扫码关注公众号           扫码咨询技术支持           扫码咨询技术服务
  
客服热线:400-901-9800  客服QQ:4009019800  技术答疑  技术支持  质量反馈  人才招聘  关于我们  联系我们
产品中心-北京博奥森生物技术有限公司
首页 > 产品中心 > 一抗 > 产品信息
ANKRD54 Rabbit pAb (bs-20549R)  
订购热线:400-901-9800
订购邮箱:sales@bioss.com.cn
订购QQ:  400-901-9800
技术支持:techsupport@bioss.com.cn
50ul/1180.00元
100ul/1980.00元
200ul/2800.00元
大包装/询价

产品编号 bs-20549R
英文名称 ANKRD54 Rabbit pAb
中文名称 锚蛋白重复域54抗体
别    名 LIAR; C730048E16Rik; EST1068184; EST475269; RGD1309552; ANR54_HUMAN; ANKRD54; Lyn-interacting ankyrin repeat protein; ANR54_MOUSE; ANR54_RAT;   
研究领域 细胞生物  免疫学  
抗体来源 Rabbit
克隆类型 Polyclonal
克 隆 号
交叉反应 Human,Mouse,Rat
产品应用 IHC-P=1:100-500,IHC-F=1:100-500,IF=1:100-500
not yet tested in other applications.
optimal dilutions/concentrations should be determined by the end user.
理论分子量 32 kDa
细胞定位 细胞核 细胞浆 
性    状 Liquid
浓    度 1mg/ml
免 疫 原 KLH conjugated synthetic peptide derived from human ANKRD54: 181-280/300 
亚    型 IgG
纯化方法 affinity purified by Protein A
缓 冲 液 Preservative: 0.02% Proclin300, Constituents: 1% BSA, 0.01M PBS, pH7.4.
保存条件 Shipped at 4℃. Store at -20℃ for one year. Avoid repeated freeze/thaw cycles.
注意事项 This product as supplied is intended for research use only, not for use in human, therapeutic or diagnostic applications.
PubMed PubMed
产品介绍 ANKRD54 is a 300 amino acid protein that contains four ankyrin repeats and is expressed as two alternatively spliced isoforms. The gene encoding human ANKRD54 maps to chromosome 22, which houses over 500 genes and is the second smallest human chromosome. Mutations in several of the genes that map to chromosome 22 are involved in the development of Phelan-McDermid syndrome, neurofibromatosis type 2, autism and schizophrenia. Additionally, translocations between chromosomes 9 and 22 may lead to the formation of the Philadelphia chromosome and the subsequent production of the novel fusion protein BCR-Abl, a potent cell proliferation activator found in several types of leukemias.

Function:
Plays an important role in regulating intracellular signaling events associated with erythroid terminal differentiation.

Subunit:
Interacts (via ankyrin repeat region) with LYN (via SH3-domain) in an activation-independent status of LYN (By similarity). Forms a multiprotein complex with LYN and HCLS1. Interacts with TSN2, VAV1, DBNL AND LASP1.

Subcellular Location:
Nucleus. Cytoplasm. Midbody. Note=Shuttles between nucleus and cytoplasm during the cell cycle. EPO stimulation induces nuclear accumulation.

Similarity:
Contains 4 ANK repeats.

SWISS:
Q6NXT1

Gene ID:
129138

Database links:

