扫码关注公众号           扫码咨询技术支持           扫码咨询技术服务
  
客服热线:400-901-9800  客服QQ:4009019800  技术答疑  技术支持  质量反馈  人才招聘  关于我们  联系我们
产品中心-北京博奥森生物技术有限公司
首页 > 产品中心 > 一抗 > 产品信息
SOCS3 Rabbit pAb (bs-20752R)  
订购热线:400-901-9800
订购邮箱:sales@bioss.com.cn
订购QQ:  400-901-9800
技术支持:techsupport@bioss.com.cn
50ul/1180.00元
100ul/1980.00元
200ul/2800.00元
大包装/询价

产品编号 bs-20752R
英文名称 SOCS3 Rabbit pAb
中文名称 细胞因子信号传导抑制蛋白3抗体
别    名 ATOD4; CIS3; Cish3; SOCS-3; SSI-3; SSI3; SOCS3_HUMAN; SOCS3; Cytokine-inducible SH2 protein 3 (CIS-3); STAT-induced STAT inhibitor 3 (SSI-3); SOCS3_RAT; Cytokine-inducible SH2 protein 3;   
研究领域 细胞生物  免疫学  神经生物学  信号转导  
抗体来源 Rabbit
克隆类型 Polyclonal
克 隆 号
交叉反应 Mouse,Rat (predicted: Human,Pig,Dog,Horse)
产品应用 IHC-P=1:100-500,IHC-F=1:100-500,IF=1:100-500
not yet tested in other applications.
optimal dilutions/concentrations should be determined by the end user.
理论分子量 25 kDa
细胞定位 细胞浆 
性    状 Liquid
浓    度 1mg/ml
免 疫 原 KLH conjugated synthetic peptide derived from human SOCS3: 81-160/225 
亚    型 IgG
纯化方法 affinity purified by Protein A
缓 冲 液 0.01M TBS (pH7.4) with 1% BSA, 0.02% Proclin300 and 50% Glycerol.
保存条件 Shipped at 4℃. Store at -20℃ for one year. Avoid repeated freeze/thaw cycles.
注意事项 This product as supplied is intended for research use only, not for use in human, therapeutic or diagnostic applications.
PubMed PubMed
产品介绍 Cytokines signal transduction pathway suppressor of cytokine signaling 3 positive cells in the brain are widely distributed, some of the cytoplasm of neurons, nerve fibers, glial cell line. suppressor of cytokine signaling 3 studies in recent years to prove: vascular endothelial cells also showed immune SOCS 3-positive.

Function:
SOCS family proteins form part of a classical negative feedback system that regulates cytokine signal transduction. SOCS3 is involved in negative regulation of cytokines that signal through the JAK/STAT pathway. Inhibits cytokine signal transduction by binding to tyrosine kinase receptors including gp130, LIF, erythropoietin, insulin, IL12, GCSF and leptin receptors. Binding to JAK2 inhibits its kinase activity. Suppresses fetal liver erythropoiesis. Regulates onset and maintenance of allergic responses mediated by T-helper type 2 cells. Regulates IL-6 signaling in vivo (By similarity). Probable substrate recognition component of a SCF-like ECS (Elongin BC-CUL2/5-SOCS-box protein) E3 ubiquitin-protein ligase complex which mediates the ubiquitination and subsequent proteasomal degradation of target proteins. Seems to recognize IL6ST (By similarity).

Subunit:
Interacts with multiple activated proteins of the tyrosine kinase signaling pathway including IGF1 receptor, insulin receptor and JAK2. Binding to JAK2 is mediated through the KIR and SH2 domains to a phosphorylated tyrosine residue within the JAK2 JH1 domain. Binds specific activated tyrosine residues of the leptin, EPO, IL12, GSCF and gp130 receptors. Interaction with CSNK1E stabilizes SOCS3 protein. Component of the probable ECS(SOCS3) E3 ubiquitin-protein ligase complex which contains CUL5, RNF7/RBX2, Elongin BC complex and SOCS3. Interacts with CUL5, RNF7, TCEB1 and TCEB2. Interacts with CUL2.

Subcellular Location:
Cytoplasm

Tissue Specificity:
Widely expressed with high expression in heart, placenta, skeletal muscle, peripheral blood leukocytes, fetal and adult lung, and fetal liver and kidney. Lower levels in thymus.

Post-translational modifications:
Phosphorylated on tyrosine residues after stimulation by the cytokines, IL-2, EPO or IGF1.

