扫码关注公众号           扫码咨询技术支持           扫码咨询技术服务
  
客服热线:400-901-9800  客服QQ:4009019800  技术答疑  技术支持  质量反馈  关于我们  联系我们
产品中心-北京博奥森生物技术有限公司
首页 > 产品中心 > 一抗 > 产品信息
PSD95 Rabbit pAb (bs-20650R)  
订购热线:400-901-9800
订购邮箱:sales@bioss.com.cn
订购QQ:  400-901-9800
技术支持:techsupport@bioss.com.cn
50ul/1180.00元
100ul/1980.00元
200ul/2800.00元
大包装/询价

产品编号 bs-20650R
英文名称 PSD95 Rabbit pAb
中文名称 突触后密度蛋白95抗体
别    名 Discs large homolog 4; Disks large homolog 4; DLG 4; DLG4; DLG4_HUMAN; FLJ97752; FLJ98574; Human post synaptic density protein 95; Human post-synaptic density protein 95; Post synaptic density protein 95; Postsynaptic density protein 95; PSD 95; PSD-95; PSD95; SAP 90; SAP-90; SAP90; Synapse associated protein 90; Synapse-associated protein 90; Tax interaction protein 15.  
Specific References  (1)     |     bs-20650R has been referenced in 1 publications.
[IF=2.645] Xiao H et al. Osthole ameliorates cognitive impairments via augmenting neuronal population in APP/PS1 transgenic mice. Neurosci Res . 2020 Apr 14;S0168-0102(20)30008-0.  ICC,WB ;  mouse.  
研究领域 细胞生物  免疫学  神经生物学  
抗体来源 Rabbit
克隆类型 Polyclonal
克 隆 号
交叉反应 Human,Mouse,Rat (predicted: Rabbit,Pig,Sheep,Horse)
产品应用 IHC-P=1:100-500,IHC-F=1:100-500,IF=1:100-500,Flow-Cyt=1μg/Test
not yet tested in other applications.
optimal dilutions/concentrations should be determined by the end user.
理论分子量 80 kDa
检测分子量
细胞定位 细胞膜 
性    状 Liquid
浓    度 1mg/ml
免 疫 原 KLH conjugated synthetic peptide derived from human PSD95: 251-350/724 
亚    型 IgG
纯化方法 affinity purified by Protein A
缓 冲 液 0.01M TBS (pH7.4) with 1% BSA, 0.02% Proclin300 and 50% Glycerol.
保存条件 Shipped at 4℃. Store at -20℃ for one year. Avoid repeated freeze/thaw cycles.
注意事项 This product as supplied is intended for research use only, not for use in human, therapeutic or diagnostic applications.
PubMed PubMed
产品介绍 This gene encodes a member of the membrane-associated guanylate kinase (MAGUK) family. It heteromultimerizes with another MAGUK protein, DLG2, and is recruited into NMDA receptor and potassium channel clusters. These two MAGUK proteins may interact at postsynaptic sites to form a multimeric scaffold for the clustering of receptors, ion channels, and associated signaling proteins. Multiple transcript variants encoding different isoforms have been found for this gene. [provided by RefSeq, Jul 2008]

Function:
Interacts with the cytoplasmic tail of NMDA receptor subunits and shaker-type potassium channels. Required for synaptic plasticity associated with NMDA receptor signaling. Overexpression or depletion of DLG4 changes the ratio of excitatory to inhibitory synapses in hippocampal neurons. May reduce the amplitude of ACCN3 acid-evoked currents by retaining the channel intracellularly. May regulate the intracellular trafficking of ADR1B.

