扫码关注公众号           扫码咨询技术支持           扫码咨询技术服务
  
客服热线:400-901-9800  客服QQ:4009019800  技术答疑  技术支持  质量反馈  关于我们  联系我们
产品中心-北京博奥森生物技术有限公司
首页 > 产品中心 > 一抗 > 产品信息
HSP90 beta Rabbit pAb (bs-20654R)  
订购热线:400-901-9800
订购邮箱:sales@bioss.com.cn
订购QQ:  400-901-9800
技术支持:techsupport@bioss.com.cn
50ul/1180.00元
100ul/1980.00元
200ul/2800.00元
大包装/询价

产品编号 bs-20654R
英文名称 HSP90 beta Rabbit pAb
中文名称 热休克蛋白90β/HSP90 β 抗体
别    名 D6S182; HSP84; HSP90B; HSPC2; HSPCB; 90kDa; Hsp84-1; Hsp90; HSP90-BETA; HS90B_HUMAN; HSP90AB1; HSP 90; Heat shock 84 kDa (HSP 84 | HSP84); Heat shock protein family C member 3; HSPC3; HS90B_MOUSE; Tumor-specific transplantation 84 kDa antigen (TSTA); HS90  
研究领域 肿瘤  细胞生物  免疫学  信号转导  细胞凋亡  
抗体来源 Rabbit
克隆类型 Polyclonal
克 隆 号
交叉反应 Human,Rat (predicted: Mouse,Pig,Cow,Horse)
产品应用 IHC-P=1:100-500,IHC-F=1:100-500,IF=1:100-500,Flow-Cyt=3μg/Test
not yet tested in other applications.
optimal dilutions/concentrations should be determined by the end user.
理论分子量 84 kDa
细胞定位 细胞浆 
性    状 Liquid
浓    度 1mg/ml
免 疫 原 KLH conjugated synthetic peptide derived from human HSP90 beta: 401-450/724 
亚    型 IgG
纯化方法 affinity purified by Protein A
缓 冲 液 0.01M TBS (pH7.4) with 1% BSA, 0.02% Proclin300 and 50% Glycerol.
保存条件 Shipped at 4℃. Store at -20℃ for one year. Avoid repeated freeze/thaw cycles.
注意事项 This product as supplied is intended for research use only, not for use in human, therapeutic or diagnostic applications.
PubMed PubMed
产品介绍 This gene encodes a member of the heat shock protein 90 family; these proteins are involved in signal transduction, protein folding and degradation and morphological evolution. This gene encodes the constitutive form of the cytosolic 90 kDa heat-shock protein and is thought to play a role in gastric apoptosis and inflammation. Alternative splicing results in multiple transcript variants. Pseudogenes have been identified on multiple chromosomes. [provided by RefSeq, Dec 2012].

Function:
Molecular chaperone that promotes the maturation, structural maintenance and proper regulation of specific target proteins involved for instance in cell cycle control and signal transduction. Undergoes a functional cycle that is linked to its ATPase activity. This cycle probably induces conformational changes in the client proteins, thereby causing their activation. Interacts dynamically with various co-chaperones that modulate its substrate recognition, ATPase cycle and chaperone function.

Subunit:
Homodimer. Interacts with p53/TP53. Forms a complex with CDK6 and Hsp90/HSP90AB1. Interacts with UNC45A. Binding to UNC45A involves 2 UNC45A monomers per HSP90AB1 dimer. Interacts with CHORDC1 and DNAJC7. Interacts with FKBP4.

Subcellular Location:
Cytoplasm. Melanosome. Note=Identified by mass spectrometry in melanosome fractions from stage I to stage IV.

Post-translational modifications:
Ubiquitinated in the presence of STUB1-UBE2D1 complex (in vitro).
ISGylated.
S-nitrosylated; negatively regulates the ATPase activity (Probable).

Similarity:
Belongs to the heat shock protein 90 family.

SWISS:
P08238

Gene ID:
3326

Database links:

Entrez Gene: 3326 Human

Entrez Gene: 15516 Mouse

Entrez Gene: 301252 Rat

Omim: 140572 Human

SwissProt: P08238 Human

SwissProt: P11499 Mouse

SwissProt: P34058 Rat

Unigene: 509736 Human

Unigene: 2180 Mouse

Unigene: 98667 Rat



HSP是细胞受应激原刺激后诱导产生的一组应激蛋白,与肿瘤发生、增殖及分化有关,HSP90β能够抑制细胞凋亡与分化。
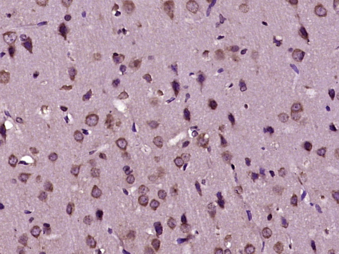
产品图片
Paraformaldehyde-fixed, paraffin embedded (rat brain tissue); Antigen retrieval by boiling in sodium citrate buffer (pH6.0) for 15min; Block endogenous peroxidase by 3% hydrogen peroxide for 20 minutes; Blocking buffer (normal goat serum) at 37°C for 30min; Antibody incubation with (HSP90 beta) Polyclonal Antibody, Unconjugated (bs-20654R) at 1:400 overnight at 4°C, followed by operating according to SP Kit(Rabbit) (sp-0023) instructionsand DAB staining.
Blank control (blue line): A549 (fixed with 70% ethanol (Overnight at 4℃) and then permeabilized with 90% ice-cold methanol for 30 min on ice). Primary Antibody (green line): Rabbit Anti-HSP90 beta antibody (bs-20654R), Dilution: 3μg /10^6 cells; Isotype Control Antibody (orange line): Rabbit IgG . Secondary Antibody (white blue line): Goat anti-rabbit IgG-FITC,dilution: 1μg /test.
版权所有 2004-2026 www.bioss.com.cn 北京博奥森生物技术有限公司
通过国际质量管理体系ISO 9001:2015 GB/T 19001-2016    证书编号: 00124Q34771R2M/1100
通过国际医疗器械-质量管理体系ISO 13485:2016 GB/T 42061-2022     证书编号: CQC24QY20047R0M/1100
京ICP备05066980号-1         京公网安备110107000727号