扫码关注公众号           扫码咨询技术支持           扫码咨询技术服务
  
客服热线:400-901-9800  客服QQ:4009019800  技术答疑  技术支持  质量反馈  人才招聘  关于我们  联系我们
产品中心-北京博奥森生物技术有限公司
首页 > 产品中心 > 一抗 > 产品信息
Caspase-6 subunit p11 Rabbit pAb (bs-23596R)  
订购热线:400-901-9800
订购邮箱:sales@bioss.com.cn
订购QQ:  400-901-9800
技术支持:techsupport@bioss.com.cn
50ul/1180.00元
100ul/1980.00元
200ul/2800.00元
大包装/询价

产品编号 bs-23596R
英文名称 Caspase-6 subunit p11 Rabbit pAb
中文名称 半胱胺酸蛋白酶蛋白-6抗体
别    名 CSP-6; MCH2; caspase-6; CASP-6; CASP6_HUMAN; CASP6; Apoptotic protease Mch-2; 3.4.22.59; CASP6_MOUSE; CASP6_RAT;   
研究领域 细胞生物  神经生物学  信号转导  细胞凋亡  
抗体来源 Rabbit
克隆类型 Polyclonal
克 隆 号
交叉反应 Mouse,Rat (predicted: Human,Cow)
产品应用 IHC-P=1:100-500,IHC-F=1:100-500,IF=1:100-500
not yet tested in other applications.
optimal dilutions/concentrations should be determined by the end user.
理论分子量 11/33 kDa
细胞定位 细胞浆 
性    状 Liquid
浓    度 1mg/ml
免 疫 原 KLH conjugated synthetic peptide derived from human Caspase-6 subunit p11: 161-260/293 
亚    型 IgG
纯化方法 affinity purified by Protein A
缓 冲 液 0.01M TBS (pH7.4) with 1% BSA, 0.02% Proclin300 and 50% Glycerol.
保存条件 Shipped at 4℃. Store at -20℃ for one year. Avoid repeated freeze/thaw cycles.
注意事项 This product as supplied is intended for research use only, not for use in human, therapeutic or diagnostic applications.
PubMed PubMed
产品介绍 Caspase-6 Involved in the activation cascade of caspases responsible for apoptosis execution. Cleaves poly(ADP-ribose) polymerase in vitro, as well as lamins. Overexpression promotes programmed cell death. Subunit is compose of heterodimer of a18 kDa (p18) and a 11 kDa (p11) subunit. Subcellular location at cytoplasmic. Cleavages by CPP32, caspase-8 or -10 generate the two active subunits. It belongs to the peptidase C14 family.

Function:
Involved in the activation cascade of caspases responsible for apoptosis execution. Cleaves poly(ADP-ribose) polymerase in vitro, as well as lamins. Overexpression promotes programmed cell death.

Subunit:
Heterotetramer that consists of two anti-parallel arranged heterodimers, each one formed by a 18 kDa (p18) and a 11 kDa (p11) subunit. Interacts with BIRC6/bruce.

Subcellular Location:
Cytoplasm.

Post-translational modifications:
Cleavages by caspase-3, caspase-8 or -10 generate the two active subunits.

Similarity:
Belongs to the peptidase C14A family.

SWISS:
P55212

Gene ID:
839

Database links:

Entrez Gene: 839 Human

Entrez Gene: 12368 Mouse

Entrez Gene: 83584 Rat

Omim: 601532 Human

SwissProt: P55212 Human

SwissProt: O08738 Mouse

SwissProt: O35397 Rat

Unigene: 654616 Human

Unigene: 281379 Mouse

Unigene: 88160 Rat



产品图片
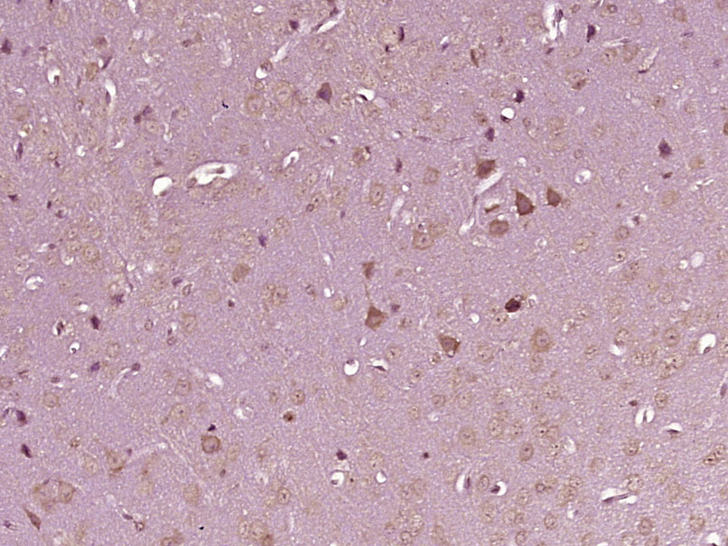
Paraformaldehyde-fixed, paraffin embedded (Rat brain); Antigen retrieval by boiling in sodium citrate buffer (pH6.0) for 15min; Block endogenous peroxidase by 3% hydrogen peroxide for 20 minutes; Blocking buffer (normal goat serum) at 37°C for 30min; Antibody incubation with (Caspase-6 subunit p11) Polyclonal Antibody, Unconjugated (bs-23596R) at 1:400 overnight at 4°C, followed by operating according to SP Kit(Rabbit) (sp-0023) instructionsand DAB staining.
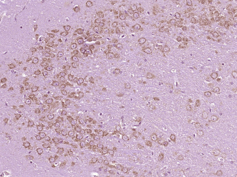
Paraformaldehyde-fixed, paraffin embedded (Mouse brain); Antigen retrieval by boiling in sodium citrate buffer (pH6.0) for 15min; Block endogenous peroxidase by 3% hydrogen peroxide for 20 minutes; Blocking buffer (normal goat serum) at 37°C for 30min; Antibody incubation with (Caspase-6 subunit p11) Polyclonal Antibody, Unconjugated (bs-23596R) at 1:400 overnight at 4°C, followed by operating according to SP Kit(Rabbit) (sp-0023) instructionsand DAB staining.
版权所有 2004-2026 www.bioss.com.cn 北京博奥森生物技术有限公司
通过国际质量管理体系ISO 9001:2015 GB/T 19001-2016    证书编号: 00124Q34771R2M/1100
通过国际医疗器械-质量管理体系ISO 13485:2016 GB/T 42061-2022     证书编号: CQC24QY20047R0M/1100
京ICP备05066980号-1         京公网安备110107000727号