扫码关注公众号           扫码咨询技术支持           扫码咨询技术服务
  
客服热线:400-901-9800  客服QQ:4009019800  技术答疑  技术支持  质量反馈  人才招聘  关于我们  联系我们
产品中心-北京博奥森生物技术有限公司
首页 > 产品中心 > 一抗 > 产品信息
SOX6 Rabbit pAb (bs-21579R)  
订购热线:400-901-9800
订购邮箱:sales@bioss.com.cn
订购QQ:  400-901-9800
技术支持:techsupport@bioss.com.cn
50ul/1180.00元
100ul/1980.00元
200ul/2800.00元
大包装/询价

产品编号 bs-21579R
英文名称 SOX6 Rabbit pAb
中文名称 核转录因子SOX6抗体
别    名 HSSOX6; SOXD; TOLCAS;   
Specific References  (1)     |     bs-21579R has been referenced in 1 publications.
[IF=10.19] Xingliang Dai. et al. Crosstalk between microglia and neural stem cells influences the relapse of glioblastoma in GBM immunological microenvironment. CLIN IMMUNOL. 2023 Jun;251:109333  IHC ;  Human.  
研究领域 神经生物学  信号转导  转录调节因子  
抗体来源 Rabbit
克隆类型 Polyclonal
克 隆 号
交叉反应 Human,Mouse (predicted: Rat,Rabbit,Pig,Sheep,Cow,Dog,Horse)
产品应用 WB=1:500-2000,IHC-P=1:100-500,IHC-F=1:100-500,IF=1:100-500
not yet tested in other applications.
optimal dilutions/concentrations should be determined by the end user.
理论分子量 92 kDa
检测分子量 100
细胞定位 细胞核 
性    状 Liquid
浓    度 1mg/ml
免 疫 原 KLH conjugated synthetic peptide derived from human SOX6: 351-450/828 
亚    型 IgG
纯化方法 affinity purified by Protein A
缓 冲 液 0.01M TBS (pH7.4) with 1% BSA, 0.02% Proclin300 and 50% Glycerol.
保存条件 Shipped at 4℃. Store at -20℃ for one year. Avoid repeated freeze/thaw cycles.
注意事项 This product as supplied is intended for research use only, not for use in human, therapeutic or diagnostic applications.
PubMed PubMed
产品介绍 Sox genes comprise a family of genes that are related to the mammalian sex determining gene SRY. These genes similarly contain sequences that encode for the HMG-box domain, which is responsible for the sequence-specific DNA-binding activity. Sox genes encode putative transcriptional regulators implicated in the decision of cell fates during development and the control of diverse developmental processes. The highly complex group of Sox genes cluster at least 40 different loci that rapidly diverged in various animal lineages. At present, 30 Sox genes have been identified. Members of this family have been shown to be conserved during evolution and to play key roles during animal development. Some are involved in human diseases, including sex reversal.

Function:
Transcriptional activator. Binds specifically to the DNA sequence 5'-AACAAT-3'. Plays a key role in several developmental processes, including neurogenesis and skeleton formation.

Subunit:
Interacts with DAZAP2

Subcellular Location:
Nucleus.

Tissue Specificity:
Expressed in a wide variety of tissues, most abundantly in skeletal muscle.

Post-translational modifications:
Sumoylation inhibits the transcriptional activity.

Similarity:
Contains 1 HMG box DNA-binding domain.

