扫码关注公众号           扫码咨询技术支持           扫码咨询技术服务
  
客服热线:400-901-9800  客服QQ:4009019800  技术答疑  技术支持  质量反馈  关于我们  联系我们
产品中心-北京博奥森生物技术有限公司
首页 > 产品中心 > 一抗 > 产品信息
CD44 Mouse mAb (bsm-30038M)  
订购热线:400-901-9800
订购邮箱:sales@bioss.com.cn
订购QQ:  400-901-9800
技术支持:techsupport@bioss.com.cn
50ul/1180.00元
100ul/1980.00元
大包装/询价

产品编号 bsm-30038M
英文名称 CD44 Mouse mAb
中文名称 小鼠抗人CD44单克隆抗体
别    名 LHR; BA-1; CD 44; CD44 antigen; CD44 molecule; CD44_HUMAN; CDw44; Cell surface glycoprotein CD44; chondroitin sulfate proteoglycan 8; ECMR-III; Epican; Extracellular matrix receptor III; GP90 lymphocyte homing/adhesion receptor; hematopoietic cell E- and L-selectin ligand; Heparan sulfate proteoglycan; Hermes antigen; homing function and Indian blood group system; HSA; HUTCH-I; HUTCH1; Hyaluronate receptor; MDU2; MDU3; MIC4; MUTCH1; PGP-1; PGP1; Phagocytic glycoprotein 1; Phagocytic glycoprotein I; CD44 antigen isoform 1 precursor.  
抗体来源 Mouse
克隆类型 Monoclonal
克 隆 号 4F6
交叉反应 Human
产品应用 IHC-P=1:100-500,IHC-F=1:100-500,IF=1:100-500,Flow-Cyt=1ug/Test,ICC/IF=1:100-500
not yet tested in other applications.
optimal dilutions/concentrations should be determined by the end user.
理论分子量 85 kDa
检测分子量 80-95
细胞定位 细胞膜 
性    状 Liquid
浓    度 1mg/ml
免 疫 原 KLH conjugated synthetic peptide derived from human CD44 
亚    型 Mouse IgG2a, k
纯化方法 affinity purified by Protein G
缓 冲 液 0.01M TBS (pH7.4) with 1% BSA, 0.02% Proclin300 and 50% Glycerol.
保存条件 Shipped at 4℃. Store at -20℃ for one year. Avoid repeated freeze/thaw cycles.
注意事项 This product as supplied is intended for research use only, not for use in human, therapeutic or diagnostic applications.
PubMed PubMed
产品介绍 The protein encoded by this gene is a cell-surface glycoprotein involved in cell-cell interactions, cell adhesion and migration. It is a receptor for hyaluronic acid (HA) and can also interact with other ligands, such as osteopontin, collagens, and matrix metalloproteinases (MMPs). This protein participates in a wide variety of cellular functions including lymphocyte activation, recirculation and homing, hematopoiesis, and tumor metastasis. Transcripts for this gene undergo complex alternative splicing that results in many functionally distinct isoforms, however, the full length nature of some of these variants has not been determined. Alternative splicing is the basis for the structural and functional diversity of this protein, and may be related to tumor metastasis. [provided by RefSeq, Jul 2008]