Entrez Gene: 129138 Human

Entrez Gene: 223690 Mouse

Entrez Gene: 362957 Rat

Omim: 613383 Human

SwissProt: Q6NXT1 Human

SwissProt: Q91WK7 Mouse

SwissProt: Q566C8 Rat

Unigene: 135259 Human

Unigene: 24262 Mous




产品图片
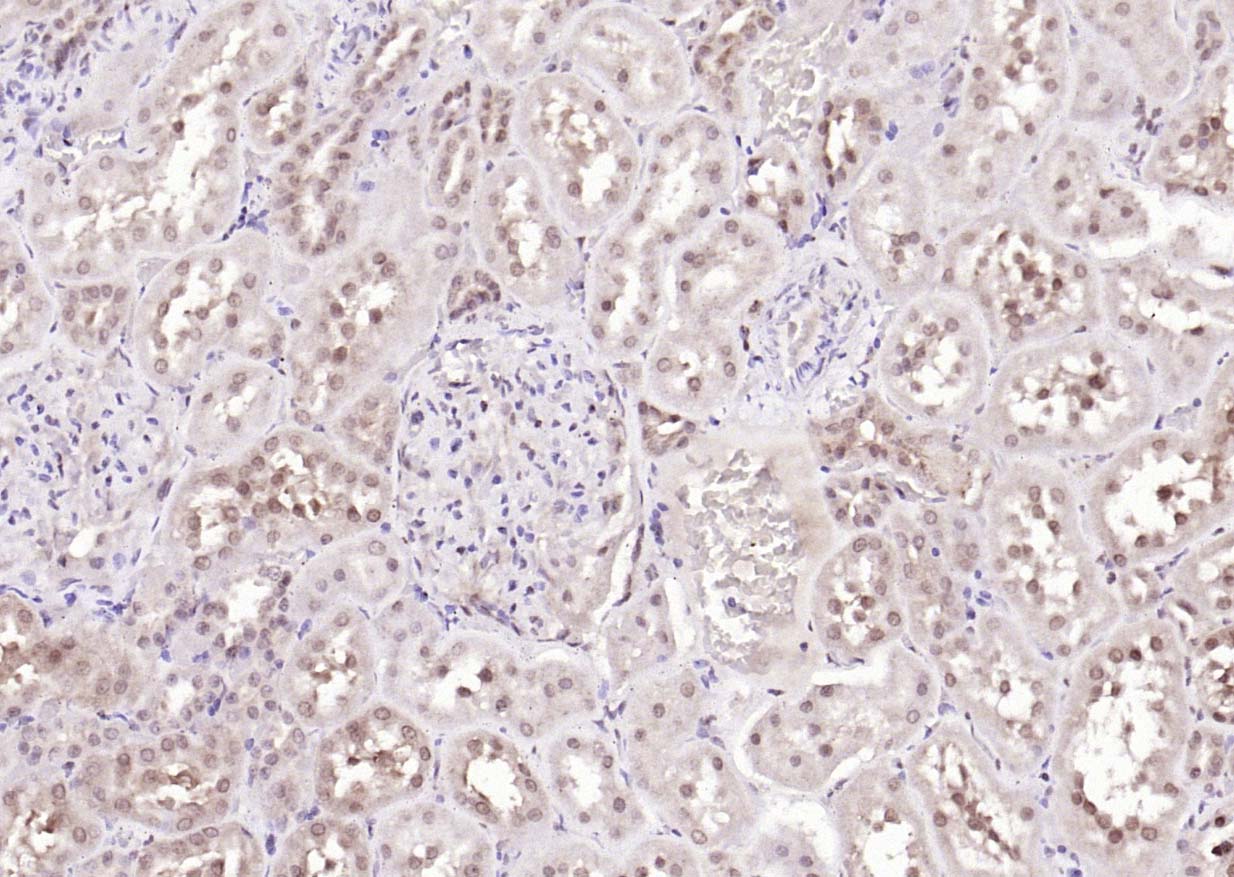
Paraformaldehyde-fixed, paraffin embedded (rat kidney); Antigen retrieval by boiling in sodium citrate buffer (pH6.0) for 15min; Block endogenous peroxidase by 3% hydrogen peroxide for 20 minutes; Blocking buffer (normal goat serum) at 37°C for 30min; Antibody incubation with (ANKRD54) Polyclonal Antibody, Unconjugated (bs-20549R) at 1:200 overnight at 4°C, followed by operating according to SP Kit(Rabbit) (sp-0023) instructionsand DAB staining.
Paraformaldehyde-fixed, paraffin embedded (mouse kidney); Antigen retrieval by boiling in sodium citrate buffer (pH6.0) for 15min; Block endogenous peroxidase by 3% hydrogen peroxide for 20 minutes; Blocking buffer (normal goat serum) at 37°C for 30min; Antibody incubation with (ANKRD54) Polyclonal Antibody, Unconjugated (bs-20549R) at 1:200 overnight at 4°C, followed by operating according to SP Kit(Rabbit) (sp-0023) instructionsand DAB staining.
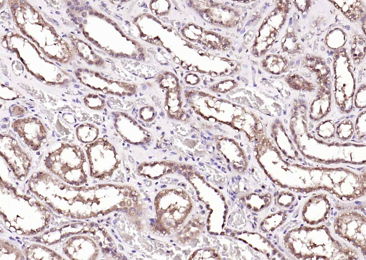
Paraformaldehyde-fixed, paraffin embedded (Human kidney); Antigen retrieval by boiling in sodium citrate buffer (pH6.0) for 15min; Block endogenous peroxidase by 3% hydrogen peroxide for 20 minutes; Blocking buffer (normal goat serum) at 37°C for 30min; Antibody incubation with (ANKRD54) Polyclonal Antibody, Unconjugated (bs-20549R) at 1:200 overnight at 4°C, followed by operating according to SP Kit(Rabbit) (sp-0023) instructionsand DAB staining.
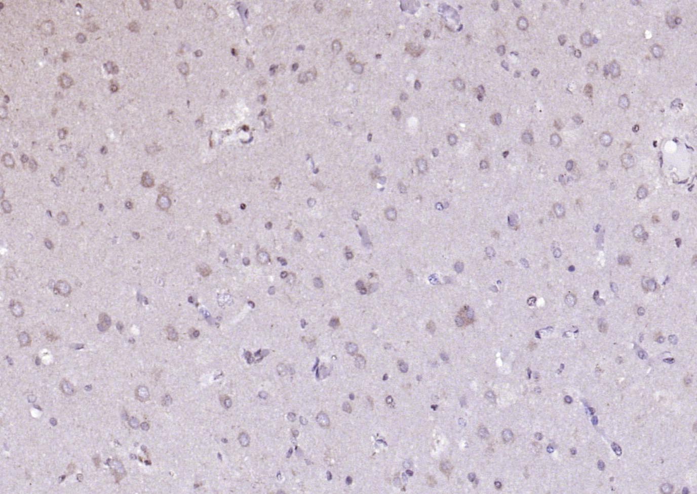
Paraformaldehyde-fixed, paraffin embedded (human brain); Antigen retrieval by boiling in sodium citrate buffer (pH6.0) for 15min; Block endogenous peroxidase by 3% hydrogen peroxide for 20 minutes; Blocking buffer (normal goat serum) at 37°C for 30min; Antibody incubation with (ANKRD54) Polyclonal Antibody, Unconjugated (bs-20549R) at 1:200 overnight at 4°C, followed by operating according to SP Kit(Rabbit) (sp-0023) instructionsand DAB staining.
版权所有 2004-2026 www.bioss.com.cn 北京博奥森生物技术有限公司
通过国际质量管理体系ISO 9001:2015 GB/T 19001-2016    证书编号: 00124Q34771R2M/1100
通过国际医疗器械-质量管理体系ISO 13485:2016 GB/T 42061-2022     证书编号: CQC24QY20047R0M/1100
京ICP备05066980号-1         京公网安备110107000727号