扫码关注公众号           扫码咨询技术支持           扫码咨询技术服务
  
客服热线:400-901-9800  客服QQ:4009019800  技术答疑  技术支持  质量反馈  关于我们  联系我们
产品中心-北京博奥森生物技术有限公司
首页 > 产品中心 > 一抗 > 产品信息
phospho-GATA3 (Ser308) Recombinant Rabbit mAb (bsm-52157R)  
订购热线:400-901-9800
订购邮箱:sales@bioss.com.cn
订购QQ:  400-901-9800
技术支持:techsupport@bioss.com.cn
50ul/1400.00元
100ul/2500.00元
大包装/询价

产品编号 bsm-52157R
英文名称 phospho-GATA3 (Ser308) Recombinant Rabbit mAb
中文名称 磷酸化GATA结合蛋白3重组兔单抗
别    名 GATA3(phospho S308); p-GATA3(phospho S308); GATA3(phospho Ser308); p-GATA3(Ser308); GATA 3; GATA3; GATA-3; GATA binding factor 3; GATA binding protein 3; HDR; MGC2346; MGC5199; MGC5445; Trans acting T cell specific transcription factor GATA 3; GATA3_HUMAN; Trans-acting T-cell-specific transcription factor GATA-3; GATA-binding factor 3.  
产品类型 磷酸化抗体 重组兔单抗 
研究领域 肿瘤  细胞生物  发育生物学  神经生物学  信号转导  转录调节因子  t-淋巴细胞  
抗体来源 Rabbit
克隆类型 Recombinant
克 隆 号 3A1
交叉反应 Human
产品应用 WB=1:500-2000,IHC-P=1:50-200,IHC-F=1:50-200,IF=1:50-200,Flow-Cyt=2ug/Test,ICC/IF=1:50-200
not yet tested in other applications.
optimal dilutions/concentrations should be determined by the end user.
理论分子量 49 kDa
检测分子量
细胞定位 细胞核 
性    状 Liquid
浓    度 1mg/ml
免 疫 原 KLH conjugated synthesised phosphopeptide derived from human GATA3 around the phosphorylation site of Ser308: RL(pS)AA  
亚    型 IgG
纯化方法 affinity purified by Protein A
缓 冲 液 0.01M TBS (pH7.4) with 1% BSA, 0.02% Proclin300 and 50% Glycerol.
保存条件 Shipped at 4℃. Store at -20℃ for one year. Avoid repeated freeze/thaw cycles.
注意事项 This product as supplied is intended for research use only, not for use in human, therapeutic or diagnostic applications.
PubMed PubMed
产品介绍 Members of the GATA family share a conserved zinc finger DNA-binding domain and are capable of binding the WGATAR consensus sequence. GATA-1 is erythroid-specific and is responsible for the regulated transcription of erythroid genes. It is an essential component in the generation of the erythroid lineage. GATA-2 is expressed in embryonic brain and liver, HeLa and endothelial cells, as well as in erythroid cells. Studies with a modified GATA consensus sequence, AGATCTTA, have shown that GATA-2 and GATA-3 recognize this mutated consensus while GATA-1 has poor recognition of this sequence. This indicates broader regulatory capabilities of GATA-2 and GATA-3 than GATA-1. GATA-3 is highly expressed in T lymphocytes. GATA-4, GATA-5 and GATA-6 comprise a subfamily of transcription factors. Both GATA-4 and GATA-6 are found in heart, pancreas and ovary; lung and liver tissues exhibit GATA-6, but not GATA-4 expression. GATA-5 expression has been observed in differentiated heart and gut tissues and is present throughout the course of development in the heart. Although expression patterns of the various GATA transcription factors may overlap, it is not yet apparent how the GATA factors are able to discriminate in binding their appropriate target sites.

Function:
Transcriptional activator which binds to the enhancer of the T-cell receptor alpha and delta genes. Binds to the consensus sequence 5'-AGATAG-3'.

Subcellular Location:
Nucleus.

Tissue Specificity:
T-cells and endothelial cells.

DISEASE:
Defects in GATA3 are the cause of hypoparathyroidism with sensorineural deafness and renal dysplasia (HDR) [MIM:146255]; also known as Barakat syndrome.

Similarity:
Contains 2 GATA-type zinc fingers.

SWISS:
P23771

Gene ID:
2625

Database links:

Entrez Gene: 2625 Human

Entrez Gene: 14462 Mouse

Entrez Gene: 85471 Rat

Omim: 131320 Human

SwissProt: P23771 Human

SwissProt: P23772 Mouse

Unigene: 524134 Human

Unigene: 313866 Mouse



产品图片
Sample: Lane 1: human skin tissue lysates Lane 2: Jurkat cell lysates Primary: Anti-phospho-GATA3 (Ser308) (bsm-52157R) at 1/500 dilution Secondary: Goat Anti-Rabbit IgG - HRP at 1:5000 dilution Predicted band size: 49 kD Observed band size: 50 kD
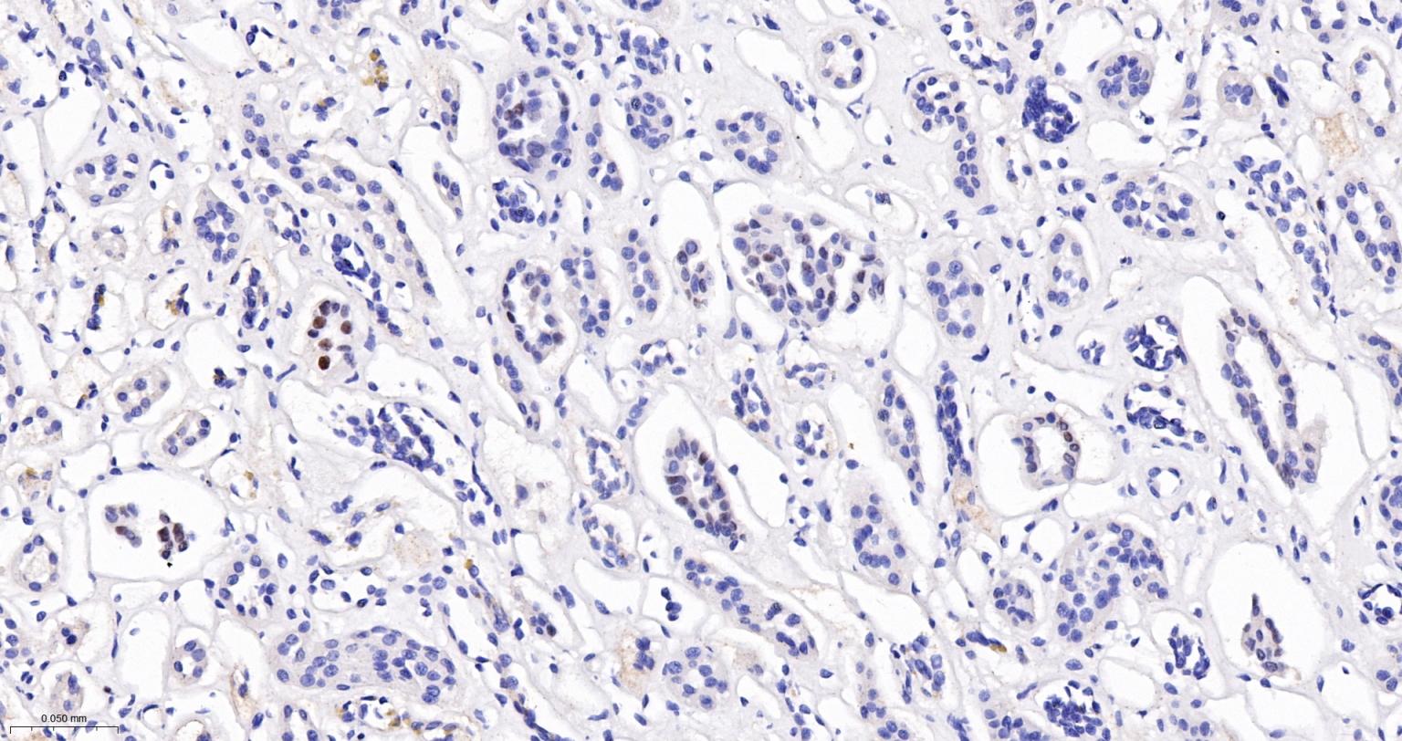
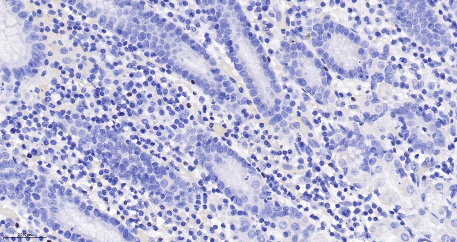
Paraformaldehyde-fixed, paraffin embedded (human breast carcinoma); Antigen retrieval by boiling in sodium citrate buffer (pH6.0) for 15min; Block endogenous peroxidase by 3% hydrogen peroxide for 20 minutes; Blocking buffer (normal goat serum) at 37°C for 30min; Antibody incubation with (phospho-GATA3 (Ser308)) Monoclonal Antibody, Unconjugated (bsm-52157R) at 1:50 overnight at 4°C, followed by operating according to SP Kit(Rabbit) (sp-0023) instructionsand DAB staining.
Blank control: A431. Primary Antibody (green line): Rabbit Anti-phospho-GATA3 (Ser308) antibody (bsm-52157R) Dilution: 1μg /10^6 cells; Isotype Control Antibody (orange line): Rabbit IgG . Secondary Antibody : Goat anti-rabbit IgG-AF488 Dilution: 1μg /test. Protocol The cells were fixed with 4% PFA (10min at room temperature)and then permeabilized with 90% ice-cold methanol for 20 min at-20℃. The cells were then incubated in 5%BSA to block non-specific protein-protein interactions for 30 min at at room temperature .Cells stained with Primary Antibody for 30 min at room temperature. The secondary antibody used for 40 min at room temperature. Acquisition of 20,000 events was performed.
Blank control:MCF7. Primary Antibody (green line): Rabbit Anti-phospho-GATA3 (Ser308) antibody (bsm-52157R) Dilution: 2μg /10^6 cells; Isotype Control Antibody (orange line): Rabbit IgG . Secondary Antibody : Goat anti-rabbit IgG-AF488 Dilution: 1μg /test. Protocol The cells were fixed with 4% PFA (10min at room temperature)and then permeabilized with 90% ice-cold methanol for 20 min at-20℃. The cells were then incubated in 5%BSA to block non-specific protein-protein interactions for 30 min at room temperature .Cells stained with Primary Antibody for 30 min at room temperature. The secondary antibody used for 40 min at room temperature. Acquisition of 20,000 events was performed.
版权所有 2004-2026 www.bioss.com.cn 北京博奥森生物技术有限公司
通过国际质量管理体系ISO 9001:2015 GB/T 19001-2016    证书编号: 00124Q34771R2M/1100
通过国际医疗器械-质量管理体系ISO 13485:2016 GB/T 42061-2022    证书编号: CQC24QY10047R0M/1100
京ICP备05066980号-1         京公网安备110107000727号