扫码关注公众号           扫码咨询技术支持           扫码咨询技术服务
  
客服热线:400-901-9800  客服QQ:4009019800  技术答疑  技术支持  质量反馈  关于我们  联系我们
产品中心-北京博奥森生物技术有限公司
首页 > 产品中心 > 一抗 > 产品信息
CA9 Mouse mAb (bsm-33082M)  
订购热线:400-901-9800
订购邮箱:sales@bioss.com.cn
订购QQ:  400-901-9800
技术支持:techsupport@bioss.com.cn
50ul/1180.00元
100ul/1980.00元
200ul/2800.00元
200ug(PBS only)/5600.00元
大包装/询价

产品编号 bsm-33082M
英文名称 CA9 Mouse mAb
中文名称 碳酸酐酶9单克隆抗体
别    名 CA IX; CA-IX; Carbonic anhydrase 9; CAH9_HUMAN; CAIX; Carbonate dehydratase IX; Carbonic anhydrase IX; Carbonic dehydratase; G250; Membrane antigen MN; MN; P54/58N; P54/58N; pMW1; RCC associated protein G250; RCC-associated antigen G250; Renal cell carcinoma associated antigen G250; Renal cell carcinoma-associated antigen G250.  
Specific References  (1)     |     bsm-33082M has been referenced in 1 publications.
[IF=5.923] Alena Pastornická. et al. Influence of Paclitaxel and Doxorubicin Therapy of ßIII-Tubulin, Carbonic Anhydrase IX, and Survivin in Chemically Induced Breast Cancer in Female Rat. Int J Mol Sci. 2021 Jan;22(12):6363  IHC ;  Rat.  
研究领域 肿瘤  细胞生物  免疫学  激酶和磷酸酶  
抗体来源 Mouse
克隆类型 Monoclonal
克 隆 号 5H10
交叉反应 Human
产品应用 IHC-P=1:100-500,IHC-F=1:100-500,IF=1:100-500
not yet tested in other applications.
optimal dilutions/concentrations should be determined by the end user.
理论分子量 46 kDa
检测分子量
细胞定位 细胞核 细胞浆 
性    状 Liquid
浓    度 1mg/ml
免 疫 原 Recombinant human Carbonic Anhydrase IX (full length) 
亚    型 IgG
纯化方法 affinity purified by Protein G
缓 冲 液 0.01M TBS (pH7.4) with 1% BSA, 0.02% Proclin300 and 50% Glycerol.
保存条件 Shipped at 4℃. Store at -20℃ for one year. Avoid repeated freeze/thaw cycles.
注意事项 This product as supplied is intended for research use only, not for use in human, therapeutic or diagnostic applications.
PubMed PubMed
产品介绍 Carbonic anhydrases (CAs) are a large family of zinc metalloenzymes that catalyze the reversible hydration of carbon dioxide. They participate in a variety of biological processes, including respiration, calcification, acid-base balance, bone resorption, and the formation of aqueous humor, cerebrospinal fluid, saliva, and gastric acid. They show extensive diversity in tissue distribution and in their subcellular localization. CA IX is a transmembrane protein and the only tumor-associated carbonic anhydrase isoenzyme known. It is expressed in all clear-cell renal cell carcinoma, but is not detected in normal kidney or most other normal tissues. It may be involved in cell proliferation and transformation. This gene was mapped to 17q21.2 by fluorescence in situ hybridization, however, radiation hybrid mapping localized it to 9p13-p12. [provided by RefSeq, Jul 2008]

Function:
Reversible hydration of carbon dioxide. Participates in pH regulation. May be involved in the control of cell proliferation and transformation. Appears to be a novel specific biomarker for a cervical neoplasia.

Subunit:
Forms oligomers linked by disulfide bonds.

Subcellular Location:
Nucleus. Nucleus, nucleolus. Cell membrane; Single-pass type I membrane protein. Cell projection, microvillus membrane; Single-pass type I membrane protein. Note=Found on the surface microvilli and in the nucleus, particularly in nucleolus.

Tissue Specificity:
Expressed primarily in carcinoma cells lines. Expression is restricted to very few normal tissues and the most abundant expression is found in the epithelial cells of gastric mucosa.

Similarity:
Belongs to the alpha-carbonic anhydrase family.

SWISS:
Q16790

Gene ID:
768

Database links:

Entrez Gene: 768 Human

Entrez Gene: 230099 Mouse

Omim: 603179 Human

SwissProt: Q16790 Human

SwissProt: Q8VHB5 Mouse

Unigene: 63287 Human

Unigene: 283682 Mouse



碳酸酐酶9(carbonic anhydrase IX,CA IX)是新发现的碳酸酐酶家族异构体之一,是由酸性氨基酸组成的跨膜糖蛋白,在调控细胞增殖、转化方面有重要作用。
碳酸酐酶9能催化CO2水解为碳酸和水,参与机体的酸碱平衡,调节细胞内外pH值,易导致肿瘤的生长和转移,目前也是子宫肿瘤新的标记物。
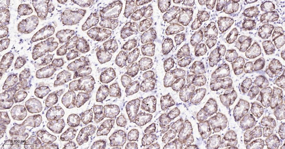
产品图片
Paraformaldehyde-fixed, paraffin embedded (human colon carcinoma); Antigen retrieval by boiling in sodium citrate buffer (pH6.0) for 15min; Block endogenous peroxidase by 3% hydrogen peroxide for 20 minutes; Blocking buffer (normal goat serum) at 37°C for 30min; Incubation with (CA9) Monoclonal Antibody, Unconjugated (bsm-33082M) at 1:200 overnight at 4°C, followed by operating according to SP Kit(Mouse)(sp-0024) instructionsand DAB staining.
Paraformaldehyde-fixed, paraffin embedded (Human stomach cancer); Antigen retrieval by boiling in sodium citrate buffer (pH6.0) for 15min; Block endogenous peroxidase by 3% hydrogen peroxide for 20 minutes; Blocking buffer (normal goat serum) at 37°C for 30min; Antibody incubation with (Carbonate dehydratase IX) Monoclonal Antibody, Unconjugated (bsm-33082M) at 1:800 overnight at 4°C, followed by operating according to SP Kit(Mouse) (sp-0024) instructions and DAB staining.
Paraformaldehyde-fixed, paraffin embedded Human Stomach; Antigen retrieval by boiling in sodium citrate buffer (pH6.0) for 15 min; The section was incubated with CA9 Monoclonal Antibody, Unconjugated (bsm-33082M) at 1:200 overnight at 4°C, followed by conjugation to the bs-40296G-HRP and DAB (C-0010) staining.
版权所有 2004-2026 www.bioss.com.cn 北京博奥森生物技术有限公司
通过国际质量管理体系ISO 9001:2015 GB/T 19001-2016    证书编号: 00124Q34771R2M/1100
通过国际医疗器械-质量管理体系ISO 13485:2016 GB/T 42061-2022     证书编号: CQC24QY20047R0M/1100
京ICP备05066980号-1         京公网安备110107000727号