Subunit:
Interacts with ANKS1B, KLHL17 and PRR7. Interacts through its PDZ domains with NETO1. Interacts through its first two PDZ domains with GRIN2A, GRIN2B, GRIN2C, GRIN2D, ACCN3, certain splice forms of GRIN1, KCND2, CXADR and SYNGAP1. Interacts through its second PDZ domain with the PDZ domain of NOS1 or the C-terminus of CAPON. May interact with HTR2A. Interacts through its guanylate kinase-like domain with DLGAP1/GKAP, DLGAP2, DLGAP3, DLGAP4, MAP1A and BEGAIN. Interacts through its third PDZ domain with CRIPT (By similarity). Interacts through its first two PDZ domains with KCNA1, KCNA2, KCNA3, KCNA4 and ERBB4. Interacts through its first PDZ domain with GRIK2, KCNA4 and CRIPT. Interacts through its third PDZ domain with NLGN1, and probably with NLGN2 and NLGN3. Interacts through its guanylate kinase-like domain with KIF13B. Isoform 2 interacts through an L27 domain with HGS/HRS and the first L27 domain of CASK. Interacts with LRFN1, LRFN2 and LRFN4. Interacts with ANO2, ADAM22 and LGI1. Interacts with FRMPD4 (via C-terminus). Interacts (via PDZ1 and PDZ2 domains) with LRRC4; LRRC4B and SEMA4C. Interacts (via guanylate kinase-like domain) with SIPA1L1.

Subcellular Location:
Cell membrane; Peripheral membrane protein. Cell junction, synapse, postsynaptic cell membrane, postsynaptic density. Cell junction, synapse. Cell junction, synapse, synaptosome. Note=High levels in postsynaptic density of neurons in the forebrain. Also in presynaptic region of inhibitory synapses formed by cerebellar basket cells on axon hillocks of Purkinje cells.

Tissue Specificity:
Brain.

Post-translational modifications:
Palmitoylation of isoform 1 is required for targeting to postsynaptic density.

Similarity:
Belongs to the MAGUK family.
Contains 1 guanylate kinase-like domain.
Contains 3 PDZ (DHR) domains.
Contains 1 SH3 domain.

SWISS:
P78352

Gene ID:
1742

Database links:

Entrez Gene: 1742 Human

Entrez Gene: 13385 Mouse

Entrez Gene: 29495 Rat

Omim: 602887 Human

SwissProt: P78352 Human

SwissProt: Q62108 Mouse

SwissProt: P31016 Rat

Unigene: 463928 Human

Unigene: 27256 Mouse

Unigene: 9765 Rat



该蛋白质PSD95能夠帮助建立神经突触的架构,并且促成突触其他部分的成熟,例如加強目标細胞上的glutamate受体的聚集、增加树突棘(dendritic spines)的数量和大小以及增加神经传导物质glutamate (谷氨酸盐)释放的量。这种蛋白质与阿滋海默症有关。
产品图片
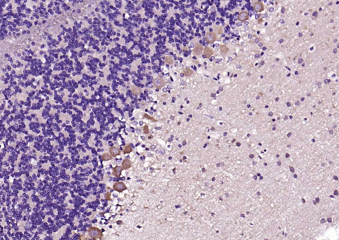
Paraformaldehyde-fixed, paraffin embedded (Rat brain); Antigen retrieval by boiling in sodium citrate buffer (pH6.0) for 15min; Block endogenous peroxidase by 3% hydrogen peroxide for 20 minutes; Blocking buffer (normal goat serum) at 37°C for 30min; Antibody incubation with (PSD95) Polyclonal Antibody, Unconjugated (bs-20650R) at 1:500 overnight at 4°C, followed by a conjugated secondary (sp-0023) for 20 minutes and DAB staining.
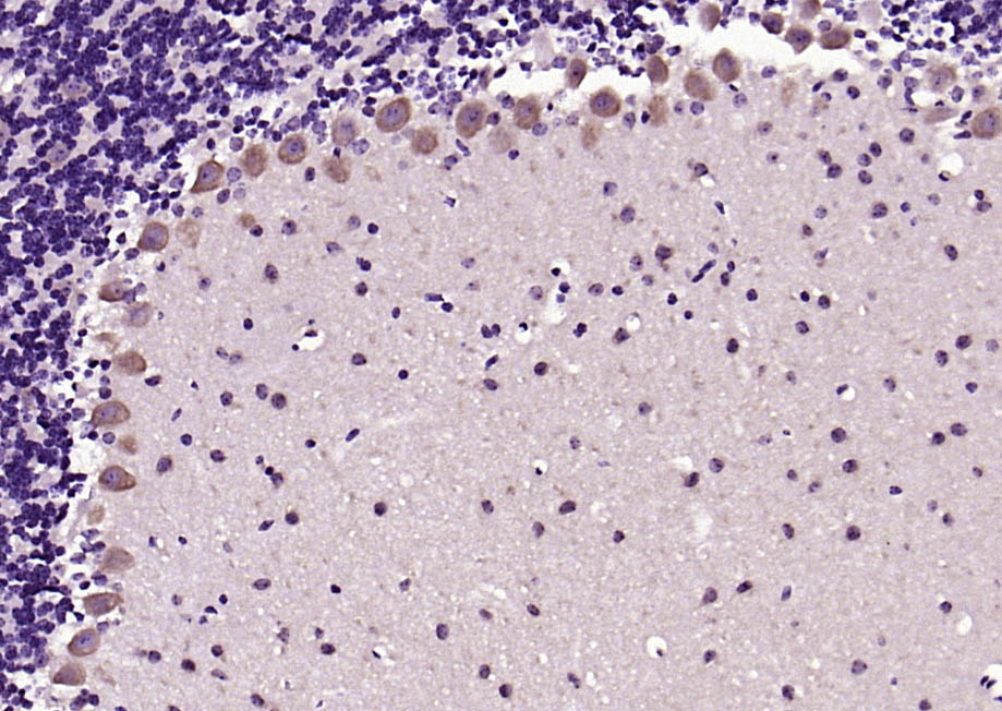
Paraformaldehyde-fixed, paraffin embedded (rat cerebellum); Antigen retrieval by boiling in sodium citrate buffer (pH6.0) for 15min; Block endogenous peroxidase by 3% hydrogen peroxide for 20 minutes; Blocking buffer (normal goat serum) at 37°C for 30min; Antibody incubation with (PSD95) Polyclonal Antibody, Unconjugated (bs-20650R) at 1:200 overnight at 4°C, followed by operating according to SP Kit(Rabbit) (sp-0023) instructionsand DAB staining.
Paraformaldehyde-fixed, paraffin embedded (mouse cerebellum); Antigen retrieval by boiling in sodium citrate buffer (pH6.0) for 15min; Block endogenous peroxidase by 3% hydrogen peroxide for 20 minutes; Blocking buffer (normal goat serum) at 37°C for 30min; Antibody incubation with (PSD95) Polyclonal Antibody, Unconjugated (bs-20650R) at 1:200 overnight at 4°C, followed by operating according to SP Kit(Rabbit) (sp-0023) instructionsand DAB staining.
Blank control (blue line): mouse brain (fixed with 2% paraformaldehyde for 10 min at room temperature, and then stained with Primary Antibody for 30 min at room temperature). Primary Antibody (green line): Rabbit Anti- PSD95 antibody (bs-20650R), Dilution: 1μg /10^6 cells; Isotype Control Antibody (orange line): Rabbit IgG . Secondary Antibody (white blue line): Goat anti-rabbit IgG-FTIC,Dilution: 1μg /test.
版权所有 2004-2026 www.bioss.com.cn 北京博奥森生物技术有限公司
通过国际质量管理体系ISO 9001:2015 GB/T 19001-2016    证书编号: 00124Q34771R2M/1100
通过国际医疗器械-质量管理体系ISO 13485:2016 GB/T 42061-2022    证书编号: CQC24QY10047R0M/1100
京ICP备05066980号-1         京公网安备110107000727号