扫码关注公众号           扫码咨询技术支持           扫码咨询技术服务
  
客服热线:400-901-9800  客服QQ:4009019800  技术答疑  技术支持  质量反馈  关于我们  联系我们
产品中心-北京博奥森生物技术有限公司
首页 > 产品中心 > 一抗 > 产品信息
phospho-FoxO3a (Ser253) Recombinant Rabbit mAb (bsm-52156R)  
订购热线:400-901-9800
订购邮箱:sales@bioss.com.cn
订购QQ:  400-901-9800
技术支持:techsupport@bioss.com.cn
50ul/1400.00元
100ul/2500.00元
大包装/询价

产品编号 bsm-52156R
英文名称 phospho-FoxO3a (Ser253) Recombinant Rabbit mAb
中文名称 磷酸化叉头蛋白3A重组兔单抗
别    名 FOXO3a(S253); FOXO3A(phospho S253); p=FOXO3A(phospho S253); FOXO1A(phospho S253); p-FOXO1A(phospho S253); AF6q21; AF6q21 protein; DKFZp781A0677; FKHR2; FKHRL 1; FKHRL1; FKHRL1P2; Forkhead(Drosophila) homolog(rhabdomyosarcoma) like 1; Forkhead box O3; Forkhead box O3A; Forkhead box protein O3; Forkhead box protein O3A; Forkhead Drosophila homolog of in rhabdomyosarcoma like 1; Forkhead homolog(rhabdomyosarcoma) like 1; Forkhead in rhabdomyosarcoma like 1; Forkhead in rhabdomyosarcoma-like 1; FOX O3A; FOXO2; foxo3; FOXO3_HUMAN; FOXO3A; MGC12739; MGC31925.  
产品类型 磷酸化抗体 重组兔单抗 
研究领域 肿瘤  免疫学  染色质和核信号  神经生物学  信号转导  转录调节因子  表观遗传学  
抗体来源 Rabbit
克隆类型 Recombinant
克 隆 号 25B3
交叉反应 Human,Mouse,Rat
产品应用 WB=1:500-2000,IHC-P=1:50-200,IHC-F=1:50-200,IF=1:50-200
not yet tested in other applications.
optimal dilutions/concentrations should be determined by the end user.
理论分子量 71 kDa
检测分子量
性    状 Liquid
浓    度 1mg/ml
免 疫 原 A synthesized peptide derived from human FOXO3A around the phosphorylation site of S253: AV-pS-MD 
亚    型 IgG
纯化方法 affinity purified by Protein A
缓 冲 液 0.01M TBS (pH7.4) with 1% BSA, 0.02% Proclin300 and 50% Glycerol.
保存条件 Shipped at 4℃. Store at -20℃ for one year. Avoid repeated freeze/thaw cycles.
注意事项 This product as supplied is intended for research use only, not for use in human, therapeutic or diagnostic applications.
PubMed PubMed
产品介绍 This gene belongs to the forkhead family of transcription factors which are characterized by a distinct forkhead domain. This gene likely functions as a trigger for apoptosis through expression of genes necessary for cell death. Translocation of this gene with the MLL gene is associated with secondary acute leukemia. Alternatively spliced transcript variants encoding the same protein have been observed. [provided by RefSeq, Jul 2008]

Function:
Transcriptional activator which triggers apoptosis in the absence of survival factors, including neuronal cell death upon oxidative stress. Recognizes and binds to the DNA sequence 5'-[AG]TAAA[TC]A-3'. Participates in post-transcriptional regulation of MYC: following phosphorylation by MAPKAPK5, promotes induction of miR-34b and miR-34c expression, 2 post-transcriptional regulators of MYC that bind to the 3'UTR of MYC transcript and prevent its translation.

Subunit:
Interacts with YWHAB/14-3-3-beta and YWHAZ/14-3-3-zeta, which are required for cytosolic sequestration. Upon oxidative stress, interacts with STK4/MST1, which disrupts interaction with YWHAB/14-3-3-beta and leads to nuclear translocation. Interacts with PIM1.

Subcellular Location:
Cytoplasm, cytosol. Nucleus. Note=Translocates to the nucleus upon oxidative stress and in the absence of survival factors.

Tissue Specificity:
Ubiquitous.

