扫码关注公众号           扫码咨询技术支持           扫码咨询技术服务
  
客服热线:400-901-9800  客服QQ:4009019800  技术答疑  技术支持  质量反馈  关于我们  联系我们
产品中心-北京博奥森生物技术有限公司
首页 > 产品中心 > 一抗 > 产品信息
NG2 Rabbit pAb (bs-23788R)  
订购热线:400-901-9800
订购邮箱:sales@bioss.com.cn
订购QQ:  400-901-9800
技术支持:techsupport@bioss.com.cn
50ul/1180.00元
100ul/1980.00元
200ul/2800.00元
大包装/询价

产品编号 bs-23788R
英文名称 NG2 Rabbit pAb
中文名称 黑色素瘤硫酸软骨素蛋白多糖4抗体
别    名 MELCSPG; AN2; AN2 proteoglycan; Chondroitin sulfate proteoglycan 4(melanoma-associated); Chondroitin sulfate proteoglycan 4; Chondroitin sulfate proteoglycan NG2; CSPG4; Cspg4 chondroitin sulfate proteoglycan 4; CSPG4_HUMAN; HMW-MAA; HSN tumor-specific antigen; Kiaa4232; MCSP; MCSPG; MEL-CSPG; Melanoma chondroitin sulfate proteoglycan; Melanoma-associated chondroitin sulfate proteoglycan; 4732461B14Rik; MSK16.  
Specific References  (1)     |     bs-23788R has been referenced in 1 publications.
[IF=3.558] Wanqiong Yuan. et al. Single-dose local intraosseous injection of simvastatin suppresses breast cancer with tumor vascular normalization. Transl Oncol. 2020 Dec;13:100867  IHC ;  Mouse.  
研究领域 肿瘤  细胞生物  免疫学  神经生物学  
抗体来源 Rabbit
克隆类型 Polyclonal
克 隆 号
交叉反应 Human,Mouse (predicted: Rat,Pig,Horse)
产品应用 WB=1:500-2000,IHC-P=1:100-500,IHC-F=1:100-500,IF=1:100-500
not yet tested in other applications.
optimal dilutions/concentrations should be determined by the end user.
理论分子量 247 kDa
检测分子量
细胞定位 细胞浆 细胞膜 
性    状 Liquid
浓    度 1mg/ml
免 疫 原 KLH conjugated synthetic peptide derived from human NG2: 701-800/2322 <Extracellular>
亚    型 IgG
纯化方法 affinity purified by Protein A
缓 冲 液 0.01M TBS (pH7.4) with 1% BSA, 0.02% Proclin300 and 50% Glycerol.
保存条件 Shipped at 4℃. Store at -20℃ for one year. Avoid repeated freeze/thaw cycles.
注意事项 This product as supplied is intended for research use only, not for use in human, therapeutic or diagnostic applications.
PubMed PubMed
产品介绍 NG2 (also known as melanoma-associated chondroitin sulfate proteoglycan 4, MCSP, MCSPG, MSK16 and MEL-CSPG) stabilizes cell-substratum interactions during early events of melanoma cell spreading on endothelial basement membranes. NG2 may facilitate primary melanoma progression by enhancing the activation of key signaling pathways important for tumor invasion and growth. Threonine 2256 phosphorylation of rat NG2 (Threonine 2252 phosphorylation of human NG2) leads to redistribution of NG2 on the surface of astrocytomas, polarization of the cell and a significant increase in cell motility. NG2 acts as a co-receptor for spreading and focal contact formation in association with Alpha 4 Beta1 integrin in malignant melanoma cells. NG2 is present on blood vessels throughout the rat embryo. Microvessels within the rat CNS express NG2 on endothelial cells, and outside the CNS, NG2 is present on smooth muscle cells. NG2 is a novel marker for epidermal stem cells that contributes to their patterned distribution by promoting stem cell clustering.

Function:
Proteoglycan playing a role in cell proliferation and migration which stimulates endothelial cells motility during microvascular morphogenesis. May also inhibit neurite outgrowth and growth cone collapse during axon regeneration. Cell surface receptor for collagen alpha 2(VI) which may confer cells ability to migrate on that substrate. Binds through its extracellular N-terminus growth factors, extracellular matrix proteases modulating their activity. May regulate MPP16-dependent degradation and invasion of type I collagen participating in melanoma cells invasion properties. May modulate the plasminogen system by enhancing plasminogen activation and inhibiting angiostatin. Functions also as a signal transducing protein by binding through its cytoplasmic C-terminus scaffolding and signaling proteins. May promote retraction fiber formation and cell polarization through Rho GTPase activation. May stimulate alpha-4, beta-1 integrin-mediated adhesion and spreading by recruiting and activating a signaling cascade through CDC42, ACK1 and BCAR1. May activate FAK and ERK1/ERK2 signaling cascades.

