扫码关注公众号           扫码咨询技术支持           扫码咨询技术服务
  
客服热线:400-901-9800  客服QQ:4009019800  技术答疑  技术支持  质量反馈  人才招聘  关于我们  联系我们
产品中心-北京博奥森生物技术有限公司
首页 > 产品中心 > 一抗 > 产品信息
PER2 Rabbit pAb (bs-23387R)  
订购热线:400-901-9800
订购邮箱:sales@bioss.com.cn
订购QQ:  400-901-9800
技术支持:techsupport@bioss.com.cn
50ul/1180.00元
100ul/1980.00元
200ul/2800.00元
大包装/询价

产品编号 bs-23387R
英文名称 PER2 Rabbit pAb
中文名称 节律蛋白2抗体
别    名 FASPS; FASPS1; mKIAA0347; mPer2; PER2_HUMAN; PER2; hPER2; Circadian clock protein PERIOD 2; KIAA0347; PER2_MOUSE;   
研究领域 肿瘤  免疫学  神经生物学  信号转导  细胞凋亡  
抗体来源 Rabbit
克隆类型 Polyclonal
克 隆 号
交叉反应 Mouse,Rat (predicted: Human)
产品应用 IHC-P=1:100-500,IHC-F=1:100-500,IF=1:100-500
not yet tested in other applications.
optimal dilutions/concentrations should be determined by the end user.
理论分子量 138 kDa
细胞定位 细胞核 细胞浆 
性    状 Liquid
浓    度 1mg/ml
免 疫 原 KLH conjugated synthetic peptide derived from human PER2/Period circadian protein 2: 731-830/1255 
亚    型 IgG
纯化方法 affinity purified by Protein A
缓 冲 液 0.01M TBS (pH7.4) with 1% BSA, 0.02% Proclin300 and 50% Glycerol.
保存条件 Shipped at 4℃. Store at -20℃ for one year. Avoid repeated freeze/thaw cycles.
注意事项 This product as supplied is intended for research use only, not for use in human, therapeutic or diagnostic applications.
PubMed PubMed
产品介绍 PER2, a mammalian homologue of the Drosophila period gene, shares a 40% homology with PER1 including the protein dimerization PAS domain. PER2 is a circadian regulator that may act as a transcription factor. It behaves as a negative element in circadian transcriptional loop. PER2 does not appear to bind DNA, suggesting indirect transcriptional inhibition. Expression oscillates with a 24 hour rhythm in the suprachiasmatic nucleus (SCN) and the whole eyes. Oscillations are maintained under constant darkness and are responsive to changes of the light/dark cycles. There is a 4 hour time delay between PER1 and PER2 oscillations. The expression rhythms appear to originate from retina.

Function:
Component of the circadian clock mechanism which is essential for generating circadian rhythms. Negative element in the circadian transcriptional loop. Influences clock function by interacting with other circadian regulatory proteins and transporting them to the nucleus. Negatively regulates CLOCK NPAS2-BMAL1

Subunit:
Homodimer. Component of the circadian core oscillator, which includes the CRY proteins, CLOCK or NPAS2, BMAL1 or BMAL2, CSNK1D and/or CSNK1E, TIMELESS, and the PER proteins. Interacts directly with PER1 and PER3, and through a C-terminal domain, with CRY1 and CRY2. Interaction with CSNK1D or CSNK1E promotes nuclear location of PER proteins. Interacts, via its second PAS domain, with TIMELESS in vitro. Interacts with NFIL3 (By similarity). Interacts with PML (By similarity).

Subcellular Location:
Nucleus. Cytoplasm. Mainly nuclear. Nucleocytoplasmic shuttling is effected by interaction with other circadian core oscillator proteins and/or by phosphorylation. Retention of PER1 in the cytoplasm occurs through PER1-PER2 heterodimer formation or by interaction with CSNK1E and/or phosphorylation which appears to mask the PER nuclear localization signal. Also translocated to the nucleus by CRY1 or CRY2.

Tissue Specificity:
Widely expressed. Found in heart, brain, placenta, lung, liver, skeletal muscle, kidney and pancreas. High levels in skeletal muscle and pancreas. Low level in lung.

Post-translational modifications:
Phosphorylated by CSNK1E and CSNK1D. Phosphorylation results in PER2 protein degradation.

DISEASE:
Defects in PER2 are a cause of familial advanced sleep-phase syndrome (FASPS) [MIM:604348]. FASPS is characterized by very early sleep onset and offset. Individuals are 'morning larks' with a 4 hours advance of the sleep, temperature and melatonin rhythms.