Gene ID:
55553

Database links:
Entrez Gene: 55553 Human


Entrez Gene: 20679 Mouse

Entrez Gene: 293165 Rat

Omim: 607257 Human

SwissProt: P35712 Human

SwissProt: P40645 Mouse

SwissProt: Q8BSS6 Mouse

SwissProt: Q4V8G3 Rat

Unigene: 368226 Human

Unigene: 323365 Mouse




产品图片
Sample: Lane 1: Human U87MG cell lysates Lane 2: Human U251 cell lysates Lane 3: Human HeLa cell lysates Primary: Anti-SOX6 (bs-21579R) at 1/1000 dilution Secondary: IRDye800CW Goat Anti-Rabbit IgG at 1/20000 dilution Predicted band size: 92 kDa Observed band size: 100 kDa
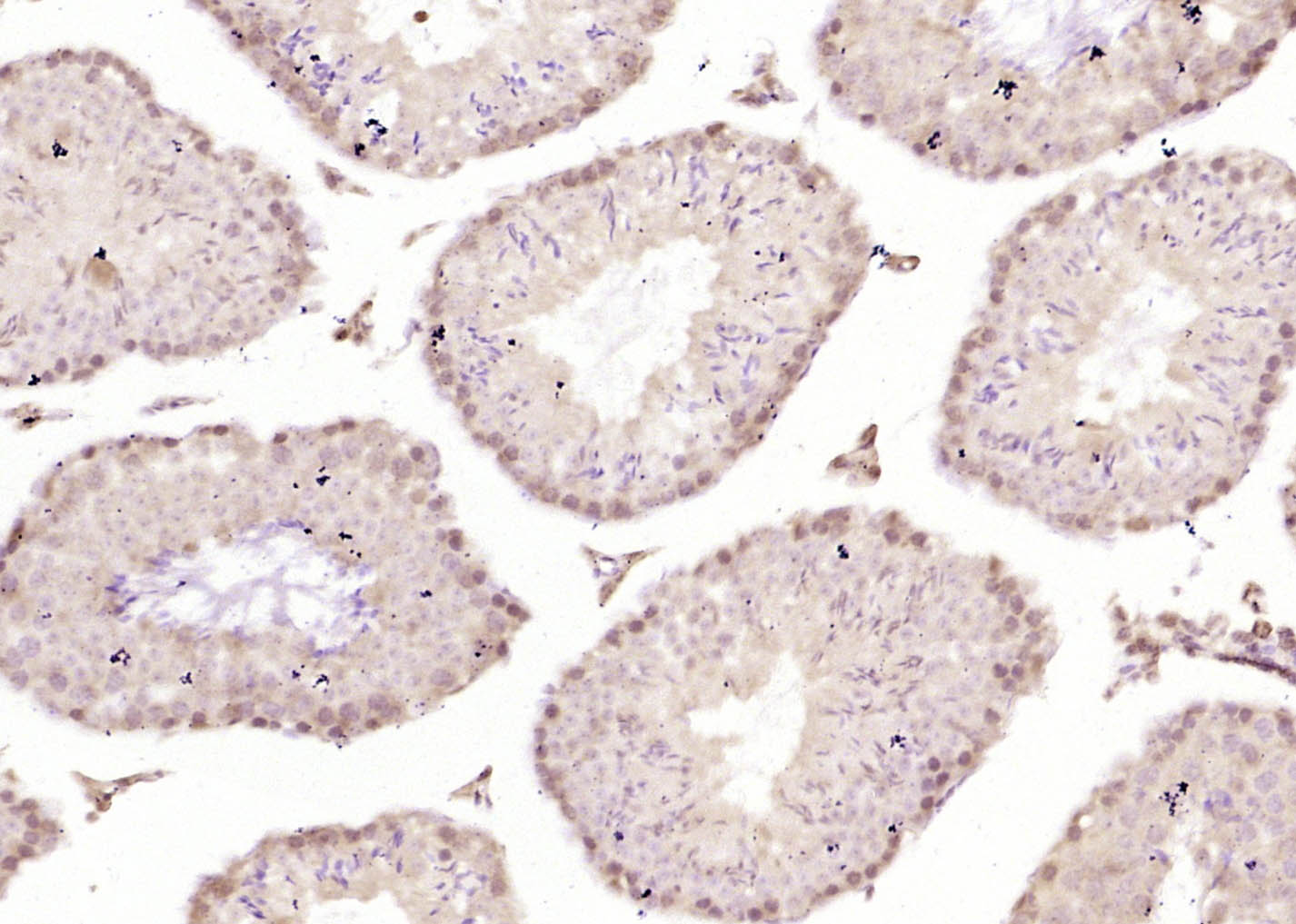
Paraformaldehyde-fixed, paraffin embedded (mouse testis); Antigen retrieval by boiling in sodium citrate buffer (pH6.0) for 15min; Block endogenous peroxidase by 3% hydrogen peroxide for 20 minutes; Blocking buffer (normal goat serum) at 37°C for 30min; Antibody incubation with (SOX6) Polyclonal