扫码关注公众号           扫码咨询技术支持           扫码咨询技术服务
  
客服热线:400-901-9800  客服QQ:4009019800  技术答疑  技术支持  质量反馈  关于我们  联系我们
产品中心-北京博奥森生物技术有限公司
首页 > 产品中心 > 一抗 > 产品信息
TUBB3 (Neuronal Marker) Mouse mAb (bsm-33177M)  
订购热线:400-901-9800
订购邮箱:sales@bioss.com.cn
订购QQ:  400-901-9800
技术支持:techsupport@bioss.com.cn
50ul/1180.00元
100ul/1980.00元
200ul/2800.00元
200ug(PBS only)/5600.00元
大包装/询价

产品编号 bsm-33177M
英文名称 TUBB3 (Neuronal Marker) Mouse mAb
中文名称 微管蛋白β3(神经标志物)单克隆抗体
别    名 Tubulin beta 3; beta III Tubulin; Tubb3; Tubulin beta-3; beta 4; MC1R; TUBB 3; TUBB 4; TUBB3; TUBB4; Tubulin beta 3 chain; Tubulin beta 4; Tubulin beta III; Tubulin beta-3 chain; Neuron-specific class III beta-tubulin; Syntaxin III; Neuron specific beta III Tubulin; Tubulin beta-4 chain; Tubulin beta-III; beta-4; CDCBM; CFEOM3A; M(beta)3; M(beta)6; Neuron-specific class III beta-tubulin; QccE-11995; QccE-15186; TBB3_HUMAN; Tubulin beta 4; Tubulin beta-4 chain.  TUJ1
Specific References  (3)     |     bsm-33177M has been referenced in 3 publications.
[IF=10.317] Yu D et al. MOF-encapsulated nanozyme enhanced siRNA combo: Control neural stem cell differentiation and ameliorate cognitive impairments in Alzheimer's disease model. Biomaterials . 2020 Oct;255:120160.  IHF&ICF ;  Rat&Mouse.  
[IF=5.923] Bing-Chun Liu. et al. Global Transcriptional Analyses of the Wnt-Induced Development of Neural Stem Cells from Human Pluripotent Stem Cells. Int J Mol Sci. 2021 Jan;22(14):7473  ICC ;  Human.  
[IF=3.046] Yuyuan Ma. et al. Ultra-structural morphology analysis of human cranial bone marrow mesenchymal stromal cells during neural differentiation. Neurosci Lett. 2021 Aug;:136179  ICC ;  Human.  
研究领域 细胞生物  神经生物学  细胞类型标志物  细胞骨架  
抗体来源 Mouse
克隆类型 Monoclonal
克 隆 号 6F12
交叉反应 Human,Mouse,Rat
产品应用 WB=1:1000-10000,IHC-P=1:200-1000,IHC-F=1:200-1000,IF=1:200-1000,Flow-Cyt=1μg/Test
not yet tested in other applications.
optimal dilutions/concentrations should be determined by the end user.
理论分子量 50 kDa
检测分子量
细胞定位 细胞浆 
性    状 Liquid
浓    度 1mg/ml
免 疫 原 KLH conjugated synthetic peptide derived from human TUBB3 
亚    型 IgG
纯化方法 affinity purified by Protein G
缓 冲 液 0.01M TBS (pH7.4) with 1% BSA, 0.02% Proclin300 and 50% Glycerol.
保存条件 Shipped at 4℃. Store at -20℃ for one year. Avoid repeated freeze/thaw cycles.
注意事项 This product as supplied is intended for research use only, not for use in human, therapeutic or diagnostic applications.
PubMed PubMed
产品介绍 Neuronal Marker
Beta III tubulin is abundant in the central and peripheral nervous systems (CNS and PNS) where it is prominently expressed during fetal and postnatal development. As exemplified in cerebellar and sympathoadrenal neurogenesis, the distribution of beta III is neuron-associated, exhibiting distinct temporospatial gradients according to the regional neuroepithelia of origin. However, transient expression of this protein is also present in the subventricular zones of the CNS comprising putative neuronal- and/or glial precursor cells, as well as in Kulchitsky neuroendocrine cells of the fetal respiratory epithelium. This temporally restricted, potentially non-neuronal expression may have implications in the identification of presumptive neurons derived from embryonic stem cells.

