扫码关注公众号           扫码咨询技术支持           扫码咨询技术服务
  
客服热线:400-901-9800  客服QQ:4009019800  技术答疑  技术支持  质量反馈  关于我们  联系我们
产品中心-北京博奥森生物技术有限公司
首页 > 产品中心 > 一抗 > 产品信息
FADD Rabbit pAb (bs-20780R)  
订购热线:400-901-9800
订购邮箱:sales@bioss.com.cn
订购QQ:  400-901-9800
技术支持:techsupport@bioss.com.cn
50ul/1180.00元
100ul/1980.00元
200ul/2800.00元
大包装/询价

产品编号 bs-20780R
英文名称 FADD Rabbit pAb
中文名称 Fas死亡结构域相关蛋白抗体
别    名 Mort1/FADD; FADD_MOUSE; Fadd; FAS-associating death domain-containing protein; Mediator of receptor induced toxicity; Mort1; GIG3; IMD90; FADD_HUMAN; Growth-inhibiting gene 3 protein;   
Specific References  (1)     |     bs-20780R has been referenced in 1 publications.
[IF=3.448] Xu B et al. Excessive mechanical stress induces chondrocyte apoptosis through TRPV4 in an anteriorcruciate ligament-transected rat osteoarthritis model. Life Sci. 2019 Jul 1;228:158-166.  WB ;  Rat.  
研究领域 免疫学  细胞凋亡  
抗体来源 Rabbit
克隆类型 Polyclonal
克 隆 号
交叉反应 Mouse (predicted: Rat)
产品应用 WB=1:500-2000,IHC-P=1:100-500,IHC-F=1:100-500,IF=1:100-500
not yet tested in other applications.
optimal dilutions/concentrations should be determined by the end user.
理论分子量 23 kDa
细胞定位 细胞浆 
性    状 Liquid
浓    度 1mg/ml
免 疫 原 KLH conjugated synthetic peptide derived from mouse FADD: 51-150/205 
亚    型 IgG
纯化方法 affinity purified by Protein A
缓 冲 液 0.01M TBS (pH7.4) with 1% BSA, 0.02% Proclin300 and 50% Glycerol.
保存条件 Shipped at 4℃. Store at -20℃ for one year. Avoid repeated freeze/thaw cycles.
注意事项 This product as supplied is intended for research use only, not for use in human, therapeutic or diagnostic applications.
PubMed PubMed
产品介绍 Predicted to enable several functions, including caspase binding activity; death effector domain binding activity; and tumor necrosis factor receptor superfamily binding activity. Involved in several processes, including hematopoietic or lymphoid organ development; negative regulation of activation-induced cell death of T cells; and positive regulation of CD8-positive, alpha-beta cytotoxic T cell extravasation. Acts upstream of or within extrinsic apoptotic signaling pathway in absence of ligand; motor neuron apoptotic process; and regulation of programmed cell death. Predicted to be located in several cellular components, including cell body; cytosol; and membrane raft. Predicted to be part of CD95 death-inducing signaling complex and ripoptosome. Predicted to be active in cytoplasm. Is expressed in several structures, including alimentary system; brain; genitourinary system; hemolymphoid system gland; and liver and biliary system. Human ortholog(s) of this gene implicated in leukemia. Orthologous to human FADD (Fas associated via death domain). [provided by Alliance of Genome Resources, Apr 2022]

Function:
Apoptotic adaptor molecule that recruits caspase-8 or caspase-10 to the activated Fas (CD95) or TNFR-1 receptors. The resulting aggregate called the death-inducing signaling complex (DISC) performs caspase-8 proteolytic activation. Active caspase-8 initiates the subsequent cascade of caspases mediating apoptosis.

Subunit:
Can self-associate. Interacts with CFLAR, PEA15 and MBD4. When phosphorylated, part of a complex containing HIPK3 and FAS. May interact with MAVS/IPS1. Interacts with MOCV v-CFLAR protein and LRDD. Interacts (via death domain) with FAS (via death domain). Interacts with CASP8.

Tissue Specificity:
Expressed in a wide variety of tissues, except for peripheral blood mononuclear leukocytes.

DISEASE:
The interaction between the FAS and FADD death domains is crucial for the formation of the death-inducing signaling complex (DISC).
Defects in FADD are the cause of infections recurrent associated with encephalopathy hepatic dysfunction and cardiovascular malformations (IEHDCM) [MIM:613759]. A condition with biological features of autoimmune lymphoproliferative syndrome such as high-circulating CD4(-)CD8(-)TCR-alpha-beta(+) T-cell counts, and elevated IL10 and FASL levels. Affected individuals suffer from recurrent, stereotypical episodes of fever, encephalopathy, and mild liver dysfunction sometimes accompanied by generalized seizures. The episodes can be triggered by varicella zoster virus (VZV), measles mumps rubella (MMR) attenuated vaccine, parainfluenza virus, and Epstein-Barr virus (EBV).

Similarity:
Contains 1 death domain.
Contains 1 DED (death effector) domain.

SWISS:
Q61160

Gene ID:
14082

Database links:

Entrez Gene: 14082 Mouse

Entrez Gene: 266610 Rat

SwissProt: Q61160 Mouse



FADD属于TNFR家族,有死亡区的Fas相关蛋白。
产品图片
Sample: Kidney (Mouse) Lysate at 40 ug Spleen (Mouse) Lysate at 40 ug Primary: Anti-FADD (bs-20780R) at 1/300 dilution Secondary: IRDye800CW Goat Anti-Rabbit IgG at 1/20000 dilution Predicted band size: 23 kD Observed band size: 25 kD
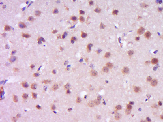
Paraformaldehyde-fixed, paraffin embedded (Mouse brain); Antigen retrieval by boiling in sodium citrate buffer (pH6.0) for 15min; Block endogenous peroxidase by 3% hydrogen peroxide for 20 minutes; Blocking buffer (normal goat serum) at 37°C for 30min; Antibody incubation with (FADD) Polyclonal Antibody, Unconjugated (bs-20780R) at 1:400 overnight at 4°C, followed by operating according to SP Kit(Rabbit) (sp-0023) instructionsand DAB staining.
版权所有 2004-2026 www.bioss.com.cn 北京博奥森生物技术有限公司
通过国际质量管理体系ISO 9001:2015 GB/T 19001-2016    证书编号: 00124Q34771R2M/1100
通过国际医疗器械-质量管理体系ISO 13485:2016 GB/T 42061-2022     证书编号: CQC24QY20047R0M/1100
京ICP备05066980号-1         京公网安备110107000727号