扫码关注公众号           扫码咨询技术支持           扫码咨询技术服务
  
客服热线:400-901-9800  客服QQ:4009019800  技术答疑  技术支持  质量反馈  关于我们  联系我们
产品中心-北京博奥森生物技术有限公司
首页 > 产品中心 > 一抗 > 产品信息
GST1 Rabbit pAb (bs-0663R)  
订购热线:400-901-9800
订购邮箱:sales@bioss.com.cn
订购QQ:  400-901-9800
技术支持:techsupport@bioss.com.cn
50ul/1180.00元
100ul/1980.00元
200ul/2800.00元
大包装/询价

产品编号 bs-0663R
英文名称 GST1 Rabbit pAb
中文名称 谷胱甘肽转移酶抗体
别    名 GST1; GSTM1-1; GSTM1a-1a; GSTM1b-1b; GTH4; GTM1; H-B; MU; MU-1; Gstb-1; Gstb1; GSTM1_HUMAN; GSTM1; GST HB subunit 4; GST class-mu 1; 2.5.1.18; GSTM1_MOUSE; GST 1-1; Glutathione S-transferase GT8.7; pmGT10;   
Specific References  (1)     |     bs-0663R has been referenced in 1 publications.
[IF=6.656] Simeng Chu. et al. Ursolic acid alleviates tetrandrine-induced hepatotoxicity by competitively binding to the substrate-binding site of glutathione S-transferases. PHYTOMEDICINE. 2022 Sep;104:154325  IF, WB ;  Mouse, Human.  
研究领域 肿瘤  细胞生物  免疫学  信号转导  
抗体来源 Rabbit
克隆类型 Polyclonal
克 隆 号
交叉反应 Human
产品应用 WB=1:500-2000,IHC-P=1:100-500,IHC-F=1:100-500,IF=1:100-500
not yet tested in other applications.
optimal dilutions/concentrations should be determined by the end user.
理论分子量 26 kDa
细胞定位 细胞浆 
性    状 Liquid
浓    度 1mg/ml
免 疫 原 KLH conjugated synthetic peptide derived from human GST1: 151-218/218 
亚    型 IgG
纯化方法 affinity purified by Protein A
缓 冲 液 0.01M TBS (pH7.4) with 1% BSA, 0.02% Proclin300 and 50% Glycerol.
保存条件 Shipped at 4℃. Store at -20℃ for one year. Avoid repeated freeze/thaw cycles.
注意事项 This product as supplied is intended for research use only, not for use in human, therapeutic or diagnostic applications.
PubMed PubMed
产品介绍 Cytosolic and membrane-bound forms of glutathione S-transferase are encoded by two distinct supergene families. At present, eight distinct classes of the soluble cytoplasmic mammalian glutathione S-transferases have been identified: alpha, kappa, mu, omega, pi, sigma, theta and zeta. This gene encodes a glutathione S-transferase that belongs to the mu class. The mu class of enzymes functions in the detoxification of electrophilic compounds, including carcinogens, therapeutic drugs, environmental toxins and products of oxidative stress, by conjugation with glutathione. The genes encoding the mu class of enzymes are organized in a gene cluster on chromosome 1p13.3 and are known to be highly polymorphic. These genetic variations can change an individual's susceptibility to carcinogens and toxins as well as affect the toxicity and efficacy of certain drugs. Null mutations of this class mu gene have been linked with an increase in a number of cancers, likely due to an increased susceptibility to environmental toxins and carcinogens. Multiple protein isoforms are encoded by transcript variants of this gene. [provided by RefSeq, Jul 2008]

Function:
Conjugation of reduced glutathione to a wide number of exogenous and endogenous hydrophobic electrophiles.

Subunit:
Homodimer.

Subcellular Location:
Cytoplasm

Tissue Specificity:
Liver (at protein level).

Similarity:
Belongs to the GST superfamily. Mu family.

SWISS:
P09488

Gene ID:
2944

Database links:

HGNC: 4632 Human

Entrez Gene: 2944 Human

Entrez Gene: 14862 Mouse

UniProtKB: P09488 Human

UniProtKB: P10649 Mouse

OMIM: 138350 Human



产品图片
Sample: HepG2(Human) Cell Lysate at 30 ug Hcclm3(Human) Cell Lysate at 30 ug Primary: Anti-GST1 (bs-0663R) at 1/1000 dilution Secondary: IRDye800CW Goat Anti-Rabbit IgG at 1/20000 dilution Predicted band size: 26 kD Observed band size: 26 kD
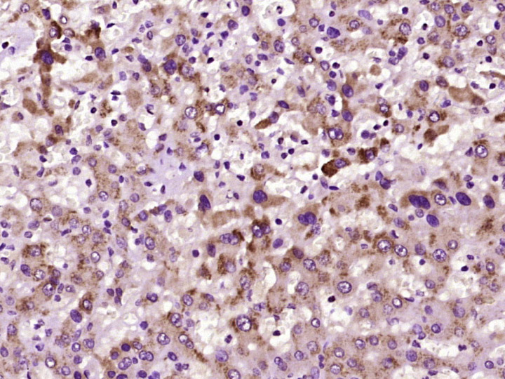
Paraformaldehyde-fixed, paraffin embedded (human liver carcinoma); Antigen retrieval by boiling in sodium citrate buffer (pH6.0) for 15min; Block endogenous peroxidase by 3% hydrogen peroxide for 20 minutes; Blocking buffer (normal goat serum) at 37°C for 30min; Antibody incubation with (GST1) Polyclonal Antibody, Unconjugated (bs-0663R) at 1:400 overnight at 4°C, followed by operating according to SP Kit(Rabbit) (sp-0023) instructionsand DAB staining.
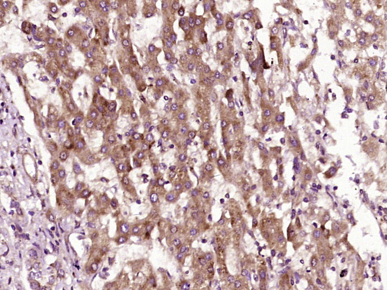
Paraformaldehyde-fixed, paraffin embedded (human liver tissue); Antigen retrieval by boiling in sodium citrate buffer (pH6.0) for 15min; Block endogenous peroxidase by 3% hydrogen peroxide for 20 minutes; Blocking buffer (normal goat serum) at 37°C for 30min; Antibody incubation with (GST1) Polyclonal Antibody, Unconjugated (bs-0663R) at 1:400 overnight at 4°C, followed by operating according to SP Kit(Rabbit) (sp-0023) instructionsand DAB staining.
版权所有 2004-2026 www.bioss.com.cn 北京博奥森生物技术有限公司
通过国际质量管理体系ISO 9001:2015 GB/T 19001-2016    证书编号: 00124Q34771R2M/1100
通过国际医疗器械-质量管理体系ISO 13485:2016 GB/T 42061-2022     证书编号: CQC24QY20047R0M/1100
京ICP备05066980号-1         京公网安备110107000727号