扫码关注公众号           扫码咨询技术支持           扫码咨询技术服务
  
客服热线:400-901-9800  客服QQ:4009019800  技术答疑  技术支持  质量反馈  人才招聘  关于我们  联系我们
产品中心-北京博奥森生物技术有限公司
首页 > 产品中心 > 一抗 > 产品信息
SMAD7 Rabbit pAb (bs-23328R)  
订购热线:400-901-9800
订购邮箱:sales@bioss.com.cn
订购QQ:  400-901-9800
技术支持:techsupport@bioss.com.cn
50ul/1180.00元
100ul/1980.00元
200ul/2800.00元
大包装/询价

产品编号 bs-23328R
英文名称 SMAD7 Rabbit pAb
中文名称 Smad7抗体
别    名 Madh7; SMAD7_HUMAN; SMAD7; MAD homolog 7; Mothers against DPP homolog 7; Mothers against decapentaplegic homolog 8 (MAD homolog 8 | Mothers against DPP homolog 8); SMAD family member 7 (SMAD 7 | Smad7 | hSMAD7); MADH8; SMAD7_MOUSE; SMAD family member 7 (S  
抗体来源 Rabbit
克隆类型 Polyclonal
克 隆 号
交叉反应 Human,Mouse,Rat
产品应用 WB=1:500-2000,IHC-P=1:100-500,IHC-F=1:100-500,IF=1:100-500,ICC/IF=1:100-500
not yet tested in other applications.
optimal dilutions/concentrations should be determined by the end user.
理论分子量 46 kDa
检测分子量 50
细胞定位 细胞核 细胞浆 
性    状 Liquid
浓    度 1mg/ml
免 疫 原 KLH conjugated synthetic peptide derived from human MADH7: 1-100/426 
亚    型 IgG
纯化方法 affinity purified by Protein A
缓 冲 液 0.01M TBS (pH7.4) with 1% BSA, 0.02% Proclin300 and 50% Glycerol.
保存条件 Shipped at 4℃. Store at -20℃ for one year. Avoid repeated freeze/thaw cycles.
注意事项 This product as supplied is intended for research use only, not for use in human, therapeutic or diagnostic applications.
PubMed PubMed
产品介绍 The protein encoded by this gene is a nuclear protein that binds the E3 ubiquitin ligase SMURF2. Upon binding, this complex translocates to the cytoplasm, where it interacts with TGF-beta receptor type-1 (TGFBR1), leading to the degradation of both the encoded protein and TGFBR1. Expression of this gene is induced by TGFBR1. Variations in this gene are a cause of susceptibility to colorectal cancer type 3 (CRCS3). Several transcript variants encoding different isoforms have been found for this gene. [provided by RefSeq, Jun 2010]

Function:
Antagonist of signaling by TGF-beta (transforming growth factor) type 1 receptor superfamily members; has been shown to inhibit TGF-beta (Transforming growth factor) and activin signaling by associating with their receptors thus preventing SMAD2 access. Functions as an adapter to recruit SMURF2 to the TGF-beta receptor complex. Also acts by recruiting the PPP1R15A-PP1 complex to TGFBR1, which promotes its dephosphorylation. Positively regulates PDPK1 kinase activity by stimulating its dissociation from the 14-3-3 protein YWHAQ which acts as a negative regulator.

Subunit:
Interacts with WWP1. Interacts with COPS5. Interacts with NEDD4L. Interacts with STAMBP. Interacts with RNF111, AXIN1 and AXIN2. Interacts with PPP1R15A. Interacts (via MH2 domain) with EP300. Interacts with ACVR1B, SMURF1, SMURF2 and TGFBR1; SMAD7 recruits SMURF1 and SMURF2 to the TGF-beta receptor and regulates its degradation. Interacts with PDPK1 (via PH domain).

Subcellular Location:
Nucleus. Cytoplasm. Note=Interaction with NEDD4L or RNF111 or induces translocation from the nucleus to the cytoplasm. TGF-beta stimulates its translocation from the nucleus to the cytoplasm. PDPK1 inhibits its translocation from the nucleus to the cytoplasm in response to TGF-beta.

Tissue Specificity:
Ubiquitous with higher expression in the lung and vascular endothelium.