Antibody, Unconjugated (bs-21579R) at 1:400 overnight at 4°C, followed by operating according to SP Kit(Rabbit) (sp-0023) instructionsand DAB staining.
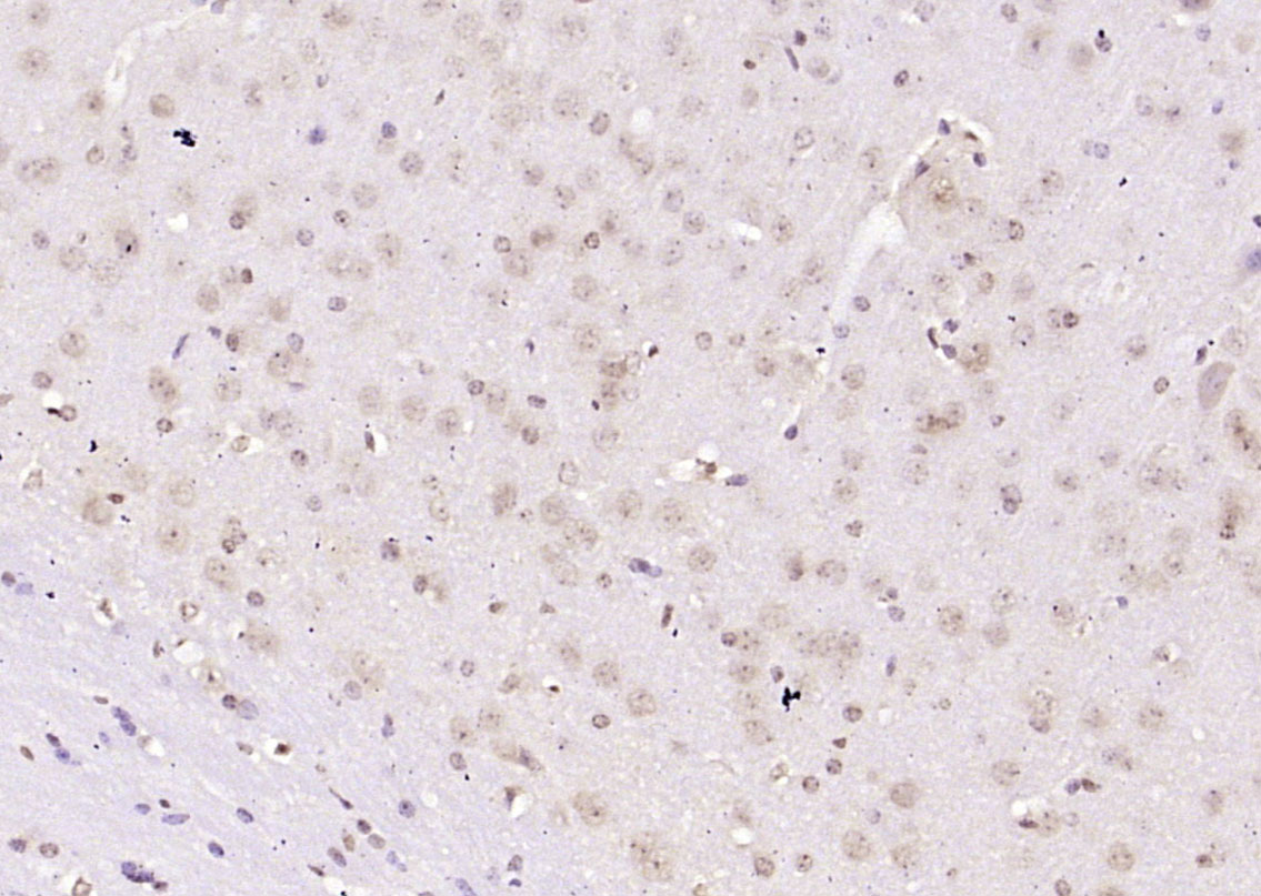
Paraformaldehyde-fixed, paraffin embedded (mouse brain tissue); Antigen retrieval by boiling in sodium citrate buffer (pH6.0) for 15min; Block endogenous peroxidase by 3% hydrogen peroxide for 20 minutes; Blocking buffer (normal goat serum) at 37°C for 30min; Antibody incubation with (SOX6 ) Polyclonal Antibody, Unconjugated (bs-21579R) at 1:400 overnight at 4°C, followed by operating according to SP Kit(Rabbit) (sp-0023) instructionsand DAB staining.
版权所有 2004-2026 www.bioss.com.cn 北京博奥森生物技术有限公司
通过国际质量管理体系ISO 9001:2015 GB/T 19001-2016    证书编号: 00124Q34771R2M/1100
通过国际医疗器械-质量管理体系ISO 13485:2016 GB/T 42061-2022     证书编号: CQC24QY20047R0M/1100
京ICP备05066980号-1         京公网安备110107000727号