扫码关注公众号           扫码咨询技术支持           扫码咨询技术服务
  
客服热线:400-901-9800  客服QQ:4009019800  技术答疑  技术支持  质量反馈  关于我们  联系我们
产品中心-北京博奥森生物技术有限公司
首页 > 产品中心 > 一抗 > 产品信息
Bcl2A1 Rabbit pAb (bs-20163R)  
订购热线:400-901-9800
订购邮箱:sales@bioss.com.cn
订购QQ:  400-901-9800
技术支持:techsupport@bioss.com.cn
50ul/1180.00元
100ul/1980.00元
200ul/2800.00元
大包装/询价

产品编号 bs-20163R
英文名称 Bcl2A1 Rabbit pAb
中文名称 BCL2相关蛋白A1抗体
别    名 A1; Bcl2a1; Bfl-1; Hbpa1; Bcl2a1d; B2LA1_MOUSE; A1-A; Hemopoietic-specific early response protein; Protein BFL-1; Bcl2a1a; Bfl1; ACC-1; ACC-2; ACC1; ACC2; BCL2L5; GRS;   
研究领域 细胞生物  细胞凋亡  
抗体来源 Rabbit
克隆类型 Polyclonal
克 隆 号
交叉反应 Mouse,Rat
产品应用 WB=1:500-2000,IHC-P=1:100-500,IHC-F=1:100-500,IF=1:100-500
not yet tested in other applications.
optimal dilutions/concentrations should be determined by the end user.
理论分子量 29 kDa
细胞定位 细胞浆 
性    状 Liquid
浓    度 1mg/ml
免 疫 原 KLH conjugated synthetic peptide derived from mouse Bcl2A1: 11-80/172 
亚    型 IgG
纯化方法 affinity purified by Protein A
缓 冲 液 Preservative: 0.02% Proclin300, Constituents: 1% BSA, 0.01M PBS, pH7.4.
保存条件 Shipped at 4℃. Store at -20℃ for one year. Avoid repeated freeze/thaw cycles.
注意事项 This product as supplied is intended for research use only, not for use in human, therapeutic or diagnostic applications.
PubMed PubMed
产品介绍 This gene encodes a member of the BCL-2 protein family. The proteins of this family form hetero- or homodimers and act as anti- and pro-apoptotic regulators that are involved in a wide variety of cellular activities such as embryonic development, homeostasis and tumorigenesis. The protein encoded by this gene is able to reduce the release of pro-apoptotic cytochrome c from mitochondria and block caspase activation. This gene is a direct transcription target of NF-kappa B in response to inflammatory mediators, and is up-regulated by different extracellular signals, such as granulocyte-macrophage colony-stimulating factor (GM-CSF), CD40, phorbol ester and inflammatory cytokine TNF and IL-1, which suggests a cytoprotective function that is essential for lymphocyte activation as well as cell survival. Alternatively spliced transcript variants encoding different isoforms have been found for this gene. [provided by RefSeq, Jul 2008]

Function:
Retards apoptosis induced by IL-3 deprivation. May function in the response of hemopoietic cells to external signals and in maintaining endothelial survival during infection.

Subunit:
Interacts directly with BAK1, BID, BMF and BBC3. Interacts directly with BCL2L11/BIM. Interacts with BAX isoform Sigma.

Subcellular Location:
Cytoplasm.

Tissue Specificity:
Seems to be restricted to the hematopoietic compartment. Expressed in peripheral blood, spleen, and bone marrow, at moderate levels in lung, small intestine and testis, at a minimal levels in other tissues. Also found in vascular smooth muscle cells and hematopoietic malignancies.

Similarity:
Belongs to the Bcl-2 family.

SWISS:
Q07440

Gene ID:
12044

Database links:

Entrez Gene: 12044 Mouse

Entrez Gene: 170929 Rat

SwissProt: Q07440 Mouse

Unigene: 425593 Mouse

Unigene: 479217 Mouse

Unigene: 19770 Rat



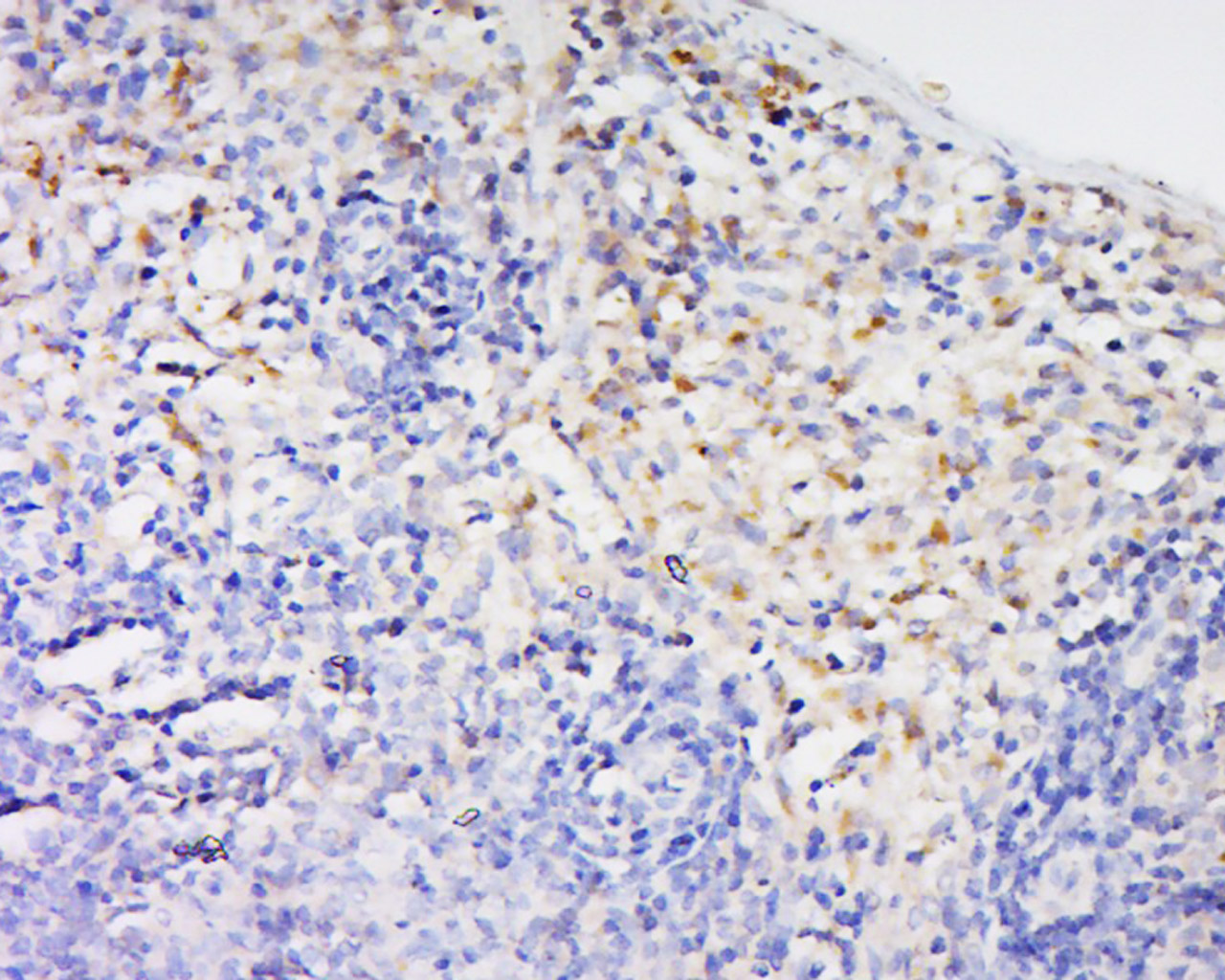
产品图片
Sample: Heart (Mouse) Lysate at 40 ug Primary: Anti- Bcl2A1 (bs-20163R) at 1/300 dilution Secondary: IRDye800CW Goat Anti-Rabbit IgG at 1/20000 dilution Predicted band size: 29kD Observed band size: 29kD
Tissue/cell: rat spleen tissue; 4% Paraformaldehyde-fixed and paraffin-embedded; Antigen retrieval: citrate buffer ( 0.01M, pH 6.0 ), Boiling bathing for 15min; Block endogenous peroxidase by 3% Hydrogen peroxide for 30min; Blocking buffer (normal goat serum,C-0005) at 37℃ for 20 min; Incubation: Anti-Bcl2A1 Polyclonal Antibody, Unconjugated(bs-20163R) 1:500, overnight at 4°C, followed by conjugation to the secondary antibody(SP-0023) and DAB(C-0010) staining
版权所有 2004-2026 www.bioss.com.cn 北京博奥森生物技术有限公司
通过国际质量管理体系ISO 9001:2015 GB/T 19001-2016    证书编号: 00124Q34771R2M/1100
通过国际医疗器械-质量管理体系ISO 13485:2016 GB/T 42061-2022     证书编号: CQC24QY20047R0M/1100
京ICP备05066980号-1         京公网安备110107000727号