扫码关注公众号           扫码咨询技术支持           扫码咨询技术服务
  
客服热线:400-901-9800  客服QQ:4009019800  技术答疑  技术支持  质量反馈  关于我们  联系我们
产品中心-北京博奥森生物技术有限公司
首页 > 产品中心 > 一抗 > 产品信息
Glypican 1 Rabbit pAb (bs-21788R)  
订购热线:400-901-9800
订购邮箱:sales@bioss.com.cn
订购QQ:  400-901-9800
技术支持:techsupport@bioss.com.cn
50ul/1180.00元
100ul/1980.00元
200ul/2800.00元
大包装/询价

产品编号 bs-21788R
英文名称 Glypican 1 Rabbit pAb
中文名称 磷脂酰基醇蛋白聚糖1抗体
别    名 glypican; HSPG M12; HSPGM12; GPC1_BOVIN; GPC1; GPC1_HUMAN; GPC1_MOUSE;   
研究领域 细胞生物  免疫学  
抗体来源 Rabbit
克隆类型 Polyclonal
克 隆 号
交叉反应 Human,Rat (predicted: Mouse,Sheep,Cow,Dog,Horse)
产品应用 IHC-P=1:100-500,IHC-F=1:100-500,IF=1:100-500,Flow-Cyt=2ug/Test
not yet tested in other applications.
optimal dilutions/concentrations should be determined by the end user.
理论分子量 62 kDa
细胞定位 细胞浆 细胞膜 细胞外基质 分泌型蛋白 
性    状 Liquid
浓    度 1mg/ml
免 疫 原 KLH conjugated synthetic peptide derived from mouse Glypican 1 : 251-350/557 
亚    型 IgG
纯化方法 affinity purified by Protein A
缓 冲 液 0.01M TBS (pH7.4) with 1% BSA, 0.02% Proclin300 and 50% Glycerol.
保存条件 Shipped at 4℃. Store at -20℃ for one year. Avoid repeated freeze/thaw cycles.
注意事项 This product as supplied is intended for research use only, not for use in human, therapeutic or diagnostic applications.
PubMed PubMed
产品介绍 Cell surface heparan sulfate proteoglycans are composed of a membrane-associated protein core substituted with a variable number of heparan sulfate chains. Members of the glypican-related integral membrane proteoglycan family (GRIPS) contain a core protein anchored to the cytoplasmic membrane via a glycosyl phosphatidylinositol linkage. These proteins may play a role in the control of cell division and growth regulation. [provided by RefSeq, Jul 2008]

Function:
Cell surface proteoglycan that bears heparan sulfate. Binds, via the heparan sulfate side chains, alpha-4 (V) collagen and participates in Schwann cell myelination (By similarity). May act as a catalyst in increasing the rate of conversion of prion protein PRPN(C) to PRNP(Sc) via associating (via the heparin sulfate side chains) with both forms of PRPN, targeting them to lipid rafts and facilitating their interaction. Required for proper skeletal muscle differentiation by sequestering FGF2 in lipid rafts preventing its binding to receptors (FGFRs) and inhibiting the FGF-mediated signaling.

Subcellular Location:
Cell membrane; Lipid-anchor, GPI-anchor; Extracellular side. Endosome. Note=S-nitrosylated form recycled in endosomes. Localizes to CAV1-containing vesicles close to the cell surface. Cleavage of heparan sulfate side chains takes place mainly in late endosomes. Associates with both forms of PRNP in lipid rafts. Colocalizes with APP in perinuclear compartments and with CP in intracellular compartments. Associates with fibrillar APP Abeta peptides in lipid rafts in Alzheimer disease brains.
Secreted glypican-1: Secreted, extracellular space.

Post-translational modifications:
S-nitrosylated in a Cu(2+)-dependent manner. Nitric acid (NO) is released from the nitrosylated cysteines by ascorbate or by some other reducing agent, in a Cu(2+) or Zn(2+) dependent manner. This free nitric oxide is then capable of cleaving the heparan sulfate side chains.
N- and O-glycosylated. N-glycosylation is mainly of the complex type containing sialic acid. O-glycosylated with heparin sulfate. The heparan sulfate chains can be cleaved either by the action of heparanase or, degraded by a daaminative process that uses nitric oxide (NO) released from the S-nitrosylated cysteines. This process is triggered by ascorbate, or by some other reducing agent, in a Cu(2+)- or Zn(2+) dependent manner. Cu(2+) ions are provided by ceruloproteins such as APP, PRNP or CP which associate with GCP1 in intracellular compartments or lipid rafts.
This cell-associated glypican is further processed to give rise to a medium-released species.

DISEASE:
Note=Associates (via the heparan sulfate side chains) with fibrillar APP-beta amyloid peptides in primitive and classic amyloid plaques and may be involved in the deposition of these senile plaques in the Alzheimer disease (AD) brain.
Note=Misprocessing of GPC1 is found in fibroblasts of patients with Niemann-Pick Type C1 disease. This is due to the defective deaminative degradation of heparan sulfate chains.

