扫码关注公众号           扫码咨询技术支持           扫码咨询技术服务
  
客服热线:400-901-9800  客服QQ:4009019800  技术答疑  技术支持  质量反馈  关于我们  联系我们
产品中心-北京博奥森生物技术有限公司
首页 > 产品中心 > 一抗 > 产品信息
CNOT6 Rabbit pAb (bs-20636R)  
订购热线:400-901-9800
订购邮箱:sales@bioss.com.cn
订购QQ:  400-901-9800
技术支持:techsupport@bioss.com.cn
50ul/1180.00元
100ul/1980.00元
200ul/2800.00元
大包装/询价

产品编号 bs-20636R
英文名称 CNOT6 Rabbit pAb
中文名称 细胞表面趋化因子受体4相关蛋白6抗体
别    名 carbon catabolite repression 4 protein; Carbon catabolite repressor protein 4 homolog; CCR4; CCR4 carbon catabolite repression 4 like; CCR4 carbon catabolite repression 4-like; CCR4-NOT transcription complex, subunit 6; CNOT6; Cytoplasmic deadenylase.  
研究领域 细胞生物  转录调节因子  表观遗传学  
抗体来源 Rabbit
克隆类型 Polyclonal
克 隆 号
交叉反应 Mouse (predicted: Human,Rat,Pig,Sheep,Cow,Dog,Horse)
产品应用 IHC-P=1:100-500,IHC-F=1:100-500,IF=1:100-500
not yet tested in other applications.
optimal dilutions/concentrations should be determined by the end user.
理论分子量 63 kDa
检测分子量
细胞定位 细胞核 细胞浆 
性    状 Liquid
浓    度 1mg/ml
免 疫 原 KLH conjugated synthetic peptide derived from human CNOT6: 301-400/557 
亚    型 IgG
纯化方法 affinity purified by Protein A
缓 冲 液 0.01M TBS (pH7.4) with 1% BSA, 0.02% Proclin300 and 50% Glycerol.
保存条件 Shipped at 4℃. Store at -20℃ for one year. Avoid repeated freeze/thaw cycles.
注意事项 This product as supplied is intended for research use only, not for use in human, therapeutic or diagnostic applications.
PubMed PubMed
产品介绍 CNOT6 is a widely expressed subunit of the CCR4-NOT transcription complex. The CCR4-NOT complex is an evolutionarily conserved, multi-component complex known to be involved in transcription as well as mRNA degradation. Various subunits (e.g. CNOT1, CNOT3) are involved in influencing nuclear hormone receptor activities. The CCR4-NOT complex is also involved in the regulation of Histone H3 lysine 4 methylation through a ubiquitin-dependent pathway that likely involves the proteasome. CNOT6 belongs to the CCR4/nocturin family and contains three LRR (leucine-rich) repeats. In the cytoplasm, CNOT6 acts as a poly(A) nuclease involved in mRNA decay mediated by the major-protein-coding determinant of instability (mCRD) of the Fos gene.

Function:
Poly(A) nuclease involved in mRNA decay mediated by the major-protein-coding determinant of instability (mCRD) of the FOS gene in the cytoplasm. Has 3'-5' RNase activity. The CCR4-NOT complex functions as general transcription regulation complex (By similarity). In the presence of ZNF335, enhances ligand-dependent transcriptional activity of nuclear hormone receptors, including RARA. The increase of ligand-dependent ESR1-mediated transcription is much smaller, if any.

Subunit:
Subunit of the CCR4-NOT core complex that contains CHAF1A, CHAF1B, CNOT1, CNOT2, CNOT3, CNOT4, CNOT6 and CNOT8. Interacts with UNR. Interacts with ZNF335.

Subcellular Location:
Cytoplasmic and Nuclear.

Similarity:
Belongs to the CCR4/nocturin family.
Contains 4 LRR (leucine-rich) repeats.