DISEASE:
Genetic variation in the promoter region of SOCS3 may be associated with susceptibility to atopic dermatitis 4 (ATOD4) [MIM:605805]. Atopic dermatitis [MIM:603165], also known as eczema commonly begins in infancy or early childhook and is characterized by ichy and inflamed skin.

Similarity:
Contains 1 SH2 domain.
Contains 1 SOCS box domain.

SWISS:
O14543

Gene ID:
9021

Database links:

Entrez Gene: 9021 Human

Entrez Gene: 89829 Rat

Omim: 604176 Human

SwissProt: O14543 Human

SwissProt: O88583 Rat

Unigene: 527973 Human

Unigene: 127801 Rat



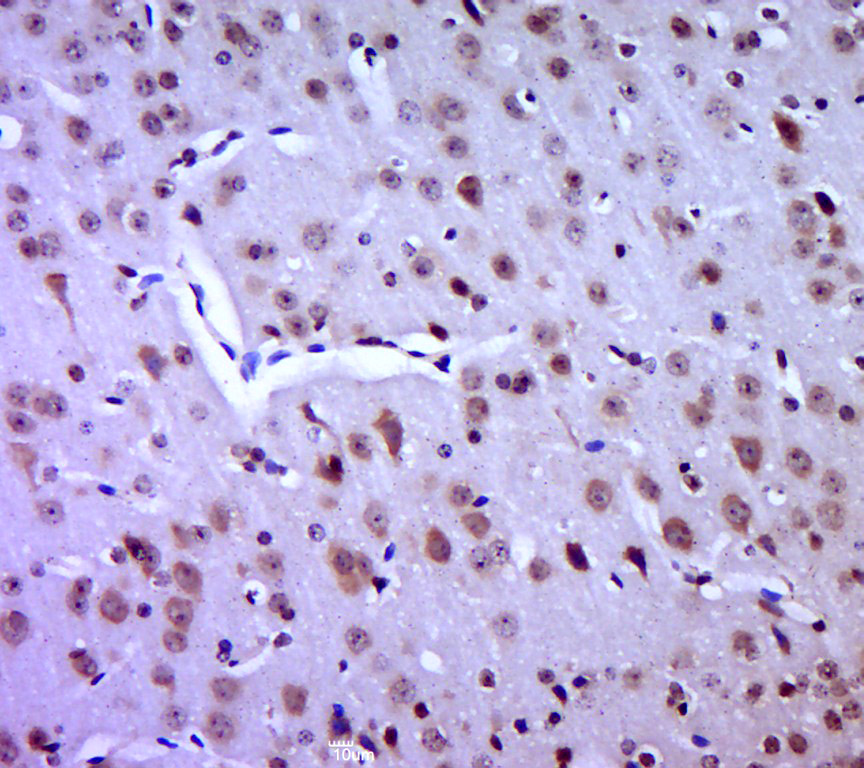
细胞因子信号转导途径抑制蛋白SOCS3阳性细胞在脑内分布广泛,阳性产物主要神经元核内;部分神经元的胞浆、神经纤维、胶质细胞。
细胞激酶信号-3抑制剂近年研究证明:血管内皮细胞也呈SOCS 3免疫阳性.
产品图片
Paraformaldehyde-fixed, paraffin embedded (Rat skeletal muscle); Antigen retrieval by boiling in sodium citrate buffer (pH6.0) for 15min; Block endogenous peroxidase by 3% hydrogen peroxide for 20 minutes; Blocking buffer (normal goat serum) at 37°C for 30min; Antibody incubation with (SOCS3) Polyclonal Antibody, Unconjugated (bs-20752R) at 1:400 overnight at 4°C, followed by operating according to SP Kit(Rabbit) (sp-0023) instructionsand DAB staining.
Paraformaldehyde-fixed, paraffin embedded (mouse brain tissue); Antigen retrieval by boiling in sodium citrate buffer (pH6.0) for 15min; Block endogenous peroxidase by 3% hydrogen peroxide for 20 minutes; Blocking buffer (normal goat serum) at 37°C for 30min; Antibody incubation with (SOCS3) Polyclonal Antibody, Unconjugated (bs-20752R) at 1:400 overnight at 4°C, followed by a conjugated secondary (sp-0023) for 20 minutes and DAB staining.
版权所有 2004-2026 www.bioss.com.cn 北京博奥森生物技术有限公司
通过国际质量管理体系ISO 9001:2015 GB/T 19001-2016    证书编号: 00124Q34771R2M/1100
通过国际医疗器械-质量管理体系ISO 13485:2016 GB/T 42061-2022     证书编号: CQC24QY20047R0M/1100
京ICP备05066980号-1         京公网安备110107000727号