Post-translational modifications:
Phosphorylation on Ser-249 does not affect its stability, nuclear localization or inhibitory function in TGFB signaling; however it affects its ability to regulate transcription. Phosphorylated by PDPK1.
Ubiquitinated by WWP1. Polyubiquitinated by RNF111, which is enhanced by AXIN1 and promotes proteasomal degradation. In response to TGF-beta, ubiquitinated by SMURF1; which promotes its degradation.
Acetylation prevents ubiquitination and degradation mediated by SMURF1.

DISEASE:
Genetic variations in SMAD7 influence susceptibility to colorectal cancer type 3 (CRCS3) [MIM:612229]. Colorectal cancer consists of tumors or cancer of either the colon or rectum or both. Cancers of the large intestine are the second most common form of cancer found in males and females. Symptoms include rectal bleeding, occult blood in stools, bowel obstruction and weight loss. Treatment is based largely on the extent of cancer penetration into the intestinal wall. Surgical cures are possible if the malignancy is confined to the intestine. Risk can be reduced when following a diet which is low in fat and high in fiber.

Similarity:
Belongs to the dwarfin/SMAD family.
Contains 1 MH1 (MAD homology 1) domain.
Contains 1 MH2 (MAD homology 2) domain.

SWISS:
O15105

Gene ID:
4092

Database links:

Entrez Gene: 4092 Human

Entrez Gene: 17131 Mouse

Entrez Gene: 81516 Rat

Omim: 602932 Human

SwissProt: O15105 Human

SwissProt: O35253 Mouse

SwissProt: O88406 Rat

Unigene: 465087 Human

Unigene: 34407 Mouse

Unigene: 29980 Rat



产品图片
Sample: Lane 1: Cerebrum (Mouse) Lysate at 40 ug Lane 2: Cerebrum (Rat) Lysate at 40 ug Lane 3: Stomach (Mouse) Lysate at 40 ug Lane 4: Kidney (Mouse) Lysate at 40 ug Primary: Anti-MADH7 (bs-23328R) at 1/1000 dilution Secondary: IRDye800CW Goat Anti-Rabbit IgG at 1/20000 dilution Predicted band size: 50 kD Observed band size: 50 kD
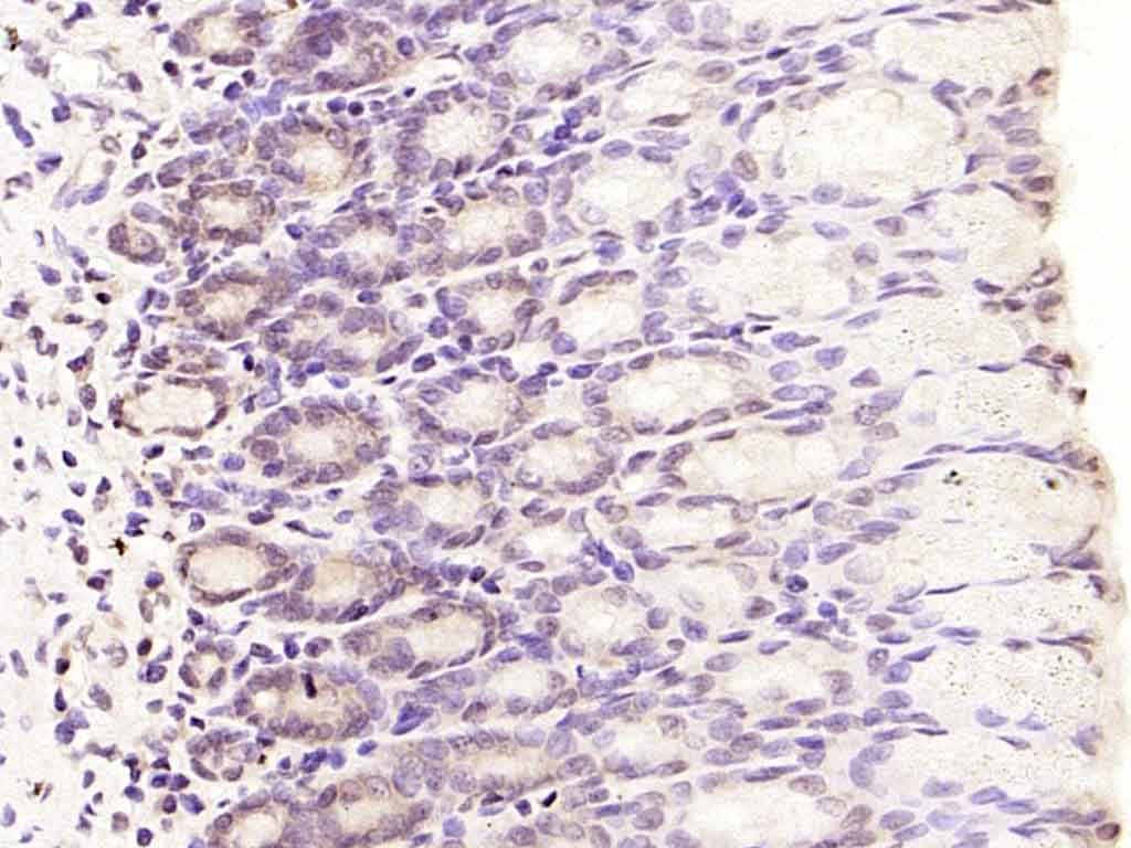
Paraformaldehyde-fixed, paraffin embedded (rat stomach); Antigen retrieval by boiling in sodium citrate buffer (pH6.0) for 15min; Block endogenous peroxidase by 3% hydrogen peroxide for 20 minutes; Blocking buffer (normal goat serum) at 37°C for 30min; Antibody incubation with (MADH7) Polyclonal Antibody, Unconjugated (bs-23328R ) at 1:200 overnight at 4°C, followed by operating according to SP Kit(Rabbit) (sp-0023) instructionsand DAB staining.
Paraformaldehyde-fixed, paraffin embedded (rat lung); Antigen retrieval by boiling in sodium citrate buffer (pH6.0) for 15min; Block endogenous peroxidase by 3% hydrogen peroxide for 20 minutes; Blocking buffer (normal goat serum) at 37°C for 30min; Antibody incubation with (MADH7) Polyclonal Antibody, Unconjugated (bs-23328R ) at 1:200 overnight at 4°C, followed by operating according to SP Kit(Rabbit) (sp-0023) instructionsand DAB staining.
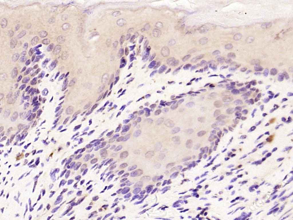
Paraformaldehyde-fixed, paraffin embedded (mouse esophageal); Antigen retrieval by boiling in sodium citrate buffer (pH6.0) for 15min; Block endogenous peroxidase by 3% hydrogen peroxide for 20 minutes; Blocking buffer (normal goat serum) at 37°C for 30min; Antibody incubation with (MADH7) Polyclonal Antibody, Unconjugated (bs-23328R ) at 1:200 overnight at 4°C, followed by operating according to SP Kit(Rabbit) (sp-0023) instructionsand DAB staining.
Paraformaldehyde-fixed, paraffin embedded (mouse brain tissue); Antigen retrieval by boiling in sodium citrate buffer (pH6.0) for 15min; Block endogenous peroxidase by 3% hydrogen peroxide for 20 minutes; Blocking buffer (normal goat serum) at 37°C for 30min; Antibody incubation with (MADH7) Polyclonal Antibody, Unconjugated (bs-23328R) at 1:200 overnight at 4°C, followed by operating according to SP Kit(Rabbit) (sp-0023) instructionsand DAB staining.
U2OS cell; 4% Paraformaldehyde-fixed; Triton X-100 at room temperature for 20 min; Blocking buffer (normal goat serum, C-0005) at 37°C for 20 min; Antibody incubation with (MADH7) polyclonal Antibody, Unconjugated (bs-23328R) 1:100, 90 minutes at 37°C; followed by a conjugated Goat Anti-Rabbit IgG antibody at 37°C for 90 minutes, DAPI (blue, C02-04002) was used to stain the cell nuclei.
版权所有 2004-2026 www.bioss.com.cn 北京博奥森生物技术有限公司
通过国际质量管理体系ISO 9001:2015 GB/T 19001-2016    证书编号: 00124Q34771R2M/1100
通过国际医疗器械-质量管理体系ISO 13485:2016 GB/T 42061-2022     证书编号: CQC24QY20047R0M/1100
京ICP备05066980号-1         京公网安备110107000727号