扫码关注公众号           扫码咨询技术支持           扫码咨询技术服务
  
客服热线:400-901-9800  客服QQ:4009019800  技术答疑  技术支持  质量反馈  人才招聘  关于我们  联系我们
产品中心-北京博奥森生物技术有限公司
首页 > 产品中心 > 一抗 > 产品信息
SLC26A6 Rabbit pAb (bs-20817R)  
订购热线:400-901-9800
订购邮箱:sales@bioss.com.cn
订购QQ:  400-901-9800
技术支持:techsupport@bioss.com.cn
50ul/1180.00元
100ul/1980.00元
200ul/2800.00元
大包装/询价

产品编号 bs-20817R
英文名称 SLC26A6 Rabbit pAb
中文名称 溶质载体家族蛋白26成员6抗体
别    名 B930010B04Rik; CFEX; Pat-1; Pat1; S26A6_HUMAN; SLC26A6; Anion exchange transporter; Pendrin-like protein 1 (Pendrin-L1);   
Specific References  (2)     |     bs-20817R has been referenced in 2 publications.
[IF=4.472] Rui Jia. et al. Exposure to Polypropylene Microplastics via Oral Ingestion Induces Colonic Apoptosis and Intestinal Barrier Damage through Oxidative Stress and Inflammation in Mice. TOXICS. 2023 Feb;11(2):127  IHC ;  Mouse.  
[IF=2.765] Andharia et al. Electrophysiological properties of anion exchangers in the luminal membrane of guinea pig pancreatic duct cells. (2018) Pflugers.Arch. 470:897-907  IHC/WB ;  guinea pigs.  
研究领域 细胞生物  信号转导  
抗体来源 Rabbit
克隆类型 Polyclonal
克 隆 号
交叉反应 Mouse,Rat
产品应用 IHC-P=1:100-500,IHC-F=1:100-500,IF=1:100-500
not yet tested in other applications.
optimal dilutions/concentrations should be determined by the end user.
理论分子量 83 kDa
细胞定位 细胞膜 
性    状 Liquid
浓    度 1mg/ml
免 疫 原 KLH conjugated synthetic peptide derived from mouse SLC26A6: 431-500/759 <Extracellular>
亚    型 IgG
纯化方法 affinity purified by Protein A
缓 冲 液 0.01M TBS (pH7.4) with 1% BSA, 0.02% Proclin300 and 50% Glycerol.
保存条件 Shipped at 4℃. Store at -20℃ for one year. Avoid repeated freeze/thaw cycles.
注意事项 This product as supplied is intended for research use only, not for use in human, therapeutic or diagnostic applications.
PubMed PubMed
产品介绍 This gene belongs to the solute carrier 26 family, whose members encode anion transporter proteins. This particular family member encodes a protein involved in transporting chloride, oxalate, sulfate and bicarbonate. Alternatively spliced transcript variants encoding distinct isoforms have been described. [provided by RefSeq, Aug 2013]

Function:
Does not seem to be involved in anion transport.

Subunit:
Interacts (via C-terminal domain) with PDZK1 (via C-terminal PDZ domain); the interaction induces chloride and oxalate exchange transport

Subcellular Location:
Membrane.

Tissue Specificity:
Ubiquitous. Highest levels in kidney and pancreas. Lower expression in heart, skeletal muscle, liver and placenta. Also found in lung and brain.

Similarity:
Belongs to the SLC26A/SulP transporter (TC 2.A.53) family.
Contains 1 STAS domain.