SWISS:
P16070

Gene ID:
960

产品图片
Paraformaldehyde-fixed, paraffin embedded Human Spleen; Antigen retrieval by boiling in sodium citrate buffer (pH6.0) for 15 min; Antibody incubation with human CD44 Monoclonal Antibody, Unconjugated(bsm-30038M) at 1:200 overnight at 4°C, followed by conjugation to the bs-40296G-HRP and DAB (C-0010) staining.
Paraformaldehyde-fixed, paraffin embedded Human Colon; Antigen retrieval by boiling in sodium citrate buffer (pH6.0) for 15 min; Antibody incubation with human CD44 Monoclonal Antibody, Unconjugated(bsm-30038M) at 1:200 overnight at 4°C, followed by conjugation to the bs-40296G-HRP and DAB (C-0010) staining.
Paraformaldehyde-fixed, paraffin embedded Human Tonsil; Antigen retrieval by boiling in sodium citrate buffer (pH6.0) for 15 min; Antibody incubation with human CD44 Monoclonal Antibody, Unconjugated(bsm-30038M) at 1:200 overnight at 4°C, followed by conjugation to the bs-40296G-HRP and DAB (C-0010) staining.
Paraformaldehyde-fixed, paraffin embedded Human Cervical Cancer; Antigen retrieval by boiling in sodium citrate buffer (pH6.0) for 15 min; Antibody incubation with human CD44 Monoclonal Antibody, Unconjugated(bsm-30038M) at 1:200 overnight at 4°C, followed by conjugation to the bs-40296G-HRP and DAB (C-0010) staining.
Paraformaldehyde-fixed, paraffin embedded Human Esophagus; Antigen retrieval by boiling in sodium citrate buffer (pH6.0) for 15 min; Antibody incubation with human CD44 Monoclonal Antibody, Unconjugated(bsm-30038M) at 1:200 overnight at 4°C, followed by conjugation to the SP Kit (Mouse, sp-0024) and DAB (C-0010) staining.
Paraformaldehyde-fixed, paraffin embedded (human breast carcinoma); Antigen retrieval by boiling in sodium citrate buffer (pH6.0) for 15min; Block endogenous peroxidase by 3% hydrogen peroxide for 20 minutes; Blocking buffer (normal goat serum) at 37°C for 30min; Incubation with (human CD44)) Monoclonal Antibody, Unconjugated (bsm-30038M) at 1:200 overnight at 4°C, followed by operating according to SP Kit(Mouse)(sp-0024) instructionsand DAB staining.
Paraformaldehyde-fixed, paraffin embedded (human esophagus cancer); Antigen retrieval by boiling in sodium citrate buffer (pH6.0) for 15min; Block endogenous peroxidase by 3% hydrogen peroxide for 20 minutes; Blocking buffer (normal goat serum) at 37°C for 30min; Incubation with (human CD44)) Monoclonal Antibody, Unconjugated (bsm-30038M) at 1:200 overnight at 4°C, followed by operating according to SP Kit(Mouse)(sp-0024) instructionsand DAB staining.
