扫码关注公众号           扫码咨询技术支持           扫码咨询技术服务
  
客服热线:400-901-9800  客服QQ:4009019800  技术答疑  技术支持  质量反馈  人才招聘  关于我们  联系我们
产品中心-北京博奥森生物技术有限公司
首页 > 产品中心 > 一抗 > 产品信息
Neurochondrin Rabbit pAb (bs-19217R)  
订购热线:400-901-9800
订购邮箱:sales@bioss.com.cn
订购QQ:  400-901-9800
技术支持:techsupport@bioss.com.cn
50ul/1180.00元
100ul/1980.00元
200ul/2800.00元
大包装/询价

产品编号 bs-19217R
英文名称 Neurochondrin Rabbit pAb
中文名称 神经软骨蛋白NCDN1抗体
别    名 NEDIES; MMS10-AE; Ms10ae; mKIAA0607; norbin; NCDN_BOVIN; NCDN; NCDN_HUMAN; KIAA0607; Q91YH7_MOUSE; NCDN_RAT; Neurite outgrowth-related protein from the rat brain;   
研究领域 肿瘤  细胞生物  神经生物学  信号转导  
抗体来源 Rabbit
克隆类型 Polyclonal
克 隆 号
交叉反应 Mouse,Rat (predicted: Human,Sheep,Cow,Dog,Horse)
产品应用 IHC-P=1:100-500,IHC-F=1:100-500,IF=1:100-500
not yet tested in other applications.
optimal dilutions/concentrations should be determined by the end user.
理论分子量 79 kDa
细胞定位 细胞浆 
性    状 Liquid
浓    度 1mg/ml
免 疫 原 KLH conjugated synthetic peptide derived from human Neurochondrin: 221-320/729 
亚    型 IgG
纯化方法 affinity purified by Protein A
缓 冲 液 0.01M TBS (pH7.4) with 1% BSA, 0.02% Proclin300 and 50% Glycerol.
保存条件 Shipped at 4℃. Store at -20℃ for one year. Avoid repeated freeze/thaw cycles.
注意事项 This product as supplied is intended for research use only, not for use in human, therapeutic or diagnostic applications.
PubMed PubMed
产品介绍 This gene encodes a leucine-rich cytoplasmic protein, which is highly similar to a mouse protein that negatively regulates Ca/calmodulin-dependent protein kinase II phosphorylation and may be essential for spatial learning processes. Several alternatively spliced transcript variants of this gene have been described. [provided by RefSeq, Jul 2008]

Function:
Probably involved in signal transduction, in the nervous system, via increasing cell surface localization of GRM5 and positively regulating its signaling By similarity. Required for the spatial learning process. Acts as a negative regulator of Ca2+-calmodulin-dependent protein kinase 2 (CaMK2) phosphorylation. May play a role in modulating melanin-concentrating hormone-mediated functions via its interaction with MCHR1 that interferes with G protein-coupled signal transduction. May be involved in bone metabolism. May also be involved in neurite outgrowth.

Subcellular Location:
Cytoplasm. Cell projection, dendrite.

Tissue Specificity:
Abundantly expressed in whole adult brain and in all individual brain regions examined, including spinal cord. Weakly expressed in ovary, testis, fetal brain and small intestine.

Similarity:
Interacts with SEMA4C, DIAPH1 (via FH3 domain) and GRM5 By similarity. Interacts with MCHR1.

SWISS:
Q9UBB6

Gene ID:
23154

Database links:

Entrez Gene: 23154 Human

Entrez Gene: 505994 Cow

Entrez Gene: 26562 Mouse

Entrez Gene: 89791 Rat

Omim: 608458 Human

SwissProt: Q2KJ97 Cow

SwissProt: Q9UBB6 Human

SwissProt: Q91YH7 Mouse

SwissProt: O35095 Rat



产品图片
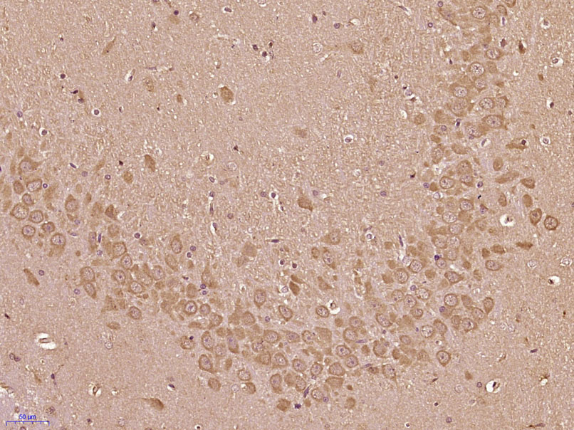
Paraformaldehyde-fixed, paraffin embedded (Mouse brain); Antigen retrieval by boiling in sodium citrate buffer (pH6.0) for 15min; Block endogenous peroxidase by 3% hydrogen peroxide for 20 minutes; Blocking buffer (normal goat serum) at 37°C for 30min; Antibody incubation with (Neurochondrin) Polyclonal Antibody, Unconjugated (bs-19217R) at 1:400 overnight at 4°C, followed by operating according to SP Kit(Rabbit) (sp-0023) instructionsand DAB staining.
Paraformaldehyde-fixed, paraffin embedded (Rat brain); Antigen retrieval by boiling in sodium citrate buffer (pH6.0) for 15min; Block endogenous peroxidase by 3% hydrogen peroxide for 20 minutes; Blocking buffer (normal goat serum) at 37°C for 30min; Antibody incubation with (Neurochondrin) Polyclonal Antibody, Unconjugated (bs-19217R) at 1:400 overnight at 4°C, followed by operating according to SP Kit(Rabbit) (sp-0023) instructionsand DAB staining.
版权所有 2004-2026 www.bioss.com.cn 北京博奥森生物技术有限公司
通过国际质量管理体系ISO 9001:2015 GB/T 19001-2016    证书编号: 00124Q34771R2M/1100
通过国际医疗器械-质量管理体系ISO 13485:2016 GB/T 42061-2022     证书编号: CQC24QY20047R0M/1100
京ICP备05066980号-1         京公网安备110107000727号