扫码关注公众号           扫码咨询技术支持           扫码咨询技术服务
  
客服热线:400-901-9800  客服QQ:4009019800  技术答疑  技术支持  质量反馈  关于我们  联系我们
产品中心-北京博奥森生物技术有限公司
首页 > 产品中心 > 一抗 > 产品信息
PD-1 Mouse mAb (bsm-41117M)  
订购热线:400-901-9800
订购邮箱:sales@bioss.com.cn
订购QQ:  400-901-9800
技术支持:techsupport@bioss.com.cn
50ul/1180.00元
100ul/1980.00元
200ul/2800.00元
大包装/询价

产品编号 bsm-41117M
英文名称 PD-1 Mouse mAb
中文名称 程序性死亡1(CD279)单克隆抗体
别    名 Programmed cell death protein 1; CD279; CD279 antigen; hPD 1; hPD-1; hSLE1; PD 1; PD1; PDCD 1; PDCD1; PDCD1_HUMAN; Programmed cell death 1; Protein PD 1; Protein PD-1; SLEB2; Systemic lupus erythematosus susceptibility 2.  
研究领域 肿瘤  细胞生物  免疫学  
抗体来源 Mouse
克隆类型 Monoclonal
克 隆 号 1C4
交叉反应 Human
产品应用 IHC-P=1:50-200,IHC-F=1:50-200,IF=1:50-200
not yet tested in other applications.
optimal dilutions/concentrations should be determined by the end user.
理论分子量 32 kDa
检测分子量
细胞定位 细胞膜 
性    状 Liquid
浓    度 1mg/1ml
免 疫 原 Recombinant human PD1 <Extracellular>
亚    型 IgG1
纯化方法 affinity purified by Protein G
缓 冲 液 0.01M TBS (pH7.4) with 1% BSA, 0.02% Proclin300 and 50% Glycerol.
保存条件 Shipped at 4℃. Store at -20℃ for one year. Avoid repeated freeze/thaw cycles.
注意事项 This product as supplied is intended for research use only, not for use in human, therapeutic or diagnostic applications.
PubMed PubMed
产品介绍 This gene encodes a cell surface membrane protein of the immunoglobulin superfamily. This protein is expressed in pro-B-cells and is thought to play a role in their differentiation. In mice, expression of this gene is induced in the thymus when anti-CD3 antibodies are injected and large numbers of thymocytes undergo apoptosis. Mice deficient for this gene bred on a BALB/c background developed dilated cardiomyopathy and died from congestive heart failure. These studies suggest that this gene product may also be important in T cell function and contribute to the prevention of autoimmune diseases.
CD279 is an immunoglobulin superfamily member, also known as Programmed Cell Death 1. Programmed Cell Death 1 is expressed on a subset of CD4-CD8 thymocytes, and on activated T and B cells. Programmed Cell Death 1 is thought to be involved in lymphocyte clonal selection and peripheral tolerance. The Programmed Cell Death 1 ligands, PDL1 (also known as B7H1) and PDL2 (B7DC), are members of the B7 immunoglobulin superfamily.

Function:
Inhibitory cell surface receptor involved in the regulation of T-cell function during immunity and tolerance. Upon ligand binding, inhibits T-cell effector functions in an antigen-specific manner. Possible cell death inducer, in association with other factors.

Subunit:
Monomer.

Subcellular Location:
Membrane; Single-pass type I membrane protein.

Tissue Specificity:
Ta,Ba,Ma,Thy

DISEASE:
Systemic lupus erythematosus 2 (SLEB2) [MIM:605218]: A chronic, relapsing, inflammatory, and often febrile multisystemic disorder of connective tissue, characterized principally by involvement of the skin, joints, kidneys and serosal membranes. It is of unknown etiology, but is thought to represent a failure of the regulatory mechanisms of the autoimmune system. The disease is marked by a wide range of system dysfunctions, an elevated erythrocyte sedimentation rate, and the formation of LE cells in the blood or bone marrow. {ECO:0000269|PubMed:12402038}. Note=Disease susceptibility is associated with variations affecting the gene represented in this entry.

Similarity:
Contains 1 Ig-like V-type (immunoglobulin-like) domain.

SWISS:
Q15116

Gene ID:
5133

Database links:

Entrez Gene: 5133 Human

Entrez Gene: 18566 Mouse

Entrez Gene: 301626 Rat

Omim: 600244 Human

SwissProt: Q15116 Human

SwissProt: Q02242 Mouse

Unigene: 158297 Human

Unigene: 5024 Mouse

Unigene: 105023 Rat



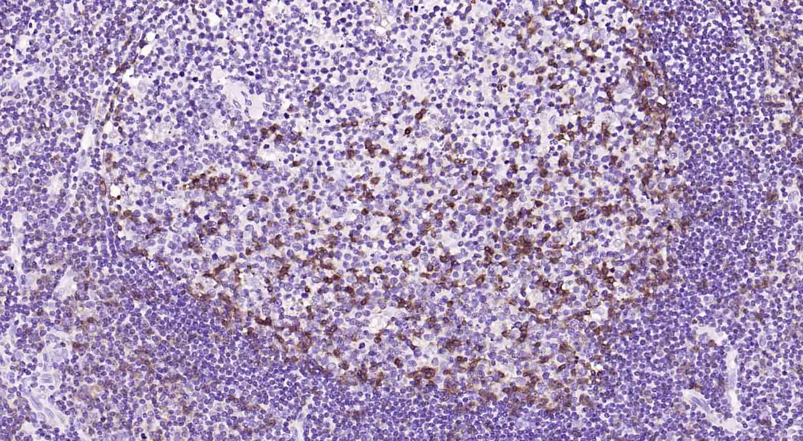
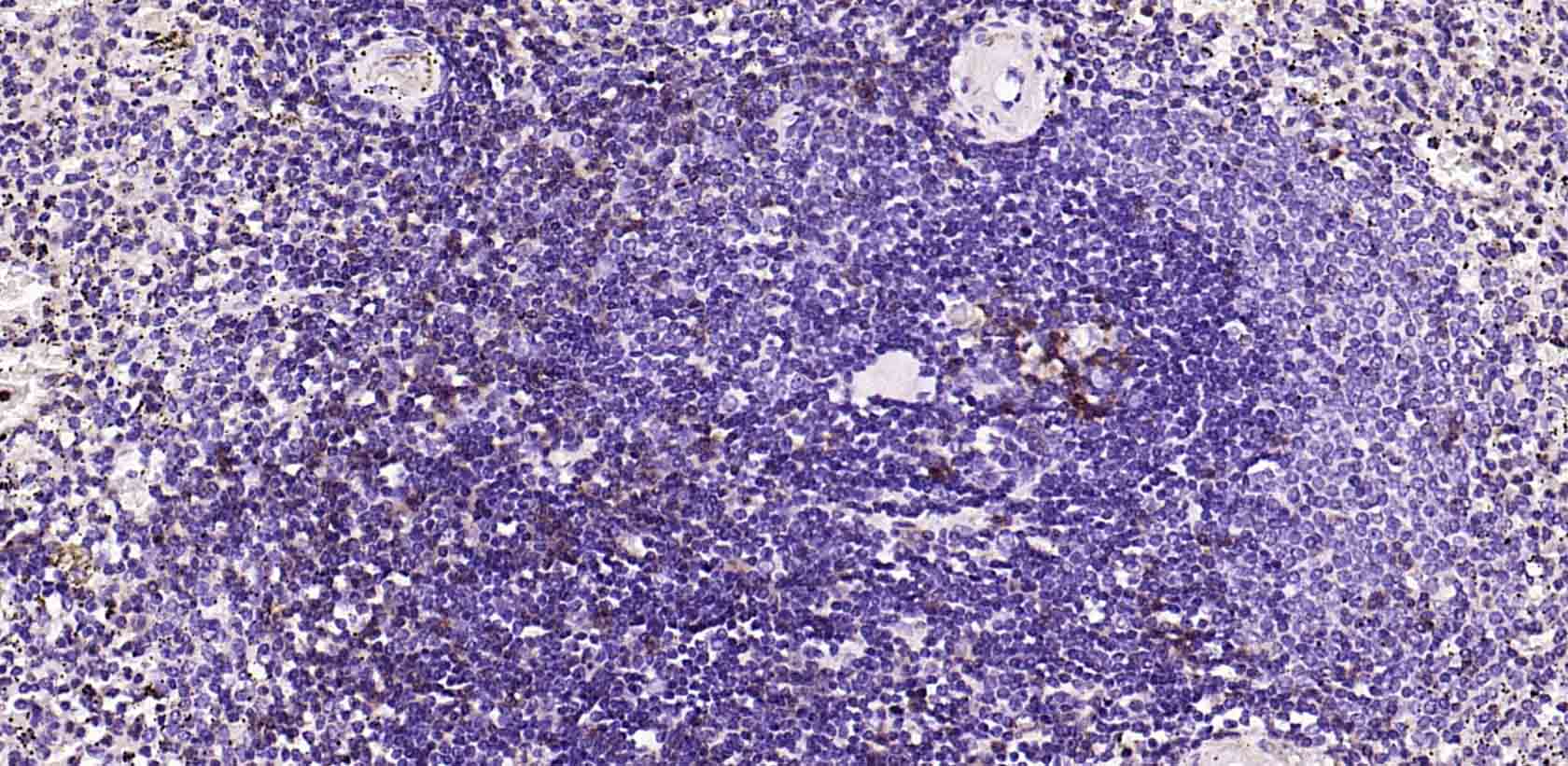
产品图片
Paraformaldehyde-fixed, paraffin embedded Human Spleen; Antigen retrieval by boiling in sodium citrate buffer (pH6.0) for 15 min; Antibody incubation with PD-1 Monoclonal Antibody, Unconjugated(bsm-41117M) at 1:200 overnight at 4°C, followed by conjugation to the SP Kit (Mouse, sp-0024) and DAB (C-0010) staining.
Paraformaldehyde-fixed, paraffin embedded Human Tonsil; Antigen retrieval by boiling in sodium citrate buffer (pH6.0) for 15 min; Antibody incubation with PD-1 Monoclonal Antibody, Unconjugated(bsm-41117M) at 1:200 overnight at 4°C, followed by conjugation to the SP Kit (Mouse, sp-0024) and DAB (C-0010) staining.
版权所有 2004-2026 www.bioss.com.cn 北京博奥森生物技术有限公司
通过国际质量管理体系ISO 9001:2015 GB/T 19001-2016    证书编号: 00124Q34771R2M/1100
通过国际医疗器械-质量管理体系ISO 13485:2016 GB/T 42061-2022     证书编号: CQC24QY20047R0M/1100
京ICP备05066980号-1         京公网安备110107000727号