Function:
Tubulin is the major constituent of microtubules. Itbinds two moles of GTP, one at an exchangeable site on the betachain and one at a non-exchangeable site on the alpha chain. TUBB3plays a critical role in proper axon guidance and mantainance.

Subunit:
Dimer of alpha and beta chains.

Subcellular Location:
Cytoplasm, cytoskeleton.

Tissue Specificity:
Expression is primarily restricted to centraland peripheral nervous system. Greatly increased expression in mostcancerous tissues.

Post-translational modifications:
Some glutamate residues at the C-terminus arepolyglutamylated. This modification occurs exclusively on glutamateresidues and results in polyglutamate chains on the gamma-carboxylgroup. Also monoglycylated but not polyglycylated due to theabsence of functional TTLL10 in human. Monoglycylation is mainlylimited to tubulin incorporated into axonemes (cilia and flagella)whereas glutamylation is prevalent in neuronal cells, centrioles,axonemes, and the mitotic spindle. Both modifications can coexiston the same protein on adjacent residues, and lowering glycylationlevels increases polyglutamylation, and reciprocally. The precisefunction of such modifications is still unclear but they regulatethe assembly and dynamics of axonemal microtubules (Probable).
Phosphorylated on Ser-172 by CDK1 during the cell cycle, frommetaphase to telophase, but not in interphase. This phosphorylationinhibits tubulin incorporation into microtubules.

DISEASE:
Defects in TUBB3 are the cause of congenital fibrosis ofextraocular muscles type 3A (CFEOM3A) [MIM:600638]. A congenitalocular motility disorder marked by restrictive ophthalmoplegiaaffecting extraocular muscles innervated by the oculomotor and/ortrochlear nerves. It is clinically characterized by anchoring ofthe eyes in downward gaze, ptosis, and backward tilt of the head.Congenital fibrosis of extraocular muscles type 3 presents as anon-progressive, autosomal dominant disorder with variableexpression. Patients may be bilaterally or unilaterally affected,and their oculo-motility defects range from completeophthalmoplegia (with the eyes fixed in a hypo- and exotropicposition), to mild asymptomatic restrictions of ocular movement.Ptosis, refractive error, amblyopia, and compensatory headpositions are associated with the more severe forms of thedisorder. In some cases the ocular phenotype is accompanied byadditional features including developmental delay, corpus callosumagenesis, basal ganglia dysmorphism, facial weakness,polyneuropathy.
Defects in TUBB3 are the cause of cortical dysplasiacomplex with other brain malformations (CDCBM) [MIM:614039]. CDCBMis a disorder of aberrant neuronal migration and disturbed axonalguidance. Affected individuals have mild to severe mentalretardation, strabismus, axial hypotonia, and spasticity. Brainimaging shows variable malformations of cortical development,including polymicrogyria, gyral disorganization, and fusion of thebasal ganglia, as well as thin corpus callosum, hypoplasticbrainstem, and dysplastic cerebellar vermis. Extraocular musclesare not involved.

Similarity:
Belongs to the tubulin family.