Paraformaldehyde-fixed, paraffin embedded (human colon carcinoma); Antigen retrieval by boiling in sodium citrate buffer (pH6.0) for 15min; Block endogenous peroxidase by 3% hydrogen peroxide for 20 minutes; Blocking buffer (normal goat serum) at 37°C for 30min; Incubation with (human CD44)) Monoclonal Antibody, Unconjugated (bsm-30038M) at 1:200 overnight at 4°C, followed by operating according to SP Kit(Mouse)(sp-0024) instructionsand DAB staining.
Hela cell; 4% Paraformaldehyde-fixed; Triton X-100 at room temperature for 20 min; Blocking buffer (normal goat serum, C-0005) at 37°C for 20 min; Antibody incubation with (human CD44) monoclonal Antibody, Unconjugated (bsm-30038M) 1:100, 90 minutes at 37°C; followed by a conjugated Goat Anti-Mouse IgG antibody at 37°C for 90 minutes, DAPI (blue, C02-04002) was used to stain the cell nuclei.PBS instead of the primary antibody was used as the blank control.
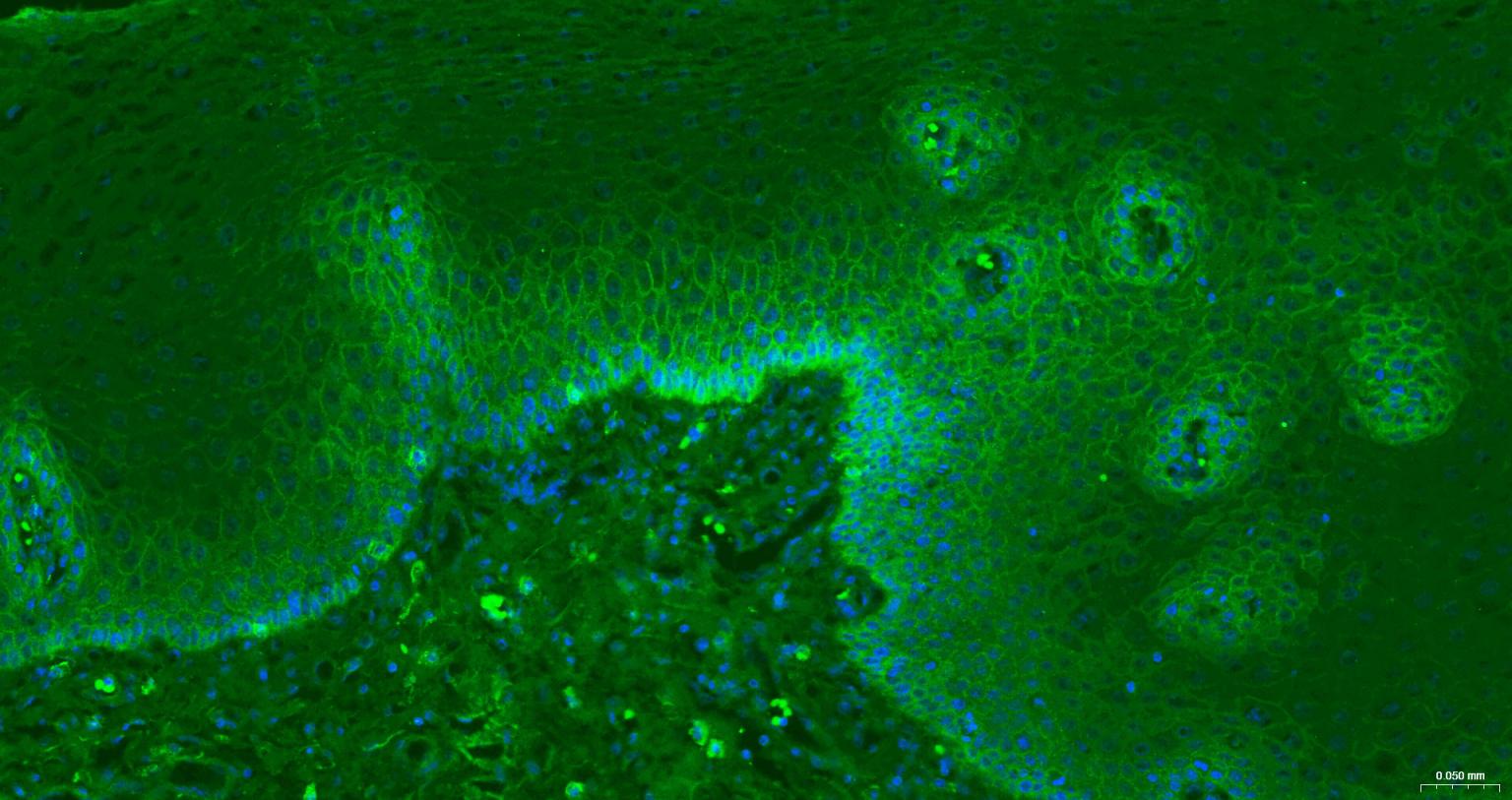
Paraformaldehyde-fixed, paraffin embedded Human Esophagus; Antigen retrieval by boiling in sodium citrate buffer (pH6.0) for 15 min; The section was incubated with CD44 Monoclonal Antibody, Unconjugated (bsm-30038M) at 1:200 overnight at 4°C. Followed by conjugated Goat Anti-Mouse IgG antibody (Green, bs-0296G-BF488), DAPI (blue, C02-04002) was used to stain the cell nuclei.
Paraformaldehyde-fixed, paraffin embedded Human Tonsil; Antigen retrieval by boiling in sodium citrate buffer (pH6.0) for 15 min; The section was incubated with CD44 Monoclonal Antibody, Unconjugated (bsm-30038M) at 1:200 overnight at 4°C. Followed by conjugated Goat Anti-Mouse IgG antibody (Green, bs-0296G-BF488), DAPI (blue, C02-04002) was used to stain the cell nuclei.
Blank control:Hela. Primary Antibody (green line): Mouse Anti-human CD44 antibody (bsm-30038M) Dilution: 1ug/Test; Secondary Antibody (white blue line) : Goat anti-Mouse IgG-AF488 Dilution: 0.5ug/Test. Isotype control(orange line):Normal Mouse IgG Protocol The cells were incubated in 5%BSA to block non-specific protein-protein interactions for 30 min at room temperature .Cells stained with Primary Antibody for 30 min at room temperature. The secondary antibody used for 40 min at room temperature. Acquisition of 20,000 events was performed.
版权所有 2004-2026 www.bioss.com.cn 北京博奥森生物技术有限公司
通过国际质量管理体系ISO 9001:2015 GB/T 19001-2016    证书编号: 00124Q34771R2M/1100
通过国际医疗器械-质量管理体系ISO 13485:2016 GB/T 42061-2022     证书编号: CQC24QY20047R0M/1100
京ICP备05066980号-1         京公网安备110107000727号