扫码关注公众号           扫码咨询技术支持           扫码咨询技术服务
  
客服热线:400-901-9800  客服QQ:4009019800  技术答疑  技术支持  质量反馈  关于我们  联系我们
产品中心-北京博奥森生物技术有限公司
首页 > 产品中心 > 一抗 > 产品信息
SH3D19 Rabbit pAb (bs-21172R)  
订购热线:400-901-9800
订购邮箱:sales@bioss.com.cn
订购QQ:  400-901-9800
技术支持:techsupport@bioss.com.cn
50ul/1180.00元
100ul/1980.00元
200ul/2800.00元
大包装/询价

产品编号 bs-21172R
英文名称 SH3D19 Rabbit pAb
中文名称 SH3D19抗体
别    名 EBP; EVE1; Eve-1; Kryn; SH3P19; SH319_HUMAN; SH3D19; ADAM-binding protein Eve-1; EEN-binding protein (EBP);   
研究领域 细胞生物  免疫学  
抗体来源 Rabbit
克隆类型 Polyclonal
克 隆 号
交叉反应 Mouse,Rat (predicted: Human,Sheep,Cow,Dog,Horse)
产品应用 WB=1:500-2000,IHC-P=1:100-500,IHC-F=1:100-500,IF=1:100-500
not yet tested in other applications.
optimal dilutions/concentrations should be determined by the end user.
理论分子量 86 kDa
细胞定位 细胞核 细胞浆 
性    状 Liquid
浓    度 1mg/ml
免 疫 原 KLH conjugated synthetic peptide derived from human SH3D19: 301-400/790 
亚    型 IgG
纯化方法 affinity purified by Protein A
缓 冲 液 Preservative: 0.02% Proclin300, Constituents: 1% BSA, 0.01M PBS, pH7.4.
保存条件 Shipped at 4℃. Store at -20℃ for one year. Avoid repeated freeze/thaw cycles.
注意事项 This product as supplied is intended for research use only, not for use in human, therapeutic or diagnostic applications.
PubMed PubMed
产品介绍 This gene encodes a multiple SH3 domain-containing protein, which interacts with other proteins, such as EBP and members of ADAM family, via the SH3 domains. This protein may be involved in suppression of Ras-induced cellular transformation and Ras-mediated activation of ELK1 by EBP, and regulation of ADAM proteins in the signaling of EGFR-ligand shedding. Alternatively spliced transcript variants encoding different isoforms have been found for this gene. [provided by RefSeq, Aug 2011]

Function:
May play a role in regulating A disintegrin and metalloproteases (ADAMs) in the signaling of EGFR-ligand shedding. May be involved in suppression of Ras-induced cellular transformation and Ras-mediated activation of ELK1.

Subcellular Location:
Cytoplasm. Nucleus. Is recruited to the nucleus by the MLL-EEN fusion protein;.

Tissue Specificity:
Widely expressed with highest levels in heart, skeletal muscle, kidney, liver, placenta, small intestine and lung. Expressed at low levels in colon, thymus, spleen and leukocytes.

Similarity:
Contains 5 SH3 domains.

SWISS:
Q5HYK7

Gene ID:
152503

Database links:

Entrez Gene: 482645 Dog

Entrez Gene: 100727056 Guinea pig

Entrez Gene: 100062398 Horse

Entrez Gene: 152503 Human

Entrez Gene: 100518918 Pig

Entrez Gene: 100353862 Rabbit

Omim: 608674 Human

SwissProt: Q5HYK7 Human

Unigene: 728240 Human



产品图片
Sample: Heart (mouse)cell Lysate at 40 ug Primary: Anti- SH3D19 (bs-21172R)at 1/300 dilution Secondary: IRDye800CW Goat Anti-RabbitIgG at 1/20000 dilution Predicted band size: 86 kD Observed band size:86 kD
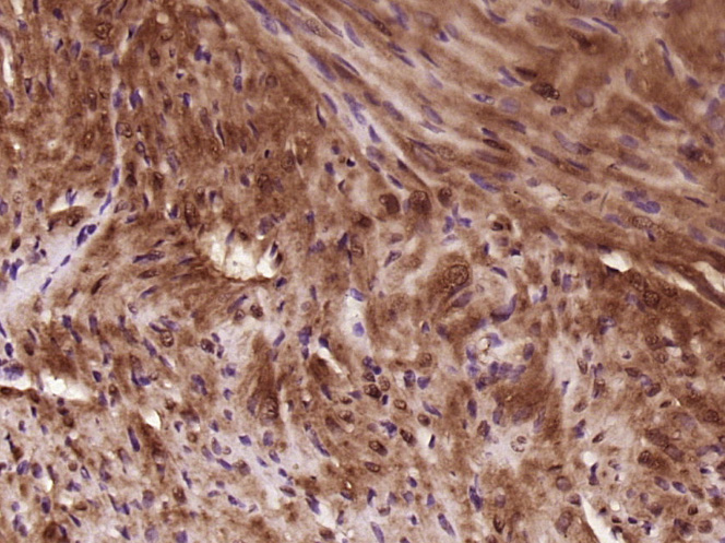
Paraformaldehyde-fixed, paraffin embedded (Rat heart); Antigen retrieval by boiling in sodium citrate buffer (pH6.0) for 15min; Block endogenous peroxidase by 3% hydrogen peroxide for 20 minutes; Blocking buffer (normal goat serum) at 37°C for 30min; Antibody incubation with (SH3D19) Polyclonal Antibody, Unconjugated (bs-21172R) at 1:400 overnight at 4°C, followed by operating according to SP Kit(Rabbit) (sp-0023) instructionsand DAB staining.
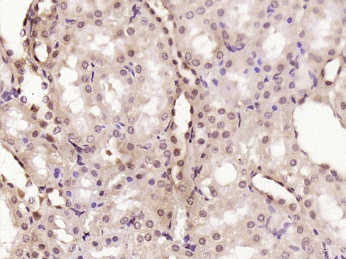
Paraformaldehyde-fixed, paraffin embedded (Rat kidney); Antigen retrieval by boiling in sodium citrate buffer (pH6.0) for 15min; Block endogenous peroxidase by 3% hydrogen peroxide for 20 minutes; Blocking buffer (normal goat serum) at 37°C for 30min; Antibody incubation with (SH3D19) Polyclonal Antibody, Unconjugated (bs-21172R) at 1:400 overnight at 4°C, followed by operating according to SP Kit(Rabbit) (sp-0023) instructionsand DAB staining.
版权所有 2004-2026 www.bioss.com.cn 北京博奥森生物技术有限公司
通过国际质量管理体系ISO 9001:2015 GB/T 19001-2016    证书编号: 00124Q34771R2M/1100
通过国际医疗器械-质量管理体系ISO 13485:2016 GB/T 42061-2022     证书编号: CQC24QY20047R0M/1100
京ICP备05066980号-1         京公网安备110107000727号