Gene ID:
171429

Database links:

Entrez Gene: 65010 Human

Entrez Gene: 171429 Mouse

Entrez Gene: 497236 Pig

Entrez Gene: 301010 Rat

Omim: 610068 Human

SwissProt: Q9BXS9 Human

Unigene: 631925 Human

Unigene: 663208 Human

Unigene: 45201 Mouse

Unigene: 18851 Rat



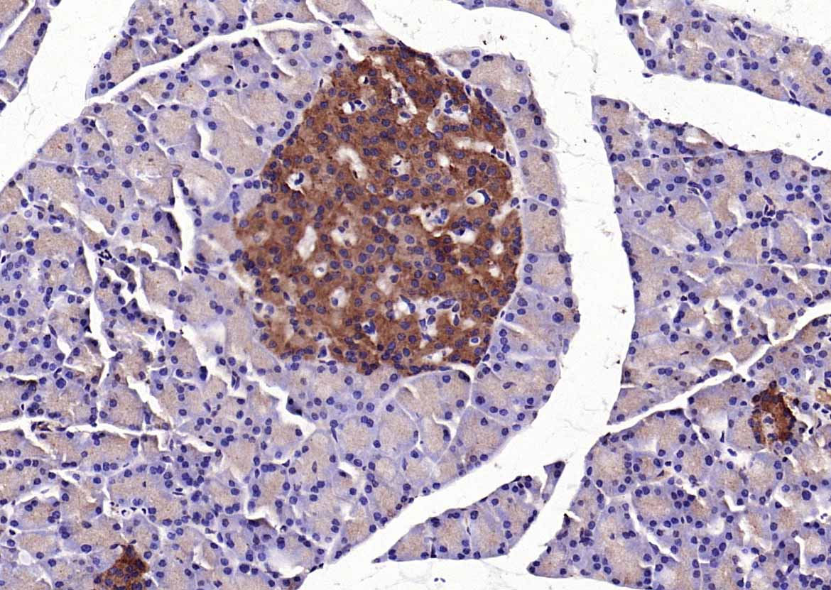
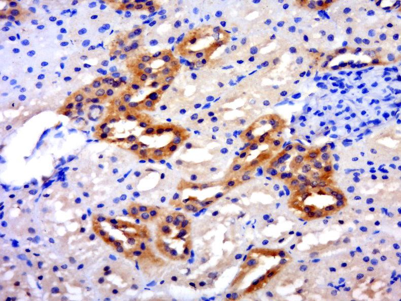
产品图片
Paraformaldehyde-fixed, paraffin embedded (rat kidney); Antigen retrieval by boiling in sodium citrate buffer (pH6.0) for 15min; Block endogenous peroxidase by 3% hydrogen peroxide for 20 minutes; Blocking buffer (normal goat serum) at 37°C for 30min; Antibody incubation with (SLC26A6) Polyclonal Antibody, Unconjugated (bs-20817R) at 1:400 overnight at 4°C, followed by a conjugated secondary (sp-0023) for 20 minutes and DAB staining.
Paraformaldehyde-fixed, paraffin embedded (rat pancreas); Antigen retrieval by boiling in sodium citrate buffer (pH6.0) for 15min; Block endogenous peroxidase by 3% hydrogen peroxide for 20 minutes; Blocking buffer (normal goat serum) at 37°C for 30min; Antibody incubation with (SLC26A6) Polyclonal Antibody, Unconjugated (bs-20817R) at 1:200 overnight at 4°C, followed by operating according to SP Kit(Rabbit) (sp-0023) instructionsand DAB staining.
Paraformaldehyde-fixed, paraffin embedded (mouse pancreas); Antigen retrieval by boiling in sodium citrate buffer (pH6.0) for 15min; Block endogenous peroxidase by 3% hydrogen peroxide for 20 minutes; Blocking buffer (normal goat serum) at 37°C for 30min; Antibody incubation with (SLC26A6) Polyclonal Antibody, Unconjugated (bs-20817R) at 1:200 overnight at 4°C, followed by operating according to SP Kit(Rabbit) (sp-0023) instructionsand DAB staining.
版权所有 2004-2026 www.bioss.com.cn 北京博奥森生物技术有限公司
通过国际质量管理体系ISO 9001:2015 GB/T 19001-2016    证书编号: 00124Q34771R2M/1100
通过国际医疗器械-质量管理体系ISO 13485:2016 GB/T 42061-2022     证书编号: CQC24QY20047R0M/1100
京ICP备05066980号-1         京公网安备110107000727号