SWISS:
Q13509

Gene ID:
10381

Database links:

Entrez Gene: 10381 Human

Entrez Gene: 22152 Mouse

Entrez Gene: 246118 Rat

Omim: 602661 Human

SwissProt: Q13509 Human

SwissProt: Q9ERD7 Mouse

SwissProt: Q4QRB4 Rat

Unigene: 511743 Human

Unigene: 40068 Mouse

Unigene: 43958 Rat



产品图片
25 ug total protein per lane of various lysates (see on figure) probed with TUBB3 monoclonal antibody, unconjugated (bsm-33177M) at 1:1000 dilution and 4°C overnight incubation. Followed by conjugated secondary antibody incubation at r.t. for 60 min.
25 ug total protein per lane of various lysates (see on figure) probed with Tubb3 monoclonal antibody, unconjugated (bsm-33177M) at 1:1000 dilution and 4°C overnight incubation. Followed by conjugated secondary antibody incubation at r.t. for 60 min.
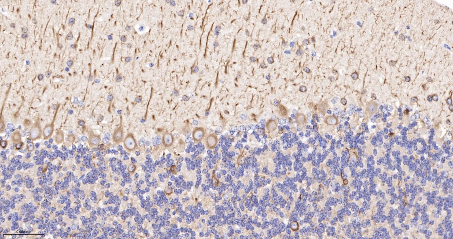
Paraformaldehyde-fixed, paraffin embedded (human cerebellum); Antigen retrieval by boiling in sodium citrate buffer (pH6.0) for 15min; Block endogenous peroxidase by 3% hydrogen peroxide for 20 minutes; Blocking buffer (normal goat serum) at 37°C for 30min; Incubation with (TUBB3 (Neuronal Marker) ) Monoclonal Antibody, Unconjugated (bsm-33177M) at 1:200 overnight at 4°C, followed by operating according to SP Kit(Mouse)(sp-0024) instructionsand DAB staining.
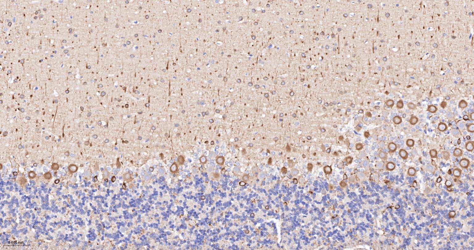
Paraformaldehyde-fixed, paraffin embedded (rat cerebellum); Antigen retrieval by boiling in sodium citrate buffer (pH6.0) for 15min; Block endogenous peroxidase by 3% hydrogen peroxide for 20 minutes; Blocking buffer (normal goat serum) at 37°C for 30min; Incubation with (TUBB3 (Neuronal Marker) ) Monoclonal Antibody, Unconjugated (bsm-33177M) at 1:200 overnight at 4°C, followed by operating according to SP Kit(Mouse)(sp-0024) instructionsand DAB staining.
Paraformaldehyde-fixed, paraffin embedded (rat brain); Antigen retrieval by boiling in sodium citrate buffer (pH6.0) for 15min; Block endogenous peroxidase by 3% hydrogen peroxide for 20 minutes; Blocking buffer (normal goat serum) at 37°C for 30min; Incubation with (TUBB3 (Neuronal Marker) ) Monoclonal Antibody, Unconjugated (bsm-33177M) at 1:200 overnight at 4°C, followed by operating according to SP Kit(Mouse)(sp-0024) instructionsand DAB staining.
Paraformaldehyde-fixed, paraffin embedded (mouse brain); Antigen retrieval by boiling in sodium citrate buffer (pH6.0) for 15min; Block endogenous peroxidase by 3% hydrogen peroxide for 20 minutes; Blocking buffer (normal goat serum) at 37°C for 30min; Incubation with (TUBB3 (Neuronal Marker) ) Monoclonal Antibody, Unconjugated (bsm-33177M) at 1:200 overnight at 4°C, followed by operating according to SP Kit(Mouse)(sp-0024) instructionsand DAB staining.
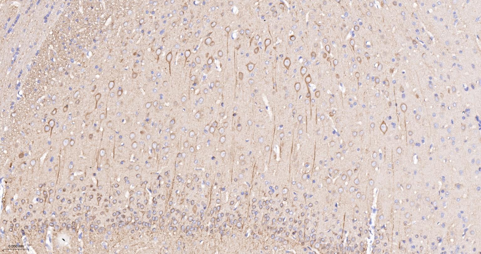