Similarity:
Belongs to the glypican family.

SWISS:
Q9QZF2

Gene ID:
14733

Database links:

Entrez Gene: 2817 Human

Entrez Gene: 518114 Cow

Entrez Gene: 14733 Mouse

Entrez Gene: 58920 Rat

Omim: 600395 Human

SwissProt: G3X745 Cow

SwissProt: P35052 Human

SwissProt: Q9QZF2 Mouse



产品图片
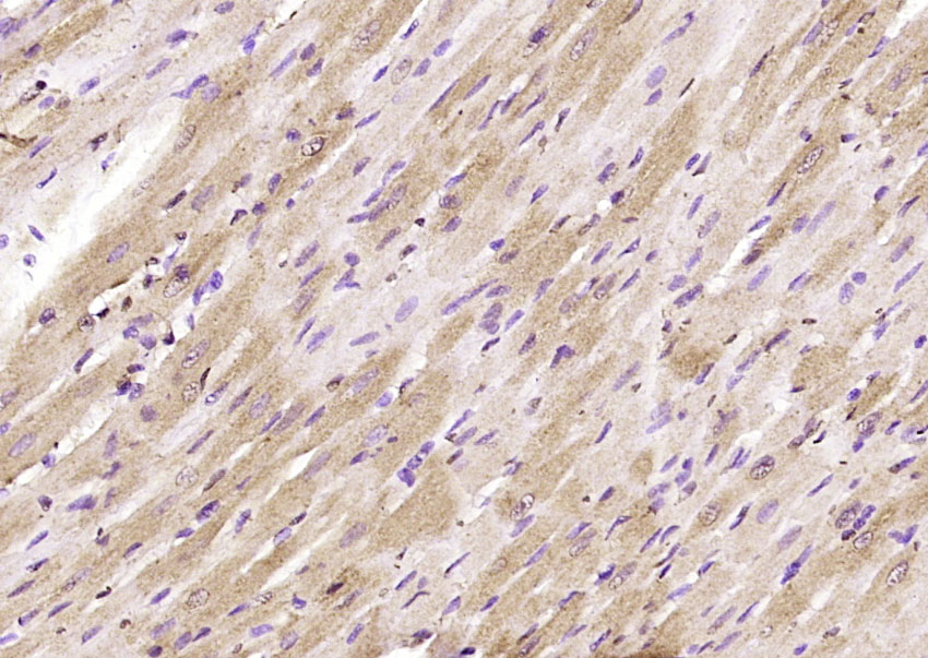
Paraformaldehyde-fixed, paraffin embedded (rat heart); Antigen retrieval by boiling in sodium citrate buffer (pH6.0) for 15min; Block endogenous peroxidase by 3% hydrogen peroxide for 20 minutes; Blocking buffer (normal goat serum) at 37°C for 30min; Antibody incubation with (Glypican 1) Polyclonal Antibody, Unconjugated (bs-21788R) at 1:200 overnight at 4°C, followed by operating according to SP Kit(Rabbit) (sp-0023) instructionsand DAB staining.
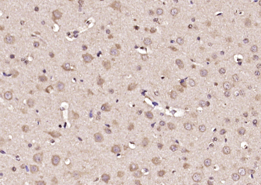
Paraformaldehyde-fixed, paraffin embedded (rat brain); Antigen retrieval by boiling in sodium citrate buffer (pH6.0) for 15min; Block endogenous peroxidase by 3% hydrogen peroxide for 20 minutes; Blocking buffer (normal goat serum) at 37°C for 30min; Antibody incubation with (Glypican 1) Polyclonal Antibody, Unconjugated (bs-21788R) at 1:200 overnight at 4°C, followed by operating according to SP Kit(Rabbit) (sp-0023) instructionsand DAB staining.
Blank control(black line):Hela. Primary Antibody (green line): Rabbit Anti-GPC1 antibody (bs-21788R) Dilution:2ug/Test; Secondary Antibody(white blue line): Goat anti-rabbit IgG-AF488 Dilution: 0.5ug/Test. Isotype control(orange line): Normal Rabbit IgG Protocol The cells were fixed with 4% PFA (10min at room temperature)and then permeabilized with 90% ice-cold methanol for 20 min at -20℃, The cells were then incubated in 5%BSA to block non-specific protein-protein interactions for 30 min at room temperature .Cells stained with Primary Antibody for 30 min at room temperature. The secondary antibody used for 40 min at room temperature. Acquisition of 20,000 events was performed.
版权所有 2004-2026 www.bioss.com.cn 北京博奥森生物技术有限公司
通过国际质量管理体系ISO 9001:2015 GB/T 19001-2016    证书编号: 00124Q34771R2M/1100
通过国际医疗器械-质量管理体系ISO 13485:2016 GB/T 42061-2022     证书编号: CQC24QY20047R0M/1100
京ICP备05066980号-1         京公网安备110107000727号