Subunit:
Interacts with the first PDZ domain of MPDZ. Interacts with PRKCA. Binds TNC, laminin-1, COL5A1 and COL6A2. Interacts with PLG and angiostatin. Binds FGF2 and PDGFA. Interacts with GRIP1, GRIP2 and GRIA2. Forms a ternary complex with GRIP1 and GRIA2 (By similarity). Interacts with LGALS3 and the integrin composed of ITGB1 and ITGA3. Interacts with ITGA4 through its chondroitin sulfate glycosaminoglycan. Interacts with BCAR1, CDC42 and ACK1. Interacts with MMP16.

Subcellular Location:
Apical cell membrane. Cell projection > lamellipodium membrane. Localized at the apical plasma membrane it relocalizes to the lamellipodia of astrocytoma upon phosphorylation by PRKCA. Localizes to the retraction fibers. Localizes to the plasma membrane of oligodendrocytes.

Tissue Specificity:
Detected only in malignant melanoma cells.

Post-translational modifications:
O-glycosylated; contains glycosaminoglycan chondroitin sulfate which are required for proper localization and function in stress fiber formation (By similarity). Involved in interaction with MMP16 and ITGA4.
Phosphorylation by PRKCA regulates its subcellular location and function in cell motility (By similarity).

Similarity:
Contains 15 CSPG (NG2) repeats.
Contains 2 laminin G-like domains.

SWISS:
Q6UVK1

Gene ID:
1464

Database links:

Entrez Gene: 1464 Human

Entrez Gene: 121021 Mouse

Omim: 601172 Human

SwissProt: Q6UVK1 Human

SwissProt: Q8VHY0 Mouse

Unigene: 513044 Human

Unigene: 41329 Mouse



产品图片
Sample: Hippocampus (Mouse) Lysate at 40 ug Primary: Anti-NG2 (bs-23788R) at 1/1000 dilution Secondary: IRDye800CW Goat Anti-Rabbit IgG at 1/20000 dilution Predicted band size: 247 kD Observed band size: 350 kD
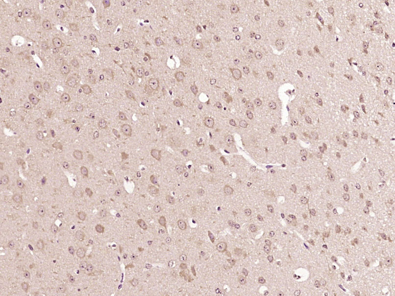
Paraformaldehyde-fixed, paraffin embedded (Mouse brain); Antigen retrieval by boiling in sodium citrate buffer (pH6.0) for 15min; Block endogenous peroxidase by 3% hydrogen peroxide for 20 minutes; Blocking buffer (normal goat serum) at 37°C for 30min; Antibody incubation with (NG2) Polyclonal Antibody, Unconjugated (bs-23788R) at 1:400 overnight at 4°C, followed by operating according to SP Kit(Rabbit) (sp-0023) instructionsand DAB staining.
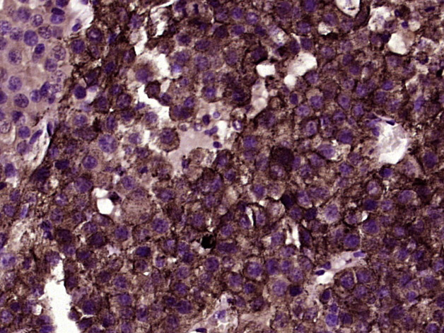
Paraformaldehyde-fixed, paraffin embedded (Human melanoma); Antigen retrieval by boiling in sodium citrate buffer (pH6.0) for 15min; Block endogenous peroxidase by 3% hydrogen peroxide for 20 minutes; Blocking buffer (normal goat serum) at 37°C for 30min; Antibody incubation with (NG2) Polyclonal Antibody, Unconjugated (bs-23788R) at 1:400 overnight at 4°C, followed by operating according to SP Kit(Rabbit) (sp-0023) instructionsand DAB staining.
版权所有 2004-2026 www.bioss.com.cn 北京博奥森生物技术有限公司
通过国际质量管理体系ISO 9001:2015 GB/T 19001-2016    证书编号: 00124Q34771R2M/1100
通过国际医疗器械-质量管理体系ISO 13485:2016 GB/T 42061-2022    证书编号: CQC24QY10047R0M/1100
京ICP备05066980号-1         京公网安备110107000727号