Paraformaldehyde-fixed, paraffin embedded (Human left parietal lobe); Antigen retrieval by boiling in sodium citrate buffer (pH6.0) for 15min; Block endogenous peroxidase by 3% hydrogen peroxide for 20 minutes; Blocking buffer (normal goat serum) at 37°C for 30min; Incubation with (TUBB3 (Neuronal Marker) ) Monoclonal Antibody, Unconjugated (bsm-33177M) at 1:200 overnight at 4°C, followed by operating according to SP Kit(Mouse)(sp-0024) instructionsand DAB staining.
Paraformaldehyde-fixed, paraffin embedded Rat Colon; Antigen retrieval by boiling in sodium citrate buffer (pH6.0) for 15 min; The section was incubated with TUBB3 (Neuronal Marker) Monoclonal Antibody, Unconjugated (bsm-33177M) at 1:200 overnight at 4°C. Followed by conjugated Goat Anti-Mouse IgG antibody (green, bs-0296G-FITC), DAPI (blue, C02-04002) was used to stain the cell nuclei.
Paraformaldehyde-fixed, paraffin embedded Rat Stomach; Antigen retrieval by boiling in sodium citrate buffer (pH6.0) for 15 min; The section was incubated with TUBB3 (Neuronal Marker) Monoclonal Antibody, Unconjugated (bsm-33177M) at 1:200 overnight at 4°C. Followed by conjugated Goat Anti-Mouse IgG antibody (green, bs-0296G-FITC), DAPI (blue, C02-04002) was used to stain the cell nuclei.
Paraformaldehyde-fixed, paraffin embedded Human Uterus; Antigen retrieval by boiling in sodium citrate buffer (pH6.0) for 15 min; The section was incubated with TUBB3 (Neuronal Marker) Monoclonal Antibody, Unconjugated (bsm-33177M) at 1:200 overnight at 4°C. Followed by conjugated Goat Anti-Mouse IgG antibody (green, bs-0296G-FITC), DAPI (blue, C02-04002) was used to stain the cell nuclei.
Paraformaldehyde-fixed, paraffin embedded Human Cerebellum; Antigen retrieval by boiling in sodium citrate buffer (pH6.0) for 15 min; The section was incubated with TUBB3 (Neuronal Marker) Monoclonal Antibody, Unconjugated (bsm-33177M) at 1:200 overnight at 4°C. Followed by conjugated Goat Anti-Mouse IgG antibody (green, bs-0296G-FITC), DAPI (blue, C02-04002) was used to stain the cell nuclei.
Paraformaldehyde-fixed, paraffin embedded Human Cerebellum; Antigen retrieval by boiling in sodium citrate buffer (pH6.0) for 15 min; Antibody incubation with TUBB3 (Neuronal Marker) Monoclonal Antibody, Unconjugated (bsm-33177M) at 1:200 overnight at 4°C. Followed by conjugated Goat Anti-Rabbit IgG antibody (green, bs-0296G-BF488), DAPI (blue, C02-04002) was used to stain the cell nuclei.
The U-87MG (H) cells were fixed with 4% PFA (10 min at r.t.) and then permeabilized with 90% ice-cold methanol for 20 min at -20℃,the cells then were incubated in 5%BSA to block non-specific protein-protein interactions (30 min at r.t.), followed by secondary antibody incubation for 40 min at room temperature. Primary Antibody (green):Mouse Anti-TUBB3 antibody (bsm-33177M): 1 μg/10^6 cells; Isotype Control (orange): Mouse IgG (bs-0296P). Blank control (black): PBS. Acquisition of 20,000 events was performed.
版权所有 2004-2026 www.bioss.com.cn 北京博奥森生物技术有限公司
通过国际质量管理体系ISO 9001:2015 GB/T 19001-2016    证书编号: 00124Q34771R2M/1100
通过国际医疗器械-质量管理体系ISO 13485:2016 GB/T 42061-2022     证书编号: CQC24QY20047R0M/1100
京ICP备05066980号-1         京公网安备110107000727号