SWISS:
Q9ULM6

Gene ID:
57472

Database links:

Entrez Gene: 481463 Dog

Entrez Gene: 57472 Human

Entrez Gene: 104625 Mouse

Entrez Gene: 287249 Rat

Omim: 608951 Human

SwissProt: Q9ULM6 Human

SwissProt: Q8K3P5 Mouse

SwissProt: Q6AXU9 Rat

Unigene: 608380 Human

Unigene: 247113 Mouse

Unigene: 431753 Mouse

Unigene: 93562 Rat



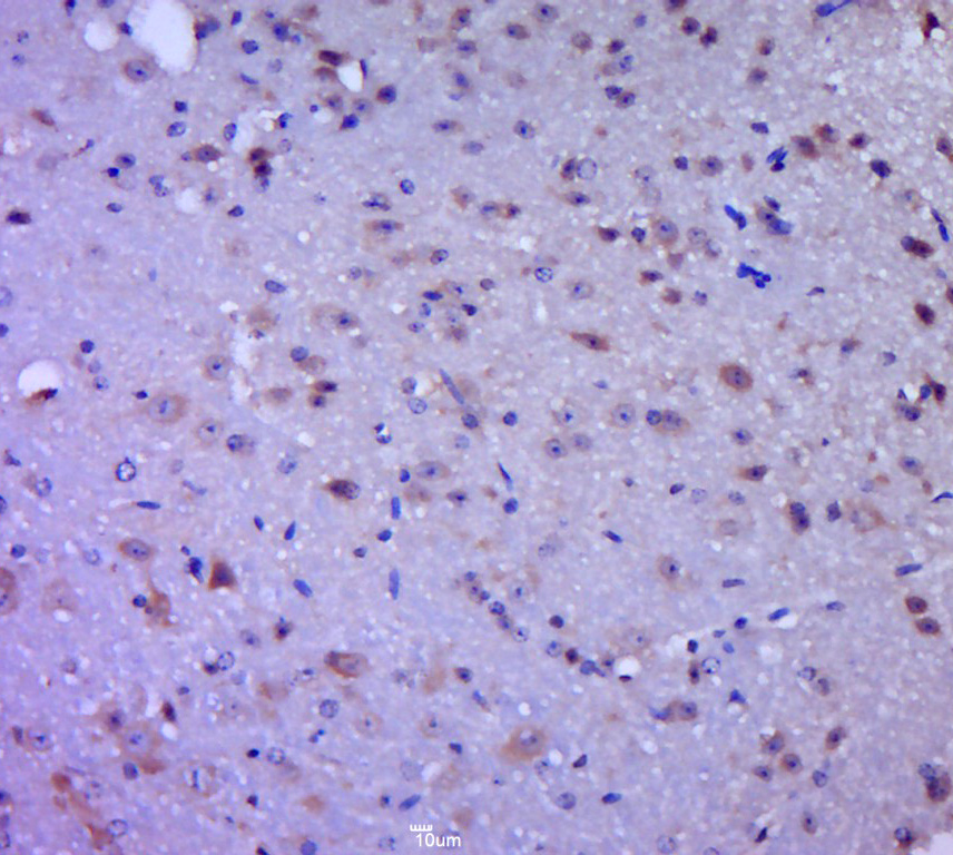
产品图片
Paraformaldehyde-fixed, paraffin embedded (mouse brain tissue); Antigen retrieval by boiling in sodium citrate buffer (pH6.0) for 15min; Block endogenous peroxidase by 3% hydrogen peroxide for 20 minutes; Blocking buffer (normal goat serum) at 37°C for 30min; Antibody incubation with (CNOT6) Polyclonal Antibody, Unconjugated (bs-20636R) at 1:400 overnight at 4°C, followed by a conjugated secondary (sp-0023) for 20 minutes and DAB staining.
版权所有 2004-2026 www.bioss.com.cn 北京博奥森生物技术有限公司
通过国际质量管理体系ISO 9001:2015 GB/T 19001-2016    证书编号: 00124Q34771R2M/1100
通过国际医疗器械-质量管理体系ISO 13485:2016 GB/T 42061-2022     证书编号: CQC24QY20047R0M/1100
京ICP备05066980号-1         京公网安备110107000727号