Similarity:
Contains 1 PAC (PAS-associated C-terminal) domain.
Contains 2 PAS (PER-ARNT-SIM) domains.

SWISS:
O15055

Gene ID:
8864

Database links:

Entrez Gene: 8864 Human

Entrez Gene: 18627 Mouse

Omim: 603426 Human

SwissProt: O15055 Human

SwissProt: O54943 Mouse

Unigene: 58756 Human

Unigene: 218141 Mouse



产品图片
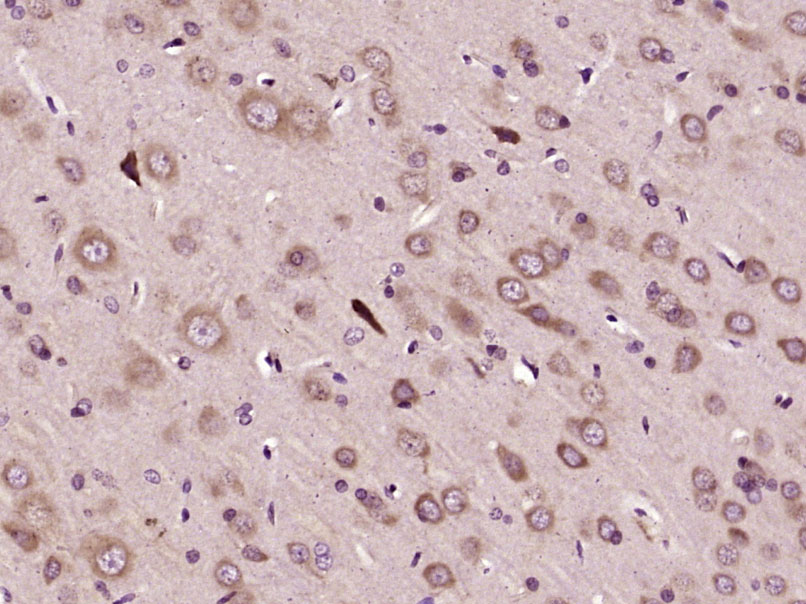
Paraformaldehyde-fixed, paraffin embedded (Mouse brain); Antigen retrieval by boiling in sodium citrate buffer (pH6.0) for 15min; Block endogenous peroxidase by 3% hydrogen peroxide for 20 minutes; Blocking buffer (normal goat serum) at 37°C for 30min; Antibody incubation with (PER2/Period circadian protein 2) Polyclonal Antibody, Unconjugated (bs-23387R) at 1:400 overnight at 4°C, followed by operating according to SP Kit(Rabbit) (sp-0023) instructionsand DAB staining.
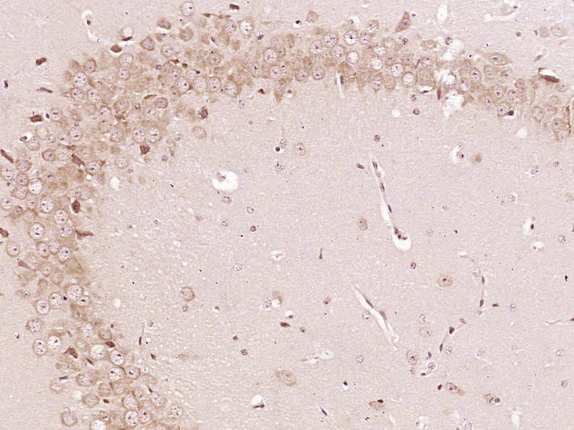
Paraformaldehyde-fixed, paraffin embedded (Rat brain); Antigen retrieval by boiling in sodium citrate buffer (pH6.0) for 15min; Block endogenous peroxidase by 3% hydrogen peroxide for 20 minutes; Blocking buffer (normal goat serum) at 37°C for 30min; Antibody incubation with (PER2/Period circadian protein 2) Polyclonal Antibody, Unconjugated (bs-23387R) at 1:400 overnight at 4°C, followed by operating according to SP Kit(Rabbit) (sp-0023) instructionsand DAB staining.
版权所有 2004-2026 www.bioss.com.cn 北京博奥森生物技术有限公司
通过国际质量管理体系ISO 9001:2015 GB/T 19001-2016    证书编号: 00124Q34771R2M/1100
通过国际医疗器械-质量管理体系ISO 13485:2016 GB/T 42061-2022     证书编号: CQC24QY20047R0M/1100
京ICP备05066980号-1         京公网安备110107000727号