扫码关注公众号           扫码咨询技术支持           扫码咨询技术服务
  
客服热线:400-901-9800  客服QQ:4009019800  技术答疑  技术支持  质量反馈  关于我们  联系我们
产品中心-北京博奥森生物技术有限公司
首页 > 产品中心 > 一抗 > 产品信息
NXT2 Rabbit pAb (bs-4412R)  
订购热线:400-901-9800
订购邮箱:sales@bioss.com.cn
订购QQ:  400-901-9800
技术支持:techsupport@bioss.com.cn
50ul/1180.00元
100ul/1980.00元
200ul/2800.00元
大包装/询价

产品编号 bs-4412R
英文名称 NXT2 Rabbit pAb
中文名称 NXT2蛋白抗体
别    名 NTF2-related export protein 2; Nxt2; NXT2_HUMAN; Protein p15-2.  
研究领域 信号转导  转录调节因子  表观遗传学  
抗体来源 Rabbit
克隆类型 Polyclonal
克 隆 号
交叉反应 Rat (predicted: Human,Mouse,Rabbit,Horse)
产品应用 IHC-P=1:100-500,IHC-F=1:100-500,IF=1:100-500
not yet tested in other applications.
optimal dilutions/concentrations should be determined by the end user.
理论分子量 16 kDa
检测分子量
细胞定位 细胞核 细胞浆 
性    状 Liquid
浓    度 1mg/ml
免 疫 原 KLH conjugated synthetic peptide derived from human NXT2: 51-150/811 
亚    型 IgG
纯化方法 affinity purified by Protein A
缓 冲 液 Preservative: 0.02% Proclin300, Constituents: 1% BSA, 0.01M PBS, pH7.4.
保存条件 Shipped at 4℃. Store at -20℃ for one year. Avoid repeated freeze/thaw cycles.
注意事项 This product as supplied is intended for research use only, not for use in human, therapeutic or diagnostic applications.
PubMed PubMed
产品介绍 The protein encoded by this gene contains a nuclear transport factor 2 (NTF2) domain, which plays an important role in the trafficking of macromolecules, ions, and small molecules between the cytoplasm and nucleus. This protein may also have a role in mRNA nuclear export. Alternatively spliced transcript variants encoding different isoforms have been noted for this gene. [provided by RefSeq, Jun 2011]

Function:
Regulator of protein export for NES-containing proteins. Also plays a role in mRNA nuclear export.

Subcellular Location:
Nucleus. Cytoplasm. Shuttles between the nucleus and the cytoplasm.

Similarity:
Contains 1 NTF2 domain.

SWISS:
Q9NPJ8

Gene ID:
55916

Database links:

Entrez Gene: 55916 Human

Omim: 300320 Human

SwissProt: Q9NPJ8 Human

Unigene: 25010 Human



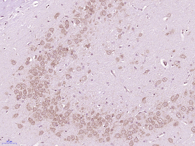
产品图片
Paraformaldehyde-fixed, paraffin embedded (Rat brain); Antigen retrieval by boiling in sodium citrate buffer (pH6.0) for 15min; Block endogenous peroxidase by 3% hydrogen peroxide for 20 minutes; Blocking buffer (normal goat serum) at 37°C for 30min; Antibody incubation with (NXT2) Polyclonal Antibody, Unconjugated (bs-4412R) at 1:400 overnight at 4°C, followed by operating according to SP Kit(Rabbit) (sp-0023) instructionsand DAB staining.
版权所有 2004-2026 www.bioss.com.cn 北京博奥森生物技术有限公司
通过国际质量管理体系ISO 9001:2015 GB/T 19001-2016    证书编号: 00124Q34771R2M/1100
通过国际医疗器械-质量管理体系ISO 13485:2016 GB/T 42061-2022     证书编号: CQC24QY20047R0M/1100
京ICP备05066980号-1         京公网安备110107000727号