Post-translational modifications:
In the presence of survival factors such as IGF-1, phosphorylated on Thr-32 and Ser-253 by AKT1/PKB. This phosphorylated form then interacts with 14-3-3 proteins and is retained in the cytoplasm. Survival factor withdrawal induces dephosphorylation and promotes translocation to the nucleus where the dephosphorylated protein induces transcription of target genes and triggers apoptosis. Although AKT1/PKB doesn't appear to phosphorylate Ser-315 directly, it may activate other kinases that trigger phosphorylation at this residue. Phosphorylated by STK4/MST1 on Ser-209 upon oxidative stress, which leads to dissociation from YWHAB/14-3-3-beta and nuclear translocation. Phosphorylated by PIM1. Phosphorylation by AMPK leads to the activation of transcriptional activity without affecting subcellular localization. Phosphorylation by MAPKAPK5 promotes nuclear localization and DNA-binding, leading to induction of miR-34b and miR-34c expression, 2 post-transcriptional regulators of MYC that bind to the 3'UTR of MYC transcript and prevent its translation.

DISEASE:
Note=A chromosomal aberration involving FOXO3 is found in secondary acute leukemias. Translocation t(6;11)(q21;q23) with MLL/HRX.

Similarity:
Contains 1 fork-head DNA-binding domain.

SWISS:
O43524

Gene ID:
2309

Database links:

Entrez Gene: 2309 Human

Entrez Gene: 56484 Mouse

Entrez Gene: 294515 Rat

Omim: 602681 Human

SwissProt: O43524 Human

SwissProt: Q9WVH4 Mouse

Unigene: 220950 Human

Unigene: 338613 Mouse

Unigene: 24593 Rat



产品图片
25 ug total protein per lane of various lysates (see on figure) probed with Phospho-FoxO3a (Ser253) monoclonal antibody, unconjugated (bsm-52156R) at 1:1000 dilution and 4°C overnight incubation. Followed by conjugated secondary antibody incubation at r.t. for 60 min.
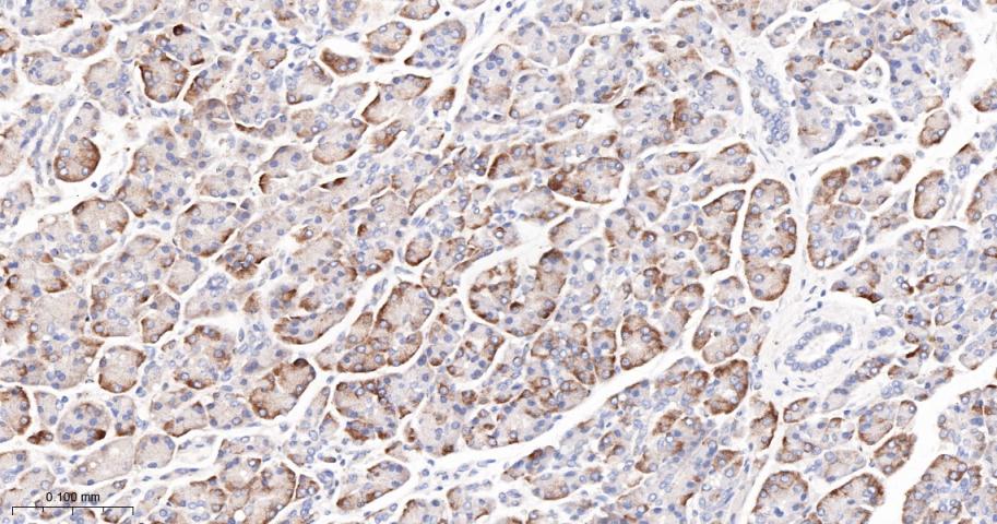
Paraformaldehyde-fixed, paraffin embedded Human Pancreas; Antigen retrieval by boiling in sodium citrate buffer (pH6.0) for 15 min; The section was incubated with Phospho-FoxO3a (Ser253) Monoclonal Antibody, Unconjugated (bsm-52156R) at 1:200 overnight at 4°C, followed by conjugation to the bs-0295G-HRP and DAB (C-0010) staining.
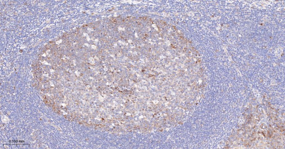
Paraformaldehyde-fixed, paraffin embedded Human Tonsil; Antigen retrieval by boiling in sodium citrate buffer (pH6.0) for 15 min; The section was incubated with Phospho-FoxO3a (Ser253) Monoclonal Antibody, Unconjugated (bsm-52156R) at 1:200 overnight at 4°C, followed by conjugation to the bs-0295G-HRP and DAB (C-0010) staining.
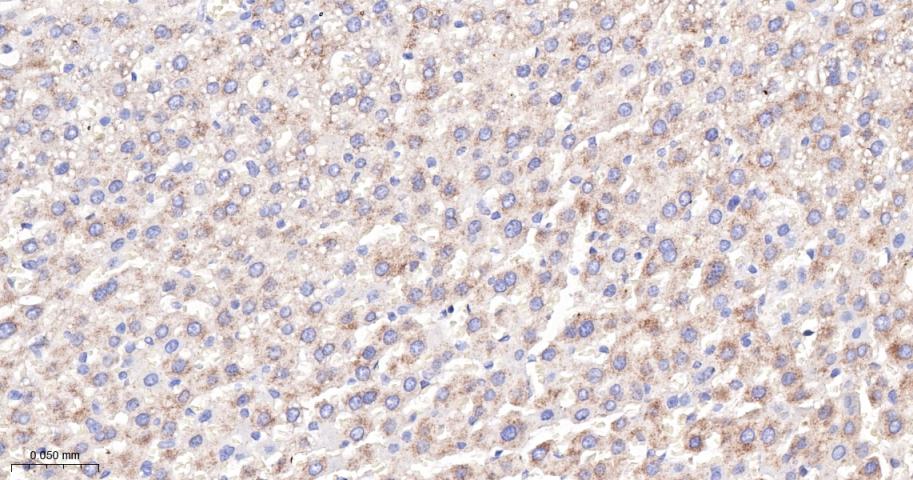
Paraformaldehyde-fixed, paraffin embedded Rat Liver; Antigen retrieval by boiling in sodium citrate buffer (pH6.0) for 15 min; The section was incubated with Phospho-FoxO3a (Ser253) Monoclonal Antibody, Unconjugated (bsm-52156R) at 1:200 overnight at 4°C, followed by conjugation to the bs-0295G-HRP and DAB (C-0010) staining.
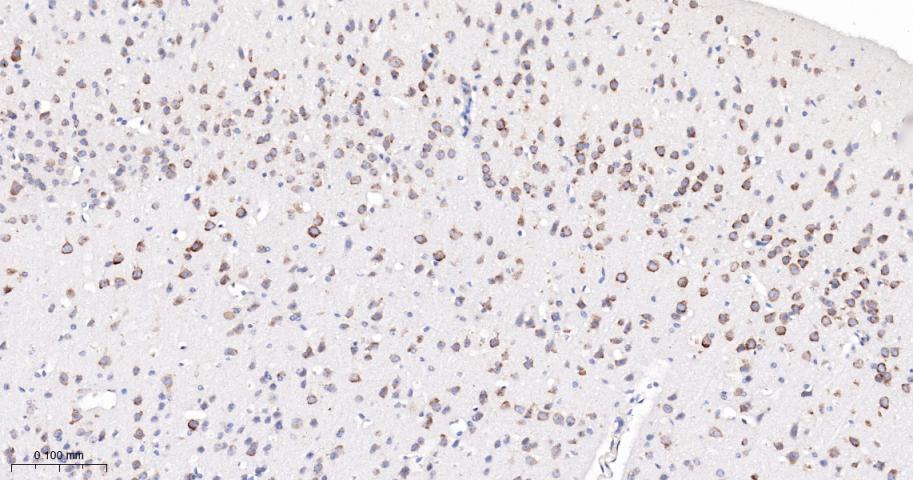
Paraformaldehyde-fixed, paraffin embedded Human Cerebrum; Antigen retrieval by boiling in sodium citrate buffer (pH6.0) for 15 min; The section was incubated with Phospho-FoxO3a (Ser253) Monoclonal Antibody, Unconjugated (bsm-52156R) at 1:200 overnight at 4°C, followed by conjugation to the bs-0295G-HRP and DAB (C-0010) staining.
Paraformaldehyde-fixed, paraffin embedded Rat Cerebrum; Antigen retrieval by boiling in sodium citrate buffer (pH6.0) for 15 min; The section was incubated with Phospho-FoxO3a (Ser253) Monoclonal Antibody, Unconjugated (bsm-52156R) at 1:200 overnight at 4°C, followed by conjugation to the bs-0295G-HRP and DAB (C-0010) staining.
Paraformaldehyde-fixed, paraffin embedded Mouse Cerebrum; Antigen retrieval by boiling in sodium citrate buffer (pH6.0) for 15 min; The section was incubated with Phospho-FoxO3a (Ser253) Monoclonal Antibody, Unconjugated (bsm-52156R) at 1:200 overnight at 4°C, followed by conjugation to the bs-0295G-HRP and DAB (C-0010) staining.
版权所有 2004-2026 www.bioss.com.cn 北京博奥森生物技术有限公司
通过国际质量管理体系ISO 9001:2015 GB/T 19001-2016    证书编号: 00124Q34771R2M/1100
通过国际医疗器械-质量管理体系ISO 13485:2016 GB/T 42061-2022     证书编号: CQC24QY20047R0M/1100
京ICP备05066980号-1         京公网安备110107000727号