelin alterations, normal or slightly reduced nerve conduction velocities, and progressive distal muscle weakness and atrophy. Nerve conduction velocities are normal or slightly reduced. CMT2F onset is between 15 and 25 years with muscle weakness and atrophy usually beginning in feet and legs (peroneal distribution). Upper limb involvement occurs later. CMT2F inheritance is autosomal dominant.
Defects in HSPB1 are a cause of distal hereditary motor neuronopathy type 2B (HMN2B) [MIM:608634]. Distal hereditary motor neuronopathies constitute a heterogeneous group of neuromuscular disorders caused by selective impairment of motor neurons in the anterior horn of the spinal cord, without sensory deficit in the posterior horn. The overall clinical picture consists of a classical distal muscular atrophy syndrome in the legs without clinical sensory loss. The disease starts with weakness and wasting of distal muscles of the anterior tibial and peroneal compartments of the legs. Later on, weakness and atrophy may expand to the proximal muscles of the lower limbs and/or to the distal upper limbs.

Similarity:
Belongs to the small heat shock protein (HSP20) family.

SWISS:
P04792

Gene ID:
3315

Database links:

Entrez Gene: 3315 Human

Entrez Gene: 15507 Mouse

Entrez Gene: 24471 Rat

Entrez Gene: 403979 Dog

Omim: 602195 Human

SwissProt: P42929 Dog

SwissProt: P04792 Human

SwissProt: P14602 Mouse

SwissProt: P42930 Rat

Unigene: 3849 Dog

Unigene: 520973 Human

Unigene: 13849 Mouse

Unigene: 3841 Rat



产品图片
Blocking buffer: 5% NFDM/TBST Primary Ab dilution: 1:1000 Primary Ab incubation condition: 2 hours at room temperature Secondary Ab: Goat Anti-Rabbit IgG H&L (HRP) Lysate: 1: HeLa + Anisomycin(-), 2 HeLa+ Anisomycin(+) Protein loading quantity: 20 μg Exposure time: 60 s Predicted MW: 23 kDa Observed MW: 27 kDa
Tissue: Human tonsil Section type: Formalin-fixed & Paraffin -embedded section Retrieval method: High temperature and high pressure Retrieval buffer: Tris/EDTA buffer, pH 9.0 Primary Ab dilution: 1:500 Primary Ab incubation condition: 1 hour at room temperature Secondary Ab: Anti-Rabbit and Mouse Polymer HRP (Ready to use) Counter stain: Hematoxylin (Blue) Comment: Color brown is the positive signal for bsm-52167R
Tissue: Human cervical cancer Section type: Formalin-fixed & Paraffin -embedded section Retrieval method: High temperature and high pressure Retrieval buffer: Tris/EDTA buffer, pH 9.0 Primary Ab dilution: 1:500 Primary Ab incubation condition: 1 hour at room temperature Secondary Ab: Anti-Rabbit and Mouse Polymer HRP (Ready to use) Counter stain: Hematoxylin (Blue) Comment: Color brown is the positive signal for bsm-52167R
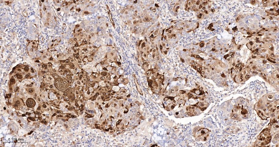
Tissue: Human breast cancer Section type: Formalin-fixed & Paraffin -embedded section Retrieval method: High temperature and high pressure Retrieval buffer: Tris/EDTA buffer, pH 9.0 Primary Ab dilution: 1:500 Primary Ab incubation condition: 1 hour at room temperature Secondary Ab: Anti-Rabbit and Mouse Polymer HRP (Ready to use) Counter stain: Hematoxylin (Blue) Comment: Color brown is the positive signal for bsm-52167R
Cell line: A: HeLa, B HeLa+ Anisomycin(+) Fixation: 100% Ice-cold methanol Permeabilization: 0.1% Triton X-100 Primary Ab dilution: 1:50 Primary Ab incubation condition: 4°C overnight Secondary Ab: Goat Anti-Rabbit IgG Nuclear counter stain: DAPI (Blue) Comment: Color green is the positive signal for bsm-52167R
The Hela ( treated with 200J/m2 UV-C then recovery for 30 min) (H) cells were fixed with 4% PFA (10 min at r.t.) and then permeabilized with 90% ice-cold methanol for 20 min at -20℃,the cells then were incubated in 5%BSA to block non-specific protein-protein interactions (30 min at r.t.), followed by secondary antibody incubation for 40 min at room temperature.Primary Antibody (green):Rabbit Anti-p-Hsp27 (S78) antibody (bsm-52167R,1:100); Isotype Control (orange): Rabbit IgG (bs-0295P). Blank control (black): PBS. Acquisition of 20,000 events was performed.
版权所有 2004-2026 www.bioss.com.cn 北京博奥森生物技术有限公司
通过国际质量管理体系ISO 9001:2015 GB/T 19001-2016    证书编号: 00124Q34771R2M/1100
通过国际医疗器械-质量管理体系ISO 13485:2016 GB/T 42061-2022     证书编号: CQC24QY20047R0M/1100
京ICP备05066980号-1         京公网安备110107000727号