扫码关注公众号           扫码咨询技术支持           扫码咨询技术服务
  
客服热线:400-901-9800  客服QQ:4009019800  技术答疑  技术支持  质量反馈  关于我们  联系我们
产品中心-北京博奥森生物技术有限公司
首页 > 产品中心 > 一抗 > 产品信息
SFTPD Rabbit pAb (bs-21617R)  
订购热线:400-901-9800
订购邮箱:sales@bioss.com.cn
订购QQ:  400-901-9800
技术支持:techsupport@bioss.com.cn
50ul/1180.00元
100ul/1980.00元
200ul/2800.00元
大包装/询价

产品编号 bs-21617R
英文名称 SFTPD Rabbit pAb
中文名称 肺表面活性蛋白D抗体
别    名 COLEC7; PSP-D; SFTP4; SP-D; Sfpd; SPD; SFTPD_HUMAN; SFTPD; Collectin-7; Lung surfactant protein D; PSPD; SFTPD_MOUSE; SFTPD_RAT; CP4;   
Specific References  (1)     |     bs-21617R has been referenced in 1 publications.
[IF=2.741] Tara Bocking. et al. Research article expression of surfactant protein-A and D, and CD9 in lungs of 1 and 30 day old foals. Bmc Vet Res. 2021 Dec;17(1):1-9  WB,IHC ;  Foal.  
研究领域 肿瘤  免疫学  
抗体来源 Rabbit
克隆类型 Polyclonal
克 隆 号
交叉反应 Human (predicted: Mouse,Rat)
产品应用 WB=1:500-2000,IHC-P=1:100-500,IHC-F=1:100-500,IF=1:100-500,Flow-Cyt=2ug/Test
not yet tested in other applications.
optimal dilutions/concentrations should be determined by the end user.
理论分子量 41 kDa
细胞定位 分泌型蛋白 
性    状 Liquid
浓    度 1mg/ml
免 疫 原 KLH conjugated synthetic peptide derived from mouse SFTPD: 301-400/374 
亚    型 IgG
纯化方法 affinity purified by Protein A
缓 冲 液 0.01M TBS (pH7.4) with 1% BSA, 0.02% Proclin300 and 50% Glycerol.
保存条件 Shipped at 4℃. Store at -20℃ for one year. Avoid repeated freeze/thaw cycles.
注意事项 This product as supplied is intended for research use only, not for use in human, therapeutic or diagnostic applications.
PubMed PubMed
产品介绍 Surfactant protein D contributes to the lung's defense against inhaled microorganisms. It's a calcium ion dependent carbohydrate binding protein and is structurally similar to other C type mammalian lectins, such as conglutinin and SPA. It has a molecular size of approximately 37-43kDa in its reduced state, 620kDa in non dissociating conditions. Surfactant protein D enhances the production of oxygen radicals by rat alveolar macrophages and regulates some actions of SPA, which is the most abundant surfactant protein. Surfactant protein D is synthesized and secreted by alveolar epithelial type II cells.

Function:
Contributes to the lung's defense against inhaled microorganisms. May participate in the extracellular reorganization or turnover of pulmonary surfactant. Binds strongly maltose residues and to a lesser extent other alpha-glucosyl moieties.

Subunit:
Oligomeric complex of 4 set of homotrimers.

Subcellular Location:
Secreted, extracellular space, extracellular matrix. Secreted, extracellular space, surface film.

Post-translational modifications:
The N-terminus is blocked.
Hydroxylation on proline residues within the sequence motif, GXPG, is most likely to be 4-hydroxy as this fits the requirement for 4-hydroxylation in vertebrates.

Similarity:
Belongs to the SFTPD family.
Contains 1 C-type lectin domain.
Contains 1 collagen-like domain.

SWISS:
P50404

Gene ID:
20390

Database links:

Entrez Gene: 6441 Human

Entrez Gene: 20390 Mouse

Entrez Gene: 25350 Rat

Omim: 178635 Human

SwissProt: P35247 Human

SwissProt: P50404 Mouse

SwissProt: P35248 Rat

Unigene: 253495 Human

Unigene: 1321 Mouse

Unigene: 11348 Rat



产品图片
Sample: Lane 1: MCF-7 (Human) Cell Lysate at 30 ug Lane 2: SH-SY5Y (Human) Cell Lysate at 30 ug Lane 3: 293T (Human) Cell Lysate at 30 ug Lane 4: A549 (Human) Cell Lysate at 30 ug Primary: Anti-SFTPD (bs-21617R) at 1/1000 dilution Secondary: IRDye800CW Goat Anti-Rabbit IgG at 1/20000 dilution Predicted band size: 43/50 kD Observed band size: 50 kD
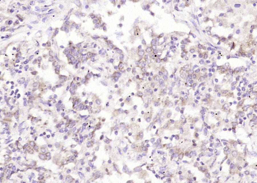
Paraformaldehyde-fixed, paraffin embedded (human lung carcinoma); Antigen retrieval by boiling in sodium citrate buffer (pH6.0) for 15min; Block endogenous peroxidase by 3% hydrogen peroxide for 20 minutes; Blocking buffer (normal goat serum) at 37°C for 30min; Antibody incubation with (SFTPD) Polyclonal Antibody, Unconjugated (bs-21617R) at 1:400 overnight at 4°C, followed by operating according to SP Kit(Rabbit) (sp-0023) instructionsand DAB staining.
Blank control:THP-1. Primary Antibody (green line): Rabbit Anti-SFTPD antibody (bs-21617R) Dilution: 2μg /10^6 cells; Isotype Control Antibody (orange line): Rabbit IgG . Secondary Antibody : Goat anti-rabbit IgG-FITC Dilution: 1μg /test. Protocol The cells were fixed with 4% PFA (10min at room temperature)and then permeabilized with 0.1% PBST for 20 min at room temperature. The cells were then incubated in 5%BSA to block non-specific protein-protein interactions for 30 min at room temperature .Cells stained with Primary Antibody for 30 min at room temperature. The secondary antibody used for 40 min at room temperature. Acquisition of 20,000 events was performed.
版权所有 2004-2026 www.bioss.com.cn 北京博奥森生物技术有限公司
通过国际质量管理体系ISO 9001:2015 GB/T 19001-2016    证书编号: 00124Q34771R2M/1100
通过国际医疗器械-质量管理体系ISO 13485:2016 GB/T 42061-2022     证书编号: CQC24QY20047R0M/1100
京ICP备05066980号-1         京公网安备110107000727号